Kalziumpyrophosphat-Arthropathie im Kiefergelenk
Eine 59-jährige Patientin stellte sich nach Überweisung durch ihren Hauszahnarzt in der Klinik und Poliklinik für Mund-, Kiefer- und Gesichtschirurgie der Universitätsmedizin Mainz mit Schmerzen im Bereich des rechten Kiefergelenks vor. Die klinische Untersuchung ergab eine geringgradige, jedoch druckdolente Schwellung präaurikulär sowie eine schmerzbedingt eingeschränkte Mundöffnung bei einer maximalen Schneidekantendistanz von 2,5 cm. Auf Nachfrage berichtete sie von einer erstmaligen Befundwahrnehmung vor circa vier Wochen mit einer seither bestehenden Zunahme von Schmerzen und Schwellung. Der allgemeinen Anamnese der Patientin war eine Hemikolektomie nach diagnostiziertem Kolon-Karzinom vor zwei Jahren zu entnehmen. Die regelmäßigen Nachuntersuchungen der vergangenen zwei Jahre zeigten diesbezüglich keine Auffälligkeiten.
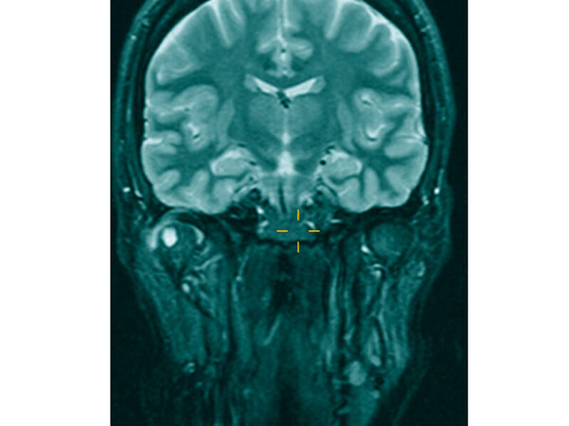
Im Rahmen der klinischen Untersuchung zeigte sich die sonografische Darstellung des Kiefergelenks und dessen angrenzender Strukturen als unzureichend, so dass zur weiteren Diagnostik eine Kontrastmittel-gestützte MRT-Untersuchung des Kiefergelenks eingeleitet wurde (Abbildung 1).
Beim bildmorphologischen Nachweis eines mäßigen Gelenkergusses mit irregulär verdickter, vermehrt Kontrastmittel aufnehmender Synovia, einer ventral gelegenen 2,2 cm x1,3 cm messenden, T2-hyperintensen Läsion mit tubulärer Verbindung zum Gelenkkavum sowie einer 6 mm durchmessenden zystischen Läsion mit randständigem Kontrastmittel-Enhancement im rechten Mandibulaköpfchen ergab sich der differenzialdiagnostische Verdacht auf eine Gicht, eine Pseudogicht oder eine Erkrankung aus dem rheumatoiden Formenkreis.
Zur genaueren Eingrenzung und Beurteilung der Knochenstrukturen wurde allerdings eine zusätzliche CT-Untersuchung empfohlen, die im Hinblick auf eine navigationsgestützte Probenentnahme nach kranialem Einbringen von vier Markierungsschrauben durchgeführt wurde. Hierbei wiederum ergab sich in Korrelation mit der bereits durchgeführten MRT-Untersuchung eine Mehrsklerosierung des Capitulums rechts mit geringen Arrosionen im apikalen Anteil und einer glatt begrenzten Zyste. Somit wurde von den radiologischen Kollegen die Verdachtsdiagnose eines Chondrosarkoms aufgestellt (Abbildung 2).
In der navigationsgestützten Probenentnahme in der darauffolgenden Woche präsentierten sich der perikapituläre Kapselapparat als solide kalzifiziert und verdickt sowie der Inhalt des Zystenkavums und die das Kiefergelenk umgebende Raumforderung – die soweit möglich entfernt wurde – als gallertartige Masse mit kleinen, kristallartigen Kalzifikationen (Abbildung 3). Die histopathologische Befundung zeigte die Charakteristika einer Kristallarthropathie mit assoziierter Fremdkörper- und Entzündungsreaktion, passend zu einer Kalziumpyrophosphat- Arthropathie (Abbildung 4). Nach unauffälligem postoperativem Verlauf konnte die Patientin entlassen werden. Im Rahmen der klinischen Untersuchung nach zwei Wochen unter Therapie mit einem nichtsteroidalen Antirheumatikum (NSAR) war sie bei vollständig regredienter Schwellung beschwerdefrei.
Diskussion
Eine druckdolente Schwellung im Bereich des Kiefergelenks mit Einschränkung der Mundöffnung weist häufig – besonders bei Frauen höheren Alters – auf einen entzündlichen Prozess hin. Beschriebene Formen der Kiefergelenksarthritis sind neben der Gicht die rheumatoide Arthritis oder seltener eine Kalziumpyrophosphat-Arthropathie. Aufgrund der uneinheitlichen Symptomatik von Kiefergelenksarthropathien sollte stets die Abgrenzung zu malignen Veränderungen wie etwa einem Chondrosarkom oder einem Osteosarkom erfolgen.
Neben der klinischen Untersuchung, bestehend aus sorgfältiger Schmerzanamnese, Inspektion, Palpation sowie – wenn erforderlich – einer gründlichen Funktionsanalyse beider Kiefergelenke, bedarf es zusätzlich bildgebender Verfahren des Kopfes beziehungs- weise der Kiefergelenke [Kobayashi et al., 2001; Kristensen et al., 2016]. Die Magnetresonanztomografie und/oder die Computertomografie sind dabei aufgrund einer besseren Strukturbeurteilung der konventionellen Röntgenuntersuchung sowie der sonografischen Darstellung bei der Diagnosestellung weit überlegen und stellen somit den diagnostischen Goldstandard zur bildmorphologischen Beurteilung der Kiefergelenke dar [Weiss et al., 2008; Muller et al., 2009; Vates et al., 2012]. Während die Computertomografie insbesondere zur Beurteilung ossärer Gelenkanteile verwendet wird, lassen sich Gelenkknorpel, -kapsel sowie Discus articularis mittels MRT besser abgrenzen und beurteilen. Im Fall unklarer Veränderungen – wie im vorliegenden Beispiel – stellt die Probebiopsie zur histopathologischen Beurteilung und Diagnosesicherung den klinischen Goldstandard dar.
Die Kristallarthropathie ist eine Gelenkerkrankung, die durch Ablagerung von Kristallen im Bereich der Synovia gekennzeichnet ist. Je nach Kristallart (der chemischen Zusammensetzung) wird zwischen der Kalziumpyrophosphat-Arthropathie und der durch Uratkristalle ausgelösten Gichtarthropathie unterschieden [Koitschev et al., 2003; Abdelsayed et al., 2014]. Aufgrund der klinisch-radiologischen Nähe zur Gichtarthropathie wird die Kalziumpyrophosphat-Arthropathie (im englischen Sprachraum: Calcium Pyrophosphate Dihydrate Crystal Deposition Disease, CPDD) auch als „Pseudogicht“ bezeichnet. Vorwiegend durch den Befall von Hand- und Kniegelenk charakterisiert wurde die CPDD erstmals im Jahr 1962 durch Kohn et al. beschrieben [Kohn et al., 1962; Appel et al., 2001; Vates et al., 2012]. Der isolierte Befall des Kiefergelenks stellt dabei eine Rarität dar, sollte jedoch bei Kiefergelenksbeschwerden differenzialdiagnostisch in Betracht gezogen werden [Reynolds et al., 2008; Abdelsayed et al., 2014].
Die Kalziumpyrophosphat-Arthropathie zeigt unterschiedliche klinische Verlaufsformen. Es ist sowohl ein akut-intermittierender als auch ein chronischer Krankheitsverlauf bekannt, wobei besonders ersterer dem eines „Gichtanfalls“ gleicht und vorwiegend das Kniegelenk betrifft [Marsot-Dupuch et al., 2004]. Sollte eine Kiefergelenksbeteiligung vorliegen, klagen die Patienten über Schmerzen mit begleitender präaurikulärer Schwellung. Weitere Symptome können funktionelle Einschränkungen der Gelenkbewegung, Gelenkgeräusche oder eine Hörminderung sein [Appel et al., 2001; Laviv et al., 2015]. Die Kalziumpyrophosphat-Arthropathie des Kiefergelenks tritt fast immer unilateral auf, nur vereinzelte Fallberichte über ein bilaterales Vorkommen liegen vor.
CPDD betrifft vorwiegend Frauen (2:1) und das Erkrankungsrisiko steigt mit zunehmendem Alter [Reynolds et al., 2008; Vates et al., 2012]. Die Pathogenese ist bis heute noch nicht vollständig geklärt, eine Störung des Phosphatstoffwechsels wird als Ursache diskutiert [Canhao et al, 2001; Meng et al., 2011; Kwon et al., 2018].
Infolge der vermehrten Ablagerung von Kalziumpyrophosphat-Kristallen kommt es zur Ausbildung einer Synovialitis und – bei längerem Fortbestehen – einer begleitenden Knorpeldegeneration, was wiederum die Entstehung einer Arthritis begünstigt. Obgleich eine Häufung radiologischer Besonderheiten wie das Vorhandensein einer periartikulär kalzifizierten Masse – ähnlich wie im vorliegenden Fall – mit Ausdehnung bis hin zur Schädelbasis beschrieben wird, ist das radiologische Erscheinungsbild uneinheitlich und wie die begleitende klinische Symptomatik vor allem unspezifisch [Meng et al., 2011; Bae et al., 2017].
Während sich intra- und periartikuläre Verkalkungen gut mittels CT darstellen lassen, erfordert die Beurteilung der angrenzenden, oft neoplastisch anmutenden, aufgetriebenen, weichgewebigen und knorpeligen Strukturen eine ergänzende MRT-Untersuchung [Aoyama et al., 2000; Koitschev et al., 2003]. Mögliche, nur schwer abzugrenzende neoplastische Differenzialdiagnosen sind dabei das Osteochondrom, das Chondrosarkom oder das Chondroblastom [Loro und Bjørnland, 2020]. Wie im Fallbeispiel ist das – wenn auch seltene – Vorkommen kapitulär lokalisierter synovialer Zysten beschrieben [Maribo et al., 2019]. Synovialzysten sind echte synovial-ausgekleidete Zysten, die aus einer verlagerten oder exponierten Synovialschleimhaut entstehen und mit dem Gelenkkavum kommunizieren. Als Ursache vermutet man dabei eine primär traumatische oder postentzündliche Genese mit der Entstehung eines erhöhten intraartikulären Drucks [Vera-Sirera et al., 2013].
Da eine abschließende Bewertung der CPDD auf Basis radiologischer Daten nicht möglich ist, sollte die Diagnosestellung mittels histopathologischer Befundsicherung erfolgen. Wegweisend für die CPDD ist dabei der histologische Nachweis von Kalziumpyrophosphat-Kristallen. Aufgrund der unterschiedlich progredienten Verlaufsformen bedarf es verschiedener therapeutischer Ansätze. Zur Symptomkontrolle wird daher bei moderater Ausprägung die Gabe nichtsteroidaler Antirheumatika (NSAR), Colchicin sowie die intraartikuläre oder systemische Glukokortikoidgabe empfohlen [Koitschev et al., 2003; Announ und Guerne, 2007; Andrés et al., 2018]. Hingegen sollte bei fortgeschrittener Knochen- und Weichteilbeteiligung die chirurgische Entfernung der kalzifiziert-kristallinen Masse sowie des destruierten Knochen- und Weichgewebes zur Linderung der Beschwerden und Wiederherstellung der Funktion erfolgen [Meng et al., 2011; Kwon et al., 2018].
Dr. Dr. Daniel G. E. Thiem
Weiterbildungsassistent
Klinik und Poliklinik für Mund-, Kiefer- und
Gesichtschirurgie, Plastische Operationen
Universitätsmedizin Mainz
Augustusplatz 2, 55131 Mainz
PD Dr. Dr. Peer W. Kämmerer, Ma, FEBOMFS
Leitender Oberarzt und
stellvertretender Klinikdirektor
Klinik und Poliklinik für Mund-, Kiefer- und
Gesichts chirurgie, Plastische Operationen,
Universitätsmedizin Mainz
Augustusplatz 2, 55131 Mainz
peer.kaemmerer@unimedizin-mainz.de
Fazit für die Praxis
Die Kalziumpyrophosphat-Arthropathie zählt – wie die Gicht – zur Gruppe der Kristallarthropathien. Durch die intraartikuläre Ablagerung von Kalziumpyrophosphat-Kristallen kann es im weiteren Krankheitsverlauf über eine initiale Synovialitis zur Arthritis kommen.
Die Kalziumpyrophosphat-Arthropathie des Kiefergelenks manifestiert sich fast ausschließlich unilateral und stellt eine Rarität dar, sollte jedoch bei unklaren Kiefergelenksbeschwerden in Betracht gezogen werden.
Klinisch treten beim Befall des Kiefergelenks am häufigsten Schmerzen, aber auch präaurikuläre Schwellungen, funktionelle Einschränkungen der Gelenkbewegung, Gelenkgeräusche und/oder eine Hörminderung auf.
Radiologisch kann die Abgrenzung zu malignen Prozessen aufgrund der Manifestation von Pseudotumoren erschwert sein und bedarf somit einer histopathologischen Abklärung. Die definitive Diagnosestellung erfolgt letztendlich durch den mikroskopischen Nachweis von Kalziumpyrophosphat-Kristallen.
Für die Therapie moderater Ausprägungen wird eine symptomatische Behandlung durch die Gabe nichtsteroidaler Antirheumatika oder von Glukokortikoiden angeraten. Bei progredienten Krankheitsverläufen hingegen sollten die kristalline Masse und das destruierte Gewebe zur Linderung der Beschwerden und zur Wiederherstellung der Funktion chirurgisch entfernt werden.
Literaturliste
Abdelsayed, R. A., et al. (2014). „Tophaceous pseudogout of the temporomandibular joint: a series of 3 cases.“ Oral Surg Oral Med Oral Pathol Oral Radiol 117(3): 369-375.
Andrés, M., et al. (2018). „Therapy for CPPD: Options and Evidence.“ Current Rheumatology Reports 20(6).
Announ, N. and P. A. Guerne (2007). „Diagnose und Therapie der Kalziumpyrophosphatkristall-induzierten Arthropathie.“ Zeitschrift für Rheumatologie 66(7): 573-578.
Aoyama, S., et al. (2000). „Differential diagnosis of calcium pyrophosphate dihydrate deposition of the temporomandibular joint.“ Br J Oral Maxillofac Surg 38(5): 550-553.
Appel, T., et al. (2001). „[Calcium pyrophosphate arthropathy (pseudogout) of the temporomandibular joint].“ Mund Kiefer Gesichtschir 5(1): 61-64.
Bae, S., et al. (2017). „Correlation between pain and degenerative bony changes on cone-beam computed tomography images of temporomandibular joints.“ Maxillofac Plast Reconstr Surg 39(1): 19.
Canhao, H., et al. (2001). „Cross-sectional study of 50 patients with calcium pyrophosphate dihydrate crystal arthropathy.“ Clin Rheumatol 20(2): 119-122.
Kobayashi, R., et al. (2001). „Ankylosis of the temporomandibular joint caused by rheumatoid arthritis: a pathological study and review.“ J Oral Sci 43(2): 97-101.
Kohn, N. N., et al. (1962). „The significance of calcium phosphate crystals in the synovial fluid of arthritic patients: the “pseudogout syndrome„. II. Identification of crystals.“ Ann Intern Med 56: 738-745.
Koitschev, C., et al. (2003). „Kalziumpyrophosphat-Arthropathie des Kiefergelenks.“ Hno 51(8): 649-653.
Kristensen, K. D., et al. (2016). „Clinical predictors of temporomandibular joint arthritis in juvenile idiopathic arthritis: A systematic literature review.“ Semin Arthritis Rheum 45(6): 717-732.
Kwon, K. J., et al. (2018). „Calcium pyrophosphate dihydrate deposition disease in the temporomandibular joint: diagnosis and treatment.“ Maxillofac Plast Reconstr Surg 40(1): 19.
Laviv, A., et al. (2015). „Pseudogout in the temporomandibular joint with imaging, arthroscopic, operative, and pathologic findings. Report of an unusual case.“ J Oral Maxillofac Surg 73(6): 1106-1112.
Loro, L. L. and T. Bjørnland (2020). „Calcium pyrophosphate deposition disease: A case report with bilateral involvement of the temporomandibular joints and concurrence of psoriatic arthritis.“ Clinical Case Reports.
Maribo, Y., et al. (2019). „Synovial Cysts in the Temporomandibular Joint: a Case Report and Critical Review of the Literature.“ J Oral Maxillofac Res 10(1): e4.
Marsot-Dupuch, K., et al. (2004). „Massive calcium pyrophosphate dihydrate crystal deposition disease: a cause of pain of the temporomandibular joint.“ AJNR Am J Neuroradiol 25(5): 876-879.
Meng, J., et al. (2011). „A case of destructive calcium pyrophosphate dihydrate crystal deposition disease of the temporomandibular joint: a diagnostic challenge.“ Int J Oral Maxillofac Surg 40(12): 1431-1437.
Muller, L., et al. (2009). „Early diagnosis of temporomandibular joint involvement in juvenile idiopathic arthritis: a pilot study comparing clinical examination and ultrasound to magnetic resonance imaging.“ Rheumatology (Oxford) 48(6): 680-685.
Reynolds, J. L., et al. (2008). „Tophaceous calcium pyrophosphate dihydrate deposition disease of the temporomandibular joint.“ J Rheumatol 35(4): 717-721.
Vates, G., et al. (2012). „Calcium Pyrophosphate Deposition Disease of the Temporomandibular Joint.“ Journal of Neurological Surgery Reports 73(01): 006-008.
Vera-Sirera, B., et al. (2013). „Synovial cysts of the temporomandibular joint: an immunohistochemical characterization and literature review.“ Case Rep Pathol 2013: 508619.
Weiss, P. F., et al. (2008). „High prevalence of temporomandibular joint arthritis at disease onset in children with juvenile idiopathic arthritis, as detected by magnetic resonance imaging but not by ultrasound.“ Arthritis & Rheumatism 58(4): 1189-1196.













