Orale Rehabilitation eines Abrasionsgebisses
Stefan Heßling, Bernd Rademacher
Im hier vorliegenden Fallbericht soll Schritt für Schritt das prothetische Vorgehen zur Rehabilitation eines Abrasionsgebisses mit kombiniert festsitzend-herausnehmbaren Zahnersatz beschrieben werden. Vorgestellt werdensoll die Problematik einer solch umfangreichen Versorgung – insbesondere in Hinblick auf die bestehende funktionelle Problematik. Es werden Hinweise, besonders bezogen auf die Vermeidung möglicher Risiken und Komplikationen, die sich im Rahmen einer solchen Behandlung einstellen können, gegeben.
Einleitung
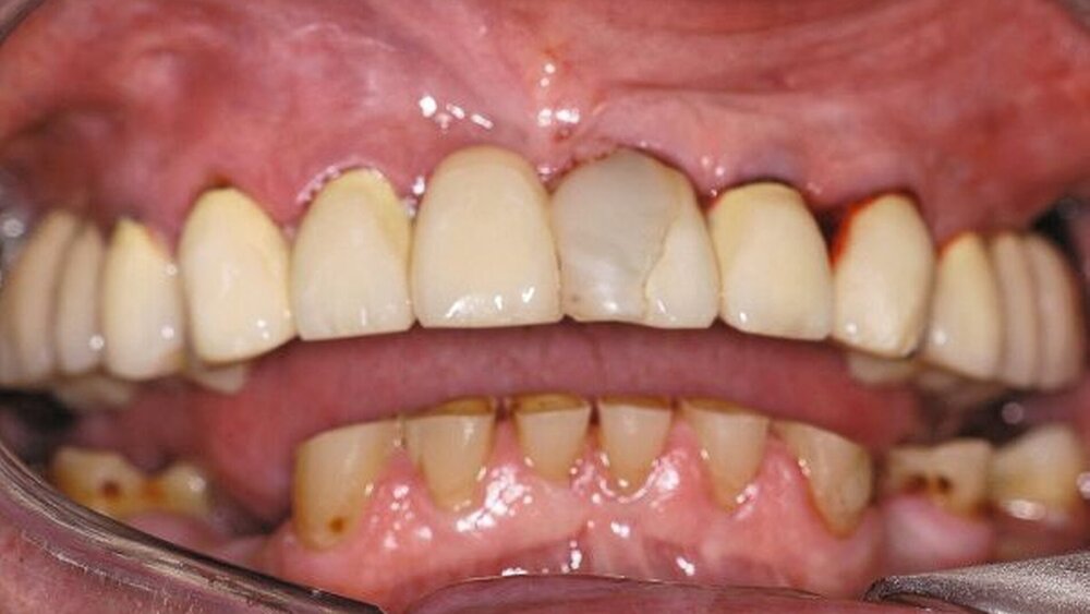
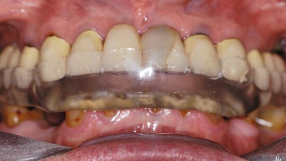
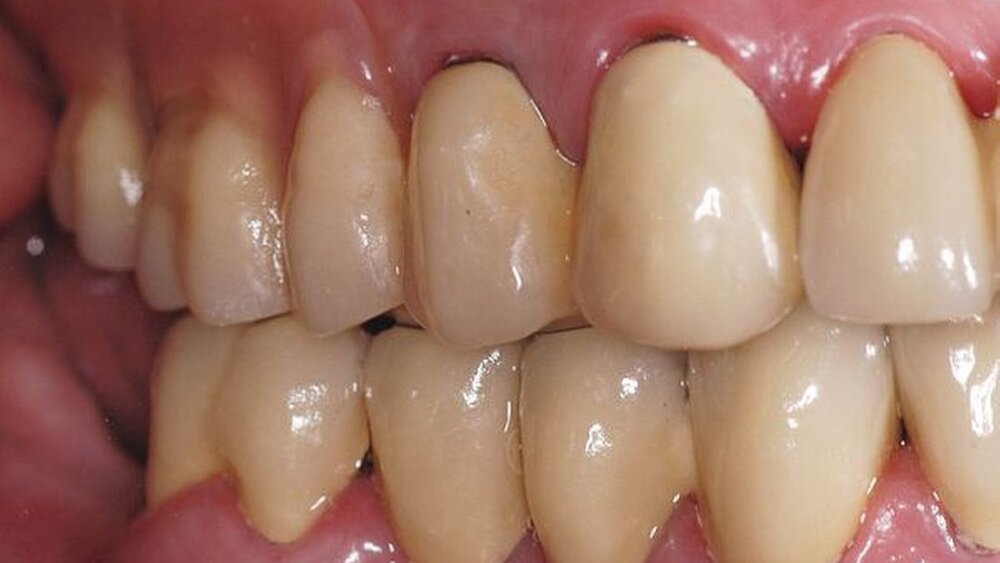
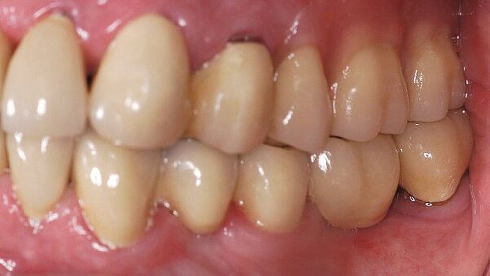
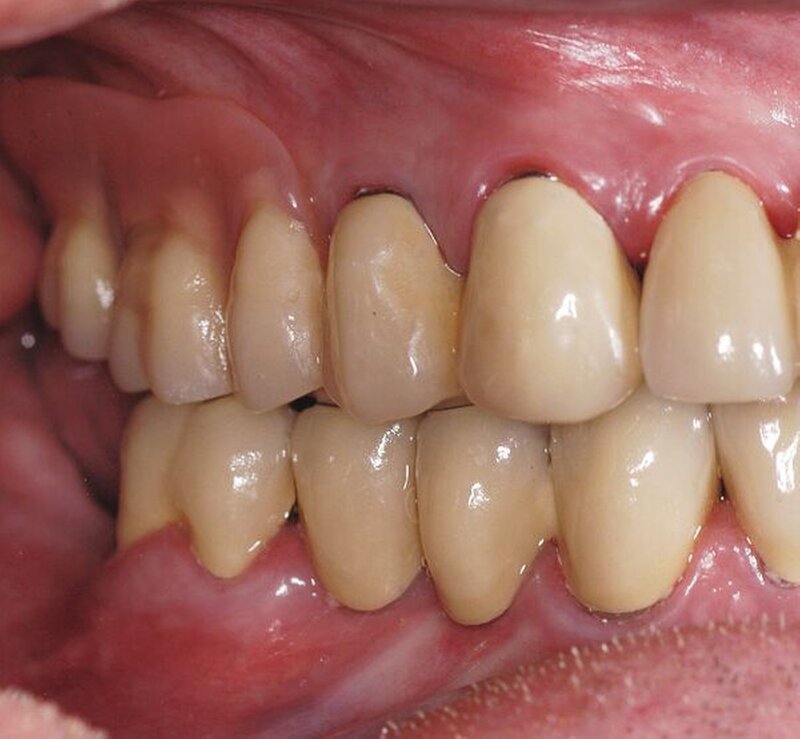
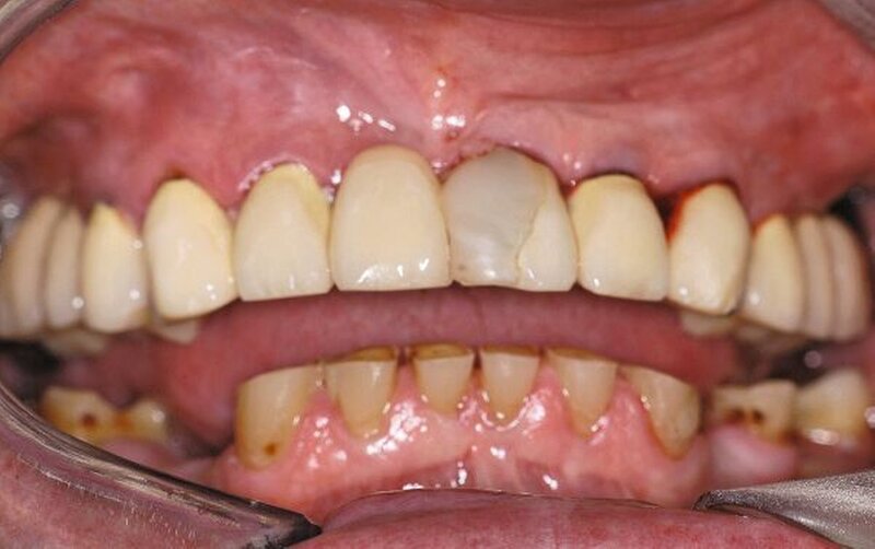
Zahnhartsubstanzverlust hat verschiedene Ursachen. Der Begriff Attrition bezeichnet Substanzverluste durch mechanischen Abrieb im direkten Kontakt zwischen den Zähnen, während der Begriff der Abrasion mechanische Abriebserscheinungen durch äußere Kräfte beschreibt. Für gewöhnlich findet in der täglichen Routine der Zahnarztpraxis keine wissenschaftliche Trennung der Formen und Begrifflichkeiten statt, so dass der Begriff Abrasionsgebiss, für Fälle in denen starke Zahnhartsubstanzverluste – verursacht durch besagte Phänomene – vorliegen, verwendet wird. Häufig steht die Entstehung eines Abrasionsgebisses in enger Beziehung zum Bruxismus. Im nicht oder schlecht versorgten Lückengebiss älterer Patienten sind die verbliebenen Zähne, die noch antagonistische Kontakte haben und nicht prothetisch-restaurativ versorgt sind, besonders dem Substanzverlust unterworfen. Ziele der Rehabilitation sind die Wiederherstellung einer gesicherten Okklusion in korrekter vertikaler Dimension, die Verbesserung der Ästhetik sowie gegebenenfalls das Aufheben etwaiger Zwangsbisslagen. Der Weg zur Rehabilitation eines Abrasionsgebisses führt in jedem Fall über eine diagnostische und therapeutische Phase mit Stabilisierungsschiene. Ein regelmäßiges Recall und der Einsatz einer Schiene mit Schutzfunktion nach Abschluss der Behandlung sind für ein längerfristig gutes und stabiles Resultat unerlässlich [Mericske-Stern et al., 2007] (Abbildungen 1a, 1b, 1c, 2, 3a, 3b).
Anamnese
Ein 64-jähriger Patient, dessen allgemeinmedizinische Anamnese unauffällig war, berichtet im Rahmen der Erstuntersuchung über starke Kiefer-Gesichtsschmerzen seit mehreren Monaten. Man erfährt, dass er auf ein massives Kiefergelenkknacken immer wieder angesprochen wird und seine Frau ihn offensichtlich schon seit Jahren auf ein extremes nächtliches Knirschen hinweist. Er habe selbst auch bemerkt, dass er die Zähne vermehrt aufeinanderpresse und zu starkem Knirschen neige. Das Öffnen und Schließen des Mundes falle ihm zunehmend schwerer und sei ebenfalls mit Schmerzen verbunden. Im Bereich der Musculi masseter, der Musculi temporales sowie der Mundbodenmuskulatur verspüre er starke Verspannungsgefühle. Eine Schienentherapie habe bisher jedoch keine Linderung herbeigeführt. Auffällig war, dass dem Patienten nicht bewusst war, dass seine Zähne Attritionen aufwiesen.
Befund
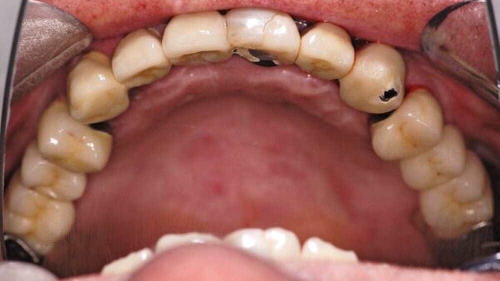
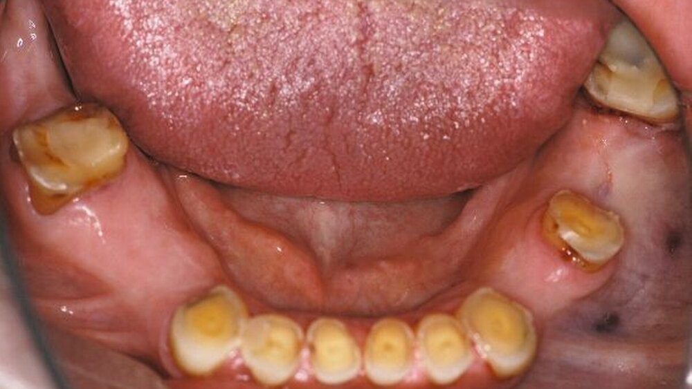
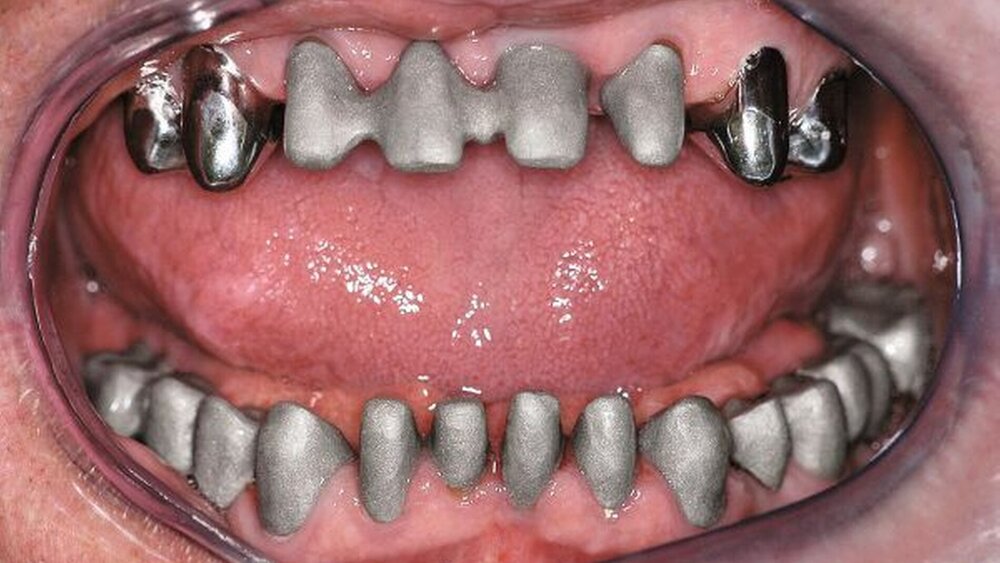
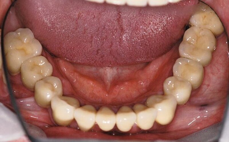
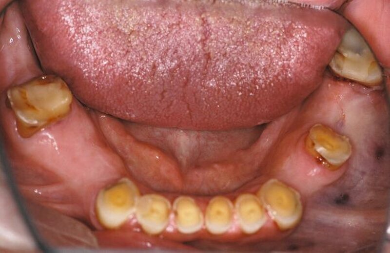
Im Rahmen der intraoralen Befunderhebung wurde festgestellt, dass die Gingiva insgesamt gerötet und ödematös war. Die Messung der Taschentiefe ergab einen durchschnittlichen Wert von fünf mm. Der ermittelte PSI (in Bezug auf die Sechstanten) ergab die Werte 4, 2, 4, 3, 2, 2. Pusaustritt konnte in regio 17 und in regio 27 festgestellt werden, so dass der Erhalt dieser Zähne fraglich war. Im Oberkiefer lag ein prothetisch versorgtes Lückengebiss der Kennedy-Klasse III2 vor. Die Zähne 18, 16, 15, 11, 25, 26 und 28 fehlten. Die prothetische Versorgung bestand aus einer Brücke 17 bis 14 zum Ersatz von 16 und 15, einer Brücke 13 bis 23 zum Ersatz von 11 und einer Brücke 24 bis 27 zum Ersatz von 25 und 26. Sämtliche Brückenanker wiesen Randundichtigkeiten und Sekundärkariesbildung auf. An 21 konnte eine großflächige Keramikabplatzung festgestellt werden. 17 und 27 reagierten im Perkussionstest stark positiv. Im Rahmen einer Sensibilitätsprüfung mittels CO2-Schnee reagierten die Zähne 17, 22 und 27 negativ. Im Unterkiefer lag ein Gebiss der Kennedy-Klasse II3 vor. Die Zähne 38, 36, 34, 44, 45, 47 und 48 fehlten. Die Zähne 37, 42, 46 waren mit Füllungen versorgt, die erhebliche Undichtigkeiten aufwiesen. 46 reagierte im Kältetest negativ. Alle Unterkieferzähne wiesen starke Attritionen auf. Diese Zähne 33 bis 43 sowie 37 und 35 reagierten im Kältetest stark schmerzhaft (Abbildungen 4, 5).
Funktionsbefund
Im Rahmen der Erhebung des Funktionsbefunds entsprechend der Deutschen Gesellschaft für Funktionsdiagnostik und -therapie (DGFDT) konnten Druckdolenzen im Bereich des rechten und des linken Kiefergelenks sowie im Bereich der Musculi masseter, der Musculi temporales sowie der Mundbodenmuskulatur nachgewiesen werden. Ein beidseitiges, in der Intensität leichtes, terminales Knacken bei Mundöffnung sowie ein initiales Knacken bei Mundschluss ließen sich feststellen. Die maximale, schmerzfreie Öffnung lag bei einem Schneidekantendistanzwert von 51 mm. Für die passive Kieferöffnung ließ sich ein Wert von 56 mm ermitteln. Die Öffnungs- und Schließbewegung erfolgte symmetrisch. Die Laterotrusion betrug rechts acht mm, links sieben mm. Für die Protrusion wurde ein Wert von sieben mm ermittelt. Die Protrusion stellte sich, ebenso wie die Laterotrusion nach rechts und nach links gruppengeführt dar.
Die vertikale Kieferrelation war zu niedrig. Eine durchgeführte Differenzmessung ergab eine Differenz von sechs mm zwischen der Ruhelage des Unterkiefers und der Schlussbissposition. Der interokklusale Sprechabstand konnte klinisch-visuell auf einen Wert von etwa acht mm geschätzt werden.
In habitueller Okklusion lag eine gleichmäßige, flächige Vielpunktabstützung auf allen verbliebenen Front- und Seitenzähnen vor.
Röntgenbefund
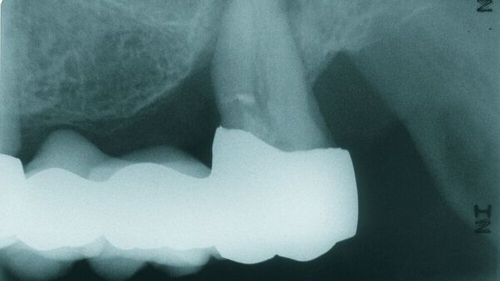
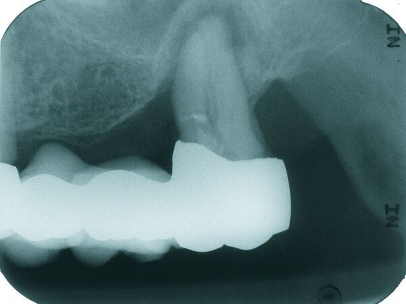
Auf dem vor Anfertigung des Zahnersatzes angefertigten OPG sowie den angefertigten Zahnfilmen der regiones 17 und 27 waren generalisierte horizontale Knochenverluste im Bereich aller verbliebenen Zähne erkennbar. Die Zähne 17 und 27 wiesen zudem vertikale Knocheneinbrüche auf. Eine radiologische Furkationsbeteiligung ließ sich in beiden Fällen nachweisen. Der Zahn 47 war wurzelkanalgefüllt.
Obwohl der Zahn 47 eine radiologisch nicht vollständig bis zum radiologischen Apex reichende Wurzelfüllung aufwies, wurde auf eine Revision der Wurzelfüllung aufgrund einer seit mehr als 15 Jahren bestehenden Beschwerdefreiheit des Patienten und vollständiger Symptomlosigkeit des Zahnes verzichtet [Peak et al., 1994]. Der Patient wurde über diese Sachverhalte ausführlich aufgeklärt und erklärte sich mit dem Belassen der Wurzelfüllung einverstanden.
Diagnosen
Es wurde folgende Diagnostik gestellt:
• Konservierend und prothetisch insuffizient versorgtes Lückengebiss (OK: Kennedy-Klasse III2 / UK: Kennedy-Klasse II3)• Zu geringe vertikale Kieferrelation bedingt durch Attritionen/Abrasionen• Chronisch generalisierte Parodontitis mit mittlerem Schweregrad und lokalem schweren Schweregrad• Myoarthropathische Beschwerden (Discusluxation mit Reposition / Myopathie)
Behandlungsplanung
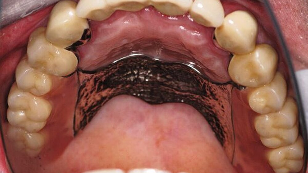
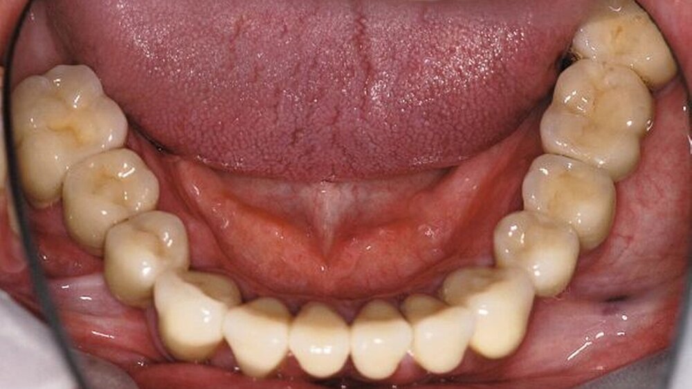
Mit dem Patienten wurden verschiedene Therapiealternativen diskutiert. Durch die werkstofftechnischen Rahmenbedingungen und die finanziellen Vorgaben entschlossen wir uns dazu, im Unterkiefer eine festsitzende Versorgung mittels zweier vollverblendeter VMK-Brücken von 37 bis 35 und von 43 bis 46 sowie vier vollverblendeter VMK-Einzelkronen (32 bis 42) anzustreben. Im Oberkiefer erfolgte die Planung im Sinne einer kombiniert festsitzend-herausnehmbaren Versorgung: vollverblendete VMK-Brücke 12 bis 21, vollverblendete VMK-Einzelkrone 22, Extraktion von 17 und 27, teleskopierend verankerte partielle Prothese mit den Pfeilerzähnen 14, 13, 23 und 24 (Abbildungen 6, 7, 8, 9, 10a, 10b, 11).
Behandlungsablauf
Die Behandlung erfolgte in zwei Phasen. Initiales Therapieziel war die Behandlung der akuten parodontalen und dentalen Befunde sowie die Therapie der myoarthropathischen Beschwerden. In der zweiten Phase sollte nach Beschwerdefreiheit die prothetische Umsetzung folgen (Abbildung 12).
Nach einer fünf Monate dauernden Funktionstherapie mit Stabilisierungschiene und initial begleitender manueller Therapie wurde aufgrund der vollständigen Beschwerdefreiheit mit den weitergehenden Behandlungsmaßnahmen begonnen. Zunächst wurde die Schiene im Bereich der Zähne 11/12 in zwei Teile separiert. Die Zähne des IV-Quadranten wurden mittels dentinadhäsiver Aufbaufüllungen rekonstruiert und – bei im II-Quadranten eingesetzter Schiene – reokkludiert. Nach Abschluss dieser Maßnahme wurde die Dentition im III-Quadranten auf die gleiche Weise aufgebaut und reokkludiert. Durch dieses Vorgehen war es möglich die Schienenokklusion, bei gleichzeitiger Anfertigung von dentinadhäsiven Aufbaufüllungen im Unterkiefer, auf diese zu übertragen, so dass der Patient auch ohne Schiene in identischer horizontaler und vertikaler Kieferrelation abgestützt war. Nach einem Zeitraum von 14 Tagen bestand noch immer vollständige Beschwerdefreiheit, so dass beschlossen wurde, mit der Behandlung fortzufahren.
In der folgenden Sitzung wurden Versorgungsabformungen des Ober- und des Unterkiefers unter Verwendung eines A-Silikons angefertigt. Danach wurden alle verblockten Kronen sowie die Brücken im Oberkiefer entfernt. Die Zähne 14, 13, 12, 21, 22, 23 und 24 wurden exkaviert und mittels dentinadhäsiver Füllungen aufgebaut, danach präpariert. Im Anschluss wurden die Zähne 17 und 27 extrahiert. Da im vorliegenden Fall für den Zeitraum der Wundheilung sowie für die zur Anfertigung des Zahnersatzes notwendige Zeitspanne keine herausnehmbaren Provisorien gewünscht wurden und klare finanzielle Vorgaben gesetzt waren, wurde ein chairside gefertigtes, direktes Kunststoffprovisorium mithilfe der zuvor erstellten Versorgungsabformung im Sinne einer Anhängerbrücke 15 bis 25 angefertigt und mittels provisorischen Zements eingegliedert.
In den beiden nächsten Sitzungen wurden die Zähne des Unterkiefers präpariert. Zuerst der III-Quadrant. Die Anfertigung der Provisorien (verblockte Provisorien 31 bis 32 und 33 bis 37) erfolgte in gewohnter Weise mittels der bereits vorhandenen und ausgeschnittenen Versorgungsabformung unter Verwendung eines Autopolymerisats auf Bis-Acrylat-Basis. Die Brückengliedanteile 34 und 36 wurden chairside individuell ausgestaltet. Eingesetzt wurden die provisorischen Kronen mit einem Zement auf Zinkoxid-Eugenol-Basis. Ein Reokkludieren war aufgrund der korrekten horizontalen und vertikalen Kieferrelation zum Zeitpunkt der Erstellung der Versorgungsabformungen nicht erforderlich.
In der nächsten Sitzung wurde das identische Vorgehen für den IV-Quadranten gewählt. Um ein adäquates Ferrule-Design zu erzielen wurden alle Präparationsgrenzen nach subgingival gelegt. Da es bedingt durch diese Lage zu leichten Blutungen im Bereich der marginalen Gingiva kam, wurden die Abformungen erst nach einem Abheilungszeitraum von 14 Tagen vorgenommen. Der Patient wurde angewiesen, in dieser Zeit dreimal täglich eine chlorhexidinhaltige Mundspüllösung zu verwenden, da durch die Verblockung der provisorischen Kronen und Brücken eine interdentale Mundhygiene nur eingeschränkt möglich war.
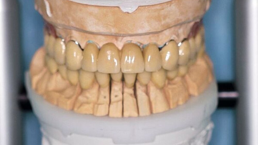
Die Abformungen des OK und des UK erfolgten als Korrekturabformung unter Verwendung eines A-Silikons. Zur Darstellung der subgingival liegenden Präparationsgrenzen wurden mit Adstringentien getränkte, geflochtene Retraktionsfäden in die Sulci aller Zähne eingelegt. Eine adäquate Trocknung der abzuformenden Bereiche wurde durch die Verwendung von Kompressions-Wattekappen, die auf den einzelnen Zähnen platziert wurden, durch Parotispflaster sowie durch eine konstante Absaugung erreicht. Um ein möglichst langes Verarbeitungsintervall zu erzielen, wurde das verwendete Silikon zuvor im Kühlschrank gelagert [Wöstmann et al., 1992; Wöstmann et al., 1999]. Nach erfolgter Abformung wurde ein Gesichtsbogen zur individuellen Übertragung des Oberkiefermodells in den Artikulator angelegt, danach wurden die Provisorien des I- und IV-Quadranten wieder befestigt. Nun wurden partielle interokklusale Registratschlüssel mithilfe eines intraoral anwendbaren Autopolymerisats im Bereich des II- und III-Quadranten angefertigt und beschliffen. In einem zweiten Schritt wurden die Provisorien im I- und IV-Quadranten entfernt und die partiellen interokklusalen Registratschlüssel des II- und III-Quadranten eingesetzt. In dieser Position wurden nun ebenfalls Registratschlüssel im I- und IV-Quadranten angefertigt und beschliffen. Durch dieses Vorgehen war es möglich, die im Rahmen der Registration ermittelte Position – unter Einbeziehung der präparierten Zahnhartsubstanz – auf die Modellsituation des Arbeitsmodells zu übertragen. Abschließend erfolgte die Farbauswahl. Die Arbeitsmodelle wurden mithilfe des zuvor angelegten Gesichtsbogens und der erstellten Registratschlüssel in einen teiljustierbaren Artikulator übertragen. Im Labor erfolgte die Herstellung der Nichtedelmetall-Gerüste der Einzelkronen 22, 32, 31, 41 und 42, die der Brücken 12 bis 21, 35 bis 37 und 43 bis 46 sowie die der Nichtedelmetall- Primärkronen 13, 14, 23 und 24.
In einer weiteren Sitzung erfolgten die Gerüstanproben der angefertigten Restaurationen. Alle Provisorien im Ober- und im Unterkiefer wurden entfernt und die präparierte Zahnhartsubstanz versäubert. Danach wurde die Passgenauigkeit der hergestellten Gerüste am Patienten überprüft. Dies erfolgte unter Verwendung einer Häckchensonde sowie eines niedrigviskösen Silikons. Zudem wurden die mechanische Stabilität, die Friktion und die technische Gestaltung überprüft.
Nach durchgeführter Verblendung und Anfertigung des Sekundärgerüsts der partiellen oberen Prothese sowie Anfertigung einer separaten Wachsaufstellung wurden die Kronen und Brücken erneut anprobiert, um etwaige Änderungen die Farbe der Restaurationen betreffend vor dem Glasurbrand durchführen zu können. Zudem wurde die Sekundärkonstruktion der partiellen oberen Prothese auf ihre Passgenauigkeit hin überprüft. In einem letzten Schritt erfolgte dann die Beurteilung der Okklusion der Wachsaufstellung in Relation zu den angefertigten Kronen und Brücken.
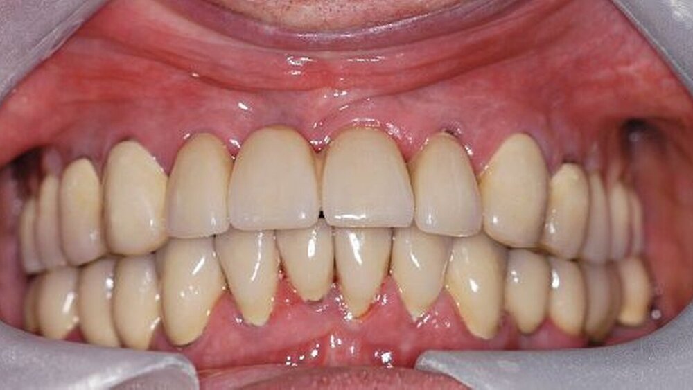
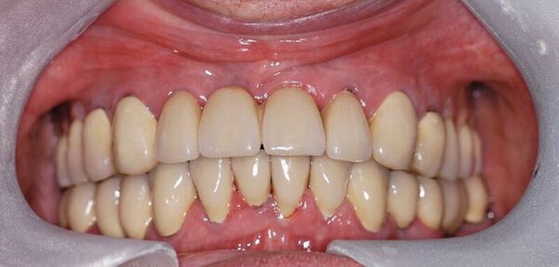
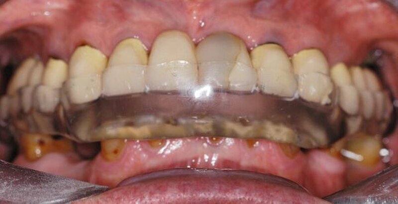
In der darauf folgenden Sitzung wurden alle Kronen und Brücken sowie die teleskopgetragene, partielle obere Prothese für einen Zeitraum von sieben Tagen zum Probetragen mittels eines Zements auf Zinkoxid-Eugenol-Basis eingegliedert. Dem Patienten sollte durch das Probetragen der Restaurationen beziehungsweise des angefertigten Zahnersatzes die Möglichkeit gegeben werden, sowohl die Funktion beim Essen und Sprechen als auch die Ästhetik im sozialen Umfeld zu testen. Ein erneutes Entnehmen der Restaurationen wäre – für den Fall notwendiger Korrekturen – somit ohne Weiteres möglich gewesen. Da der Patient sowohl die Funktion als auch die Ästhetik betreffend keine Änderungswünsche vorbrachte und auch keine neuerlichen Beschwerden aufgetreten waren, konnten die Restaurationen nach besagtem Tragezeitraum von sieben Tagen entnommen, gesäubert und mittels eines Glasionomerzements definitiv befestigt werden. Im Anschluss wurden erneut Situationsabformungen der Kiefer genommen und der Patient erhielt nach erneutem Checkbiss-Registrat, eine okklusal adjustierte Stabilisierungsschiene im Unterkiefer. Diese dient der Therapie der beschriebenen Bruxismusproblematik und gewährleistet einen langfristen Erfolg der eingegliederten prothetischen Restaurationen (Abbildungen 13a, 13b, 13c, 14, 15a, 15b, 15c).
Diskussion
Wird rückblickend der Behandlungsablauf im vorliegenden Fall betrachtet, so wird ersichtlich, wie hilfreich eine ausführliche Dokumentation – insbesondere bei der Planung und Behandlung komplexerer prothetischer Behandlungssituationen – sein kann. Zu einer solchen Dokumentation gehören neben der kontinuierlichen Fotodokumentation auch das Anfertigen von Planungsmodellen sowie das Erheben eines vollständigen Funktionsstatus der DGFDT.
Im beschriebenen Fall wurde der Funktionsstatus primär aufgrund der beschriebenen und beklagten funktionellen Problematiken erstellt. Dabei ist stets zu berücksichtigen, dass die Anfertigung von derart umfangreichem Zahnersatz immer eine funktionelle Komponente beinhaltet, deren Tragweite für den Patienten im Vorhinein klar abgewogen werden muss. Aber auch die forensische Komponente eines solchen Befundbogens sollte, ebenso wie die Bedeutung der Planungsmodelle und der Fotodokumentation nicht unberücksichtigt bleiben. Sie bietet zusätzliche Sicherheit, nicht nur beim Abwägen der eigenen Vorgehensweise, sondern bietet auch Möglichkeiten der Visualisierung, die dem Patienten die für ihn nicht immer nachvollziehbaren Planungszusammenhänge verständlicher machen.
Im vorliegenden Fall fanden sich neben dem beidseitigen, schmerzlosen Knacken – das als Variation der Norm gilt und keiner weiteren Therapie bedarf [Reissmann et al., 2007; Türp et al., 2005] – zudem massive durch Attritionen und Abrasionen verursachte Zahnhartsubstanzdefekte, die über Jahre zu einem Verlust der vertikalen Kieferrelation führten [Bartlett et al., 2005].
Die aufgrund der ermittelten Befunde angefertigte Stabilisierungsschiene diente zum einen als Mittel, um den Patienten an die neue vertikale Kieferrelation zu gewöhnen, zum anderen wurde die therapeutische Komponente in Bezug auf die bestehenden myoarthropathischen Beschwerden genutzt. Die Schiene ist hierfür das Mittel der ersten Wahl, da es sich um ein temporäres, reversibles Behandlungsmittel handelt [Alvarez-Arenal et al., 2002; DGFDT-Stellungnahme, 2005].
Als Methode für die Montage der Modelle zur Modellanalyse wurde das Checkbiss-Registrat mittels einer Beauty-Pink-Platte und Aluwachs angewendet. Die Montage der Modelle zur Herstellung der okklusal adjustierten Stabilisierungsschiene erfolgte mittels des intraoralen Pfeilwinkelregistrats. Statistisch zeigen sich zwischen den einzelnen Registrationsverfahren keine signifikanten Unterschiede [Utz et al., 2002]. Da es sich jedoch im vorliegenden Fall um einen Patienten mit reduzierter Dentition handelt, bietet das intraorale Pfeilwinkelregistrat unter Verwendung laborgefertigter Registrierbehelfe eine praktikable, reproduzierbare und sichere Methode.
Die neue vertikale Kieferrelation wurde aufgrund der ermittelten Distanz bei der Differenzmessung und dem Ergebnis des interokklusalen Sprechabstands (dieser beträgt durchschnittlich zwei bis drei mm [Meier et al., 2003]) ermittelt.
Unter Berücksichtigung der Fragestellung nach der zu wählenden Abformtechnik stellte sich uns die Frage, ob die Korrekturabformung aufgrund der geringfügig ungenaueren Stumpfdimensionierung für den vorliegenden Fall die geeignete Technik darstellt. Wir haben uns jedoch bewusst für das besagte Verfahren entschieden, da bei der Abformung multipler Zähne ein weniger den Gesetzen des Zufalls unterworfenes Ergebnis resultiert [Marxkors et al., 2007]. Zudem werden subgingival gelegene Ränder deutlich zuverlässiger und eindeutiger wiedergegeben und das Entstehen von Fließfalten kann nahezu vollständig ausgeschlossen werden. Es bleibt in diesem Zusammenhang zu erwähnen, dass weder die Korrektur- noch die Doppelmischabformung klinisch als die qualitativ exaktere beziehungsweise vorteilhaftere bestimmt werden konnte [Gountenoudis et al., 2002].
Bei der für die Herstellung der partiellen oberen Prothese sowie der Einzelkronen und Brücken verwendeten Nichtedelmetalllegierung handelte es sich um eine Kobalt-Chrom-Legierung. Kobalt-Chrom-Legierungen haben in Deutschland den größten Marktanteil der Nichtedelmetalllegierungen. Ihre Zusammensetzung beruht auf 54 bis 70 Prozent Kobalt, 20 bis 31 Prozent Chrom sowie Molybdän, Mangan, Silizium, Wolfram oder Eisen.
Findet eine der besagten Legierungsformen in der Teilprothetik Verwendung, so ist in der Regel Kohlenstoff in minimalen Anteilen enthalten. Dies führt über die Bildung von Karbiden zu einer Steigerung der Festigkeit. Nichtedelmetalllegierungen zeichnen sich durch eine extrem hohe Härte und Festigkeit aus. Verschiedene Faktoren beeinflussen diese individuellen Werkstoffeigenschaften. So ändert Kobalt beim Erstarren in einer Umwandlungsphase (Beginn bei 417 °C) seine kristalline Form. Es kommt zur Ausbildung und Verkeilung feiner Nadelstrukturen. Zudem werden Chromatome in die Struktur eingelagert, was ebenfalls zu einem Zuwachs der mechanischen Festigkeit führt. Die chemische Beständigkeit wird durch eine Passivierungsschicht hervorgerufen, die durch die Oxidation von Chrom entsteht. Selbst bei einem kurzzeitigen Entfernen der Schicht durch Abschleifen, resultiert keine Schädigung, da sich die Schicht extrem schnell neu ausbildet [Strietzel et al., 1998]. Die Oxidschicht des Chroms bleibt im feuchten Mundmilieu weitgehend erhalten. Dies erklärt die extrem hohe Korrosionsbeständigkeit und Widerstandsfähigkeit des Materials. Wird anstelle von Molybdän Wolfram verwendet, benötigt man in etwa die doppelte Menge, um vergleichbare Eigenschaften zu erzielen [Geis-Gerstorfer et al., 2000; Gundlach et al., 2000; Rudolph et al., 1999]. Kobalt-Chrom-Legierungen enthalten in der Regel einen Zusatz von fünf Prozent Molybdän, der die Legierung vor Aufkohlung beim Gießen schützt. Es kommt zur Bildung von Karbiden mit den Kohlenstoffatomen. Zusätzlich wird durch Molybdän die Dehnbarkeit erhöht [Hohmann et al., 2003]. Dies ist insbesondere bei der Herstellung von Kronen und Brücken relevant. Mangan wirkt als Antioxidationsmittel und verbessert die Verarbeitbarkeit, während Silizium das leichtere Ausgießen der Schmelze begünstigt [Siebert et al., 1989]. Kobalt-Chrom-Legierungen weisen in der Literatur Verbundfestigkeitswerte zwischen 37,8 und 59,2 MPa auf [Lenz et al., 1995; Schwickerath et al., 1985; Strietzel et al., 1999].
Die in diesem Zusammenhang zu erwähnenden Nickel-Chrom-Legierungen wurden entwickelt, um aufbrennfähige NEM-Legierungen zu erhalten und somit eine Alternative zu den kostenaufwendigeren EM- Legierungen zu haben. Die Legierungen enthalten Chrom in einer Größenordnung von 15 bis 20 Prozent. Der Nickelgehalt liegt bei 70 Prozent, des Weiteren sind Molybdän, Aluminium, Silizium und Mangan enthalten [Geis-Gerstorfer et al., 2000; Siebert et al., 1989]. Nickel ist als Allergen bekannt [Hohmann et al., 1998], liegt jedoch der Chromgehalt über 20 Prozent und der Molybdängehalt bei mindestens vier Prozent gilt – laut Literatur – bei diesen Legierungen eine gute Korrosionsresistenz als gesichert [Strietzel et al., 2000; Strietzel et al., 1998]. Die Verbundfestigkeitswerte von Nickel-Chrom-Legierungen liegen im Bereich von 38 bis 54 MPa [Schwickerath et al., 1985; Strietzel et al., 1999; Vita Zahnfabrik – Produktinformation, 2000], so dass als Resultat all dessen aus werkstofftechnischen Gründen nichts gegen die Verwendung dieser Legierungen spricht [Cortellini et al., 2006]. Aus unserer Sichtweise besteht jedoch kein Bedarf – unter Berücksichtigung einer möglichen allergischen Komponente – auf eine Nickel-Chrom-Legierung zurückzugreifen.
Abschließend kann somit festgehalten werden, dass durch die gewählte Restaurationsform sowie durch die Art der technischen Umsetzung ein funktionell und ästhetisch sehr gutes Ergebnis erreicht werden konnte. Die Prognose des angefertigten Zahnersatzes ist bei entsprechender Compliance des Patienten sowie aufgrund der guten werkstofftechnischen Eigenschaften über einen Zeitraum von vielen Jahren als sehr gut einzustufen (Abbildungen 16a, 16b, 16c, 16d, 16e ).
Dr. med. dent. Stefan Heßling, MOM
Dr. med. dent. Bernd Rademacher, MOM
Poliklinik für Prothetische Zahnmedizin und Biomaterialien
Albert-Schweitzer-Campus 1, Gebäude: W30
48149 Münster































