Follikuläre Zyste in der Kieferhöhle infraorbital – mit Hypästhesie
Eine 21 Jahre alte Patientin stellte sich in unserer Praxis vor und schilderte nicht näher präzisierte Beschwerden im Bereich der rechten Kieferhöhle sowie eine zunehmende Gefühlsschwäche unter dem rechten Auge.
Differenzialdiagnose
Differenzialdiagnostisch stand so der Verdacht auf eine atypische Neuralgie im Bereich des Nervus infraorbitalis rechts (im Sinne einer Trigeminusneuralgie) im Raum. Anamnestisch – die junge Frau war seit ihrem vierten Lebensjahr in unserer Praxis Patientin – war schon eine Dentitio tarda diagnostiziert. Da aber im Bereich des I. Quadranten bereits ein verlagerter Weisheitszahn 18 bekannt war, wurden zunächst folgende weitere Befunde erhoben:
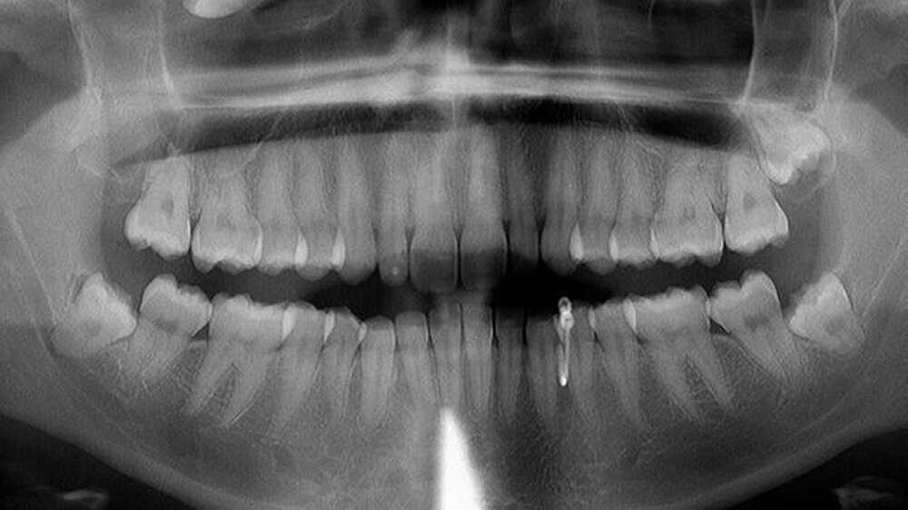
Röntgen (OPG Abb.1): verschattete Kieferhöhle rechts mit extrem verlagertem Zahn 18 direkt infraorbital
klinisch: Sensibilität des Nervus infraorbitalis nV2 (Zwei-Punkt-Diskrimination): rechts 4 mm, links 2 mm (also deutlich eingeschränkt auf der betroffenen Seite)
anamnestisch: Fraglicher Bückschmerz infraorbital rechts, außerdem beginnende Doppelbilder(!). Es wurde dringend eine Untersuchung und adäquate Therapie in einer MKG-chirurgischen Abteilung angeraten, welche die Patientin allerdings erst einige Monate später nach einem anstehenden Examen durchführen lassen wollte.
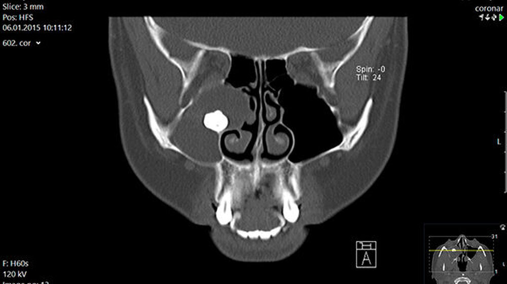
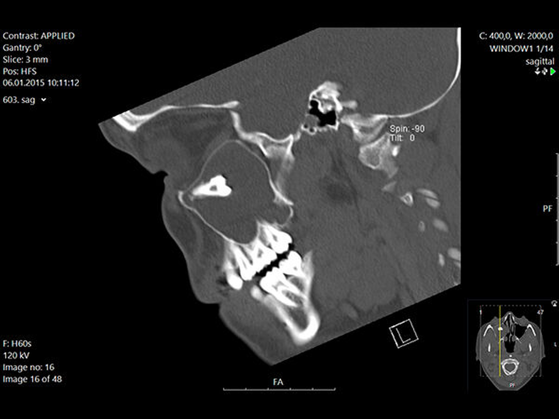
In der regionalen Klinik (Winterberg-Krankenhaus Saarbrücken) wurde zusätzlich eine kontrastmittelunterstützte Computertomografie der Nasennebenhöhlen durchgeführt (Abbildungen 2 und 3), die den Befund bestätigte und präzisierte.
Intraoperativ entleerte sich reichlich eingedicktes Sekret. Die dort ebenfalls veranlasste postoperative Histologie ergab die Kombination einer Kieferhöhlenzyste (respiratorisches Epithel) mit einer odontogenen Zyste (mehrschichtiges nicht keratinisiertes Plattenepithel). Der weitere Verlauf war erfreulicherweise unkompliziert.
Nachbehandlung
Nach erfolgtem Eingriff unter stationären Bedingungen konnte die Nachbehandlung ambulant in unserer Praxis erfolgen und gestaltete sich im wesentlichen störungfrei. Die Röntgenkontrolle nach vier Jahren zeigte operationsbezogen einen Normalbefund (Abbildung 4): Kieferhöhlen rechts und links (soweit beurteilbar) lufthell, Zähne 28, 38, 48 in etwa orthograd (also: Verlaufsbeobachtung vertretbar).
Die anderen Zähne im I. Quadranten blieben vital, die infraorbitale Sensibilität hatte sich innerhalb kurzer Zeit (Wochen) normalisiert, die Doppelbilder waren verschwunden. Die Patientin äußerte sich im weiteren Verlauf sehr zufrieden über Diagnostik und Therapie. Sie hatte auch keine Beschwerden mehr verspürt. Die Zähne 28, 38, 48 wollte die Patientin bis heute nicht entfernen lassen.
Danksagung: Die Autoren danken dem Chefarzt der MKG-Chirurgie Saarbrücken, Dr. Dr. Herbert Rodemer M.A., für die Überlassung der im Krankenhaus erhobenen Befunde.
GP Dres. Regine und Wolfgang Carl
Kaiserstraße 49
66386 St. Ingbert E-mail:










