Die weltbeste Nachwuchszahnärztin
Einführung in den Fall
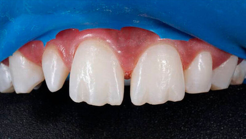
Ein 23-jähriger Patient erschien in der Klinik für Zahnerhaltung mit ästhetischen Problemen wegen einer Lücke zwischen den oberen mittleren Schneidezähnen und eines fehlgebildeten oberen rechten seitlichen Schneidezahns. Aus den angebotenen Therapieoptionen wählte er eine direkte Restauration mit Komposit.
Die klinische Untersuchung ergab mehrere Diastemata zwischen 13-12-11-21-22-23 und einen Zapfenzahn 12. Behandlungsplan: Diastemaschluss mittels direkter Veneers aus Komposit und Formkorrektur bei Zahn 12 mit ceram.x one.
Material und Methode
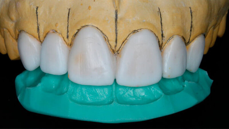
Das digitale Smile Design ist sehr vorteilhaft bei der Planung des idealen Resultats, das basierend auf den Grundprinzipien der dentofazialen Harmonie analysiert wird. Die Umsetzung in ein diagnostisches Wax-up erlaubt die Anfertigung eines exakten Silikonschlüssels, der die Wiederherstellung der Zahnanatomie erleichtert. Für diesen Fall wurde das Komposit Ceram.X One gewählt. Als Ätzmittel diente DeTrey Conditioner und als Adhäsiv Prime and Bond One Etch & Rinse. Finiert und poliert wurde mit den Systemen Enhance und PoGo sowie Prisma GlossTM Paste.
Diskussion und Fazit
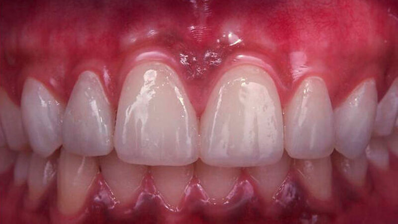
Zum Diastemaschluss und zur Formkorrektur bei Zahnfehlbildungen eignen sich kieferorthopädische Maßnahmen, indirekte Restaurationen und direkte Komposit-Restaurationen. Letztere wurden hier gewählt, da sie minimal-invasiv, zeitsparend und kostengünstig sind. Die fertigen Restaurationen erfüllten die Erwartungen des Patienten.
Und das sind die weiteren Gewinner:
Platz 2: Laurent Detzen, Zahnmedizinstudent aus Frankreich, stellt seinen Fallhiervor.
Platz 3: Yu-Hsin Huang, Zahnmedizinstudent in Taiwan, stellt seinen Fallhiervor.
Platz 5: Valentina Pankratz, Zahnmedizinstudentin in Witten/Herdecke, wurde mit ihrer Fall-Präsentation fünftbeste Nachwuchszahnärztin. Ihren Fall stellt siehiervor.












