Stete Herausforderung
Osteomyelitiden (OM) werden als Entzündung des gesamten Knochens und des Periosts definiert [Baltensperger, 2013]. In der Literatur besteht eine große, teilweise widersprüchliche und verwirrende Begriffs- und Klassifikationsvielfalt. Dementsprechend gibt es viele Klassifikationssysteme. Eine Einteilung der Osteomyelitiden des Kiefers in akute, primär chronische und sekundär chronische Osteomyelitiden scheint sich dabei durchzusetzen (Tabelle).
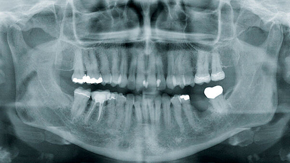
Die akute (infektiöse) OM geht nach vier Wochen per definitionem in eine sekundär chronische OM über (Abbildungen 1 und 2) [Marx, 1991] und beschreibt daher eigentlich die gleiche Entität zu unterschiedlichen Zeitpunkten und zu unterschiedlichen Stadien.
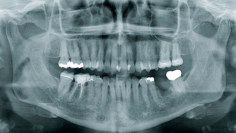
Die primär chronische OM hingegen beginnt ohne eine initiale Akutphase und ist in Ätiologie, Therapie und Prognose als eigenständiges Krankheitsbild zu verstehen (Tabelle, Abbildungen 3, 4, 7).
Ätiopathogenese
Ätiologisch handelt es sich bei der akuten und bei der sekundär chronischen OM um eine endogene bakterielle Mischinfektion, hauptsächlich durch anaerobe Keime der oralen Flora [Pigrau et al., 2012; Zimmerli, 2009; Baltensperger, 2003]. Bei der primär chronischen OM ist die genaue Ätiologie noch unbekannt. Eine immunologisch getriggerte endogene aseptische Knochenentzündung, eine Endarteriitis mit vaskulärer Insuffizienz oder ein Defekt am RANK/RANKL-System werden diskutiert. Bakterien können in der Regel nicht nachgewiesen werden. Sie könnten womöglich jedoch als Trigger fungieren, was das beobachtete Ansprechen auf Antibiotika erklären könnte.
Wie jede Infektion im Körper wird der Verlauf einer akuten oder einer sekundär chronischen Osteomyelitis von folgenden vier Parametern bestimmt:
• Anzahl der pathogenen Keime
• Virulenz der pathogenen Keime
• lokale und systemische Immunitätslage des Wirtes
• lokale Gewebeperfusion
Besteht ein Gleichgewicht zwischen Erreger und Wirtsreaktion, bleibt die Infektion in der Regel asymptomatisch. Kommt es zu einer Zunahme der Erregeranzahl oder deren pathogener Virulenz und/oder zu einer Verminderung der Immunlage und/oder zur lokalen Gewebeperfusion, verschiebt sich das Gleichgewicht zugunsten der Entzündung. Klinisch manifestieren sich die klassischen Entzündungszeichen, labor- chemisch durch Anstieg der Entzündungsmarker (CRP, Leukozyten) und radiologisch – in Abhängigkeit der Wirtsabwehr – als Osteolyse, Sequester, Sklerosierung oder Neoosteogenese. Das im Rahmen der Entzündungsreaktion eintretende Gewebeödem kann im spongiösen Knochen aufgrund der begrenzenden starren Kortikalis zu einer intramedullären Druckerhöhung führen. In der Folge werden die Blutgefäße komprimiert, die Gewebeperfusion wird vermindert, die Mikrozirkulation gestört, und es kann als Komplikation eine venöse Kongestion mit Thrombenbildung auftreten.
Die damit einhergehende Hypoxie senkt den Gewebe-pH-Wert. Letzterer könnte zu einer Hemmung regenerativer Zellen und zur Selektion und Proliferation von Anaerobiern führen, was der Infektion weiter Vorschub leisten könnte. Der erhöhte Gewebedruck kann zudem intraossär verlaufende Nerven, wie den N. alveolaris inferior, so weit komprimieren, dass eine Funktions- störung in Form einer Hypästhesie, dem Vincent-Symptom, auftreten kann.
Diagnostik
Eine eingehende Anamnese und eine präzise klinische Untersuchung sind für die richtige Diagnose der Osteomyelitisformen und deren Stadium von zentraler Bedeutung. Klinisch präsentieren sich die primär chronische und die sekundär chronische OM charakteristischerweise mit einer schmerzhaften Schwellung und Mundöffnungsbehinderung, jedoch ohne Suppuration, Fistel- und Pusbildung sowie ohne relevant erhöhte Entzündungsparameter. Eine regionale Lymphadeno- pathie und eine Hypästhesie der Unterlippe (Vincent-Symptom) sind fakultativ vorhanden.
Während sich erstere sowohl im Kindes- und Jugendalter (early onset, 20 Jahre) als auch im Erwachsenenalter (late onset, 20 Jahre) manifestiert, geht letztere mit einer relativen Häufung in der dritten bis zur sechsten Lebensdekade einher.
Bei gründlicher Anamnese kann jedoch eine Unterscheidung zwischen einer primär chronischen oder einer sekundär chronischen OM erfolgen. Die primär chronische Osteomyelitis kann mit einem multifokalen Befall (CRMO, Chronisch Rezidivierende Multifokale Osteomyelitis) einhergehen und/oder mit dermato-skelettalen Erkrankungen, namentlich dem SAPHO-Syndrom (Synoviitis, Akne, Pustulosis palmoplantaris, Hyper- ostose, Osteomyelitis).
Typisch für die akute Osteomyelitis sind neben den starken Schmerzen die Abszess- und die Pusbildung, wie auch erhöhte Entzündungswerte. Ein reduzierter Allgemeinzustand, Fieber, Foetor, Zahnlockerungen, eine Hypästhesie sowie eine Mundöffnungseinschränkung können zusätzlich vorliegen.
Bildgebung
Da Klinik und Laborparameter allein nicht ausreichen, um Vorliegen und Ausmaß einer Kieferosteomyelitis/-nekrose hinreichend zu diagnostizieren, kommt der Bildgebung eine wichtige Rolle zu. Entscheidend für Therapieplanung und -monitoring sind die korrekte Beurteilung der Krankheitsaktivität und eine exakte Ausbreitungsdiagnostik. Um die Wahl des geeigneten Bildgebungsverfahrens zu erleichtern, sollen die Vor- und Nachteile der Einzelverfahren kurz vorgestellt werden:
Die konventionelle Panoramaschichtaufnahme (PSA) hat als Ausgangsuntersuchung weiterhin einen großen klinischen Stellenwert (Abbildungen 1 und 3). Sie gibt einen ersten Überblick über Knochenstruktur und Zahnstatus. Ihre Aussagekraft ist jedoch aufgrund von Überlagerungseffekten limitiert [Strobel et al., 2012]. Darüber hinaus ist sie nicht sehr sensitiv, da erst ab einem Knochensubstanzverlust von etwa 30 bis 50 Prozent eine Osteolyse im Röntgenbild erkennbar ist.
Computertomografie und digitale Volumentomografie (CT/DVT) bieten eine überlagerungsfreie morphologische Darstellung der Kieferregion mit Erfassung von Knochenstrukturveränderungen in hoher örtlicher Auflösung (Abbildung 7). CT und DVT stellen derzeit den Goldstandard in der Identifikation von nekrotischen Knochenanteilen, zum Beispiel Knochensequestern, dar. Bei zusätzlicher Gabe von intravenösem Kontrastmittel kann in der CT auch eine entzündliche Mitbeteiligung der Weichteile beurteilt werden. Eine Limitation der CT und der DVT stellen die in der Kieferregion oft vorliegenden Zahnartefakte dar.
Dreiphasen-Szintigrafie: Die planare Dreiphasen-Szintigrafie mit 99m Tc-markierten Bisphosphonaten ist ein nuklearmedizinisches Standardverfahren in der Diagnose der Kieferosteomyelitis/-nekrose. Sie zeigt die Lokalisation von vermehrtem Knochenumbau (Osteoblastenaktivität) mit hoher Sensitivität an (Abbildung 6). Das Verfahren ist jedoch nicht spezifisch und hat nur eine begrenzte Ortsauflösung [Stockmann et al., 2010].
SPECT(single photon emission computed tomography)-Technik: Die diagnostische Akkuratesse der Szintigrafie kann durch Verwendung der SPECT gesteigert werden (Abbildung 2) [Dore et al., 2009]. Hier werden anders als in der Szintigrafie (in der Aufnahmen aus ventraler und dorsaler Projektion aufgenommen werden) mehrere Aufnahmen aus unterschiedlichen Winkeln akquiriert, aus denen ein dreidimensionales Bild errechnet wird. Dies verbessert die Detektion und die örtliche Zuordnung von fokal vermehrten Traceranreicherungen im Vergleich zu Szintigrafie oder CT allein [Bolouri et al., 2013].
18FDG-PET (18-Fluordeoxy-Glucose): Die Identifikation einer lokalen Entzündung mittels 18FDG-PET beruht darauf, dass aktivierte Granulozyten und Makrophagen Glucose als Energiequelle verwenden. Bei einer entzündungsinduzierten Aktivierung kommt es in diesen Zellen zu einer erhöhten Anreicherung der radioaktiv markierten Glucose [Artiko, 2012]. Die FDG-PET hat sich in der Diagnostik der Osteomyelitis in Studien der vergangenen Jahre als vielversprechende Methode erwiesen [Artiko, 2012; Hartmann et al., 2007; Strobel Stumpe, 2007].
Die PET-CT kombiniert die Stoffwechseldaten mit anatomischer Information aus der CT. Sie bietet eine hohe Ortsauflösung und erlaubt eine Unterscheidung zwischen einer rein auf den Knochen begrenzten Inflammation und einer Infektion der benachbarten Weichteile.
Die Magnetresonanztomografie (MRT) als röntgenstrahlenfreies Schnittbildverfahren mit hohem Weichteilkontrast erlaubt eine sehr gute Beurteilung des Knochenmarks und der Weichteile (Abbildung 4). Morphologische Sequenzen zeigen ein Knochenmarködem im Rahmen einer Entzündung sensitiv an, sind jedoch wie die Skelett- szintigrafie nicht spezifisch. Die MRT bietet im Vergleich zur Szintigrafie einen signifikanten Vorteil in Detektion und Ausbreitungserfassung der extraossären Entzündungsausdehnung [Reinert et al., 1999]. Eine Limitation der MRT stellte bislang die nur eingeschränkte Darstellungsmöglichkeit von Knochendestruktion und von Sequestern dar [Stockmann et al., 2010]. Neue Sequenztechniken wie zum Beispiel UTE-Sequenzen („ultrashort echo time“), die in den vergangenen Jahren für die Darstellung der Knochenstruktur entwickelt wurden, könnten diesen Nachteil künftig überwinden [Du et al., 2013].
Darüber hinaus stehen mit der Entwicklung von funktionellen MRT-Techniken (Diffusion, Perfusion) Verfahren zur Verfügung, die sich in der Diagnostik von Entzündungsgeschehen zum Beispiel in der Rheumato-logie [Schwenzer et al., 2010] bereits als vielversprechend erwiesen haben.
Therapie
Akute und sekundär chronische OM: Die sich aus oben genannter Ätiologie der akuten und der sekundär chronischen Osteomyelitis ableitende Therapie sollte einerseits die Anzahl und die Virulenz der pathogenen Keime reduzieren und andererseits die Immunitätslage und die lokale Gewebeperfusion verbessern. Ersteres kann mittels eines chirurgischen Debridements (gegebenenfalls inklusive Sequestrotomie, Dekortikation) und einer Antibiotikatherapie erreicht werden [Baltensperger Eyrich, 2009]. Bedingt durch die verminderte lokale Perfusion ist oftmals eine hoch dosierte, initial intravenöse und prolongierte Antibiotikatherapie notwendig. Erste Wahl sind hierbei Penicilline, bevorzugt in Kombination mit einem Betalaktamasehemmer wie Amoxicillin-Clavulansäure oder Ampicillin-Sulbactam. Besteht eine Penicllinallergie, sind Clindamycin oder das neue Chinolon Moxifloxacin (auf Nebenwirkungen achten) Präparate der Wahl. Die Therapiedauer sollte mindestens vier bis sechs Wochen betragen. Adjuvant kann im Rahmen operativer Maßnahmen lokal zudem Gentamycin als Kollagenschwamm appliziert werden. Die Immunitätslage lässt sich durch die Therapieoptimierung eventuell vorliegender Systemerkrankungen wie Diabetes mellitus, Infektionen, Mangel- ernährung sowie durch die Dosierung immunmodulierender Medikamente verbessern. Die Kortikalis bildet eine starre Barriere, die den intramedullären Druck nicht nach außen entweichen lässt. Das Ziel einer Perfusionsverbesserung und Bakterienreduktion liegt demnach in der Entfernung der begrenzenden und infizierten Kortikalis. Dies sollte großzügig geschehen und das angrenzende Periost miteinbeziehen. Bei ausgedehnter Resektion kann das Anbringen einer Protektionsplatte zur Frakturprophylaxe indiziert sein. Der Stellenwert der hyperbaren Sauerstofftherapie bei der akuten und bei der sekundär chronischen OM bleibt dabei noch ungeklärt, hat sich aber in Einzelfällen als hilfreich erwiesen.
Primär chronische OM: Zur Behandlung der primär chronischen OM, somit auch der CRMO (Abbildungen 3 und 4) und des SAPHO-Syndroms (Abbildung 7), haben sich nicht steroidale Antiphlogistika (NSAR) und Kortikoide bewährt, bei Therapieresistenz Methotrexat (MTX), Bisphosphonate wie Pamidronat [Urade et al., 2012; Kuijpers et al., 2011] und TNF-alpha-Antagonisten wie Infliximab [Costa-Reis et al., 2013]. Adjuvant können Antibiotika, die hyperbare Sauerstofftherapie HBO und Calcitonin hilfreich sein. Auch bei dieser Form ist eine Gewebeprobe aus oben genannten Gründen stets anzustreben. Ein mikrobieller Abstrich ist zur Differenzialdiagnostik prinzipiell sinnvoll, häufig jedoch bei fehlender Abszessbildung beziehungsweise Kontamination durch die orale Flora nicht zielführend. Auffällig ist, dass es keine pauschale Therapieempfehlung gibt. Mitunter sind mehrere Therapieoptionen zu über-prüfen und letztendlich die anzuwenden, auf die der Patient am besten anspricht.
Prognose
Die primär chronischen und die sekundär chronischen Kiefer-Osteomyelitiden sind seltene Erkrankungen. Nicht selten werden sie infolge nicht oder erst spät diagnosti-ziert und kompetent behandelt, was für die betroffenen Kinder, Jugendlichen und Erwachsenen lange Monate bis Jahre des unnötigen Suchens, der Schmerzen und des Leidens bedeuten kann. Eine früh- zeitige korrekte Diagnosestellung und eine adäquate multimodale Therapie sind daher von entscheidender Bedeutung für die Prognose.
Wird eine akute OM frühzeitig erkannt und suffizient behandelt, kann sie rezidivfrei ausheilen. Wird die Diagnose verzögert, keine oder eine insuffiziente Therapie durchgeführt, kann die akute OM nach vier Wochen in eine chronische OM übergehen, die mehrfach rezidivieren und zum Verlust von Kieferanteilen (mit der Notwendigkeit aufwendiger Rekonstruktionen) führen kann.
Bei der primär chronischen OM ist die Prognose aufgrund der ungeklärten Ätiologie und Kofaktoren oft nicht vorhersehbar. Klinisch-radiologisch zeigt sich jedoch häufig ein Ausheilen nach der Pubertät. Sklerosierungen oder Knochen-Auftreibungen können persistieren. Ein destruierender Verlauf ist nicht bekannt, jedoch sind Wachstumsstörungen denkbar.
Kiefernekrosen durch Antiresorptiva
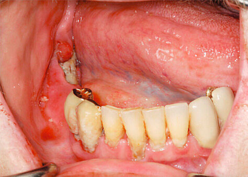
Neben den bekannten Bisphosphonaten werden zunehmend Fälle von Kiefernekrosen auch durch Denosumab, einen RANKL-Antagonisten, beobachtet. Deswegen sollte speziell auch nach den Medikamenten Prolia©und XGeva©vor oralchirurgischen Eingriffen gefragt werden. Während Prolia©in der Osteoporosetherapie Anwendung findet, wird XGeva©bei Prostata- und Mammakarzinompatienten subkutan verabreicht und hat speziell auch bei Nierenfunktionsstörungen seine Indikationen. Die Halbwertszeit von Bisphosphonaten beträgt bis zu zehn Jahren, die von Denosumab in der Regel zwischen 80 und 120 Tagen [Ruggiero, 2013]. In direkten Vergleichsstudien bei onkologischen Patienten werden etwas mehr gehäuft Nekrosen durch Denosumab als durch Zoledronat (Aminobisphosphonat) festgestellt. Die Erfolge einer definitiven Heilung waren jedoch bei den Denosumabnekrosen scheinbar besser [Saad et al., 2012; Van Wyngaert et al., 2011]. Als Hauptursachen einer Kiefernekrose sind bei beiden Präparaten nach wie vor Zahnextraktionen zu nennen. Das zweitgrößte Risiko durch Prothesendruckstellen wird jedoch häufig unterschätzt (Abbildungen 5 und 6) [Hoefert, 2012].
Trotz des Zeitraums von aktuell elf Jahren, in denen Kiefernekrosen bekannt sind (Erstbeschreibung 2003 durch Marx), ist die Ätiologie weiterhin ungeklärt. Zunehmend rückt die Bedeutung einer Infektion in Ätiologie und Therapie der Kiefernekrosen in den Mittelpunkt [Kumar et al., 2010; Pazinas, 2011]. Durch eine adäquate Antibiotikatherapie können nicht nur die Klinik und das Erscheinungsbild der Nekrose gebessert und in der Regel eine Schmerzfreiheit erreicht werden, sondern es werden auch bessere Erfolge bei der operativen Therapie verzeichnet [Hoefert und Eufinger, 2011]. Tendenzen zeichnen sich auch ab, dass eine frühzeitigere operative Therapie bei Bisphosphonatnekrosen empfohlen werden kann, um eine dauerhafte Heilung zu erzielen. Eine Heilung in diesem Sinne beschreibt eine dichte Schleimhaut ohne Hinweise auf freiliegende Knochenareale oder Fistelungen bis zum Knochen [Lesclous et al., 2013; Graziani et al., 2012; Hoefert und Eufinger, 2011].
Bei den Denosumabnekrosen bleibt die Situation jedoch weiterhin unklar. Aus der eigenen Erfahrung der Tübinger Bisphosphonat- und Denosumabsprechstunde scheinen Denosumabnekrosen eine höhere Prävalenz aufzuweisen, aber auch mit einer konservativen Therapie besser behandelbar zu sein.
Dr. Hanspeter Kiefer
PD Dr. Christina Schraml
Prof. Dr. Dr. Siegmar Reinert
Dr. Dr. Sebastian Hoefert
Klinik und Poliklinik für Mund-, Kiefer- und Gesichtschirurgie
Universitätsklinikum Tübingen
Osianderstr. 2-8
72076 Tübingen
<link url="sebastian.hoefert@uni-tuebingen.de" target="new-window" url-fragment="" seo-title="" follow="follow">sebastian.hoefert@uni-tuebingen.de










