Wie der Zahnarzt einen Vitamin D-Mangel diagnostiziert
In menschlichen Zähnen ist ein gravierender Vitamin-D-Mangel oder eine Rachitis in Form mikroskopischer Deformationen detailliert am Dentin ablesbar, die entsprechenden Strukturen werden schließlich dauerhaft im Zahnschmelz abgespeichert.
Um diese Muster zu lesen, musste der Zahn bislang jedoch aufgeschnitten werden. Deshalb konnte man bis dato auch ausschließlich postmortale Zähne analysieren.
Mithilfe von Röntgenstrahlen entwickelten die Forscher um Lori D'Ortenzio und Megan Brickley von der McMaster University in Hamilton, Kanada, nun auf Basis der
eine konsistente Methode für den Nachweis eines Vitamin-D-Mangels:
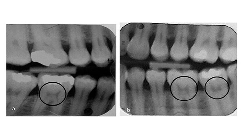
Die Form der Pulpa im gesunden Zahn ähnelt bekanntlich einem Bogen, der von zwei Katzenohren gekrönt wird, während sie bei Personen mit schwerem Vitamin D-Mangel asymmetrisch und verengt ist und typischerweise wie ein Stuhl mit harter Lehne aussieht.
Den Autoren zufolge gehen Vitamin-D-, Calcium- oder Phosphat-Mängel mit Veränderungen der Pulpenkammern aufgrund der abnormalen Mineralisierungen einher. Zellstoffanomalien könnten daher die erste Evidenzstufe für einen zuvor nicht diagnostizierten Vitamin D-Mangel sein.
Lori D’Ortenzioa, Isabelle Ribot, Bonnie Kahlon, Benoit Bertrand, Emmy Bocaege, Emeline Raguin, Annabelle Schattmann, Megan Brickley, The rachitic tooth: The use of radiographs as a screening technique, in:http://www.sciencedirect.com/science/journal/18799817 - publication-title-link "Go to International Journal of Paleopathology on ScienceDirect"published first online 7 November 2017.






