Preisgekrönte Nachwuchs-Endo
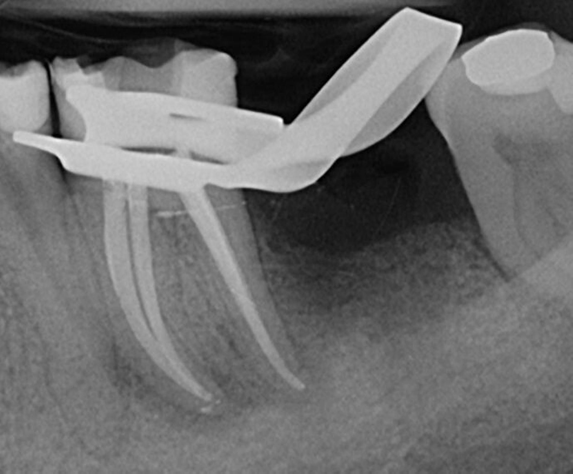
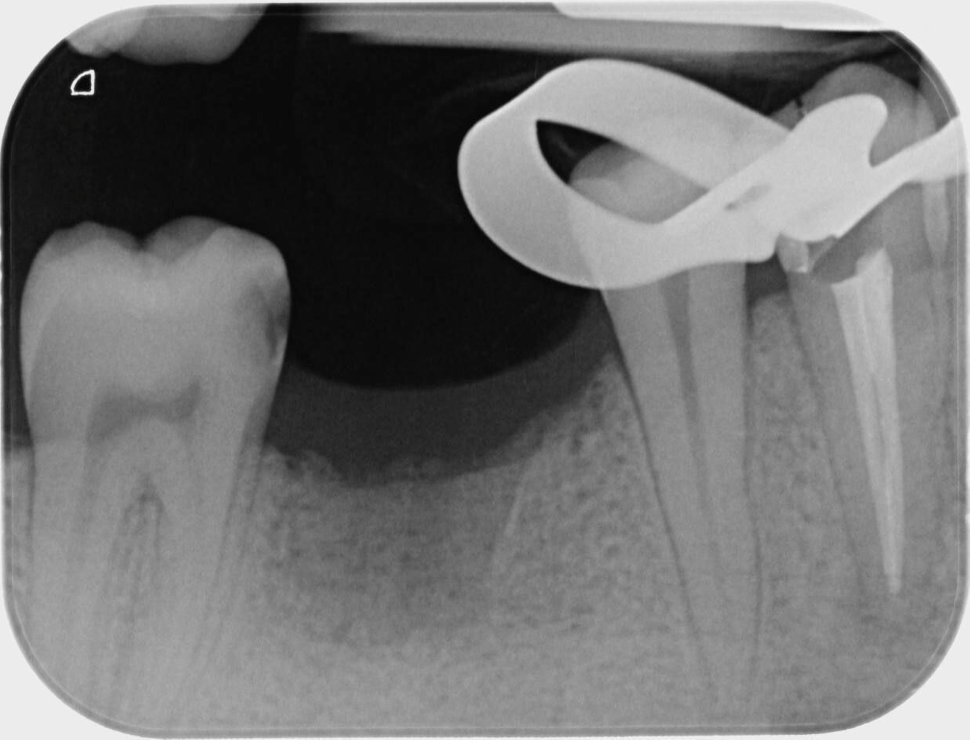
Die Wurzelkanalbehandlungen der Preisträgerer wurden als exzellent eingestuft, da sie einen besonders hohen Schwierigkeitsgrad aufwiesen. Dazu gehören schwierige Ausgangssituationen, etwa bei Durchführung einer Wurzelkanalrevision, bei der eine bereits vorhandene Wurzelkanalbehandlung revidiert werden muss. Auch anatomische Besonderheiten, wie zwei Wurzelkanäle in einer Wurzel, stellen eine besondere Herausforderung dar und bedürfen einer besonders aufwendigen Behandlung.
Prof. Dr. Gabriel Krastl, Geschäftsführender Direktor des Zentrums für Zahn-, Mund- und Kiefergesundheit am Uniklinikum Würzburg, ist stolz auf die engagierten Studierenden: „Die Preise sind ein Beleg für das hohe Niveau, auf dem Patientinnen und Patienten behandelt werden, die das Angebot unseres Studierendenkurses der Zahnerhaltung und Parodontologie nutzen.“
Zum Teilnehmerkreis zählten Studierende aus Deutschland, Österreich und der Schweiz, von denen 20 ausgezeichnet wurden. Der Award ist nach einem zahnärztlichen Instrument benannt, mit dem Wurzelkanäle gesäubert und erweitert werden können.






