Präzise, schnell, fehlerfrei
Wann und warum haben Sie sich in Ihrer Praxis nahezu komplett von der konventionellen Abformung verabschiedet?Hartung:
Seit Dezember 2017 formen wir nahezu ausschließlich digital ab. Den Ausschlag gab, dass das von mir seit fast 30 Jahren favorisierte Hydrokolloid, ein thermoplastisches Abformmaterial für die Präzisionsabformung, von der von uns favorisierten Firma nicht mehr hergestellt wird. Wir mussten uns Ende letzten Jahres insofern mittelfristig und mit Blick auf unseren Qualitätsanspruch für eine zukünftige Abformstrategie entscheiden. Geholfen bei der Entscheidungsfindung hat das Testen unterschiedlicher Scanner im Praxisalltag.
Gäbe es jedoch noch Ihr „altbewährtes Präzisionsabformmaterial“, hätten Sie nicht umgestellt?Hartung:
Dass wir gezwungen waren, uns hinsichtlich der Abformung neu zu orientieren, hat den Schritt sicherlich forciert. Die Abformung für Kronen und Brücken, ja, sogar für herausnehmbaren Zahnersatz ist völlig problemlos. Schienen sind mit einem Scan und dem anschließenden digitalen Workflow definitiv besser. Wir haben allerdings schon länger darüber nachgedacht, wie wir den Workflow in unserem perio-integrativen Praxiskonzept entsprechend weiter optimieren. Die intraoperative Abformung während der Implantation eröffnet dabei innovative Möglichkeiten der Gestaltung der das Implantat umgebenden Gewebe.
Hat die Umstellung Ihren Praxisalltag verändert?Hartung:
Wir sparen Zeit! In den vergangenen 30 Jahren habe ich bei jedem einzelnen Modell für Kronen und Brücken im Labor unter dem Mikroskop die Präparationsgrenzen dargestellt – ein erheb‧licher Zeitaufwand von zehn Minuten je Sägestumpf allein für die Präzisionsgestaltung. Das erledigen wir heute in einem Bruchteil der Zeit.
Jana Hartung:
Das gesamte Protokoll war enorm aufwendig, nicht nur mit Blick auf die Weiterverarbeitung …
Hartung:
… die ZFA muss den Abdruck vorbereiten, das Modell herstellen, den Abdrucklöffel reinigen, desinfizieren und aufbereiten. Allein das Desinfizieren nimmt fünf Minuten in Anspruch. Dann muss das Modell entformt und getrimmt werden, auch das dauert. Insgesamt sparen wir mindestens eine halbe Helferinnenstunde pro Abdruck. Und wir machen durchschnittlich fünf Abformungen pro Tag.
Demnach war eine ZFA täglich 2,5 Stunden allein mit Arbeiten rund um die Abformung befasst?Hartung:
Wahrscheinlich sogar noch länger. Heute erhält unser Zahntechniker eine halbe Stunde nachdem der Patient die Praxis verlassen hat, die 3Shape- und Scandaten per Dropbox und importiert die Daten in die entsprechende Software. Nur die finale Arbeit wird noch herkömmlich versendet. Selbstverständlich begutachten wir vorab genauestens die Präpara‧tionsgrenzen.
Jana Hartung:
Es geht aber nicht nur darum, Zeit zu sparen. Auch das Behandlungsspektrum lässt sich erweitern. Wir können heute zum Beispiel Angstpatienten viel leichter und effektiver behandeln.
Bei welchen Indikationen muss es nach wie vor die konventionelle Abformung sein?Jana Hartung:
Bei Funktionsabformungen. Mit dem nächsten 3Shape-Udate möchten wir aber auch Funktionsabdrücke scannen.
Hartung:
Erste Versuche sind sehr vielversprechend, und Jana wird im September eine entsprechende Fortbildung besuchen.
Jana Hartung:
Am liebsten früher, aber leider sind solche Fortbildungen noch rar.
Stichwort Ganzkieferscan: Mit der Genauigkeit soll es noch hapern, heißt es …Jana Hartung:
… diese Erfahrung machen wir nicht. Wir scannen grundsätzlich den gesamten Ober- und Unterkiefer. Wir hatten eine entsprechende Einführung von 3Shape, zudem gibt es hervorragende Onlinetutorials dazu. Wir haben inzwischen ein eigenes Konzept entwickelt. Während die Anästhesie wirkt, legen wir mit Optra Gate und Dry Tips trocken und machen einen Vorscan. Die zu beschleifenden Zähne werden aus dem Scan ausgeschnitten. Dann wird präpariert und die Präpgrenzen werden dargestellt. Zum Schluss werden nur noch die präparierten Zähne und die Bisslage gescannt.
Man kann nur das scannen, was man sieht – wie meistern Sie die subgingivale optische Abformung?Hartung:
Man kann auch konventionell nur das abformen, was man sieht, das ist also nichts Neues. Eine deutliche und gute Darstellung der Präparationsgrenzen war schon immer ein Muss. Die Präparationsgrenzen habe ich in der Vergangenheit – wie gesagt – stets akribisch am Modell unter dem Mikroskop dargestellt. Der Scanner hat nun den entscheidenden Vorteil, dass man Zahn für Zahn abscannen kann und jeweils nur eine Präpara‧tionsgrenze darstellen muss (Abb. 15). Das klappt erheblich einfacher und schneller, gerade wenn man mehrere Pfeiler hat. Noch leichter funktioniert das beim Implantatscan.
Aus welchem Grund?Hartung:
Weil man mit vorgefertigten Teilen arbeitet und die Darstellung der Präparationsgrenze entfällt. Der Scanner erkennt, was man scannt, auch unter dem Zahnfleisch, denn das Implantat ist in der Software hinterlegt. Bei einteiligen Implantaten spielt der optische Abdruck seine Stärken noch besser aus. Auf dem virtuellen Modell lässt sich das Zahnfleisch etwas radieren, um eine minimal subgingivale Lage des Randes der Präparation zu erreichen. Zudem braucht es keinen Scanbody, es sei denn, man beschleift das Implantat und verändert seine Originalform.
Unser Praxiskonzept „Perio-Integration“ wird sich mit den neuen, bereits angekündigten 3Shape-Apps noch weiter vereinfachen und verbessern (siehe Kasten).
Kommen wir zur Genauigkeit: Wie zufrieden sind Sie mit den Arbeiten?Hartung:
Das Scannen ist unserer Einschätzung nach nicht nur präziser, sondern birgt auch deutlich weniger Fehler als die konventionelle Abformung.
Was bevorzugen Ihre Patienten?
Jana Hartung:
Die Patienten sind begeistert. Die optische Abformung ist viel angenehmer und nicht so langwierig. Beim Hydrocolloid mussten wir die Abformungsmasse bei jedem Abdruck länger als fünf Minuten im Patientenmund belassen. Das kann schon belastend sein. Heute setzen wir einfach neu an, wenn der Patient eine Pause braucht, und scannen dann weiter.
Wie viel Zeit benötigen Sie für den Ganzkieferscan?Jana Hartung:
1,5 Minuten für einen vollbezahnten Kiefer.
Hartung:
Bei mir dauert das länger, sicherlich fünf Minuten. Ich habe aber auch weniger Übung als meine Tochter. Jana ist mir in der virtuellen Steuerung, wie meine Söhne auch, deutlich überlegen. Ich versuche meine Erfahrungen mit einzubringen, wir ergänzen uns sehr gut.
All den genannten Vorteilen zum Trotz haben sich nach wie vor erstaunlich wenige Zahnärzte so komplett von der konventionellen Abformung verabschiedet wie Sie. Was sind die typischen Implementierungshürden?Hartung:
Viele Zahnärzte bezweifeln noch, dass die Umstellung auf den digitalen Workflow einen Gewinn für ihre Praxis darstellt. Dabei rechnet sich die Umstellung von konventionell auf digital definitiv – und zwar vom ersten Tag an. So ist unser Mini-Praxislabor für die Modellherstellung seit unserer Umstellung auf die digitale Abformung im Dezember 2017 überflüssig. Die ZFA, die sich bislang der Modellherstellung gewidmet hat, können wir nun anderweitig einsetzen. Sie übernimmt unter anderem Aufgaben im Bereich Praxis- und Hygienemanagement. Denn diese Aufgaben werden immer umfassender. Wer eine Investi‧tion von 30.000 Euro zzgl. Mehrwertsteuern tätigt, möchte natürlich wissen, in welchen Bereichen er einsparen kann. Je besser sich der Kollege informiert, desto mehr ist er bereit, sich auf Neues einzulassen. Das gilt generell für die Umstellung von konventionell auf digital. Es gibt auch noch Kollegen, die konventionell röntgen und Unmengen an Chemikalien (und anderen Ressourcen) verbrauchen, um ihre Entwicklungsmaschine zu reinigen, die Entwicklerflüssigkeiten auszutauschen, die verbrauchten Chemikalien zu entsorgen, die Röntgenbilder zu archivieren und vor jeder Behandlung bereitzustellen. Ähnlich ist es bei der Umstellung von der analogen auf die digitale Abdrucknahme.
Man sagt, dass sich der Scanner nur rechne, wenn man delegiere. Was „darf“ die Helferin in Ihrer Praxis scannen?
Jana Hartung:
Alle Situationsmodelle, auch der Scan für die Anfertigung von Schienen, lassen sich gut delegieren. Die Präp-Grenzen delegieren wir nicht.
Nutzen Sie den Scanner auch zur Aufklärung und Prävention?Hartung:
Noch nicht. Wir warten dringend auf das von 3Shape angekündigte Modul, das die Dokumentation des Gingivaverlaufs dokumentiert. Und dann können wir dem Patienten zum Beispiel die Progredienz einer Rezession oder parodontaler Erkrankungen demonstrieren und ihn motivieren, sich behandeln zu lassen, bevor noch mehr parodontales Gewebe zerstört ist.
Nach welchen Kriterien sollte sich der Anwender aus Ihrer Sicht für einen Scanner entscheiden und welche Rolle spielt die Software?Hartung:
Wir hatten – wie eingangs gesagt – die Möglichkeit, verschiedene Systeme parallel auszuprobieren. Und das kann ich nur jedem Kollegen empfehlen, die unterschiedlichen Scanner im Praxisalltag zu testen, die STL-Files ans Labor zu schicken und virtuelle Modelle zu erstellen und die Arbeiten auch tatsächlich einzusetzen. So haben wir es gemacht. Und 3Shape erschien uns als das praxistauglichste und innovativste System. Unser nächstes Ziel ist, das virtuelle Modell selbst zu erstellen und einfache Restaurationen und provisorische Kronen für Sofortimplantate chairside zu fertigen.
Sie sprechen vom CAD/CAM-CEREC-Gedanken?Hartung:
Richtig, nur würden wir das mit 3Shape und Fräsmaschinen zum Beispiel von Ivoclar Vivadent realisieren. Und: Wir sind „ganz heiß“ auf die neuen 3Shape-Apps. Ich habe eine Pre-Version im Mai 2017 bei einer ConnectDental-Veranstaltung von Henry Schein gesehen.
Sie meinen die neue 3Shape-App für patientenspezifische Bewegung?Hartung:
Richtig, sie soll das Erfassen und Anzeigen der tatsäch‧lichen dynamischen Artikulation am Bildschirm ermöglichen. Gezeigt wurde bei der Pre-Version auch, wie das Patientientenmonitoring funktionieren soll. Da wir in unserer Praxis funktionsanalytisch und therapeutisch arbeiten, war das letztlich die Initialzündung für den Kauf eines 3Shape-Scaners. Wir haben in unserem Konzept „Perio-Integration“ (siehe Kasten) die neuen Module bereits im Visier.
Konzept Perio-Integration
Der Erhalt oder die Gestaltung der den Zahn bzw. das Implantat umgebenden Gewebe ist notwendig als Grundlage für ein gesundes und nachhaltig stabiles, funktionelles und ästhetisches stomatognathes System. Das bedeutet: In unserem Konzept wollen wir möglichst zahnumgebende Gewebe gesund und stabil erhalten. Auf eine einfache Formel gebracht, sind es mindestens zwei Millimeter keratinisierte und angewachsene, unverschiebliche – gesunde – Gingiva um Zähne und Implantate.
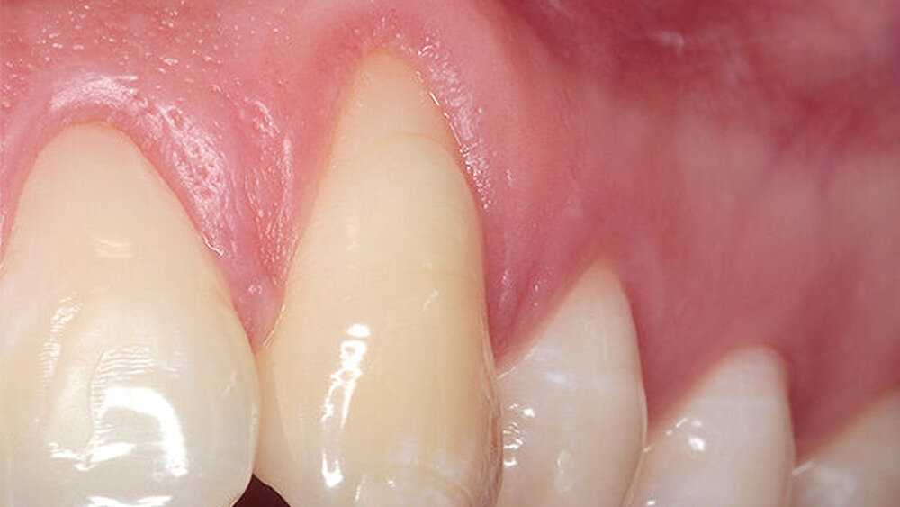
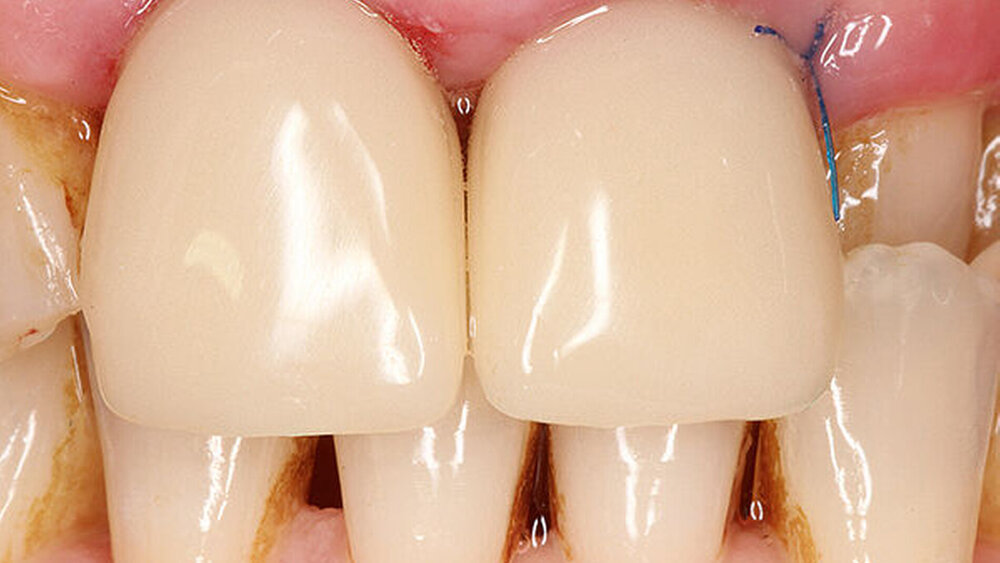
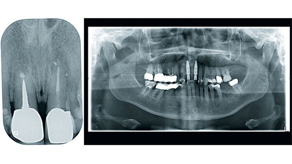
An erster Stelle steht die antiinfektiöse Therapie. Strukturell-funktionelle und/oder ästhetische Gewebedefizite an Zähnen können mit mukogingival-chirurgischen Techniken stabilisiert werden (Abb. 2). Die systematische Dokumentation des Gingivaverlaufs mit einem Scan könnte die Progredienz der Rezessionen, aber auch die Regeneration infolge des Creeping Attachment nach einem chirurgischen Eingriff deutlich machen und die Vorhersagbarkeit verschiedener Methoden gegenüberstellen. Die bildgestützte Darstellung der Situation könnten zur Patienteninformation und in der Folge auch zur Motivation genutzt werden, um eine rechtzeitige Behandlung durchzuführen (Abb. 3, Abb. 4 + 5) .
Infektionen der den Zahn umgebenden Gewebe führen infolge einer überschießenden Gewebereaktion zum Knochenabbau und im schlimmsten Fall zum Zahnverlust. Aufgrund der besonderen Situation der Perio-Integration von Implantaten und der ungenügenden Möglichkeiten der Dekontamination bakteriell belasteter Oberflächen ist ein präventiv-konzeptionelles Vorgehen notwendig. Transgingivale, möglichst einteilige Implantate entsprechen der Biologie des natürlichen Zahns eher als zweiteilige Implantate (Abb. 6, 7 und 8). Wir beobachten bei Keramikimplantaten zudem eine bessere Anlagerung der Weichgewebe.
Ein modernes Implantationssystem sollte dem Zahnarzt die Möglichkeit bieten, ein- oder zweiteilige Implantate zu setzen und die Auswahl zwischen Titan oder Keramik erlauben.
Sofortimplantationen (auch mit Titanimplantaten) mit aus der Funktion genommenen Sofortversorgungen finden eine hohe Patientenakzeptanz, sind wirtschaftlich und aufgrund ihres biologischen Ansatzes weniger komplikationsbehaftet als aufwendige Augmentationen (Abb. 1a–1h). Insofern sollte eine Implantation bereits vor der Extraktion eines nicht erhaltungswürdigen Zahns geplant werden. Sicherlich ist es nicht möglich, den Bundle Bone, der eine Funktionseinheit des Zahnhalteapparats ist, nach einer Extraktion zu erhalten. Volumen und Dimension der Alveole und der den Zahn umgebenden Weichgewebe bleiben durch das Einbringen eines Implantats zu einem Großteil erhalten.
Das biologische, einteilig-transgingivale Implantat ist den mechanischen Einflüssen in der Mundhöhle ausgesetzt und benötigt bei geringer Primärstabilität (< 50 Ncm) unter Umständen eine zusätzliche Immobilisierung durch Verblockung mit den Nachbarzähnen oder Kronen. Der Scanner ist eine Möglichkeit der intraoperativen Abdrucknahme ohne die Gefahr der Inkontamination der Gewebesituation mit Abdruck- oder Provisorienmaterialien beziehungsweise der versehentlichen Inkorporation.
Zusätzlich kann das Emergenzprofil bereits intraoperativ in der Implantationssitzung gesteuert werden. Der Scan der ausgeheilten Situation vor der prothetischen Versorgung eröffnet die Möglichkeit, durch Einmatchen des Implantats in den Datensatz die subgingivale Situation zu simulieren ohne die Darstellung einer „Präparationsgrenze“ durch das Einlegen von Fäden. Diese Manipulationen sind traumatisch und zerstören die sensible hemidesmosomale Anhaftung der Gingiva- und Bindegewebsfasern an der Implantatoberfläche. Der digitale Abdruck wird die konventionelle Abformung in der modernen Zahnarztpraxis aufgrund seiner überlegenen Performance ersetzen. Den parodontologischen und minimalinvasiven Prinzipien folgend, ist die digitale Abformung von Zähnen auch in der ästhetisch sensiblen Zone angesichts der geringeren Traumatisierung der parodontalen Gewebe, der überragenden Präzision und der daraus folgenden Randpassung der Versorgung ein logischer und richtiger Weg in die Zukunft der zahnärztlichen Praxis (Abb. 10 – 14).
Faszinierend und lange vermisst ist für den funktionsanalytisch und -therapeutisch tätigen Zahnarzt die Möglichkeit der Relationsbestimmung ohne Materialien auf der Okklusion. Die therapeutische Bisslagebestimmung zur Anfertigung von Aufbissbehelfen beispielsweise mit anteriorem Jig und seitlichem „Bisslagescan“ ermöglicht die Anfertigung spannungsfreier Schienen mit definierter therapeutischer Gestaltung der okklusalen Kontakte und Führungsflächen.
Study Clubs
Dr. Dieter Hartung leitet fünf StudyClubs des Spezial-Depots FRAGA DENTAL zu den Schwerpunkten Parodontologie und Implantologie in Hamburg, Wismar, Witzenhausen, Bingen und Berlin. Seit über 20 Jahren bietet FRAGA DENTAL hochwertige dentale Fortbildungen für Zahnärzte, Zahntechniker, Helferinnen und ganze Praxisteams an. Kernstück sind dabei die bekannten StudyClubs, bei denen es inzwischen bundesweit 21 Studiengruppen gibt. An jeweils drei Wochenenden treffen sich bis zu 15 Kolleginnen und Kollegen, um sich unter der Leitung eines erfahrenen Referenten praxisnah weiterzubilden.
Bei jedem StudyClub handelt es sich um fortbildungsinteressierte Zahnärzte, die sich dreimal jährlich in einer vertrauten Gruppe treffen. Jedes Treffen wird inhaltlich von den Mitgliedern selbst gestaltet. Am ersten Tag werden die jeweiligen Fälle für die OPs am zweiten Tag vorgestellt, in der Gruppe mit dem Mentor diskutiert und die OP-Durchführung wird geplant. An diesem Tag werden auch die bei vorherigen Treffen behandelten Fälle besprochen: z. B. die erfolgreiche endgültige Versorgung, aber auch Probleme bei der Therapie und eventuelle Misserfolge. Diese Post-OP-Präsentation bringt oft einen großen Nutzen für die Gruppe. Am zweiten Tag werden die Patientenbehandlungen Hands-on durchgeführt. Gemeinsam mit den Kollegen wird unter Anleitung des erfahrenen Mentors jeder Fall behandelt und dokumentiert.























