Ein in die Kieferhöhle dislozierter Wurzelrest
Abstract
Due to the anatomical proximity between the maxillary sinus and the teeth of the upper jaw, dislocation of tooth fragments or entire teeth into the sinus may occur during tooth extraction. Following the verification of such a foreign body within the sinus, its removal and the coverage of the oroantral communication should be performed immediately for the prevention of possiblesinus infection. In 2-Dradiographic imaging, foreignbodies may not be located in the proper radiographic planes of an OPT or may be superimposed by other structures, complicating precisediagnosis. In such cases, 3-Dimaging by CBCT is helpful. The present case report describes a female patient, being referred at our clinic for radiographic imaging and consecutive operative removal of radix being dislocated into the right maxillary sinus. This radix relicta could be visualized by 3DCBCTimaging. Consecutively, it was removed.
Zusammenfassung
In die Kieferhöhle dislozierte Zahnteile oder Zähne stellen aufgrund der anatomischen Lagebeziehung zwischen dem Sinus maxillaris und den Oberkieferzähnen eine mögliche Komplikation bei Zahnentfernungen im Oberkiefer dar. Ist die Dislokation eines Fremdkörpers in die Kieferhöhle sicher, sollten die Entfernung des Fremdkörpers und die Deckung der oroantralen Verbindung rasch erfolgen, um eine mögliche Infektion der Kieferhöhle zu vermeiden. Bei zweidimensionalen Bildgebungen (OPT) können Fremdkörper überlagert werden oder sich außerhalb der Schichtebene befinden, sodass ihr Vorhandensein nicht mit Sicherheit ausgeschlossen werden kann. Insofern kann eine dreidimensionale Aufnahme mittels DVT hilfreich sein.
Einleitung
Aufgrund der anatomischen Lagebeziehung zwischen dem Alveolarfortsatz und dem Sinus maxillaris kann es bei nachchirurgischen Interventionen wie Sinusbodenelevationen, Implantinsertionen, aber auch bei einfachen Zahnextraktionen zu Komplikationen in Verbindung mit dem Sinus maxillaris kommen.
Zahnextraktionen von oberen Prämolaren oder Molaren können zu oroantralen Verbindungen oder zur Dislokation einer Zahnwurzel in den Sinus maxillaris führen (Harrison et al. 1961). Bei Nichtbehandlung kommt es zumeist zu einer persistenten oroantralen Fistel mit möglicher Sinusitis (Giovannetti et al. 2014). Der Sinus maxillaris ist in der Regel ein steriler Bereich, der als physiologische Flora vorwiegend Koagulase negative Staphylokokken enthält (Abou-Hamad et al. 2009).
Im Gegensatz dazu weist die Mundhöhle eine orale Mikroflora mit einem reichen Spektrum an Organismen auf: Gemella, Granulicatella, Streptococcus und Veillonella-Arten (Aaset al. 2005). Eine offene oroantrale Verbindung mit einem in den Sinus dislozierten Implantat, Zahn oder Zahnfragment sowie die Entzündungen eines Sinusboden-Augmentats können zu einer potenziell pathogenen Infektion des Sinus führen.
Bei unbehandelten Infektionen des Sinus maxillaris kann es aufgrund der engen Lagebeziehung zur Orbita auch zu orbitalen Komplikationen, wie entzündlichen Ödemen des Ober- oder Unterlides, subperiostalen Abszessen oder Orbitaphlegmonen kommen. Die zum Abführen von Sekret sehr wichtigen Zilien können durch chronische Infektionen absterben, was die Reinigung des Sinus maxillaris erschwert. Andererseits kann z.B. überpresstes Wurzelfüllungsmaterial zu einer Pilzinfektion (Aspergillose) führen.
Bei Dislokation eines Zahnes in den Sinus maxillaris oder bei einer Wurzelfraktur mit Verdacht auf die mögliche Dislokation des Wurzelfragments in den Sinus sollte unmittelbar versucht werden, den dislozierten Anteil aus dem Sinus zu entfernen. Falls der Wurzelrest oder der Zahn klinisch nicht sichtbar ist, ist eine röntgenologische Bildgebung notwendig. Liegt der Wurzelrest noch knapp in der Alveole oder in der angrenzenden Schleimhaut kann ein einfaches Zahnfilm-Röntgenbild genügen.
Meist ist aber eine weitergehende Röntgendiagnostik notwendig. In vielen Praxen steht mittlerweile ein OPT zur Verfügung. Leider reicht ein OPT oder die OPT-Ansicht des DVTs nicht immer aus, um dislozierte Fremdkörper zu visualisieren. In solchen Fällen wird eine dreidimensionale Bildgebung mittels DVT benötigt. Anhand dieses Fallberichts wird der Mehrnutzen einer dreidimensionalen Bildgebung praxisnah aufgezeigt.
###more### ###title### Fallbericht: Anamnese und Befund ###title### ###more###
Fallbericht: Anamnese und Befund
Eine allgemeinmedizinisch gesunde, 34-jährige Patientin stellte sich einen Monat nach der Extraktion des Zahns 17, mit Verdacht auf einen in den Sinus maxillaris dislozierten Wurzelrest, an der Klinik für Oralchirurgie der Universität Zürich vor. Die Überweisung erfolgte durch die behandelnde Zahnärztin. Bei der Extraktion des Zahns 17 brach ein Stück der distobukkalen Wurzel ab. Der Wurzelrest wurde vermeintlich abgesaugt und die eröffnete Kieferhöhle mehrfach gespült.
Um auch röntgenologische Sicherheit zu haben, ob der Wurzelrest abgesaugt wurde oder in den Sinus disloziert war, wünschte die überweisende Zahnärztin ein DVT und eine allfällige Behandlungsübernahme. Zum Zeitpunkt der Erstvorstellung war die Patientin beschwerdefrei, und es zeigte sich intraoral eine komplett weichteilbedeckte Alveole regio 17.
Befund der digitalen Volumentomografie
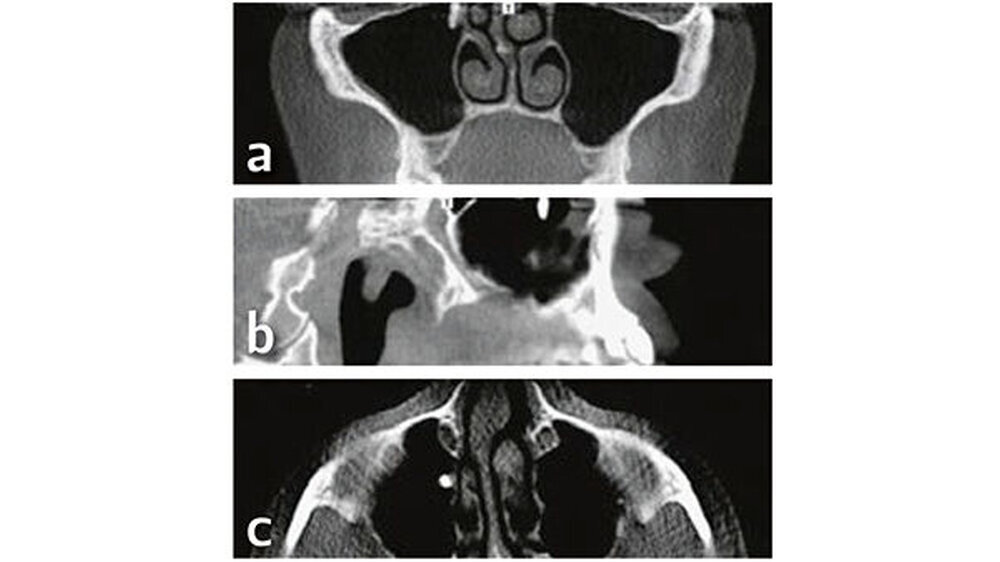
Röntgenologisch (Abb. 1) zeigen sich auf der OPT-Ansicht ein dental und ossär unauffälliger Befund und eine gut belüftete, nicht verschattete rechte Kieferhöhle. Der Verdacht eines Wurzelrests in regio 17 bestätigt sich in dieser Darstellung nicht. Erst nach genauerer Betrachtung der axialen,coronalen und sagittalen Bildebenen des DVT konnte eine zahndichte Verschattung regio Ostium naturale des Sinus maxillaris dargestellt werden, welches kaudal in das Infundibulum ethmoidale und kranial in den Hiatussemilunaris mündet (Abb. 2).
Therapie und operativer Eingriff
Nach ausführlicher Besprechung der Therapieoptionen mit der Patientin und der Aufklärung über mögliche Komplikation wurde eine chirurgische Entfernung des Wurzelrests vereinbart. Der Eingriff erfolgte nach präoperativer Gabe von Dalacin 300 mg 1 h präoperativ und über drei Tage postoperativ (anamnestisch berichtete die Patientin über eine frühere Amoxicillin-Unverträglichkeit) ambulant. Der Eingriff erfolgte in Lokalanästhesie mittels Septanest 1 : 200000. Der operative Zugang erfolgte mittels eines girlandenförmigen Paramarginalschnitts ca. 3 mm unterhalb des Sulcus innerhalb der Attached Gingiva mit mesialer und distaler Entlastung in regio 14–16.
Nach Abschieben des Mukoperiostlappens wurde der Knochen bis zur Schneider’schen Membran mittels Piezosurgery abgetragen. Es erfolgte ein Horizontalschnitt durch die Membran und damit die Eröffnung des Sinus maxillaris. Mittels eines flexiblen Endoskop konnte der Wurzelrest in regio des Ostium naturale visualisiert und mittels eines feinen Saugers adhäsiv aus der Kieferhöhle entfernt werden.
Die Kieferhöhle wurde mehrfach mit NaClLösung gespült und endoskopisch kontrolliert. Die Schneider’sche Membran wurde mit resorbierbaren Nähten 5.0 verschlossen und die Gingiva mit nicht resorbierbaren Einzelknopfnähten geschlossen (5.0 und 6.0). Postoperativ wurden Analgetika (Dafalgan 500 mg 111 für 3 d, Brufen 600 mg bei Bedarf), ein Antibiotikum (Dalacin C 300 mg 111 für 3 d) gegeben und eine Mundspüllösung rezeptiert (Chlorhexamed® FORTE 0,2 Prozent, täglich 2× den Mund für 1 min spülen). Um die Belüftung der Kieferhöhle zu gewährleisten, wurde ein Nasenspray abgegeben.
Außerdem wurde die Patientin darauf hingewiesen, wenn möglich nicht zu niesen oder zu schnäuzen (falls dies trotzdem erfolgt: ohne zugehaltene Nase oder zugehaltenen Mund) und für die nächsten fünf Tage auf sportliche Aktivitäten oder starken Wärmeeinfluss zu verzichten (Abb. 3).
###more### ###title### Verlauf ###title### ###more###
Verlauf
Die erste postoperative Kontrolle erfolgte nach vier Tagen. Die Patientin war beschwerdefrei, und intraoral zeigte sich eine stadiengerechte Wundheilung. Die klinische Kontrolle war ohne pathologischen Befund. Die Rachenhinterwand war frei und zeigte keinen Schleim oder Eiterabsonderung des Sinus maxillaris. Zehn Tage postoperativ stellte sich die Patientin mit einer ebenso regelrechten Wundheilung vor, die Nähte konnten entfernt werden. Bei der 4-Wochen-Nachkontrolle zeigte sich eine feine, nicht entzündete Narbe im Bereich des Zugangs. Die röntgenologische Kontrolle zeigte eine gut belüftete rechte Kieferhöhle auf dem halbseitigen OPT.
Klinisch war die Patientin beschwerdefrei, und es zeigte sich kein pathologischer Befund. Der Sensibilitätstest der Zähne im 1. Quadranten mit CO2 Schnee war bei allen Kontrollen positiv. Die Patientin wurde aus unserer Behandlung entlassen und wird sich für weitere zahnärztliche Kontrollen wieder bei der Privatzahnärztin vorstellen.
Diskussion
Die Dislokation eines Fremdkörpers in den Sinusmaxillaris stellt eine mögliche Komplikation bei chirurgischen Eingriffen im Oberkiefer dar. Am häufigsten ist diese Komplikation für die palatinale Wurzel des oberen 1. Molaren oder für die oberen Weisheitszähne beschrieben (Ferguson 2014). Dies ist meist durch exzessive vertikale Kraftanwendung mittels einer Zange oder eines Hebels bedingt, kombiniert mit prädisponierenden Faktoren wie z.B. einem dünnen Sinusboden.
Zur Vermeidung der Dislokation ist die Kontrolle der Wurzelmorphologie vor der Extraktion, eine genügend vorsichtige Luxation des Zahnes oder allenfalls eine Separation entscheidend. Wurzelfrakturen während der Extraktion sind relativ häufig, weshalb bei jeder Extraktion routinemäßig kontrolliert werden muss,ob der Zahn oder die einzelnen Zahnfragmente komplett sind (Ferguson 2014). Die Dislokation des Wurzelrests erfolgt nicht immer in das Lumen des Sinus.
Das Fragment kann sich auch unter der Schneider’schen Membran befinden, wenn die mukosale Abschirmung nicht durchbrochen wurde. Aufgrund der Nähe zum Alveolenboden kann in diesem Fall ein Zahnfilm genügen.Häufig allerdings entsteht bei der Dislokation eines Wurzelrestes zusätzlich eine Mund AntrumVerbindung (MAV). Dann wird eine radiologische Darstellung in zwei Ebenen nötig,um die genaue Position des Fremdkörpers zu visualisieren (Ferguson 2014).
In der Zahnmedizin werden routinemäßig Zahnfilmaufnah men, Panoramaschichtaufnahmen/OPT oder v.a. in der Kieferorthopädie Fernröntgenseitenbilder verwendet. Wichtige Informationen zum Knochenvolumen (vertikal), zur Topografie und die Nachbarschaft zu wichtigen anatomischen Strukturen können meist über die klinische Untersuchung und eine konventionelle Röntgenaufnahme gewonnen werden.
Die Entscheidung für eine dreidimensionale Bildgebung sollte auf einem eindeutigen Bedarfgründen und die klinischen Anforderungen der beteiligten Ärzte unterstützen (Harris et al. 2002). Diese Verfahren sind jedoch oft nicht ausreichend, um Pathologien in den Nasen und Kieferhöhlen präzise zu diagnostizieren (Major et al. 2006, Jakobsone et al. 2010, Lenza et al. 2010), weshalb dreidimensionale Aufnahmetechniken in Betracht gezogen werden sollten.
In der Panoramaschichtaufnahme können Pathologien außerhalb der gezeigten Schicht liegen und deshalb nicht dargestellt sein. In einer Studie von Maestre-Ferin et al. 2011 konnten bei 23 Kieferhöhlen radiologische Veränderung diagnostiziert werden,wobei durch das OPT lediglich 4,3 Prozent als pathologisch befundet werden konnten.
Die Vorteile der dreidimensionalen Diagnostik mittels DVT im Vergleich zum CT sind die geringeren effektiven Strahlungsdosen, eine höhere dreidimensionale Auflösung, also eine deutliche bessere Qualität der Darstellung von Details,sowie die niedrigeren Anschaffungskosten für die Geräte (Kobayashi et al. 2004). Somit stellt die Aufnahme mittels DVT als weiterführende zahnärztliche Röntgendiagnostik bei deutlich geringerer Strahlenexposition des Patienten eine kostengünstige Alternative zum konventionellen CT dar (Lemkamp et al. 2006).
Zahlreiche Studien bestätigen, dass das DVT für die Diagnostik und Therapieplanung im Bereich des Sinus maxillaris von großer Bedeutung ist (DGZMK-Leitlinie 2013, Xu et al. 2011, Vogiatzi et al. 2014). Anatomische Strukturen der vorderen Schädelbasis, der oberen Atemwege sowie der Nase und der Nasennebenhöhlen, aber auch Weichteile wie die basale Schleimhaut des Sinus maxillaris werden durch eine DVT-Bildgebung ausreichend dargestellt (Bremke et al. 2009, Guijarro & Swennen 2011, Bornstein et al. 2012).
Zweidimensionale Aufnahmen, wie z.B. das OPT, können aufgrund der divergierenden Ausbreitung der Röntgenstrahlen keine maßstabgetreue, überlagerungsfreie Darstellung der anatomischen Strukturen gewährleisten. Ein weiterer Nachteil der zweidimensionalen Aufnahmetechnik ist die Begrenzung der Schichtdicke.
Sofern werden Strukturen vor oder hinter dieser Ebene nicht oder nur ungenügend dargestellt, und ein exaktes Treffen der relevanten Schicht kann sehr schwierig sein,was wie in dem hier vorliegenden Fallbericht das Auffinden eines Wurzelrests unmöglich machen kann. Deshalb sollte der 3D-Bildgebung gegenüber der klassischen 2D-Bildgebung aktuell der Vorzug gewährt werden.
Bichsel D, Stadlinger B, Damerau G: 3D-radiographic imagingof a radix relicta in the maxillary sinus (in German). SWISSDENTAL JOURNAL SSO 125: 1355–1358 (2015)







