Peripherer primitiver neuroektodermaler Tumor
Steffen Müller, Michael Gummer, Martin Gosau, Torsten Reichert
Eine 90-jährige Patientin wurde zur Abklärung der Möglichkeit einer chirurgischen Therapie bei einer erneut aufgetretenen Raumforderung im Bereich der linken Wange in die Regensburger Klinik für Mund-, Kiefer- und Gesichtschirurgie überwiesen. Die Patientin berichtete, erstmalig vier Jahre zuvor einen Knoten in diesem Bereich bemerkt zu haben. Im Verlauf seien drei operative Eingriffe zur Entfernung des Tumors durchgeführt worden. Nach dem letzten operativen Eingriff sei zunächst alles gut gewesen, seit einem Jahr bestünden jedoch zunehmende Schmerzen im Bereich der linken Gesichtshälfte mit einem Taubheitsgefühl der Oberlippe. Seit zwei Monaten bemerkte die Patientin erneut Knoten im Bereich der Narbe. Fremdanamnestisch war durch die Tochter zu erfahren, dass die Patientin im letzten Jahr zehn bis 15 kg an Gewicht verloren habe.
Bei der klinischen Untersuchung zeigten sich infraorbital links mehrere derbe gegen die knöcherne Unterlage verschieblich wirkende, maximal 0,5 cm breite, knotige Raumforderungen im Bereich einer alten Narbe (Abbildung 1). Im Vergleich zur rechten Gesichtshälfte zeigte sich im Bereich des Ausbreitungsgebiets des zweiten Trigeminusastes eine deutlich reduzierte Zwei-Punkt-Diskriminierung im Sinne einer Hypästhesie. Der augenärztliche Befund war unauffällig.
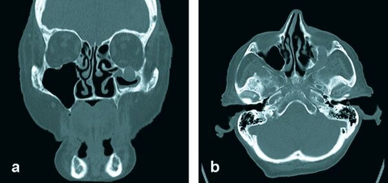
Bei Verdacht auf ein Rezidiv des vordiagnostizierten primitiven neuroektodermalen malignen Tumors wurde zur weiteren Abklärung im Rahmen des Restagings eine Computertomografie des Gesichtsschädels und des Halses veranlasst. Diese ergab einen ausgedehnten Tumor, der sich vom Wangenbereich entlang des Nervus infraorbitalis über die Fissura orbitalis inferior bis zur Schädelbasis wachsend darstellte. Der knöcherne Kanal des Nervus infraorbitalis zeigte sich massiv aufgetrieben (Abbildung 2). Die übrigen, im Rahmen des Stagings veranlassten Untersuchungen (Röntgen-Thorax, Oberbauchsonografie) ergaben keinen Hinweis auf das Vorliegen von Filiae.
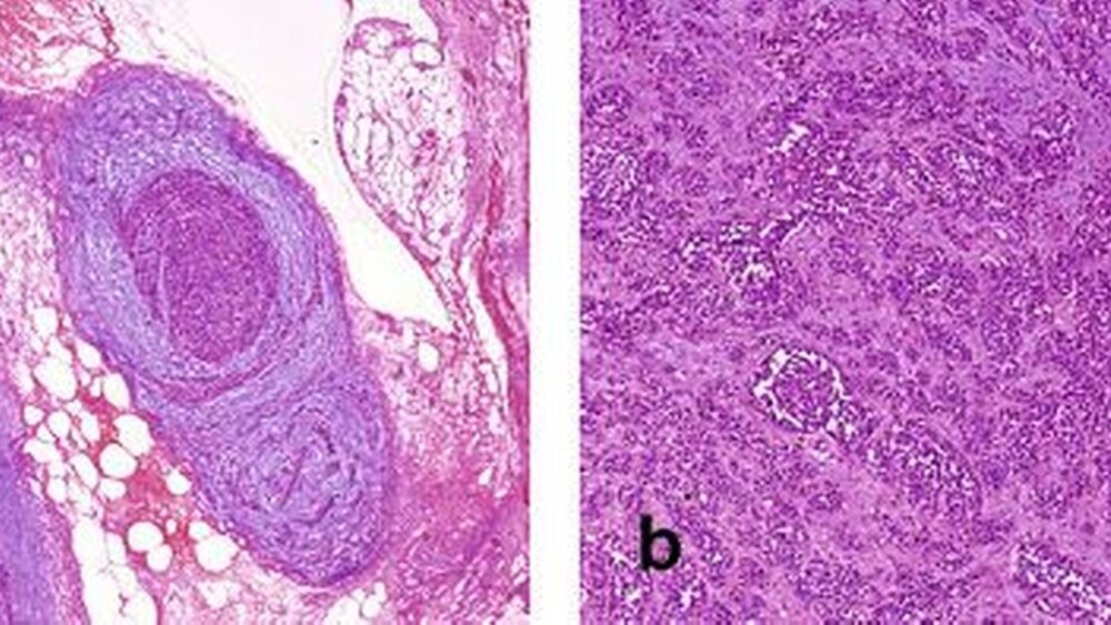
Die histopathologischen Befunde der drei im Verlauf der letzten vier Jahre alio loco durchgeführten Voroperationen wurden angefordert. Die histopathologische Erstdiagnose lautete zunächst auf ein entdifferenziertes spinozelluläres Karzinom. Im Laufe der später durchgeführten Exzisionsbiopsie und mehreren referenzpathologischen Mitbeurteilungen wurde diese Diagnose revidiert, es ergab sich abschließend die histopathologische Diagnose eines peripheren primitiven neuroektodermalen Tumors (Abbildung 3).
Der Fall wurde im Tumorboard für Kopf-Hals-Tumore vorgestellt und interdisziplinär diskutiert. Aufgrund einer begleitenden Niereninsuffizienz und in Anbetracht des hohen Alters mit deutlich reduziertem Allgemein- (Karnofsky-Index 70 Prozent) und Ernährungszustand wurde die Empfehlung zur palliativen analgetischen Radiotherapie ausgesprochen. Die Patientin wurde von den Kollegen der Klinik und Poliklinik für Strahlentherapie zur Radiatio übernommen.
Diskussion
Der periphere primitive neuroektodermale Tumor (pPNET) ist ein seltener, hochmaligner Weichteiltumor neuroektodermalen Ursprungs und zählt damit zu den Sarkomen. Die breite Familie der primitiven neuroektodermalen Tumoren (PNET) wird in drei Gruppen unterteilt [Batsakis, Mackay et al., 1996; Nikitakis, Salama et al., 2003]. Die Tumoren der ersten Gruppe gehen vom zentralen (wie Medulloblastom), die der zweiten vom autonomen Nervensystem (zum Beispiel Neuroblastom) aus. Die dritte Gruppe beinhaltet periphere, also weder vom zentralen noch vom autonomen Nervensystem ausgehende neuroektodermale Tumore. Tumore der dritten Gruppe sind vergleichsweise selten. Der in diesem Fall vorliegende Tumor, der auch als peripheres Neuroepitheliom bezeichnet wird, gehört – wie auch das morphologisch sehr ähnliche Ewing-Sarkom – zur letztgenannten Gruppe. Obwohl eine eindeutige Verbindung zu einem peripheren Nerven für die Diagnose nicht gefordert wird, findet sich – wie auch im dargestellten Fall – in einem Drittel der Fälle eine enge Lagebeziehung zu einem größeren Nerv [Enzinger and Weiss, 1995]. Exakte Angaben zur perineuralen Tumorausbreitung finden sich in der Literatur nicht. Insgesamt findet sich ein solches Wachstum bei 2,5 bis 6 Prozent aller Malignome. Im Kopf-Hals-Bereich tritt dieses Verhalten vorwiegend bei adenoidzystischen Karzinomen auf, kann jedoch auch bei Karzinomen, Sarkomen und Melanomen beobachtet werden [Mendenhall, Amdur et al., 2007; Maroldi, Farina et al., 2008].
Der maligne pPNET ist zumeist im thorakalen Bereich (Askin-Tumor) lokalisiert, gefolgt vom Kopf-Hals-Bereich, seltener auch im Becken oder an den Extremitäten [Zimmermann, Blutters-Sawatzki et al., 1997; Romero, Castano et al., 2011]. In der Literatur wurden bisher lediglich 16 Fälle im Bereich der Orbita beschrieben [Romero, Castano et al., 2011]. Der Tumor tritt vorwiegend im Kindes- und jungen Erwachsenenalter auf [Wenig, Dulguerov et al., 2005]. Ein Auftreten bei älteren Patienten – wie im vorliegenden Fall – ist eine Rarität.
Klinisch wächst der Tumor oft lange Zeit symptomlos, weswegen die Diagnose oft erst im fortgeschrittenen Stadium gestellt wird. Im Kopf-Hals-Bereich stellen Schmerzen, neurologische Defizite (Hypästhesie, Dysästhesie, Sehstörung, Geruchsstörung) und Schwellungen die häufigsten Symptome dar.
In der Computertomografie und in der Kernspintomografie zeigt der pPNET keine spezifischen Muster, die Verwendung eines schichtbildgebenden radiologischen Verfahrens ist jedoch zur Bestimmung der Tumorausdehnung von Bedeutung [Luo and Xiao, 2008].
Histologisch ist die differenzialdiagnostische Abgrenzung zu anderen kleinzelligen undifferenzierten Tumoren und insbesondere zum Ewing-Sarkom schwierig, vor allem beim Auftreten eines derartigen Tumors in den Bereichen der Cutis und der Subcutis [Banerjee, Agbamu et al., 1997], wie auch der vorliegende Fall zeigt. Sowohl beim pPNET als auch beim Ewing-Sarkom lässt sich zytogenetisch eine hochspezifische chromosomale Dislokation (t(11;22)(q24;q12) nachweisen. Histologisch zeigt sich bei beiden Tumoren, aber auch bei anderen sogenannten „Kleinzellern“ ein dichtes monotones Proliferat kleiner runder undifferenzierter Zellen mit relativ großen hyperchromatischen Kernen und oft kaum abgrenzbarem Zytoplasma. Es liegt keine organoide Differenzierung vor. Typisch für den primitiven neuroektodermalen Tumor ist der Nachweis einer neurogenen Differenzierung, die sich lichtmikroskopisch in einer allerdings nicht beweisenden Rosettenbildung äußern kann. Immunhistologisch sind spezielle neurogene Marker von Bedeutung – S100 Protein, neuronspezifische Enolase, Leu 7, Synaptophysin und Chromogranin (Abbildung 3), von denen sich für die Abgrenzung zum Ewing-Sarkom mindestens zwei positiv darstellen müssen [Kleinert, 1991; Nikitakis, Salama et al., 2003]. Eine noch eindeutigere Abgrenzung kann durch die elektronen-mikroskopische Untersuchung der Zell-Ultrastruktur erfolgen.
Die Prognose der peripheren primitiven neuroektodermalen Tumore ist schlecht, die Überlebensrate für alle Therapieformen insgesamt liegt bei 30 bis 45 Prozent nach fünf Jahren. Therapeutisch bestehen die Möglichkeiten einer Resektion, einer Chemotherapie, einer Bestrahlung sowie von Kombinationen aus diesen Verfahren. Einen Konsens hinsichtlich der optimalen Vorgehensweise gibt es nicht, diese ist abhängig von der Lokalisation, der Ausdehnung und der Zugänglichkeit des Tumors sowie vom Allgemeinzustand des Patienten [Romero, Castano et al., 2011]. Aufgrund ihrer aggressiven Tumorbiologie und des seltenen Vorkommens sind die primitiven neuroektodermalen Tumore daher eine besondere Herausforderung für ein multimodales und interdisziplinäres Behandlungskonzept, das die enge Kooperation von Onkologen, Strahlentherapeuten und Chirurgen voraussetzt [Kim, Arora et al., 2009].
Dr. Dr. Steffen Müller
Priv.-Doz. Dr. Dr. Martin Gosau
Prof. Dr. Dr. Torsten Reichert
Klinik und Poliklinik für Mund-, Kiefer- und Gesichtschirurgie
Universität Regensburg
Franz-Josef-Strauss-Allee 11
93053 Regensburg
steffen.mueller@klinik.uni-regensburg.de
Dr. Michael Gummer
Dermatohistologie
Sonnenstr. 7
80331 München
Fazit für die Praxis
• Ursache für desensible Zähne können in seltenen Fällen auch Tumore im Bereich der afferenten Nervenbahnen sein.
• Einige maligne Tumore wachsen gelegentlich zapfenförmig entlang von Leitschienen und knöchernen Kanälen (adenoidzystische Tumore, peripheres Neuroepitheliom) und können bei unvollständiger Resektion (auch bei augenscheinlich kompletter makro- und mikroskopischer In-sano-Resektion) in diesen Bereichen weiterwachsen.
• Aufgrund der Nähe zur Schädelbasis stellen diese Tumoren besonders im Oberkiefer eine besondere Gefahr dar.





