Forschung an Früherkennungstest für Krebsvorläufer in der Mundschleimhaut
Im April 2021 zeichnete die Deutsche Gesellschaft für Mund-, Kiefer- und Gesichtschirurgie (DGMKG) Dr. Weber mit ihrem Wissenschaftspreis aus. PD Dr. Dr. Manuel Weber, Oberarzt der Mund-, Kiefer- und Gesichtschirurgischen Klinik des Universitätsklinikums Erlangen, hatte in Forschungen zeigen können, dass sowohl das Entstehen als auch das Fortschreiten von Mundhöhlenkrebs mit Veränderungen im Immunsystem zusammenhängt.
Bereits in 2019 hatte die MKG-Chirurgie des Uni-Klinikums Erlangen auf Basis der Erkenntnisse von Dr. Weber und seiner Kollegen eine prospektive klinische Studie (PREDICT-OLP - Prospektive Prädiktion der malignen Transformation oraler Leukoplakien mithilfe eines MAGE-A-basierten Immunoscores) aufgelegt, die prüft, ob die Vorstufen von Mundhöhlenkrebs mit einem hohen Entartungsrisiko frühzeitig zu identifizieren sind. Anlässlich des Weltkrebstages hat die zm den Erlanger MKG-Chirurgen nach dem Stand der Forschungen befragt.
Der Einfluss des Immunsystems auf die Entstehung von Mundhöhlenkarzinomen – Update PREDICT-OLP-Studie
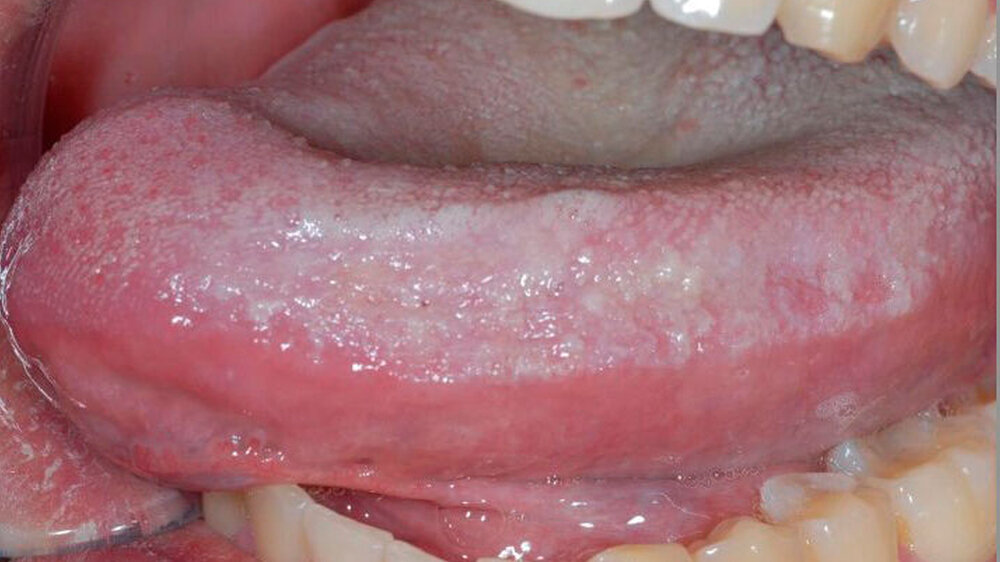
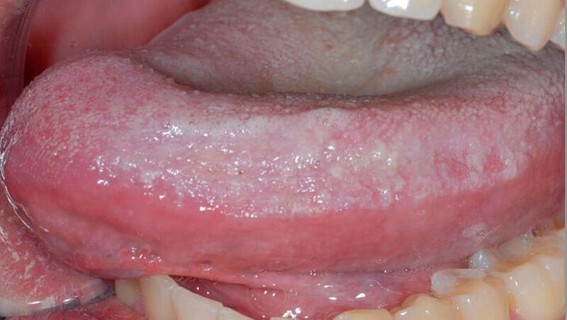
Die PREDICT-OLP-Studie stellt eine prospektive, multizentrische und interdisziplinäre Untersuchung zur Prädiktion der malignen Entartungstendenz von weißlichen, nicht wegwischbaren Mundschleimhautveränderungen dar. Ziel der Studie ist die Evaluation des Melanoma-associated-Antigens A (MAGE-A) sowie weiterer immunologischer Marker als objektive Parameter in der Risikoeinschätzung potentieller Präkanzerosen der Mundschleimhaut.
In retrospektiven Studien konnte die Assoziation zwischen der MAGE-A-Expression oraler Leukoplakien und deren maligner Entartung bereits mit sehr hoher Sensitivität und Spezifität nachgewiesen werden. Nun sollen diese Erkenntnisse in einem prospektiven Studiendesign an einem großen Patientenkollektiv bestätigt werden.
Aktuell besteht der diagnostische Goldstandard aus dem histologisch bestimmten Dysplasiegrad der Mundschleimhautläsion. Dieses Verfahren ist jedoch sehr subjektiv und mit Hinblick auf die Risikoeinschätzung der Krebsentstehung nur eingeschränkt aussagekräftig.
Mit der MAGE-A-Expression möchten wir die aktuell übliche Diagnostik von Mundschleimhautveränderungen um ein objektives Standbein erweitern um zukünftig Leukoplakien mit hohem Risiko für die Entstehung eines Mundhöhlenkarzinoms frühzeitiger und sicherer erkennen zu können.
In den bisherigen zwei Jahren seit Beginn der Patientenrekrutierung konnten wir deutschlandweit 16 Kliniken und 17 Praxen aus den Fachbereichen Mund-, Kiefer- und Gesichtschirurgie, Oralchirurgie sowie Hals-, Nasen-, Ohrenheilkunde für die Zusammenarbeit gewinnen. Gemeinsam mit diesen Kooperationspartnern gelang es uns bisher, über 100 Patienten in die PREDICT-OLP-Studie einzuschließen.
Erste Vorauswertungen zur MAGE-A-Expression laufen hierbei bereits, verlässliche Daten sind jedoch erst zu erwarten, wenn ein Großteil der Patienten über einen längeren Zeitraum von mindestens zwei Jahren nachbeobachtet wurde.
Die Rekrutierung, welche als Zielsetzung 500 eingeschlossene Patienten mit einem Nachbeobachtungszeitraum von mindestens drei Jahren hat, wurde dabei von der COVID-19-Pandemie deutlich erschwert. Wir sind jedoch zuversichtlich, dass wir mit weiteren hinzukommenden Kooperationspartnern sowie dem fortlaufend optimierten Rekrutierungs- und Nachkontrollverfahren unsere langfristigen Studienziele erreichen werden.





