Die russische Lösung
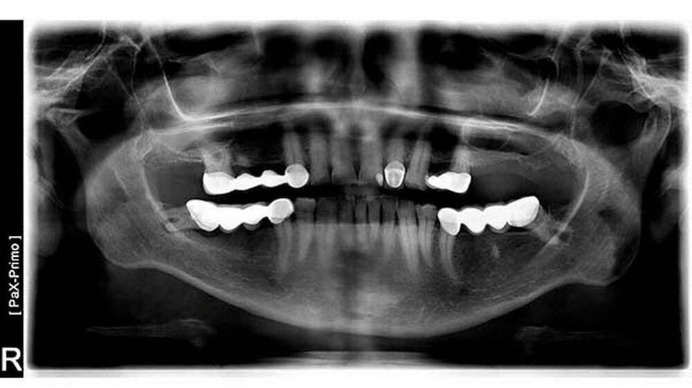
"Hier das Röntgenbild einer 13 Jahre alten russischen Brücke. Die Patientin war heute aufgrund von starken Zahnschmerzen zur Kontrolle zum ersten mal in unserer Praxis vorstellig. Weder wir noch unser Zahntechniker können sich erklären, wie diese Brücke einzementiert werden konnte. Ebenso ist uns schleierhaft, wie der untere (dem Zahnfleisch zugewandte )Teil des Zahn beschliffen werden konnte. Die Brücke weist kein Geschiebe auf. Der Zahn 48 ist natürlich nicht mehr erhaltungswürdig. Vielleicht hat ein Leser eine Antwort?"Dieser Beitrag wurde eingereicht von Dr. Dan-Liviu Tite und Dr.-medic stom. Vivian-Zeno Tite, Augsburgerstr.13, in 86368 Gersthofen
Wir suchen Ihre Geschichten!Haben Sie in Ihrer Praxis auch außergewöhnliche Zähne oder besondere Reparatur-"Situationen" gesehen? Dann greifen Sie zur Kamera! Schicken Sie uns die Fotos (inklusive Quellenangabe) und schreiben Sie unserer Redakteurin E-mail:, welche Geschichte sich hinter Ihrem kuriosen Fall verbirgt. Die Redaktion sammelt die Fälle und veröffentlicht sie dann auf zm-online.de. Wir freuen uns auf Ihre Geschichten!



