Tumor imitiert odontogene Läsion
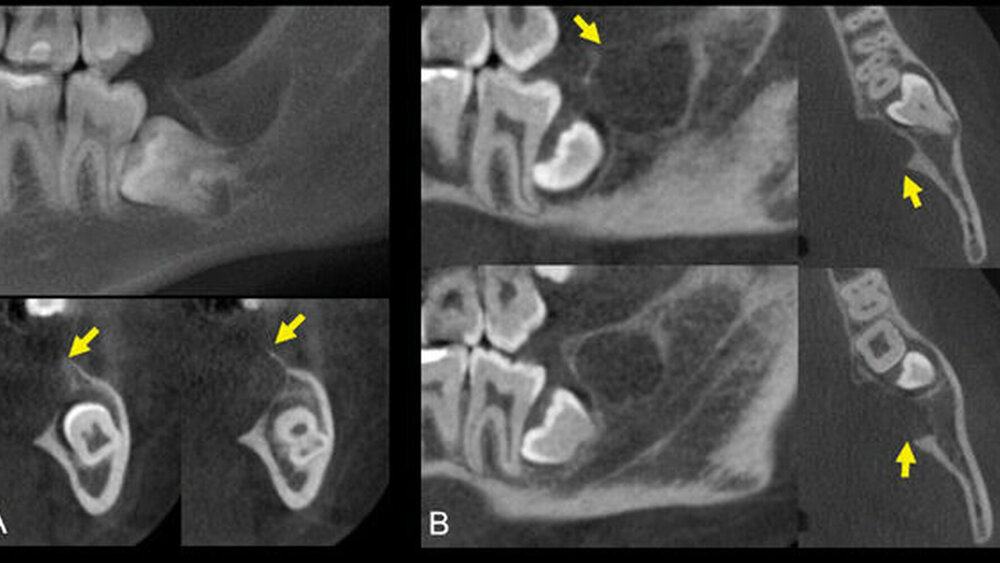
Forschende aus Brasilien berichten über eine junge Patientin, die mit einer Schwellung im linken Unterkiefer Regio 38 vorstellig wurde. Die Siebzehnjährige hatte keine Schmerzen und konnte nicht sagen, seit wann die Schwellung bestand. Im der Bildgebung imponierte eine „osteolytische Läsion mit definierten Grenzen in Bezug auf die Nähe zum perikoronalen Follikel des Zahnes 38“, was zur Verdachtsdiagnose einer odontogenen Läsion führte [Teixeira et al., 2023]. Im Anschluss wurde eine Inzisionsbiopsie durchgeführt, deren pathologische Untersuchung ein nicht abgekapseltes Neoplasma drüsigen Ursprungs bestehend aus Schleim-, Intermediär- und Plattenepithelzellen mit überwiegend zystischem Wachstum ergab, was laut der Autoren auf ein intraossäres mukoepidermoides Karzinom schließen lässt. Der Tumor wurde in der Mund-, Kiefer- und Gesichtschirurgie entfernt. Auch vier Jahre nach dem Eingriff gibt es keinen Hinweis auf ein Rezidiv.
Mukoepidermoidkarzinome können in allen großen und auch kleinen Speicheldrüsen auftreten, wobei die Glandula parotis mitunter am häufigsten betroffen ist. Bei einer Entwicklung im Gesichtsskelett werden sie als intraossäres oder zentrales Mukoepidermoidkarzinom (CMEC) bezeichnet. Während das Mukoepidermoidkarzinom der häufigste maligne Speicheldrüsentumor ist, handelt es sich bei CMEC um eine seltene Entität, die nur etwa zwei bis vier Prozent der Mukoepidermoidkarzinome ausmacht [Teixeira et al., 2023]. CMECs treten vorwiegend im Unterkiefer und bei Frauen auf, vor allem zwischen dem 40. Und 50. Lebensjahr [Teixeira et al., 2023]. Neben Schmerzen und Schwellungen können auch Fistelbildungen und Parästhesien auftreten. Die Entstehung von CMECs ist nicht abschließend geklärt. Die Autoren halten es jedoch aufgrund des Vorhandenseins schleimproduzierender Zellen für wahrscheinlich, dass es sich um eine neoplastische Umwandlung der Epithelauskleidung einer odontogenen Zyste handelt.
Teixeira et al. benennen sechs diagnostische Kriterien für die CMEC-Diagnose: das Vorhandensein einer intakten Kortikalisplatte, eine radiologisch eindeutige osteolytische Läsion, eine positive Muzinfärbung, das Fehlen einer Primärläsion in der Speicheldrüse, ein Ausschluss eines odontogenen Tumors oder einer Metastase sowie die histologische Bestätigung [2023]. Im vorliegenden Fall wurden, bis auf die intakte Kortikalis, alle Kriterien erfüllt. Weil die meisten Autoren die Kortikalis allerdings lediglich in konventionellen Röntgenbildern und nicht in einer 3-D-Bildgebung beurteilt haben, halten Teixeira et al. dieses Kriterium für fraglich. Sie verweisen auf eine Arbeit, die empfiehlt, beim gleichzeitigen Vorliegen interner sklerotischer Knochenmassen und Perforation der externen Kortikalis mit Ausdehnung in das umgebende Weichgewebe ein CMEC in Betracht zu ziehen [Chan et al., 2013, Teixeira et al., 2023].
Teixeira LN, Perez EG, Rosa ACG, Lima SRR, Soares MQS, Passador-Santos F, de Araújo VC, Soares AB. Central Mucoepidermoid Carcinoma Radiographically Mimicking an Odontogenic Lesion. Case Rep Dent. 2023 Sep 27;2023:5714099. doi: 10.1155/2023/5714099. PMID: 37799173; PMCID: PMC10550484.



