Metastase eines epitheloiden Pleuramesothelioms
Der Patient war durch seinen Hauszahnarzt überwiesen worden und gab an, seit zwei Jahren (ED 12/2013) wegen eines Pleuramesothelioms der rechten Brustwand mit Palliativsituation in onkologischer Behandlung zu sein.
Anamnese und allgemeine Diagnose
Anamnestisch war zu eruieren, dass ein Progress des bekannten Mesothelioms langstreckig die Vena cava superior infiltriert hatte und es zu einer Stenosierung des Gefäßes gekommen war. Deshalb war eine perkutane transluminale Angioplastie der Vena brachiocephalica rechts sowie der Vena cava superior durchgeführt worden.
Anfang 2014 erfolgte über sechs Monate eine palliative Chemotherapie mit Cisplatin und Pemetrexed. Nach Progression im Juni 2015 wurde eine erneute systemische Therapie mit Carboplatin und Pemetrexed initiiert, die im Dezember 2015 durch eine Strahlentherapie ergänzt wurde. Das Pleuramesotheliom wurde als Berufskrankheit anerkannt, wobei dem Patienten zu diesem Zeitpunkt ein Asbestkontakt nicht mehr ersichtlich war.
Als Nebendiagnosen sind eine arterielle Hypertonie, Nierenzysten beidseits, eine Prostatahypertrophie, eine Niereninsuffizienz Stadium II, eine Polyneuropathie Grad I sowie ein Zustand nach Schilddrüsen-Operation 1980 zu erwähnen.
Im der äußeren Inspektion und Palpation fanden sich keine Pathologien, insbesondere keine auffälligen Lymphknoten. Intraoral fand sich eine etwa 1,5 x 1,2 cm rundliche ulzerierende Schleimhautveränderung des mittleren Zungendrittels links (Abbildung 1).
Intraorale Diagnose
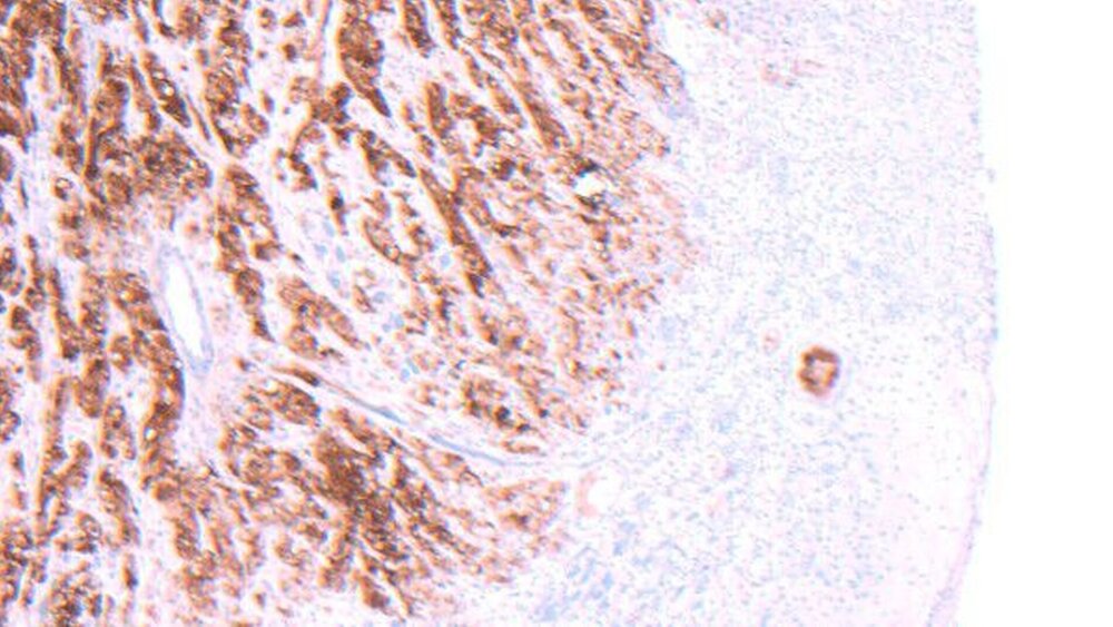
Zur Befundsicherung der intraoralen Neoplasie erfolgte eine Probeentnahme in Lokalanästhesie / Stand-by. Das Ergebnis der pathohistologischen Untersuchung bestätigte den Verdacht auf eine Metastase des bekannten epitheloiden Mesothelioms. Die immunhistochemische Untersuchung zeigte Tumorzellen, die eine starke Positivität für Calretinin aufwiesen, darüber hinaus einen starken Nachweis von Gesamtcytokeratin sowie Cytokeratin 5/6 (Abbildungen 2a und b).
Therapie
Aufgrund der hochpalliativen Gesamtsituation, der Schmerzsymptomatik und dem Nachweis einer neu aufgetretenen Metastase des Pleuramesothelioms wurden keine weiteren Staging-Untersuchungen veranlasst. Um die Operationsrisiken zu minimieren, führten wir eine Reduktion der Metastase mit lokaler Defektdeckung in Lokalanästhesie / Stand-by / Sedierung durch. Histopathologisch wurde eine R1-Resektion bestätigt.
Der postoperative Heilungsverlauf gestaltete sich regelrecht, so dass wir den Patienten mit stabilen Wundverhältnissen in die ambulante Nachsorge entlassen konnten. Der Patient verstarb zwei Wochen nach dem Aufenthalt in stationärer, palliativ-medizinischer Betreuung.
###more### ###title### Diskussion ###title### ###more###
Diskussion
Das Pleuramesotheliom ist ein seltener maligner Tumor, der von den Mesothelzellen der Pleura ausgeht [Carbone et al., 2012; Vazquez et al., 2016; Zhang et al., 2015]. Erste Fälle wurden im Jahr 1960 bei Minenarbeitern beschrieben, die Asbest in Südafrika abbauten [Ray und Kindler, 2009]. Als Ursache gilt die Exposition mit Asbest oder Glasfasermineralien (Erionit) [Carbone et al., 2012].
Das Pleuramesotheliom ist die häufigste Form der Mesotheliome und hat im Frühstadium meist unspezifische Symptome, zum Beispiel leichte persistierende Brustschmerzen. Im Verlauf kann dann besonders durch Pleuraergüsse eine Dyspnoe auftreten [Carbone et al., 2012; Vazquez et al., 2016].
Die Prognose bei malignen Mesotheliomen ist aufgrund der schwierigen Diagnosestellung im frühen Stadium, der schnellen Progression, des invasiven Wachstums und des Mangels an einer effektiven Therapie noch schlecht [Zhang et al., 2015].
Eine Metastasierung im Mundbereich ist nur mit wenigen Fällen beschrieben worden. Insbesondere für die Zungenregion sind bisher nur neun Fälle in der Literatur bekannt, davon sind acht Fälle Metastasen eines Pleuramesothelioms sowie ein Fall, bei dem es sich um eine Metastase eines Peritonealmesothelioms handelte [Vazquez et al., 2016]. Zusätzlich werden in der Literatur Fälle einer Metastasierung von Mesotheliomen in die Gingiva [Moser et al., 2011; Ohnishi et al., 2014], und der Mandibula [Terakado et al., 2004] dargestellt.
Zielführend für die Diagnosesicherung war im vorliegenden Fall der leichte Zugang zur Metastase, deren pathohistologische Aufbereitung dann den Weg zum Primarius aufzeigte.
Fazit
Für den Zahnarzt ist es wichtig zu wissen, dass bei Verdacht auf eine Neoplasie im Mund neben dem Plattenepithelkarcinom auch an Metastasen anderer Organsysteme gedacht werden muss. Dazu gehören neben dem hier dargestellten Fall eines Mesothelioms auch Metastasen von Mamma, Lunge, Schilddrüse, Niere, Prostata, Leber und Darm [Hirshberg et al., 2008].
Deshalb sollte der Zahnarzt bei einer Veränderung im Mundbereich immer eine Metastase in die differenzialdiagnostischen Erwägungen mit einbeziehen und evaluieren, ob eine Malignomerkrankung bereits bekannt ist. In der Anamnese sollte deshalb immer eine Tumorerkrankung erfragt werden. Im Verdachtsfall ist der Patienten zur weiteren Therapie an ein chirurgisches Zentrum zu überweisen.
Kerstin EnnemoserDr. Dr. Helmut SieberDr. Cristian RäderKlinik für Mund-, Kiefer- und Gesichtschirurgie,Malteser Krankenhaus St. Johannes-Stift, Duisburg
Dr. Dr. Mehran MasaeiliKlinik für Mund, Kiefer- und GesichtschirurgieMalteser Krankenhaus St. JosefhospitalKrefeld-Uerdingenkerstin.ennemoser@malteser.org
Literatur
Carbone M., Ly B. H., Dodson R. F., et al. Malignant mes thelioma: facts, myths, and hypotheses.Journal of Cellular Physiology. 2012;227(1):44–58. doi: 10.1002/jcp.22724.
Moser S., Beer M., Damerau G., Lübbers H.T., Grätz K.W., Kruse A.L. A case report of metastasis of malignant mesothelioma to the oral gingiva. Head & Neck Oncology. 2011;3:21.
Hirshberg A, Shnaiderman-Shapiro A, Kaplan I, Berger R. Metastatic tumours to the oral cavity - pathogenesis and analysis of 673 cases. Oral oncology. 2008 Aug;44(8):743-52
Ohnishi Y., Sugitatsu M., Watanabe M., Fujii T., Kakudo K. Metastasis of mesothelioma to the maxillary gingiva. Oncol. Lett. 2014;8(3):1214–1216. Epub 2014/08/15.
Ray M, Kindler HL. Malignant pleural mesothelioma: an update on biomarkers and treatment. Chest. 2009;136:888–96. doi: 10.1378/chest.08-2665.
Terakado N, Shintani S. et al. Malignant pleural mesothelioma metastasis to the mandible. Int J Oral Maxillofac Surg. 2004;33:798.800.
Vazquez MV, Selvendran S, Cheluvappa R, McKay MJ. Peritoneal mesothelioma metastasis to the tongue – Comparison with 8 pleural mesothelioma reports with tongue metastases. Annals of Medicine and Surgery. 2016;5:101-105. doi:10.1016/j.amsu.2015.12.059.
Zhang W., Wu X., Wu L., Zhao X. Advances in the diagnosis, treatment and prognosis of malignant pleural mesothelioma.Annals of Translational Medicine. 2015;3(13, article 182)





