Ein Zahnbürstenkopf im Parapharyngealraum
Der Kopf der Zahnbürste war in die seitliche Rachenwand eingedrungen und klemmte aufgrund der Borsten im linken Parapharyngealraum. Der zerbrochene Griff ragte in den Rachen und war sehr schwer zu lokalisieren.
Einleitung
In Indien bekommen die Ärzte häufig Patienten mit eingelagerten Fremdkörpern in den Luft- und Speisewegen, wie Fischgräten, Kapseln oder Nähnadeln zu Gesicht. Im vorliegenden Fall spielte das Kind während des Zähneputzens und fiel dann plötzlich mit der Zahnbürste im Mund nach vorne. Als Folge brach der Griff, und der Kopf der gebrochenen Zahnbürste drang in die seitliche Rachenwand und in den linken Parapharyngealraum ein.
Fallbericht
Ein vierjähriges Mädchen wurde in die Notaufnahme einer medizinischen Hochschule gebracht. Der beim Zähneputzen zerbrochene Bürstenkopf verkeilte sich mit dem angrenzenden Griffteil in der Kehle. Das Kind war nicht in der Lage, den Fremdkörper auszuspucken oder sich zu erbrechen. Stattdessen versuchte es immer wieder, ihn hinunter zu schlucken - bis er schließlich ganz in ihrem Hals feststeckte.
Ihre Eltern brachten sie in die Notfallaufnahme eines nahe gelegenen Gesundheitszentrums, aber leider gab es dort keinen Zahnarzt. Der Allgemeinarzt wollte kein Risiko eingehen und überwies die Patientin nach der ersten unterstützende Behandlung mit parenteralen Analgetika und Antibiotika an eine medizinische Einrichtung mit adäquater medizinische Versorgung.
Diagnose
Das Mädchen hatte 38,9 Grad Fieber, die linke Seite des Halses war angeschwollen und es schien an einer schmerzhaften Motilitätsstörung der Speiseröhre (Odynophagie) zu leiden. Es klagte über Schmerzen in der Kehle und war weder in der Lage, vollständig seinen Mund zu öffnen noch zu essen oder zu trinken. Das Kind war zudem leicht dehydriert, unruhig und hatte Atemnot. Bei der Untersuchung wurden Ödeme am Gaumenzäpfchen und an der linken Seitenwand des Rachenraums einschließlich der beiden Säulen der linken Mandeln festgestellt. Blutiger Speichel wurde im Mund-Rachen-Raum gefunden, die Schleimhaut war jedoch intakt. Die linke Seite des Halses war am hinteren Unterkiefer sehr geschwollen.
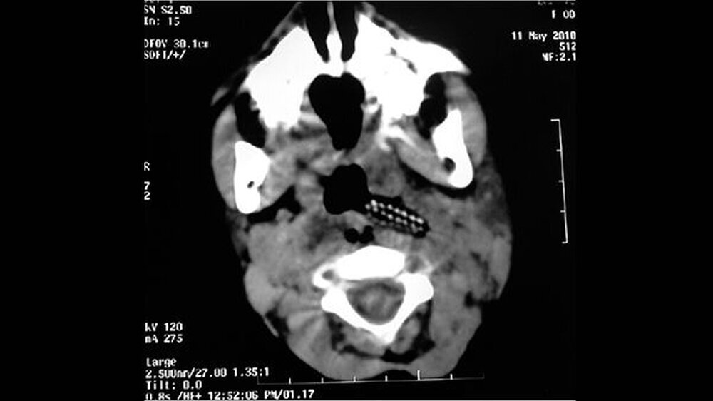
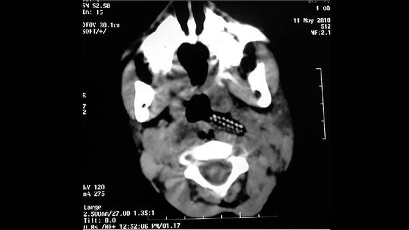
Da es sich um ein Kind handelte, kam eine Rachen-Kehlkopf-Spiegelung nicht in Betracht. Röntgenaufnahmen des Halses und der Brust ließen keine signifikanten Auffälligkeiten erkennen. Die Computertomografie (CT) des Halses zeigt, wie der Zahnbürstenkopf mit samt der Borsten dein den linken Parapharyngealraum eindringt (Abbildung 1).
###more### ###title### Therapie ###title### ###more###
Therapie
Der Patientin wurden intravenös Flüssigkeit, Breitband-Antibiotika und Kortikosteroide verabreicht, um ihren Zustand vor der Operation zu verbessern. Wie der Fremdkörper entfernt werden sollte, war indes eine schwierige Entscheidung. Schließlich beschlossen die Chirurgen, dass sie zunächst versuchen wollten, die Teile endoskopisch zu bergen, und falls das scheitern sollte, von extern zu operieren.
Unter Vollnarkose wurde der Patientin ein Davis-Boyle-Mundsperrer eingeführt. Mundhöhle und Rachen wurden durch Absaugen gereinigt. Zunächst konnte die Zahnbürste nicht lokalisiert werden. Ein mittleres Ödem umgab die linke Seitenwand des Rachenraums und dehnte sich bis zur Kehlkopföffnung aus. Das hellgelbe gebrochene Griffende sticht, wie man auf dem Bild sieht, links in eine birnenförmige Vertiefung. Die Ausleuchtung des Fremdkörpers war jedoch nicht zufriedenstellend. Der Davis-Boyle-Mundsperrer wurde deshalb entfernt und durch ein ein starres Hypopharyngoskop ersetzt, so dass der Eintrittspunkt Zahnbürste genauer bestimmt werden konnte. Auch der Kopf mit den Borsten wurde eingebettet im linken Parapharyngealraum gefunden.
Mithilfe einer Zange wurde sanft am Griff der Zahnbürste sanft gezogen, aber der Kopf war aufgrund der Borsten zu stark im Weichgewebe eingeklemmt. Der Eintrittspunkt in der linken seitlichen Rachenwand wurde vorsichtig ein wenig mithilfe einer stumpfen Sonde erweitert, so dass sich der Kopf allmählich löste. Danach wurde die Zahnbürste durch leichtes Ziehen sowie Drehen in beide Richtungen aus dem umgebenden Weichgewebe herausgezogen. Dies geschah mit äußerster Vorsicht, um weitere Verletzungen zu vermeiden. Die entfernten Zahnbürstenteile waren inklusive Griff 5,4 cm lang und an der Spitze 1,8 cm breit (Abbildung 2).
Nach dem Entfernen der Zahnbürste wurde die Wunde sorgfältig inspiziert, glücklicherweise gab es aber keine signifikanten Schädigungen der benachbarten Strukturen. Sie wurde mit resorbierbarem Nahtmaterial verschlossen, und um das postoperative Risiko einer Atemwegsobstruktionen auszuschließen, wurde vorbeugend eine Tracheotomie durchgeführt.
Außerdem wurde postoperativ ein Ryles-Röhrchen eingesetzt: Die Patientin wurde bereits am Tag der Operation intravenös und danach per Sonde ernährt. Sie erholte sich schnell. Am fünften Tag nach der Operation wurde die Trachealkanüle entfernt und die Wunde verschlossen. Die Ryles-Röhrchen wurden ebenfalls am selben Tag entfernt, so dass die Patientin wieder normal essen und trinken konnte. Sieben Tage nach der Operation wurde sie entlassen.
Diskussion
Fischknochen sind im östlichen Teil Indiens die häufigsten in der Mundhöhle gefundenen Fremdkörper. In den meisten Fällen stellt ihr Entfernen selbst in der Kehle kein signifikantes Problem dar. Aber manchmal dringen die Teile in die angrenzenden Weichgewebe, so dass potenziell gefährliche, weil sensible Bereiche betroffen sind. Im vorliegenden Fall brach der Griff der Zahnbürste ab (Abbildung 3), während sich das Kind die Zähne putzte. Weil das Mädchen nicht in der Lage war, den Fremdkörper zu entfernen und versuchte, ihn stattdessen herunter zu schlucken, steckte er schließlich - auch aufgrund der Borsten - im linken Parapharyngealraum fest.
Wegen der möglichen Komplikationen wie Drucknekrosen, Perforationen und der Infektionsgefahr ist eine schnelle Bergung eines Fremdkörpers im Rachen-Speise-Raum angezeigt. Die meisten intraluminalen Fremdkörper können sicher durch eine Endoskopie entfernt werden. Extraluminale Fremdkörper beeinhalten bei der OP jedoch eine zusätzliche Verletzungsgefahr für die angrenzenden neurovaskulären Strukturen des Halses, weshalb ein externer Methode in der Regel besser geeignet ist. Dies ist besonders wichtig, wenn der Fremdkörper scharf ist oder unregelmäßig geformt ist.
Liegt ein Teil des Fremdkörpers innerhalb eines Lumens und ist leicht zugänglich wie in diesem Fall, sollte ein endoskopisches Vorgehen unter Vollnarkose vernünftigerweise versucht werden. Allerdings sollte der Chirurg nicht übereifrig sein, das heißt, wenn irgendwelche Schwierigkeiten auftreten, sollte der Fremdkörper durch externe Methoden entfernt werden.
Saileswar Goswami, The head of a broken toothbrush in the parapharyngeal space: A rare case report, J Indian Soc Periodontol. 2016 Jan-Feb; 20(1): 79–81, doi: 10.4103/0972-124X.164763
.





