Hypomineralisierte Amelogenesis imperfecta
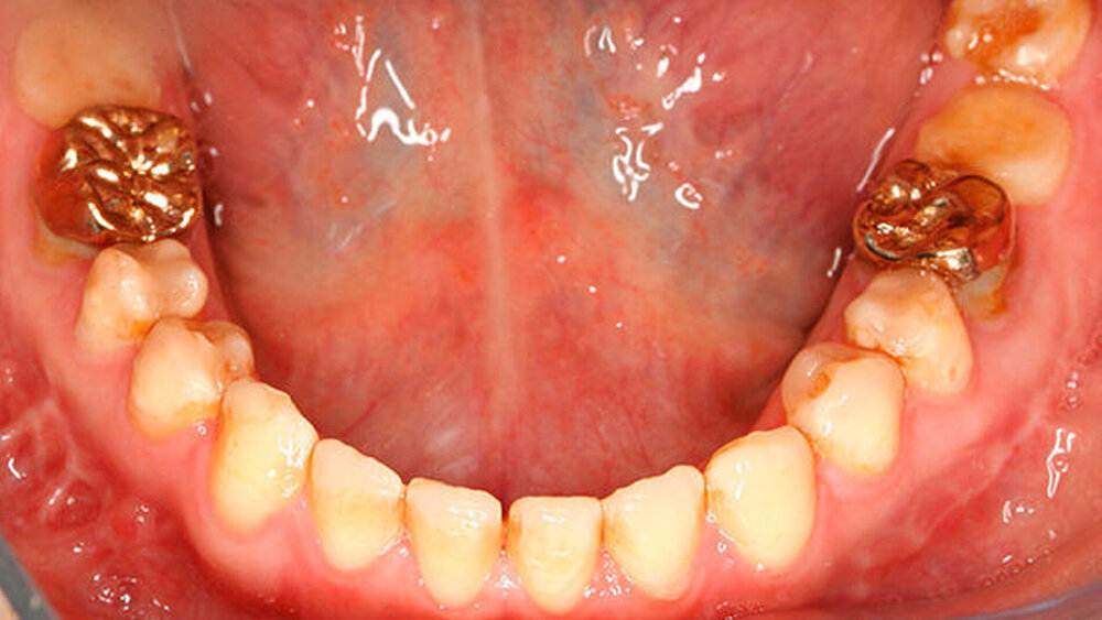
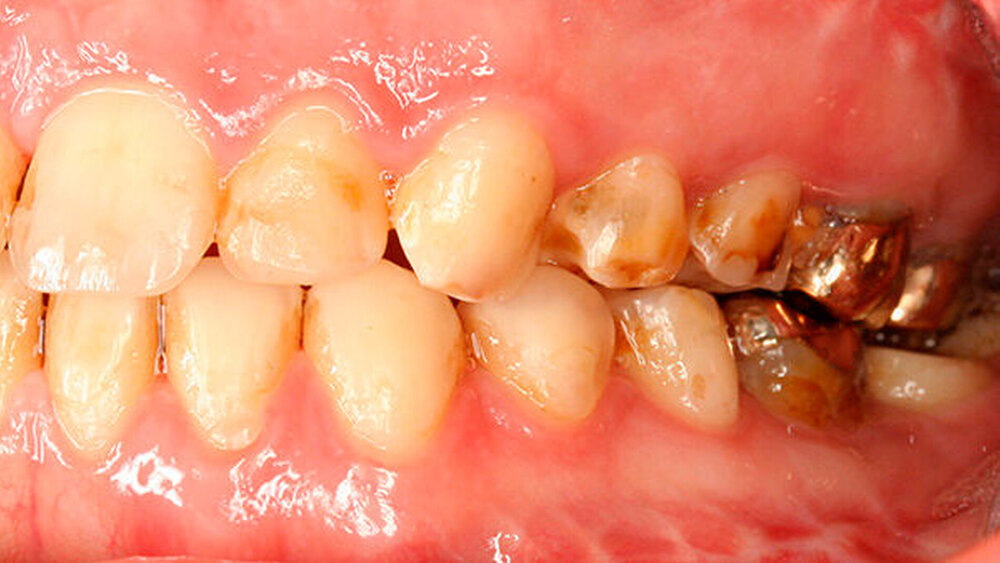
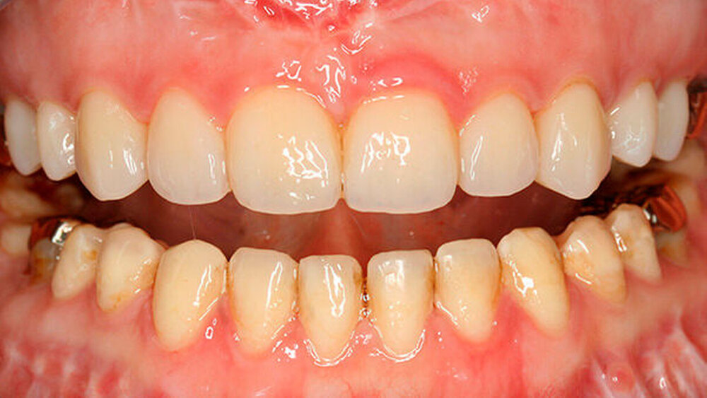
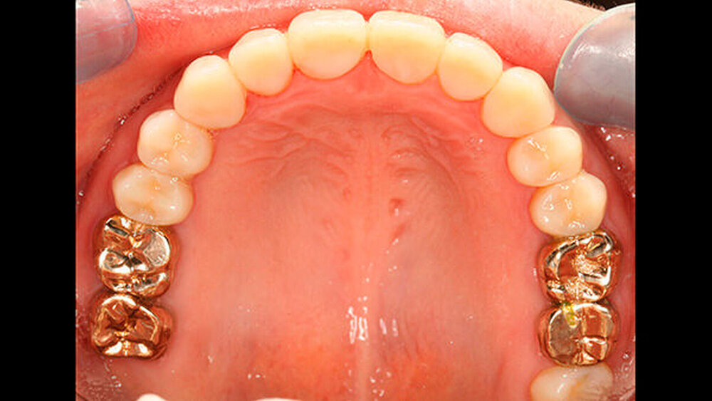
Bisher war die Patientin größtenteils mit provisorischen Maßnahmen behandelt worden. Eine Ausnahme bildeten hier die Sechsjahrmolaren, die ihrzufolge sehr zeitnah nach vollständigem Durchbruch mit Goldteil- beziehungsweise -vollkronen versorgt wurden. Im Oberkiefer wurden später auch für die zweiten bleibenden Molaren Vollkronen gewählt (Abbildungen 1 und 2).
Klinischer Befund
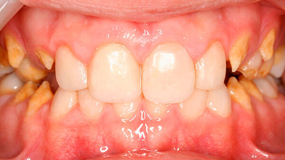
Die Patientin wies ein vollständiges bleibendes Gebiss auf, inklusive der Zähne 28, 38 und 48. Sämtliche Zähne waren restaurativ vorbehandelt, der Zustand der Restaurationen war teils suffizient, teils insuffizient - dies sicherlich vor dem Hintergrund, dass nicht alle Versorgungen als definitiv anzusehen waren. Seit der Umstellungsosteotomie waren einige Monate vergangen und sie berichtete, ihre einzige verbleibende Schwierigkeit nach der OP sei, dass sie immer wieder den Eindruck habe, bei jedem Schließen in einer anderen Position zuzubeißen.
Abbildung 1 gibt einen guten Überblick darüber, dass teils mehrere Restaurationen pro Zahn durchgeführt wurden und die dazwischen verbliebenen Bereiche aus Zahnschmelz oft nur gering waren (insbesondere an den Frontzähnen). Gleichzeitig zeigt aber auch der Vergleich der kontralateralen Prämolaren, wie anfällig dieser verbliebene Schmelz für Abplatzungen war. Im Unterkiefer ist gerade an Zahn 37 deutlich zu erkennen, wie großflächig die Schmelzverluste sein können, wenn auch die Restauration nicht mehr intakt oder vorhanden ist.
Im Bereich der Schleimhäute waren die Narben der Umstellungsosteotomie am Übergang von befestigter Gingiva zu Mukosa deutlich zu erkennen, die Ausheilung war überaus gut. Entsprechend ihrer eigenen Aussage war es der Patientin tatsächlich nicht möglich, in eine sicher reproduzierbare Interkuspidation zu finden.
Diagnose
Hypomineralisierte Amelogenesis imperfecta. Die Wahrscheinlichkeit einer genetischen Ursache für die Erkrankung ist sehr hoch, da alle Zähne in ähnlicher Weise betroffen sind. Die Amelogenesis imperfecta wird häufig grob in drei Untergruppen eingeteilt: hypoplastisch, hypomineralisiert (hypomaturiert) und hypocalcifiziert.
Im vorliegenden Fall handelt es sich aller Wahrscheinlichkeit nach um eine Hypomineralisation der Zähne, da die Zähne in ihrer Morphologie normal sind, der Schmelz aber leicht abplatzt. Näheres dazu im Abschnitt „Erläuterungen zum Therapieentscheid“ [Crawford et al., 2007 und Feierabend, 2014a].
###more### ###title### Differenzialdiagnose ###title### ###more###
Differenzialdiagnose
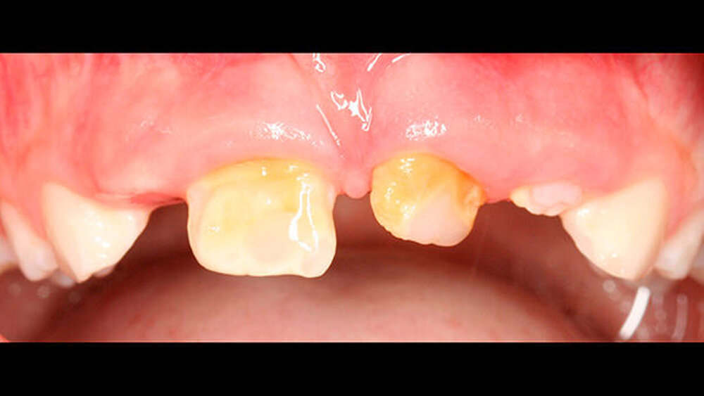
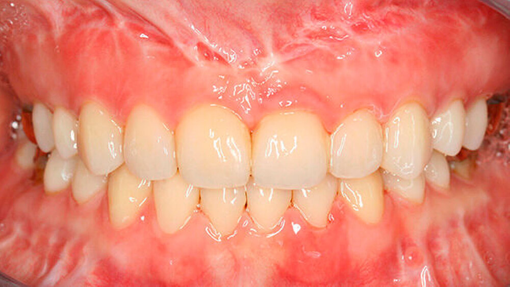
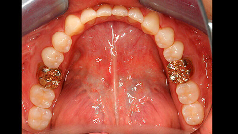
a) Dentinogenesis imperfecta. Da alle Zähne betroffen sind, ist von einer genetisch bedingten Fehlbildung auszugehen. Die Zähne der Patientin weisen zudem eine veränderte Farbe auf. Darüber hinaus sind Abplatzungen des Schmelzes vorzufinden. Trotzdem liegt keine Dentinogenesis imperfecta vor. Die Abplatzungen sind größtenteils geringfügig und zunächst oberflächlich, das heißt nicht unmittelbar bis zum Dentin. Die Farbänderung der Zähne entspricht nicht dem klassischen Bild einer Dentinogenesis imperfecta (siehe auch Abbildungen 3 und 4).
Zudem aber ist das entscheidende Kriterium der Differenzierung, dass die Patientin röntgenologisch keine Obliteration der Pulpa aufweist, was regelmäßig für die Dentinogenesis imperfecta zutrifft [Übersicht in Feierabend 2014a].
b) Erworbene Strukturanomalien: Da alle Zähne betroffen waren, ist von einer genetisch bedingten Ursache der Erkrankung auszugehen. Erworbene Strukturanomalien betreffen nur einzelne Zähne (Abbildung 5) oder Zahngruppen, die sich zur gleichen Zeit entwickeln [Übersicht in Feierabend 2014a]. In sehr seltenen Ausnahmefällen kann trotz genetisch bedingter Grundlage nur ein Teil der Zähne betroffen sein (Abbildung 6).
c) Dentalfluorose. Schwere Formen der Dentalfluorose können ähnlich wie die Amelogenesis imperfecta erscheinen. Verfärbungen und Abplatzungen des Schmelzes können auch hier vorkommen. Sofern eine Fluorose als Differenzialdiagnose in Betracht kommt, gibt in der Regel die Fluoridanamnese den entscheidenden Hinweis [Crawford et al., 2007].
###more### ###title### Behandlungsablauf ###title### ###more###
Behandlungsablauf
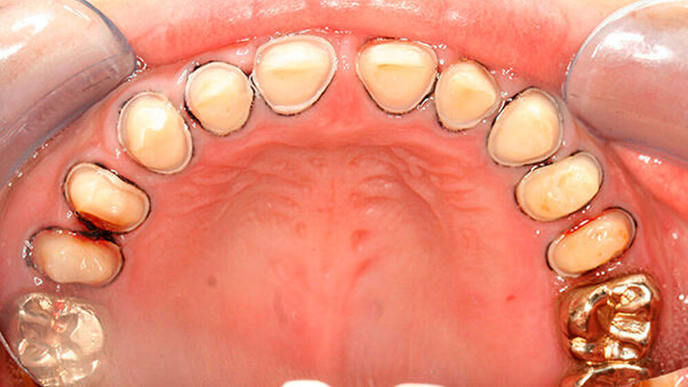
Die Patientin äußerte den Wunsch, die Behandlung in möglichst wenige Sitzungen aufzuteilen. Deshalb wurden im Oberkiefer alle Zähne - mit Ausnahme der mit Gold versorgten Molaren - innerhalb einer längeren Sitzung präpariert (Abbildung 7).
Aufgrund zeitlicher Gegebenheiten wurden dann zunächst im Oberkiefer alle Versorgungen adhäsiv eingeätzt, bevor in zwei weiteren Sitzungen jeweils die Präparation eines Quadranten im Unterkiefer erfolgte. Das Einsetzen der Restaurationen im Unterkiefer erfolgte in einer Sitzung, da die Patientin selbst entschied, dafür mit Infiltrationsanästhesien und/oder intraligamentären Anästhesien auszukommen.
Innerhalb der Präparationen erwies sich als Komplikation die Schwierigkeit einer ausreichenden Anästhesietiefe. Das Narbengewebe der Umstellungsosteotomie schien eine suffiziente Diffusion an manchen Zähnen zu verhindern. Zu bemerken war dies auch an dem notwendigen, etwas erhöhten Druck zur Applikation des Lokalanästhetikums.
Die Präparationsgrenzen wurden möglichst isogingival, gegebenenfalls leicht subgingival gewählt, auf jeden Fall aber so, dass eine Trockenlegung möglich war. Eine typische Eigenschaft des hypomineralisierten Schmelzes - während der Präparation abzusplittern - zeigte sich auch hier, so dass teils - ungewollt - eine Tangentialpräparation entstand.
Wegen der ohnehin schon morphologisch kleinen Zähne wurde in diesen Fällen deshalb auf die forcierte Präparation einer Stufe verzichtet. Dies wurde zusätzlich dadurch ermöglicht, dass als Restaurationsmaterial Komposit gewählt wurde, das in Teilbereichen einer Restauration extrem dünn auslaufen kann [Feierabend et al., 2012]. Somit wurde vermieden, auf Mindestmaterialschichtstärken besondere Rücksicht nehmen zu müssen.
Im Nachhinein stellte sich das getrennte Vorgehen für Ober- und Unterkiefer als durchaus hilfreich für die Patientin dar, die schon nach Einsetzen der Restaurationen im Oberkiefer den Eindruck hatte, nun regelmäßig in eine klar definierte maximale Interkuspidation finden zu können.
Nach Eingliedern der Restaurationen im Unterkiefer trat in dieser Hinsicht nochmalige Besserung ein. Möglicherweise war weiterhin hilfreich, dass die Goldrestaurationen zunächst belassen wurden, da sie im Labor eine Zuordnung der Modelle erleichterten.
Aufgrund der Lage der Präparationsgrenzen sowie der Anzahl der präparierten Zähne wurde unter vierhändiger Trockenlegung eingesetzt, mit einer zusätzlichen Hilfe für das Anreichen von Instrumenten, Materialien und mehr.
Das Einsetzen aller Restaurationen erfolgte nach dem gleichen Vorgehen: Lokalanästhesie, Trockenlegung, Applikation von Fäden, Konditionierung der Präparationsränder für etwa 30 Sekunden und Konditionierung des Dentins für etwa 20 Sekunden (beides mit 35-prozentiger Phosphorsäure). Darauf folgend die Applikation von Primer und Bonding (Optibond FL, Kerr Hawe), sowie das Einsetzen der zuvor konditionierten Restauration mit einem dualhärtenden Befestigungssystem auf Kompositbasis (BiFix QM, VoCo).
Das Konditionieren der Restauration erfolgte mittels Aluminiumsilikat (CoJet™ Verbundsystem und CoJet™ Sand, 3M ESPE) und anschließender Silanisierung der Innenseite (Monobond Plus, Ivoclar Vivadent). Nach Einpassung der Restauration wurde eine initiale Lichthärtung durchgeführt, Überschüsse entfernt und abschließend erneut polymerisert. Zuletzt wurden die Ränder der Restauration geglättet (Brownie und Greenie, Shofu Dental GmbH) und die Okklusion überprüft (Abbildungen 8 bis 11).
###more### ###title### Erläuterungen zum Therapieentscheid ###title### ###more###
Erläuterungen zum Therapieentscheid
In der Gruppe der Amelogenesis imperfecta finden sich viele verschiedene Phänotypen [Crawford et al., 2007]. So gibt es die Form der hypoplastischen Amelogenesis imperfecta, bei der wesentlich zu wenig Schmelz vorhanden ist (auch hier können wieder unterschiedliche Ausprägungen dominieren); der Schmelz aber, der vorhanden ist, weist ähnliche bis identische Merkmale normal gebildeten Schmelzes auf.
Für eine adhäsive Therapieoption bedeutet dies zum Beispiel, dass mit einem normalen Ätzmuster zu rechnen ist, dass das jeweils verwendete Adhäsivsystem nahezu identisch wie in gesunder Zahnhartsubstanz agieren wird. Bei dieser Form der Amelogenesis imperfecta fehlen aufgrund der zu geringen Schmelzdicke häufig die Approximalkontakte (Abbildung 12).
Im Prinzip ist es deshalb gar nicht notwendig, den Schmelz (teilweise oder vollständig) für eine Restauration zu entfernen - abhängig natürlich von der Wahl des Restaurationsmaterials. Gerade aber bei jüngeren Patienten mit zum Beispiel gerade erst durchgebrochenen Zähnen kann es für beide Seiten, Behandler und Patient, durchaus vorteilhaft sein, non-invasiv und dennoch funktionell und ästhetisch ansprechend restaurieren zu können (Abbildung 13).
Schwieriger ist die Behandlung der hypomineralisierten (hypomaturierten) und hypocalcifizierten Amelogenesis imperfecta. Bei beiden Formen ist die Schmelzdicke normal ausgebildet - das heißt, die Sekretionsphase der Ameloblasten ist normal abgelaufen -, in der Maturationsphase aber konnte keine normale Rückresorption der sezernierten Schmelzmatrixproteine stattfinden, so dass ein sehr hoher Anteil organischer Substanz im Schmelz verblieben ist (vermutlich ähnlich dem Schmelz bei der Molaren-Inzisiven-Hypomineralisation) [Crawford et al., 2007].
Der Anteil dieser Substanz ist in der hypocalzifizierten Form am höchsten, das heißt, der Schmelz ist so weich, dass er kaum den Alltagsbelastungen standhalten kann. Für beide Formen ist bei adhäsiven Restaurationen zu beachten, dass in diesem Schmelz keine normale Konditionierung (Ätzmuster, Wirksamkeit des Adhäsivsystems) möglich ist, so dass häufig sehr frühe Misserfolge/Verlustraten der Restaurationen zu verzeichnen sind (wiederum ähnlich der Problematik bei der Molaren-Inzisiven-Hypomineralisation).
Zudem kann es immer wieder zu Abplatzungen des verbliebenen Schmelzes kommen, so dass der entsprechende Zahn eine neue Restauration benötigt, oder die schon vorhandene ausgedehnt werden muss (siehe auch Abbildungen 1 bis 3) [Crawford et al., 2007].
Um bei der vorgestellten Patientin aufgrund der ohnehin geringen Größe ihrer Zähne so wenig wie möglich präparieren zu müssen, wurde ein Komposit (SR Adoro, Ivoclar Vivadent) verwendet, welches auch im Approximalbereich beziehungsweise im Bereich der Stufe unter Umständen für eine Tangentialpräparation verwendet werden kann. Erste Erfahrungen mit diesem Material in ähnlichen Fällen liegen seit einigen Jahren vor [Feierabend et al., 2012].
Eine genetische Untersuchung wurde bei der hier vorgestellten Patientin nicht veranlasst, da sie dies nicht wünschte (zur Genetik bei Amelogenesis imperfecta siehe auch Feierabend 2014b).
Fazit
Da die Amelogenesis imperfecta zu den seltenen Erkrankungen gehört, trifft hier das zu, was auch für die meisten anderen seltenen Erkrankungen zutrifft: Es gibt nur sehr wenig Daten zu speziellen Fragestellungen wie zum Beispiel der bestmöglichen Behandlung.
Der vorgestellte Ansatz ist daher als eine Möglichkeit zu betrachten und erhebt nicht den Anspruch, die einzige oder beste Therapieoption zu sein. Seit einigen Jahren erleben die seltenen Erkrankungen einen Auftrieb im Bereich Forschungsförderung, so dass damit zu rechnen ist, dass sich die Datenlage stetig verbessern wird und in einigen Jahren zu einem Fall - wie dem vorgestellten - eine wissenschaftlich besser untermauerte Aussage gemacht werden kann.
Dr. Stefanie FeierabendAlbert-Ludwigs-Universität FreiburgAbteilung für Zahnerhaltungskunde und ParodontologieHugstetter Str. 55, 79106 Freiburg i. Brsg.stefanie.feierabend@uniklinik-freiburg.de
LiteraturCrawford PJ, Aldred M, Bloch-Zupan A (2007). Amelogenesis imperfecta. Orphanet J Rare Dis doi:10.1186/1750-1172-2-17
Feierabend S (2014a). Behandlungskonzepte bei Strukturanomalien des Zahnschmelzes und des Dentins. Wissen kompakt 8(1):13-25 (2014)
Feierabend S (2014b). Anomalien der Zähne, des Gesichtes und des Schädels - genetische Grundlagen und gegenwärtige Forschung. Anomalies of teeth, head and face - the genetic basis and recent research. Oralprophylaxe & Kinderzahnheilkunde 36(1):26ff
Feierabend S, Halbleib K, Klaiber B, Hellwig E (2012). Laboratory-made composite resin restorations in children and adolescents with hypoplasia or hypomineralization of teeth. Quintessence Int 43(4):305-311
















