Solitäres peripheres Osteom
Ein 61-jähriger Patient stellte sich in unserer Ambulanz vor. Er berichtete von einer seit mehreren Jahren langsam zunehmenden Raumforderung im Bereich des rechten lingualen Kieferwinkels. Aktuell gab er seit einigen Tagen bestehende Schmerzen in dieser Region an.
Klinisch zeigte sich intraoral eine Dentitio difficilis im ersten Stadium mit geröteter Schleimhautkapuze regio 48. Die Zähne im ersten und vierten Quadranten reagierten allesamt positiv auf den Kältetest. Der Speichelfluss im Bereich der rechten Glandula parotis und Glandula submandibularis war regelrecht.
Extraoral war eine harte, etwa 5 cm x 5 cm große, nicht druckdolente und nicht verschiebliche Raumforderung zu palpieren. Es bestand keine Hypästhesie im Bereich des dritten Trigeminusastes.
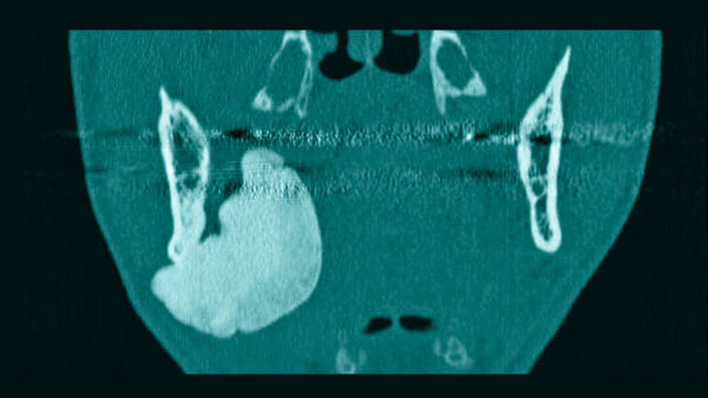
Im mitgebrachten alio loco erstellten Orthopantomogramm war eine gut abgrenzbare, ovale, homogene Verschattung zu sehen, welche sich im Bereich des rechten Kieferwinkels, in dorsaler und kranialer Richtung über diesen hinaus sowie im Bereich des aufsteigenden Unterkieferastes bis kaudal unter die Incisura semilunaris erstreckte (Abbildung 1). Computertomografisch war ausgehend von der medialseitigen Corticalis des Angulus mandibulae rechts eine irregulär, angedeutet rundlich konfigurierte, glatt begrenzte knöcherne Raumforderung von circa 4,4 x 3,3 x 4,7 cm Größe zu sehen (Abbildungen 2 und 3). Diese führte zu einer Verlagerung der Anatomie, insbesondere zu einer Vorwölbung der rechtsseitigen Oropharynxseitenwand (Abbildung 4). Es bestanden keine Hinweise auf eine knöcherne Destruktion oder auf eine Lagebeziehung zu einem Zahn.
Nach erfolgter klinischer Untersuchung und röntgenologischer Auswertung wurde die Verdachtsdiagnose eines Osteoms gestellt. Die Dentitio difficilis wurde zunächst mittels Dontisolon behandelt.
Es erfolgte die Osteotomie der Raumforderung über einen extraoralen Zugang. Zudem wurde der Zahn 48 operativ entfernt. Der Patient konnte am dritten postoperativen Tag mit stadiengerechten Wundverhältnissen in die ambulante Nachsorge entlassen werden.
Die histopathologische Untersuchung des eingeschickten Materials ergab kompakt aufgebautes Knochenmaterial, dessen Morphologie die klinische Diagnose eines Osteoms bestätigte.
Diskussion
Entsprechend der aktuellen WHO-Definition versteht man unter einem Osteom eine benigne Läsion, bestehend aus gut differenziertem, reifem Knochengewebe mit überwiegend lamellärer Struktur von sehr langsamem Wachstum [Aghabeigi et al., 2003]. Am häufigsten treten Osteome im Bereich des Gesichtsschädels auf. Die Gesamtprävalenz beträgt 4 Prozent. Osteome im Bereich der Kiefer können auf dem Knochen, ausgehend von der Kompakta (peripher, periostal, exophytisch) oder im Bereich der Spongiosa (endostal, zentral) wachsen. Selten wurden extraskelettale Weichgewebsosteome im Bereich der Muskeln beschrieben [Agrawal et al., 2015; Soni et al., 2014].
Die Pathogenese der Osteome ist unklar. Bisher wurden sie sowohl als wahre Neoplasien, als auch als Entwicklungsanomalien oder reaktive Läsionen, welche durch ein Trauma, Muskelzug oder Infektion getriggert werden können, betrachtet [Langlais et al., 1995; Kerckhaert et al., 2005; Kaplan et al., 1994].
Im Gesichtsschädelbereich wurden Osteome hauptsächlich im Bereich der Nase und der Nasennebenhöhlen beschrieben. Solitäre periphere Osteome der Mandibula sind ein seltener Befund, welcher vor allem bei jungen Erwachsenen zwischen der zweiten und fünften Lebensdekade beobachtet wird. Sie können jedoch in jedem Alter vorkommen [Kaplan et al., 1994; Kashima et al., 2000; Kshirsagar et al., 2015]. Die Häufigkeitsverteilung ist unabhängig vom Geschlecht [Greenspan et al., 1998]. Im Bereich der Kiefer kommen Osteome am häufigsten im Bereich des posterioren lingualen Corpus mandibulae vor [Kashima et al. 2000, Sugiyama et al., 2001; Khan et al., 2013].
Gewöhnlich zeigen die Osteome über einen längeren Zeitraum keine Symptome. Sie bleiben lange unentdeckt bis sie symptomatisch oder als Zufallsbefund nach einer röntgenologischen Untersuchung entdeckt werden. In dem von uns beschriebenen Fall war die akute Symptomatik nicht auf das Osteom, sondern auf die ebenfalls bestehende Dentitio difficilis zurückzuführen. Auffällig war ausschließlich die Asymmetrie im Bereich des rechten Kieferwinkels und der rechten Oropharynx-Seitenwand, die von dem raumfordernden Charakter des Osteoms herrührte. Bei weiterem Wachstum an der von uns beschriebenen Lokalisation wäre es bei dem Patienten höchstwahrscheinlich zu Schluckbeschwerden oder sogar Atembeschwerden gekommen.
Osteome werden häufig röntgenologisch als Neben-Befund, oder nachdem sie eine Asymmetrie des Gesichtes hervorgerufen haben, entdeckt. Aufgrund des zunehmenden Anwendung der DVT-Diagnostik werden Osteotome vermehrt von Zahnärzten diagnostiziert. Röntgenologisch erscheinen sie, wie in dem von uns geschilderten Fall, als gut umschriebene, rundliche beziehungsweise ovale, radio-opake Veränderungen [Shakya et al., 2011].
Während non-syndromale Osteome häufig solitär auftreten, muss bei Patienten mit multiplen Osteomen ein Gardner Syndrom ausgeschlossen werden. Neben den Osteomen sind bei diesen Patienten colorektale Polypen, skelettale Deformationen sowie Zahnanomalien häufig zu beobachten [Kshirsagar et al., 2015; Agrawal et al., 2015].
Tipps für die Praxis
• Osteome sind aufgrund ihrer langsamen Wachstumstendenz symptomarm und stellen häufig im Rahmen von Röntgenuntersuchungen Zufallsbefunde dar.
• Beim Vorliegen multipler Osteome muss an eine syndromale Erkrankung gedacht werden.
• Obwohl Osteome symptomarm wachsen, müssen sie operativ entfernt und die Diagnose zur differenzialdiagnostischen Abklärung histologisch gesichert werden.
Differenzialdiagnostisch müssen Exostosen, Osteochondrome, periostale Osteoblastome, Osteosarkome, periphere ossifizierende Fibrome, Morbus Paget, die Fibröse Dysplasie und Odontome bedacht werden [Greenspan et al., 1998; Kshirsagar et al., 2015].
Die Therapie eines peripheren Osteoms beinhaltet die operative Abtragung sowie histologische Aufarbeitung zur endgültigen Verifizierung der Diagnose. Dabei muss vor allem die Differenzialdiagnose eines malignen Geschehens, wie zum Beispiel das Osteosarkom, das im Anfangsstadium röntgenologisch einem Osteom ähneln kann, ausgeschlossen werden. Außer zur histologischen Diagnosesicherung ist ein operativer Eingriff vor allem dann indiziert, wenn sich Symptome zeigen [Agrawal et al., 2015]. Solange periphere Osteome nicht entfernt werden, nimmt ihre Größe langsam zu [Soni et al., 2014]. Während des Eingriffs wird das Osteom an der Basis, das heißt wie bei dem von uns vorgestellten Patienten im Bereich der Verbindung zur lingualen Knochenlamelle am rechten Kieferwinkel, osteotomiert und komplett entfernt. Eine maligne Transformation wurde bisher in der Literatur nicht beschrieben [Sayit et al., 2014; Gundewar et al., 2013]. Obwohl das Rezidiv sehr selten ist, sollte eine röntgenologische Kontrolle in den ersten zwei bis drei Jahren jährlich und eine klinische Kontrolle halbjährlich erfolgen [Kshirsagar et al., 2015].
Dr. Dr. Ivan Rako, Felix Paulßen von Beck,
Klinik für Mund-Kiefer- und Gesichtschirurgie, Plastische Operationen
Malteser Krankenhaus, St. Josefshospital Uerdingen
Kurfürstenstr. 69, 47829 Krefeld-Uerdingen
Dr. Dr. Mehran Masaeili, Dr. Dr. h.c. Andreas Hammacher, Dr. Christian Räder
Klinik für Mund-Kiefer- und Gesichtschirurgie, Plastische Operationen
Malteser Krankenhaus, St. Johannes Stift
Johannisstr. 21, 47198 Duisburg-Homberg







