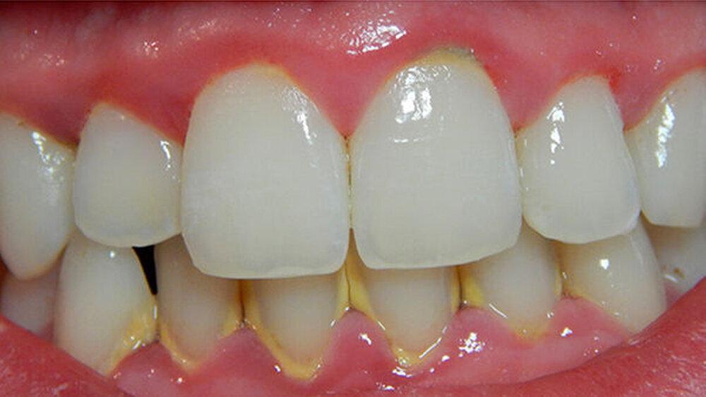
Grüne Drinks gegen Gingivitis
Nitrat spielt eine essenzielle Rolle für das Wachstum von Pflanzen und sammelt sich in deren Blättern an. Über Blattgemüse wie Spinat, Rucola und Mangold oder Salat wird der Stoff deshalb immer wieder in nicht unerheblichen Mengen aufgenommen. Nitrat wird im Körper zu Nitrit umgewandelt hieraus können schließlich Nitrosamine entstehen. "Diese aber gelten als stark krebserregend und werden mit der Entstehung von Speiseröhren- und Magenkrebs in Verbindung gebracht", sagen Forscher um Yvonne Jockel-Schneider vom Universitätsklinikum Würzburg. Doch die Zahnmedizinerin und ihrer Kollegen haben nun gezeigt: Der verpönte Inhaltsstoff kann durchaus auch gesundheitsfördernde Eigenschaften entfalten.
Spürbare Verbesserung durch nitrathaltigen Saft
Für ihre Studie untersuchten die Wissenschaftler den Effekt von Gemüsesaft aus Rucola und Spinat auf die Zahngesundheit. Insgesamt 44 Patienten mit einer chronischen Zahnfleischentzündung bekamen dafür über einen Zeitraum von zwei Wochen ein handelsübliches Salatsaftgetränk verabreicht. Doch während 23 Teilnehmer den Saft in unveränderter Form zu trinken bekamen, war bei den restlichen Probanden das natürlicherweise enthaltene Nitrat aus dem Saft entfernt worden.
Das Team untersuchte die Probanden jeweils vor Beginn des Versuchs sowie danach – erstmals nach vierzehn Tagen. Schon nach diesen zwei Wochen zeigte sich: Das Nitrat schien den Verlauf der Entzündung spürbar verbessert zu haben.
Demnach seien deutliche und statistisch signifikante Verbesserungen bei den Zahnfleischentzündungen der Patienten zu beobachten gewesen. "In der Placebogruppe, also in der Gruppe, in der das Nitrat im Testgetränk entfernt wurde, konnten wir hingegen keine Verbesserung feststellen", so Prof. Dr. Ulrich Schlagenhauf, Leiter des Würzburger Forscherteams.
Antimikrobiell und entzündungshemmend
Doch auf welche Weise könnte sich das Nitrat positiv auf den Zustand des Zahnfleisches ausgewirkt haben? Die Forscher erklären den Wirkmechanismus folgendermaßen: Ein gutes Viertel des mit der Nahrung aufgenommenen Nitrats gelangt über Magen, Darm und Blut zu den Speicheldrüsen. Auf diese Weise ist die Nitratkonzentration im Mundraum nicht nur beim Trinken des Salatsaftgetränks, sondern auch über einen längeren Zeitraum danach deutlich messbar erhöht.
Wie Jockel-Schneider und ihre Kollegen berichten, wandeln bestimmte Bakterien, die im gesamten Rachenraum und insbesondere in den Zahnzwischenräumen vorkommen, das Nitrat in Nitrit um. Dieses wirkt einerseits selbst antimikrobiell und könnte durch die Hemmung schädlicher Bakterien direkt einen Beitrag zur Linderung der Zahnfleischentzündung leisten. Ein weiteres Umwandlungsprodukt ist Stickstoffmonoxid – und auch dieser Stoff kann im Körper entzündungshemmende Prozesse auslösen.
Blattgemüse ausgewogen zusammenstellen
Die Wissenschaftler sind sich sicher: "Die Studienergebnisse dürften die Gesundheitsdebatte über Nitrat aus pflanzlichen Lebensmitteln neu befeuern. Ohnehin müsse das pflanzliche Nitrat aus Blattgemüsen ganz anders bewertet werden als zum Beispiel jenes aus gepökelten Fleischwaren. Denn wenn zusammen mit dem Nitrat auch ausreichend Vitamin C aufgenommen werde, bleibe etwa die Bildung gefährlicher Nitrosamine aus".
Quelle: The Journal of Clinical Periodontology, 2016; doi: 10.1111/jcpe.12542










