Der Fall: Progenie durch Akromegalie
Der Patient stellte sich erstmals 2010 in der Stuttgarter MKG-Spezialsprechstunde vor. Im ersten Schritt wurde der Tumor an der Hirnanhangdrüse über die Nase entfernt. In interdisziplinärer Zusammenarbeit mit einem Fachzahnarzt für Kieferorthopädie wurden im ersten Behandlungsabschnitt die Zahnbögen ausgeformt. Um den Oberkiefer in der Breite zu dehnen, führten die Stuttgarter Zahnärzte im Oktober 2012 eine chirurgisch unterstützte Gaumennahterweiterung durch.
Schritt für Schritt zum neuen Profil
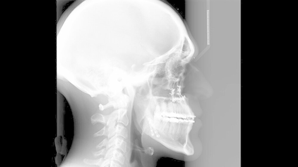
Nach dreidimensionaler Planung im zahntechnischen Labor, in dem die Bissschlüssel konventionell hergestellt wurden, wurden dann ein Jahr später beide Kiefer operativ mobilisiert. Hierzu wurde von einem Schnitt im Mund der Oberkieferknochen freigelegt.
Mit einer Säge wurde ein gezielter Knochenschnitt durchgeführt. Nach der Präparation wurde der zahntragende Abschnitt des Oberkiefers vom restlichen Gesichtsschädel gelöst. Erst wurde die Bisssituation anhand des Bissschlüssels exakt eingestellt, dann mit 2 mm dicken Osteosyntheseplatten aus Titan der Knochen in der neuen Position mithilfe von Titanschrauben fixiert.
Im Unterkiefer erfolgte dann die Schnittführung im Zahnfleisch hinter dem letzten Backenzahn beidseits. Nun wurde der Unterkiefer mit spezieller Technik durchtrennt um die zahntragende Basis vom gelenktragenden Knochenabschnitt des Unterkiefers zu verschieben. Bei der Präparationwurde der im Unterkieferknochen verlaufende Gefühlsnerv der Unterlippe sorgfältig geschont.
Die neue Position wurde mit einem zweiten Bissschlüssel, der die endgültige Bisssituation einstellt,zugeordnet und mit Osteosyntheseplatten und -schrauben gesichert. Die Operation ging mit einem stationären Aufenthalt von nur fünf Tagen einher.
Neue Gesichtsästhetik und bessere Kaufunktion
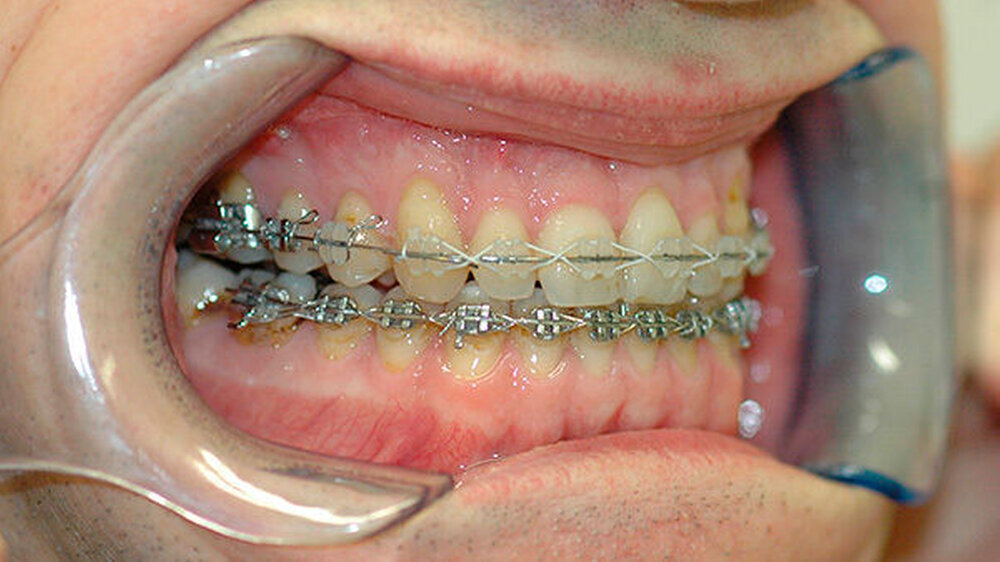
Das deutlich harmonischeres Profil drei Monate nach der Operation: Im Mai des nachfolgenden Jahres wurden die Metallplatten in einem ambulanten Eingriff wieder entfernt. Eine Multibandapparatur hält die Zähne noch "in der Reihe". Der Patient kann heute dank der individuellen innovativen Behandlung ein normales Leben führen, die Gesichtsästhetik und seine Kaufunktion sind vollständig wiederhergestellt.
Die Akromegalie
Hintergrund: Die Akromegalie ist eine endokrinologische Erkrankung, die durch eine Überproduktion des Wachstumshormons Somatropin hervorgerufen wird. Ein Hormon-produzierendes Adenom - das ist ein gutartiger Tumor - an der Hypophyse ist in den meisten Fällen die Ursache dieser Erkrankung.
Am Gesichtsschädel führen die Wachstumshormone zu einem persistierenden Wachstum des Unterkiefers. Die Körperproportionen erscheinen dadurch extrem unharmonisch und vergröbert. Der daraus entstehende Fehlbiss ist häufig auch verantwortlich für degenerative Kiefergelenkserkrankungen.














