Metastase eines Mammakarzinoms in der Mandibula
Eine 32-jährige Patientin stellte sich mit Parästhesien im linken Unterkieferbereich in einer oralchirurgischen Praxis in Foggia (Italien) vor. Sie berichtete, dass die Beschwerden seit fünf Tagen bestanden und sie vor drei Jahren eine radikale Bimastektomie wegen eines invasiven lobulären Mammakarzinoms hatte. Sie erhielt Chemotherapie und Bestrahlung sowie eine Dauertherapie mit 4 mg Zoledronsäure intravenös alle drei Wochen. Intraorale zeigte sich eine gute Mundhygiene, keine Schwellungen, Fisteln oder offene Schleimhaut. Auffällig waren allerdings regionale Lymphknotenschwellungen submandibulär sowie eine von extraoral tastbare, leichte Schwellung im Bereich des Kieferwinkels linksseitig. Es wurden ein PET-CT sowie ein DVT angefertigt.
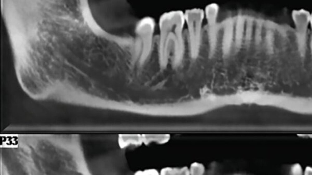
In der sagittalen Ebene des DVTs zeigte sich „eine kleine, wenig diffuse Röntgenopazität in der Nähe des Unterkieferwinkels sowohl auf der medialen als auch auf der lateralen Fläche […]. Die PET-Ergebnisse zeigten eine Fluor-2-Desoxy-D-Glucose-Aufnahme im linken Winkelbereich des Unterkiefers.“ Es wurde im Anschluss eine Feinnadelaspirationszytologie durchgeführt, die Merkmale eines metastasierenden Mammakarzinoms ergab. Differenzialdiagnostisch kam hier auch eine Osteonekrose aufgrund der Bisphosphonatbehandlung in Frage. Die Patientin wurde zurück an ihren Onkologen verwiesen.

Brustkrebs ist in Deutschland die häufigste Krebserkrankung des weiblichen Geschlechts mit rund 70.000 Neudiagnosen und rund 17.000 Todesfällen jährlich [Deutsche Krebsgesellschaft]. Obgleich Fernmetastasen bei Mammakarzinomen nicht selten vorkommen, ist „eine Ausbreitung in die Kopf- und Halsregion […] jedoch selten, wobei supraklavikuläre Lymphadenopathie und Knochenmetastasen im Unter- und Oberkiefer die häufigsten Erscheinungsformen sind“ [Spirito et al., 2024].
Wenn knöcherne Metastasen im Kiefer auftreten, sind diese im Unterkiefer mit rund 44 Prozent häufiger als im Oberkiefer (24 Prozent), und finden sich bei ersterem häufiger in der Kieferwinkelregion oder am Ramus, erläutern die Autoren. Grund dafür ist das hämatopoetische Knochenmark, das eine geringere Blutflussgeschwindigkeit aufweist, was die Anfälligkeit für Krebszellen erhöhen würde, so die Forschenden. Die Diagnose erfolgt oft verzögert und kann sich durch Schwellung und Schmerzen, neurosensorische Befunde wie Parästhesien oder Anästhesie, Ulzerationen, geschwollene Lymphnoten oder pathologischen Frakturen bemerkbar machen, erklären Spirito et al. [2024].
Spirito F, Ambrosino M, Morrone F et al.: „Challenging Differential Diagnosis of Mandible Angle Metastasis from Breast Cancer“, Case Reports in Dentistry, vol. 2024, Article ID 2667323, 5 pages, 2024.






