Was bringt Hyaluron in der Zahnmedizin?
zm-online: Prof. Liebaug, Wie wirkt Hyaluronsäure in der zahnärztlichen Therapie?
Prof. Frank Liebaug:Hyaluronsäure besitzt antiinflammatorische, antiödematöse und zusätzlich als Radikalfänger protektive Effekte sowie eine antibakterielle Wirkung, was sich klinisch als bakteriostatischer Effekt bemerken lässt. Außerdem trägt sie entscheidend zu Prozessen der Wundheilung bei. Hyaluronsäure ist aufgrund ihrer Eigenschaften in vielfältiger Weise auch für die Zahnheilkunde sehr interessant.
In den vergangenen Jahren hat es im Bereich der allgemeinen zahnärztlichen, aber auch insbesondere der oralchirurgischen Praxis erfolgreiche Ergebnisse in den verschiedenen Anwendungsgebieten gegeben. Das bisherige Schattendasein der Hyaluronsäureanwendung in Deutschland ist wohl hauptsächlich auf mangelnde Informationen zu diesem Thema zurückzuführen.
In den letzten Jahren haben wir in unserer Praxis-Klinik die verschiedenen Anwendungsmöglichkeiten und deren Wirkung bei der Behandlung von entzündlichen und traumatischen Zuständen des Mund- und Rachenraums intensiv angewandt und wissenschaftlich untersucht.
Hyaluronsäure (Synonym Hyaluronan) ist ein physiologischer, extrazellulärer, ubiquitärer Bestandteil des Bindegewebes in der Mundschleimhaut und vor allem der Gingiva. Hyaluronsäure besitzt eine regulierende Funktion bei der Organisation der extrazellulären Matrix und ihrer Bestandteile. Dabei bildet das Hyaluronsäurenetzwerk eine der Voraussetzungen für den Stoffaustausch und dient als Barriere gegen das Eindringen fremder Substanzen. Auf Zellebene wird die Differenzierung von Zellen sowie die Kommunikation von Zellen beeinflusst.
Was kann Hyaluronsäure im Rahmen der Periimplantitistherapie leisten?
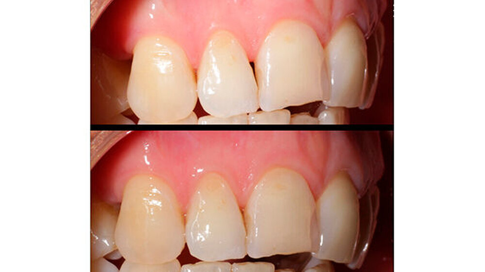
Liebaug:Die additive Nutzung von Hyaluronsäure im Rahmen des „ LLHA-Concept in Periimplantitis“ führt zu besseren Heilungsergebnissen ohne erhöhte Blutungsneigung, was klinisch in einer Beschleunigung und Verbesserung der periimplantären Geweberegeneration imponiert und langfristig als erfolgversprechend gedeutet werden kann. Wir wenden deshalb Hyaluronsäure bei der periimplantären Mucositis und der manifesten Periimplantitis mit Knochenverlust an.
Inwiefern bringt Hyaluronsäure positive Effekte im Rahmen der parodontalen Regeneration?
Liebaug:Erste direkte Interaktionen von Hyaluronsäure mit einem parodontopathogenen Bakterium wurden mithilfe eines Enzyme-Linked Immuno Assays bei Treponema denticola nachgewiesen. Weitere Untersuchungen konnten im Rahmen einer Vorbehandlung von Treponema denticola mit Hyaluronsäure eine Reduzierung der Bindungsaffinität des Keims gegenüber parodontalen Zellen um bis zu 70 Prozent zeigen.
Die natürliche Steigerung der Hyaluronsäuresynthese durch den basic fibroblast growth factor (FGF-2), einem wichtigen Bestandteil der extrazellulären Matrix innerhalb der Wundheilung von parodontalen Gewebe, führte zum Versuch der Applikation von Hyaluronsäure in künstlich geschaffene, vertikale Alveolarknochendefekte, was man in Versuchen beobachtet hat.
Die teilweise Regeneration der Knochendefekte war durch eine starke Anreicherung von Osteoblasten gekennzeichnet. Die Aktivierung von einem B-lymphozytären Oberflächenrezeptor durch Hyaluronsäure könnte einen weiteren Regulationsmechanismus zur Verbesserung der Wundheilung beschädigter Gewebestrukturen liefern.
Wie wirkt sich Hyaluronsäure auf die Wundheilung aus?
Liebaug:Es besteht ein Zusammenhang zwischen dem Vorkommen von Hyaluronsäure und der Wundheilung in Geweben. Bei der Neustrukturierung der Zellen nach Gewebedefekten dient Hyaluronsäure als ein Regulator der Migration und der Zellteilungsmechanismen. Darüber hinaus beeinflusst sie die Zellmotilität nachweislich positiv.
Der Blutplättchen-Wachstumsfaktor PDGF (platelet-derived growth factor) stimuliert Gingivafibroblasten des Menschen zur Proliferation und vermehrten Hyaluronsäuresynthese. Dieser Wachstumsfaktor steht im Zusammenhang mit Reparatur- und Regenerationsvorgängen parodontaler Gewebe nach entzündlicher Gewebsschädigung. So beobachten wir regelmäßig eine Beschleunigung der klinischen Wundheilung.
Prof. Dr. Marcel Wainwright:Hyaluronsäure spielt in unserem Körper eine entscheidende Rolle bei der Wundheilung, sowohl bei akuten Wunden als auch bei chronischen Wunden oder Narben, ohne deren Anwesenheit diese nicht stattfinden könnte. In vielen anderen medizinischen Disziplinen ist die Hualuronsäure seit Jahren etabliert, es wird Zeit, dass dieses Wissen in der Zahnmedizin auch mehr thematisiert und öffentlich wird.
Beispielsweise in der Verbrennungschirurgie und in der Orthopädie wird Hyaluronsäure seit Jahren erfolgreich eingesetzt, ebenso in der Ophtalmologie und der Pulmonologie, es gibt seit Jahren Wundpflaster, die mit Hyaluronsäure benetzt sind, damit die Wundheilung besser und schneller abläuft.
Hyaluronsäure stimuliert die Fibroblastenmigration und die Keratinozytenproliferation immanent. In der Literatur ist dies in sehr vielen Studien seit vielen Jahren dokumentiert. Meran zeigte 2008, dass Hyaluronsäure die Proliferation von Fibroblasten durch den Wachstumsfaktor tgf-beta1 (transforming growth factor) fördert.
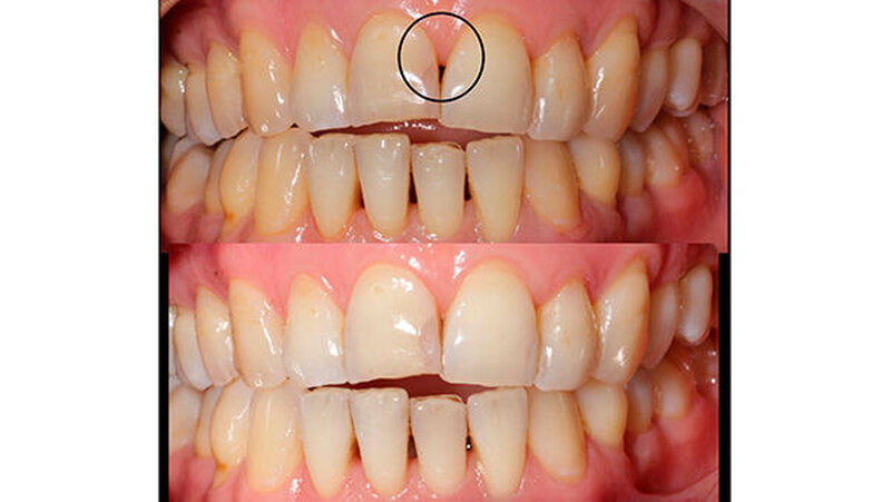
In der Studie von Sukumar (2007) wurde gezeigt, dass Hyaluronsäure bei der Osseointegration von Implantaten eine entscheidende Rolle spielt. Sie wirkt auch entzündungshemmend über das Protein ICAM-1 (CD54, intercellular adhesion molecule), welches bei Entzündungsreaktionen die Aktivierung von Makrophagen ermöglicht und damit Entzündungen in Schach hält. Bei Aphthen beispielsweise ist die Unterspritzung derselben mit Hyaluronsäure sehr effektiv und führt nach ein paar Stunden schon zur Schmerzfreiheit des Patienten.
Die Studienlage ist gigantisch, weshalb es mich wundert, warum die Hyaluronsäure in der Zahnmedizin bisher stiefkindlich behandelt worden ist. Wir hoffen sehr, dass sich dies bald ändert und erkannt wird, dass sie als adjuvantes Therapeutikum sowohl in der Parodontitis und der Oralchirurgie erfolgreich eingesetzt werden kann.
Welche Beobachtung konnten Sie noch machen?
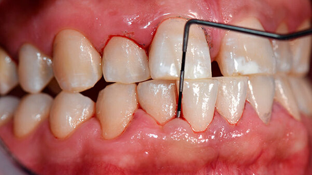
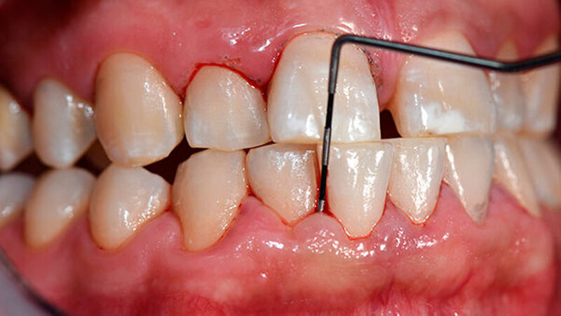
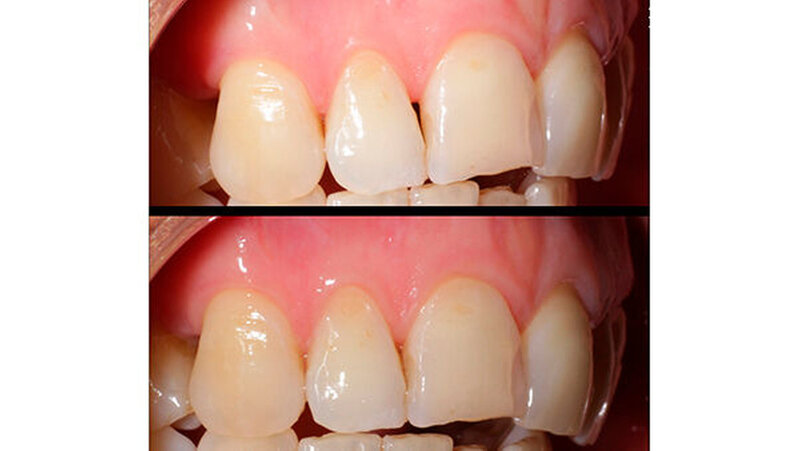
Liebaug:In einem mittlerweile 24-monatigen Beobachtungszeitraum unter Einbeziehung von 45 Patienten, welche sich einer nichtchirurgischen Parodontaltherapie unterzogen hatten, konnten wir die Kombination von Hyaluronsäure und Laserlicht im Therapiekonzept der marginalen Parodontitis klinisch erfolgreich anwenden.
Überzeugend war neben der im Vergleich zur Kontrollgruppe oder allein laserunterstützten SRP-Therapiegruppe die zu messende gesteigerte Taschenreduktion vor allem aber auch der klinisch imponierende, reizlose und beschleunigte Heilungsverlauf, der so nur in der Hyaluronsäuregruppe mit Laserunterstützung aufgefallen ist.
Die Hyaluronsäuregruppe wies nach zwölf Monaten eine fast doppelt so hohe Reduktion der sondierbaren Taschentiefen im Vergleich zur Kontrollgruppe auf. Dieser Unterschied zwischen den einzelnen Behandlungsgruppen und der Kontrollgruppe war auch nach 24 Monaten messbar. Die additive Anwendung von für die orale Applikation zugelassener Hyaluronsäure und konsequente Umsetzung des „LHA-Concept in Periodontitis“ ist deshalb in unserer Praxis ein erfolgversprechender Therapieansatz zur Begünstigung der biologischen Regeneration bei parodontalen Erkrankungen.
Prof. Frank Liebaug führt eine zahnärztliche Gemeinschaftspraxis für Laserzahnheilkunde und Implantologie in Steinbach-Hallenberg und ist Dozent an der Shandong University (China). Zudem leitet er das Ellen-German Institute for Dental Research and Education.
Prof. Dr. Marcel Wainwright führt das MIRALA Clinic and Educational Center in Stockholm und arbeitet in der Swiss Biohealth Clinic in Kreuzlingen in der Schweiz.
Literaturquellen können Sie unter info@ellen-institute.com anfordern.








