Orale Aphthen und aphthoide Läsionen
Rezidivierende Aphthen zählen zu den häufigsten Erkrankungen der Mund- und Rachenschleimhaut. Sie beginnen meist im zweiten und dritten Lebensjahrzent und werden bei Frauen häufiger als bei Männern, seltener bei alten Menschen diagnostiziert. Im Altersbereich von fünf bis 17 Jahren sind sie die häufigste Läsion der Mundschleimhaut. Eine familiäre Häufung rezidivierender Aphthen wird bei 30 bis 40 Prozent der Patienten beobachtet.
Eine rechtzeitige Erkennung präkanzeröser Vorläuferläsionen zur Prävention der Entstehung eines oropharyngealen Karzinoms, beziehungsweise zur Sicherung der Diagnose im Frühstadium, ist sehr wichtig.
Hier ist der Zahnarzt der erste, der eine weitere Untersuchung in der Fachabteilung (MKG) empfehlen kann. Denn eine Therapieverzögerung von mehr als vier Wochen führt bei oropharyngealen Karzinomen zu einer signifikant schlechteren Überlebensrate und zur Notwendigkeit multimodaler und aggressiverer Therapiestrategien. Das kann bei früher Diagnostik vermieden werden.
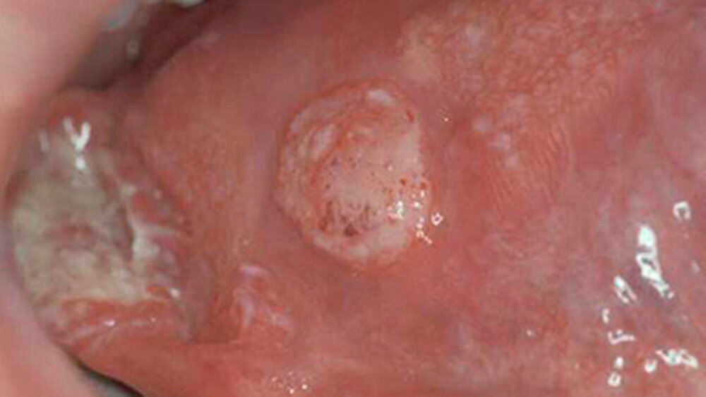
Differenzialdiagnosen der Aphthen sind Malignome und deren Vorstufen, andere Stomatopathien, reaktive Veränderungen der Mund- und Rachenschleimhaut, gastrointestinale Syndrome, mukokutane Erkrankungen des rheumatischen Formenkreises, bullöse und lichenoide Dermatosen und Infektionskrankheiten. Sie alle können sich mit Mundaphthen präsentieren.
Die Dauer einer Erkrankung mit rezidivierenden Aphthen kann sich über wenige Monate bis über 40 Jahre erstrecken. Schmerzlinderung, Verkürzung der Präsenzdauer der Aphthen, Verlängerung der symptomfreien Intervalle und im besten Fall die Verhinderung neuer Aphthen sind die Therapie- und Prophylaxevorgaben.
Wichtig für den Zahnarzt
Eine Aphthe, deren symptomatische Schmerzbehandlung nicht in etwa zwei Wochen zum Erfolg führt oder zumindest eine Rückbildungstendenz zeigt, muss unbedingt zur weiteren Diagnostik (histologische Abklärung) an die Fachabteilung überführt werden.
Ebenso sollten in die Anamnese eine Abklärung von Malabsorpionsmangelzuständen, Arzneimittel-unverträglichkeiten und systemische Erkrankungen berücksichtigt werden.
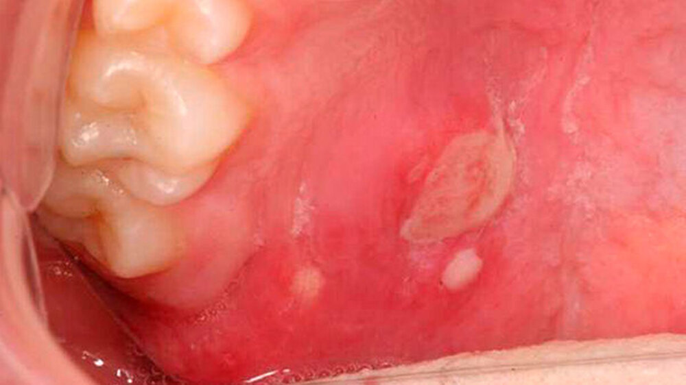
Bei lokal begrenzten Läsionen sollte immer auch an mögliche mechanische Irritationen (Prothesendruckstellen, oder Überstände an Zahnersatz und mehr) gedacht werden.
Auch thermische Irritationen (Getränke oder Medikamente ) könnten zu einer Läsion der Mundschleimhaut sowie Verletzungen durch harte Nahrung (Brotkrusten) führen, was berücksichtigt werden müsste.
Die Leitlinie im Original finden Sie hier.





