Die Extraktion eines Milch-Zwillingszahns
Der Fall
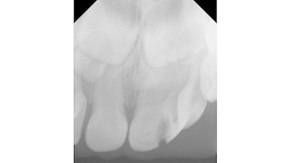
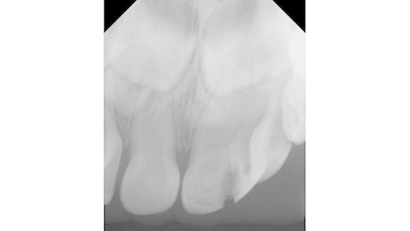
Ein zweieinhalbjähriger Junge wurde von seinen Eltern in der Abteilung Kinderzahnheilkunde des Zentrums für Zahn-, Mund- und Kieferheilkunde (ZZMK) der Universität Greifswald mit dem Wunsch nach Beurteilung der Situation vorgestellt. Er war wenige Stunden vorher beim Spielen mit der Schwester im Supermarkt auf den Mund gefallen war und hatte Schmerzen. Obwohl er noch so klein war, konnten wir bei seinem ersten Besuch bei uns neben der visuellen klinischen Inspektion einen Zahnfilm anfertigen.
Untersuchung und Behandlung
Routinemäßig werden wesentliche Angaben strukturiert mithilfe eines Trauma-Dokumentationsbogens erhoben. Es wurden keine allgemein-medizinischen Auffälligkeiten, weder Anzeichen für Schädel-Hirn-Trauma noch für Fremdverschulden festgestellt. Die Oberlippe war ganz leicht (mittig links am Lippenrot) geschwollen.
Nach Durchführung der zahnbezogenen Diagnostik inklusive Röntgen wurde die Diagnose komplizierte Kronenfraktur eines Zwillingszahns 61a/61b gestellt. Zur Abschätzung der Kooperation und Desensibilisierung für eine potenzielle Behandlung wurden die Zähne des Kleinkindes mit einem rotierenden Bürstchen geputzt.
Nach der Diagnosestellung erfolgte eine Beratung zu den Therapiezielen und es wurde eine Extraktion empfohlen. In der partizipativen Entscheidungsfindung zwischen Eltern und Zahnarzt wurde beschlossen, den Zahn in derselben Sitzung in Lokalanästhesie (Oberflächenanästhesie „Schlafmarmelade“ sowie Infiltrationsanästhesie „Schlafwasser“) mithilfe verhaltensformender Techniken, wie die Ablenkung durch TV und bei Bedarf mit „Stützen“ des Kindes durch den Vater, zu extrahieren.
Die Extraktion gestaltete sich aufgrund der besonderen Anatomie erwartungsgemäß deutlich schwieriger als bei einem gewöhnlichen Milchfrontzahn, konnte aber zügig und komplikationslos erfolgen. Bei den Folgebesuchen wies das Kind weiterhin eine altersgerechte gute Mitarbeit auf.Dr. Julian SchmoeckelZZMK Universität GreifswaldAbt. für Präventive Zahnmedizin & KinderzahnheilkundeDep. Preventive & Pediatric Dentistry, University of GreifswaldWalther-Rathenau-Straße 42, 17475 Greifswald, Germanyjulian.schmoeckel@uni-greifswald.de






