KFO in der Zahnmedizin
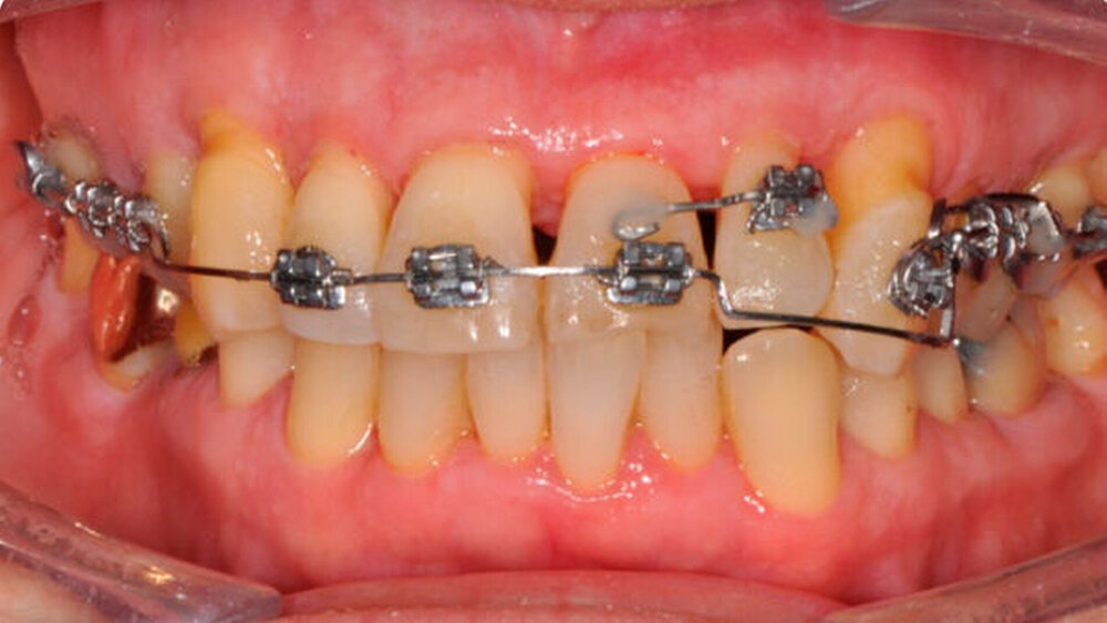
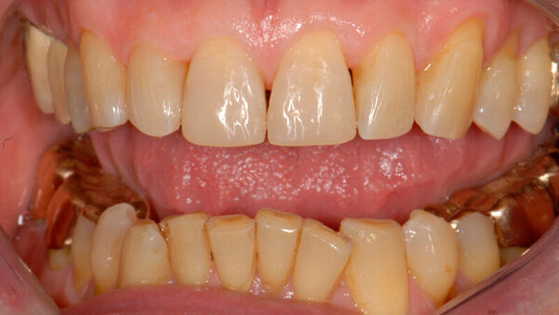
Auf der Jahrestagung der Deutschen Gesellschaft für Kieferorthopädie (DGKFO) beleuchteten Experten die interdisziplinäre Zusammenarbeit in der kieferorthopädischen Praxis durch die Weiterentwicklung der verschiedenen zahnärztlichen Fächer, wie zum Beispiel der Parodontologie, der Zahnerhaltung und der fortschreitenden Digitalisierung in der Diagnostik.
Artikel nicht gefunden id_extern: typo3-import-article-308
<interactive-element xmlns:ns3="http://www.w3.org/1999/xlink" ns3:href="censhare:///service/assets/asset/id/" ns3:role="censhare:///service/masterdata/asset_rel_typedef;key=actual."/>
Die Jahrestagung derDeutschen Gesellschaft für Kieferorthopädie fand vom 18. bis 21. November 2015 in Mannheim statt. Wir danken Dr. med. dent. Leonie Gauß, Dr. med. dent. Linda Selz, ZÄ Hyemin Hong und ZÄ Sophie Mohr für die Ausführungen zu diesem Beitrag!










