Rekonstruktion erosiver Zahnhartsubstanzdefekte
Einleitung
Zahlreiche Studien sowie Beobachtungen in der Praxis machen deutlich, dass es einen Anstieg an nicht kariesbedingten Zahnhartsubstanzschäden zu verzeichnen gibt. Dabei spielen neben der Abrasion der Zähne durch mechanische Abnutzung auch vermehrt Erosionen eine Rolle, die durch einen säureinduzierten, chemischen Angriff auf die Zähne ausgelöst werden.
Oftmals führen langjährige erosive Einflüsse zu starken Zahnhartsubstanzverlusten und einem Absinken der Bisshöhe bei den Betroffenen. Je nach Ausmaß der Bisssenkung kann es erforderlich sein, restaurative Maßnahmen zur Rekonstruktion des Gebisses vorzunehmen.
Restaurative Maßnahmen sind auch dann angezeigt, wenn große Bereiche des Dentins freigelegt sind und eine Schmerzhaftigkeit der Zähne resultiert, die Integrität des Zahns oder der Pulpa bedroht ist oder die Ästhetik des Patienten beeinträchtigt ist (Peutzfeldt et al. 2014).
Die Frage nach einer restaurativen Behandlung sollte auch unter dem Gesichtspunkt gesehen werden, inwieweit der vorliegende Zahnhartsubstanzverlust als altersgemäß, das heißt, physiologisch, oder als pathologisch eingestuft werden kann. Bei Vorliegen eines nicht altersgemäßen Substanzverlusts werden eher restaurative Maßnahmen eingeleitet als bei physiologischer Abnutzung.
Je nach Ausmaß des Zahnhartsubstanzverlusts stehen verschiedene Therapieoptionen zur Auswahl. Diese reichen von einer Abdeckung der freigelegten Areale mit einem Versiegelungsmaterial oder fließfähigem Komposit über restaurative Maßnahmen mit direkten Kompositversorgungen bis hin zu indirekten Rekonstruktionen aus Keramik oder neuartigen Hochleistungskompositen (Hamburger et al. 2011; Edelhoff et al. 2012; Wegehaupt et al. 2012; Grütter & Vailati 2013; Zahn et al. 2014).
Sollte eine Bisserhöhung bei einem kiefergelenksgesunden Patienten ohne craniomandibulären Dysfunktionen erforderlich sein, so kann diese in der Regel ohne eine vorherige Vorbehandlung mit einer Aufbissschiene sofort vorgenommen werden (Abduo & Lyons 2012).
Die Muskulatur der Patienten gewöhnt sich schnell an die neue vertikale Dimension, die in der arbiträren Scharnierachsposition neu aufgebaut wird. Bei vorliegenden craniomandibulären Dysfunktionen sowie bei einer Erhöhung der okklusalen vertikalen Dimension über die bestehende Ruheschwebelage oder über 5 mm Höhe sollte allerdings vor Anfertigung der Restaurationen eine Schienenvorbehandlung zur langsamen Adaptation des gesamten Kauapparats erfolgen (Abduo & Lyons 2012).
Zur Herstellung indirekter Restaurationen muss zumeist eine zusätzliche Präparation am Zahn erfolgen, da indirekt hergestellte Werkstücke aus Keramik oder Komposit eine bestimmte Schichtstärke nicht unterschreiten sollten. Zudem ist die korrekte Positionierung von indirekten Werkstücken auf einer Zahnoberfläche, die keine Positionierungshilfen wie definierte Kästen oder Mulden aufweist, sehr schwierig.
Bei direkten Kompositversorgungen, mit denen ausschließlich die verlorengegangene okklusale Struktur eines Zahns wieder aufgebaut wird, entfallen diese zusätzlichen Präparationen weitgehend. Liegen in einem solchen Fall kariöse Läsionen bzw. bukkale oder lingual/palatinale Zahnhartsubstanzdefekte vor, so sollten diese vorgängig mit einer Kompositversorgung restauriert werden. Die abschließende okklusale Kompositrestauration kann dann, wie bei einer Korrekturfüllung oder der Stufenelevationstechnik, erfolgreich an diesen zuvor angefertigten Versorgungen adhäsiv befestigt werden (Gordan et al. 2009; Zaruba et al. 2013).
Eine Technik zum Einsatz direkter Kompositrestaurationen wurde bereits in der Literatur beschrieben (Tepper & Schmidlin 2005; Schmidlin & Filli 2006). In diesem Artikel wird ein weiterentwickeltes Konzept zur Versorgung mit direkten Restaurationen aufgezeigt und an einem aktuellen Fall einer stark erosiv zerstörten Gebisssituationen illustriert.
###more### ###title### Fallpräsentation ###title### ###more###
Fallpräsentation
Ein 42 Jahre alter Patient, der an der Klinik für Präventivzahnmedizin, Parodontologie und Kariologie der Universität Zürich vorstellig wurde, gab an, unter gastro-ösophagealem Reflux (GERD) und Asthma zu leiden. Zur Therapie des Asthmas nahm der Patient seit circa zehn Jahren mindestens zweimal täglich ein Asthmaspray. Es ist bekannt, dass GERD Asthmasymptome verschlimmern kann, und dass wiederum Asthma sowie einige Asthmamedikamente GERD-Symptome verstärken können (Thomas et al. 2010; Hom & Vaezi 2013; Pauwels 2015).
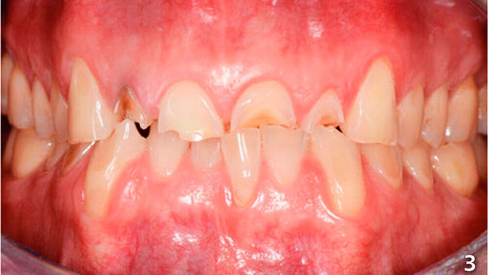
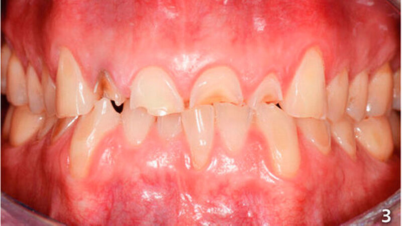
Der Patient wies an allen Frontzähnen sowie an den Seitenzähnen des Unterkiefers starke erosive Defekte auf (Abb. 1-3). Der Patient störte sich vor allem am Erscheinungsbild seiner Oberkieferfrontzähne und dem Engstand im Unterkiefer-Frontzahnbereich. Er wurde über verschiedene Therapiemöglichkeiten ausführlich aufgeklärt und entschied sich für direkte Rekonstruktionen mit Komposit. Im Februar 2016 erfolgte die Versorgung mit Kompositrestaurationen, wie folgt beschrieben.
In einer ersten Phase wurden die bukkal vorhandenen Erosionsschäden versorgt. Hierzu sowie für alle weiteren Restaurationen wurde das nanogefüllte Kompositmaterial Filte Supreme XTE (3M Espe, St. Paul, USA) in Kombination mit dem 3-Schritt-Etch-and-rinse-Adhäsivsystem Optibond FL (Kerr, Orange, USA) verwendet. Die vorgängige Versorgung der bukkalen Erosionsschäden erfolgte, um die spätere Applikation von Kofferdam zu ermöglichen und die Herstellung der direkten okklusalen Kompositaufbauten zu erleichtern.
Der Zahn 12 wurde unter Verwendung eines Natriumperborat-Wasser-Gemisches mit der Walking-bleach-Technik aufgehellt. Nach diesen Vorarbeiten wurden Alginatabformungen von Ober- und Unterkiefer genommen und eine Bissregistrierung durchgeführt. Im zahntechnischen Labor wurde die ideale Okklusion im Artikulator aufgewachst. Da die Seitenzähne des Oberkiefers nur sehr gering ausgeprägte Erosionsdefekte aufwiesen, war beschlossen worden, nur die Unterkiefer-Seitenzähne aufzubauen.
Bei der Anfertigung der Wax-up-Modelle wurden jeweils die Eckzähne und Bereiche der endständigen Molaren nicht mit Wachs aufgebaut (Abb. 4). Auf den Modellen wurden dann für den Unterkiefer je zwei stabile, lichtdurchlässige Übertragungsschienen hergestellt, die später im Mund eine ausreichende Abstützung an den nicht aufgewachsten Eckzähnen und den distalen Bereichen der endständigen Molaren gewährleisteten (Abb. 5).
Nach Kofferdamapplikation wurde die Bisshebung im Seitenzahnbereich mit direkten okklusalen Kompositaufbauten mit Komposit (Farbe A3B) in Adhäsivtechnik durchgeführt. Die Aufbauten wurden an jeweils zwei nicht nebeneinander liegenden Zähnen gleichzeitig vorgenommen.
Das Komposit wurde dazu in einer der fehlenden Zahnsubstanz entsprechenden Menge in die Übertragungsschiene (Abb. 6) eingebracht und unter einem selbsthergestellten Lichtschutz aus Teflon für etwa 5 Minuten auf einer Wärmeplatte (Calset; AdDent, Danbury, USA) erwärmt. Durch das Erwärmen wird die Fließeigenschaft des Komposits verbessert, wodurch die Positionierung der Schiene erleichtert wird, ohne die Materialeigenschaften des Komposits zu beeinträchtigen (Tauböck et al. 2015).
In er Zwischenzeit wurden die Nachbarzähne der zu restaurierenden Zähne mit Teflonband isoliert (Abb. 7). Die vorhandenen Kompositoberflächen der Zähne wurden entsprechend dem Vorgehen bei einer Korrekturfüllung mit einem Sandstrahler (Microetcher, Danville Engineering, Danville, USA) mit 50 μm Al2 O3-Pulver (MS Dental, Busswil, Schweiz) angeraut und silanisiert (Monobond Plus, IvoclarVivadent, Schaan, Liechtenstein).
Die erodierten bzw. sklerotisch veränderten Dentinoberflächen wurden vor der Applikation des Adhäsivsystems mit einem Feinkorndiamanten zur Verbesserung der Haftkräfte angefrischt (Camargo et al. 2008; Zimmerli et al. 2012).
Alle vorbehandelten Oberflächen wurden anschließend mit Primer und Adhäsiv benetzt und ausgehärtet. Nachfolgend wurde eine dünne Schicht aus nicht ausgehärteten Flowmaterials (G-ænial Universal Flo, GC, Leuven, Belgien) aufgetragen. Darauf erfolgte die Platzierung der mit erwärmten Komposit befüllten Schiene auf die Zahnreihe (Abb. 8). Die Lichtpolymerisation erfolgte durch die Schiene hindurch für zunächst nur circa 3 bis 5 Sekunden.
Nach Abnahme der Schiene vorhandene Überschüsse (Abb. 9) des noch nicht vollständig polymerisierten Kompositmaterials wurden mit einem sichelförmigen Skalpell entfernt. Anschließend wurde eine gründliche (zweite) Polymerisation für 60 Sekunden durchgeführt (Tauböck et al. 2014).
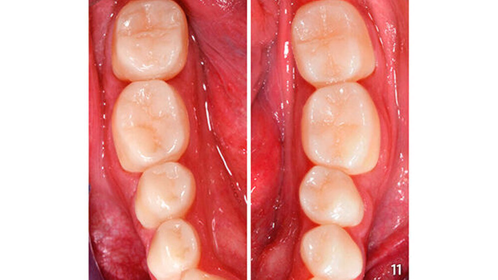
Die schwer zugänglichen Approximalflächen und -übergänge wurden mit oszillierenden, einseitig diamantierten Feilen (Proxo Shape Flexible, Fa. Intensiv, Grancia, Schweiz) ausgearbeitet und geglättet (Abb. 10). Mit dieser Technik wurden die Seitenzähne im Unterkiefer schrittweise aufgebaut und am Ende poliert (Abb. 11). Abschließend erfolgte die Versorgung der Frontzähne im Unterkiefer mit Komposit unter Verwendung der Bodymasse (Farbe A3B) des oben genannten Komposits (Abb. 12, 13).
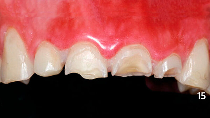
Nach der Bisshebung im Unterkiefer wurden die erosiven Frontzahndefekte im Oberkiefer ebenfalls mit Kompositadhäsiv versorgt (Abb. 14). Zunächst wurden die bukkalen Zahnhartsubstanzverluste freihändig mit Komposit aufgebaut (Abb. 15), und es wurde eine Alginatabformung genommen. Im zahntechnischen Labor wurden die inzisalen Anteile der Zähne aufgewachst, sodass anschließend ein Silikonschlüssel angefertigt werden konnte (Abb. 16).
Nach Kofferdamapplikation und Vorbehandlung mit Adhäsiv konnte nun mithilfe des Silikonschlüssels der inzisal-palatinale Anteil der Zähne mit Komposit-Schmelzmasse (Farbe A2E) aufgebaut werden (Abb. 17). Schließlich wurden mithilfe von Transparentmatrizen die approximalen Randleisten ebenfalls mit Schmelzmasse modelliert (Abb. 18). In die so gestaltete Umrissform der Zähne wurden nach Entfernung der Matrizen Kompositdentinmassen (Farbe A4D) appliziert und mit Effektfarbe (Farbe Y) sowie weißer Malfarbe (IPS Empress Direct Color, IvoclarVivadent, Schaan, Liechtenstein) charakterisiert (Abb. 19).
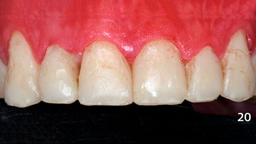
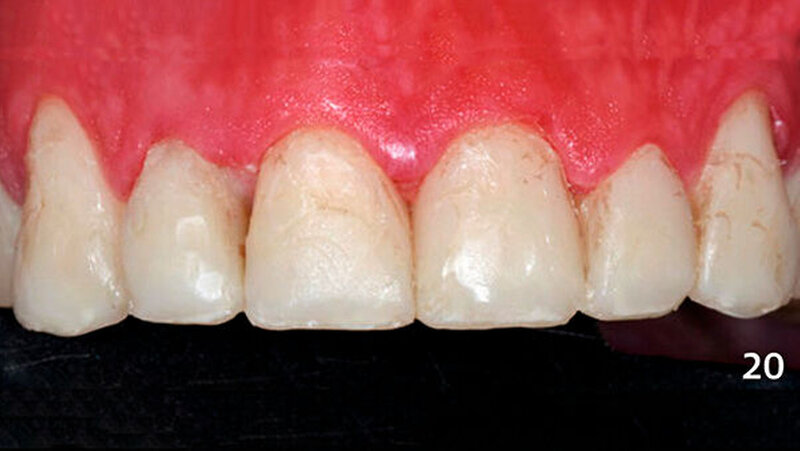
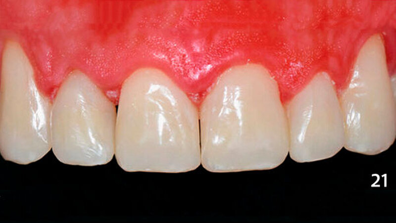
Die Dentinmassen wurden dann von bukkal im inzisalen Anteil mit einer dünnen Schicht Schmelzmasse überschichtet, die im zervikalen Bereich der Zähne mit Bodymasse (Farbe A3B) ergänzt wurde und an diesem Tage aufgrund Zeitmangels nur grob ausgearbeitet wurden. Die Restaurationen stellten sich in der darauffolgenden Sitzung mit oberflächlichen Verfärbungen dar (Abb. 20) und wurden nun vollständig ausgearbeitet und poliert (Abb. 21).
Abschließend erhielt der Patient eine weiche Tiefziehschiene zum Schutz der Restaurationen und wurde instruiert, diese insbesondere nachts zu tragen. Drei Wochen nach Abschluss der Therapie stellte sich der Patient mit einer Kompositabsplitterung am Zahn 12 dar, die mit einer Korrekturrestauration wiederhergestellt werden konnte.
###more### ###title### Diskussion ###title### ###more###
Diskussion
Es gibt wenige Daten über die Langlebigkeit höckerüberdeckender Kompositversorgungen. In den letzten Jahren wurden die positiven Ergebnisse einer Fallserie von sieben bzw. sechs Patienten nach durchschnittlich 3 bzw. 5,5 Jahren Follow-up veröffentlicht (Schmidlin et al. 2009; Attin et al. 2012).
In diesen Untersuchungen wurde die Rekonstruktion des vertikalen Bisses im Seitenzahnbereich mit direkten Kompositversorgungen mithilfe von Hilfsschienen durchgeführt, wie bei dem oben exemplarisch gezeigten Fall. Zusätzlich zu den positiven Befunden der klinischen Untersuchung zeigten die Patienten in den Untersuchungen zudem eine hohe Zufriedenheit hinsichtlich der Funktion der Versorgungen. Niedergelassene Zahnärzte, die die beschriebene Technik angewendet haben, gaben an, dass die Umsetzung auch unter Praxisbedingungen gut und effizient möglich sei (Tauböck et al. 2012).
Andere Autoren verweisen ebenfalls auf gute Ergebnisse bei direkten Kompositversorgungen zum vertikalen Aufbau erosiv-zerstörter Zahne hin (Hamburger et al. 2011). Neben der Verwendung von Hilfsschienen wird auch die Anwendung von Silikonstempeln (Stempeltechnik) zur Formgebung und zum Aufbau von direkten Rekonstruktionen erosiver Defekte im Seitenzahngebiet beschrieben (Perrin et al. 2013; Ramseyer et al. 2015).
In-vitro-Daten als auch Daten aus kontrollierten klinischen Studien belegen, dass die heute angebotenen Kompositmaterialien bezüglich der Abrasionsfestigkeit auch für die Abstützung in okklusionstragenden Bereichen eingesetzt werden können (Palaniappan et al. 2011; Palaniappan et al. 2012).
Auch für den Frontzahnbereich konnte belegt werden, dass umfangreiche Zahnumformungen und Aufbauten aus Komposit über eine hohe Überlebensrate verfügen (Frese et al. 2013; Al-Khayatt et al. 2013), die der von Keramikveneers nicht deutlich nachsteht (Peumans et al. 2004).
Voraussetzung dazu ist sicherlich, dass die optimalen Eigenschaften der jeweilig eingesetzten Produkte, einschließlich der optimalen Lichtpolymerisation, sichergestellt werden (Janda et al. 2007; Benetti et al. 2011; Attin et al. 2015).
Abschließend soll an dieser Stelle noch einmal betont werden, dass die eventuell erforderlichen restaurativen Maßnahmen bei Patienten mit Erosionen oder Abrasionen immer auch mit einer Kausaltherapie der jeweils vorliegenden Erkrankung einhergehen müssen, um einen langzeitigen Erfolg sicherzustellen. In der Phase bis zur restaurativen Therapie können die freiliegenden Dentinoberflächen ggf. mit Versieglern geschützt werden, um einen weiteren Abtrag der Zahnhartsubstanz zu vermeiden (Wegehaupt et al. 2012; Wegehaupt et al. 2013; Yetkiner et al. 2014).
Danksagung
Alle erforderlichen zahntechnischen Arbeiten wurden vom Labor Retodent (Zürich, Schweiz) erstellt. Hinweis: Die hier vorliegende Publikation orientiert sich an früheren Publikationen der Autoren zur selben Thematik und ist in manchen Teilen mit diesen Publikationen identisch (Tauböck & Attin, Attin et al. 2015; Attin & Tauböck 2016).
Abstract
Attin T, Tauböck TT: Rehabilitation of an erosively worn dentition with direct adhesive restorations. (in German). SWISS DENTAL JOURNAL SSO 127: 131-137 (2017)
The restorative rehabilitation of the severe loss of dental hard tissue due to dental erosion or abrasion is a challenging situation for the dentist. The following article presents the case of applying direct adhesive composite restorations as one possible approach to reconstruct erosively-induced severe dental hard tissue loss.
























