Schweregrad und Therapietreue bestimmen die Behandlung der jungen Patienten
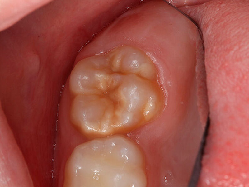
In Deutschland sind laut der fünften Deutschen Mundgesundheitsstudie (DMS V) etwa 10 bis 15 Prozent aller Grundschulkinder und knapp 30 Prozent der 12-jährigen Kinder von MIH betroffen.(1) Bei der Behandlung ist viel Fingerspitzengefühl gefragt: Die jungen Patienten können unter hypersensiblen Zähnen leiden und dies beeinträchtig häufig auch die tägliche Mundhygiene. Hinzu kommt die schmerzempfindliche Reaktion auf Hitze, Kälte und Zähneputzen. Letzteres konterkariert die Therapie, denn die betroffenen Zähne haben einen erhöhten Behandlungsbedarf. Sie können durch den Schmelzdefekt besonders kariesanfällig sein. Zudem reagieren die betroffenen Kinder aufgrund der Schmerzen zum Teil eingeschränkt auf die Lokalanästhesie, was die Therapie erschwert.
Nach den konkreten Ursachen für die auch als „Kreidezähne“ bezeichnete Strukturanomalie der bleibenden Zähne wird noch geforscht. Als sicher gilt, dass die ersten Lebensjahre einen entscheidenden Einfluss auf die Entwicklung der MIH haben, da in dieser Phase die Mineralisation der Kronen der ersten bleibenden Molaren und Inzisivi stattfindet.(2)
Patientenorientierte Behandlung
Eine einheitliche Leitlinie für die Behandlung der MIH gibt es bislang noch nicht. Wissenschaftler der European Academy of Paediatric Dentistry (EAPD) haben jedoch 2010 einen klinischen Fahrplan zur Behandlung der MIH präsentiert,(3) demzufolge zunächst geklärt werden sollte, ob es sich um eine milde oder schwere Ausprägung handelt - im weiteren werden die Hypersensitivitäten betrachtet. Bei der leichten Form der MIH reichen Präventionsmaßnahmen in der Zahnarztpraxis oder zu Hause in der Regel aus. Für die häusliche Anwendung eignen sich GC Tooth Mousse (ohne Fluorid) und MI Paste Plus. Beide Produkte enthalten den Wirkstoff Recaldent, der die Remineralisierung der Zähne fördert und den Zahnschmelz stärkt. Hypersensible Zähne werden damit drei Monate lang morgens und abends drei Minuten vor dem Zähneputzen für 30 Sekunden behandelt. Mit dem Fluoridlack MI Varnish werden sowohl bei milder als auch schwerer MIH die Dentintubuli in der Zahnarztpraxis nach der Prophylaxe versiegelt. Beide Maßnahmen in der Praxis und zu Hause können die Empfindlichkeit der MIH-Zähne reduzieren.
Bei einer schweren MIH können kleinere Fissuren einfach und schnell mit dem flüssigen Glasionomer-Oberflächenschutzmaterial GC Fuji Triage zum Schutz vor Karies abgedeckt werden. Das Verfahren ist für die Patienten schmerzlos und minimalinvasiv. Bereits eingetretene, größere Defekte können mit den Füllungsmaterialien EQUIA Fil (Glasionomer) und EQUIA Forte HT (hochviskoses Glas-Hybrid) versorgt werden. In einigen Fällen ist bei einer schweren MIH eine definitive Füllung aufgrund des Defektes nicht möglich. Hierfür eignet sich ergänzend zu Glasionomeren die Behandlung der Überkappung mit Edelstahlkronen, die zudem mit Glasionomer befestigt werden. Sie dient als Übergangslösung, bis eine definitive Versorgung durch eine indirekte Restauration möglich ist.
Wichtig für den Therapieerfolg ist ein (engmaschiger) Recall, denn MIH-Patienten sollten u.a. aufgrund der höheren Kariesanfälligkeit intensiver kontrolliert und nachbehandelt werden. Dazu zählen sowohl die regelmäßige Kontrolle der Restaurationen als auch die sorgfältige häusliche Mundhygiene. Für den Behandlungserfolg ist die Therapietreue bei der Anwendung der remineralisierenden Materialien entscheidend.
Weitere Informationen stellt GC unterhttps://gc-produkte.de/mih - external-link-new-windowzur Verfügung. Hier findet sich beispielsweise ein Behandlungsplan für die unterschiedlichen Schweregrade der MIH.
Die Molaren-Inzisiven-Hypomineralisation (MIH) gilt in Deutschland mittlerweile als Volkskrankheit. Mit dem Portfolio von GC lässt sich die Erkrankung patientenorientiert behandeln.




