Syndromales Leiomyosarkom der Orbita
Die Frau stellte sich mit progredienter Visusverschlechterung des rechten Auges und Doppelbildern in der Klinik für Mund-, Kiefer- und Gesichtschirurgie des Universitätsklinikums Hamburg-Eppendorf vor. Im Rahmen eines Li-Fraumeni-Syndroms hatte sie bereits mehrfach Malignome entwickelt:
- 2009 Resektion eines Mammakarzinoms - adjuvante Behandlung 
- 2011 erneutes Mammakarzinom im Sinne einer Zweitneoplasie - daraufhin Ablatio Mammae beidseits 
- 2015 vaskuläres Leiomyosarkum der Vena cava inferior - Resektion und Rekonstruktion Vena cava mit Goretex Gefäßprothese 
- 2016 Lokalrezidiv - Resektion des Sarkom-Rezidivs, Lymphadenektomie interaortocaval, Strahlentherapie 
- 2017 Rezidiv M. iliopsoas - Resektion 
- 2018 atypische Lungenresektion linker Unterlappen, Oberlappen bei Metastase 
- 2018 Tumorresektion links cervikal, Tumorresektion M. vastus lateralis links, Resektion pulmonaler Metastasen rechts, adjuvante Strahlentherapie links cervikal 
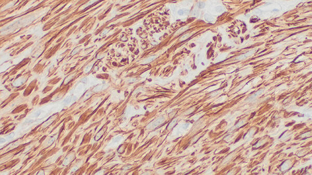
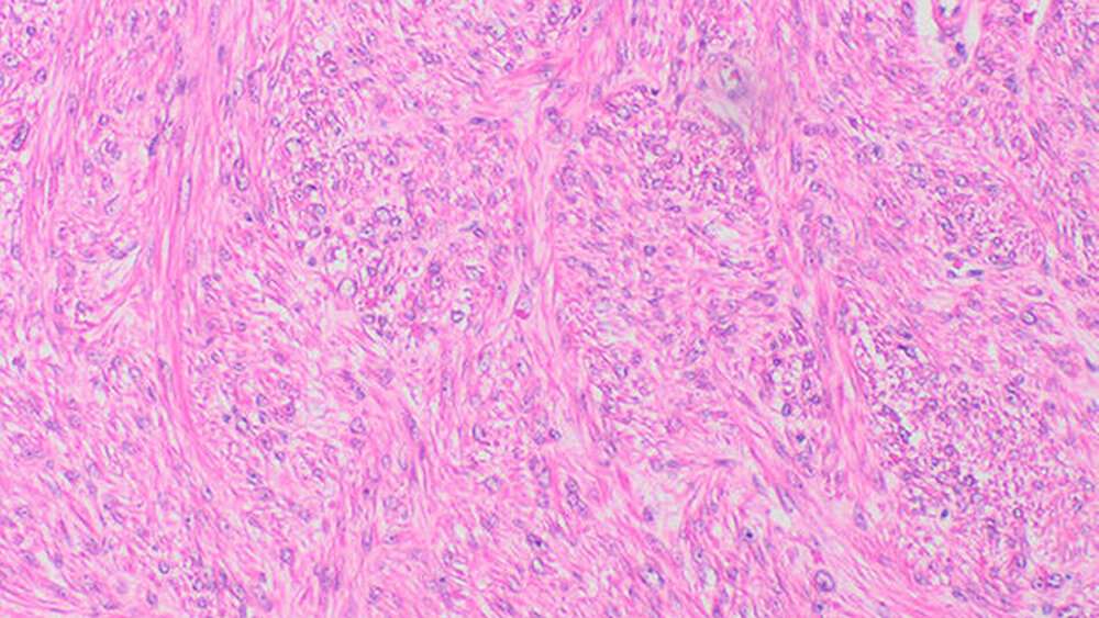
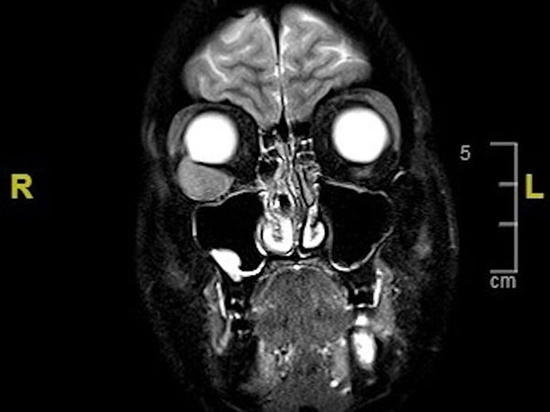
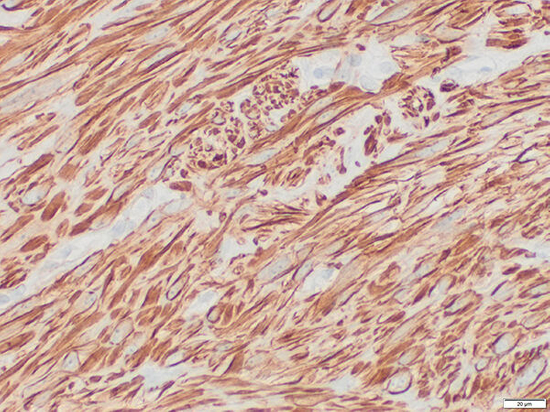
Zur Kontrolle erfolgten MRT-Kontrollaufnahmen des ganzen Körpers in einem dreimonatigen Abstand. Bei Vorstellung in unserer Klinik zeigte sich abgesehen von einem diskreten Bulbushochstand und Exophthalmus rechts ein unauffälliger klinischer Befund. Im MRT zeigte sich eine intraorbitale Raumforderung (Abbildung 1). Die histologische Untersuchung bestätigte den Verdacht auf eine Neumanifestation des Leiomyosarkoms (Abbildungen 2, 3).
Nach Diskussion der Therapiemöglichkeiten in unserem interdisziplinären Tumorbord erfolgte die Tumorresektion und Enukleation des rechen Auges. Zur späteren epithetischen Versorgung wurden am Supraorbitalrand enossale Implantate gesetzt. Zur Tumornachsorge werden bei der Patientin vierteljährlich Ganzkörper-MRT Untersuchungen durchgeführt.
Diskussion
Frederick Li und Joseph Fraumeni beschrieben 1969 eine familiäre Häufung von Weichgewebssarkomen, Brustkrebs und anderen Neoplasien [Li und Fraumeni, 1969]. Als Ursache der Erkrankung konnte eine Mutation des Tumor Supressor Gens TP53 identifiziert werden [Malkin et al., 1990; Srivastava et al., 1990; Tak et al., 2019]. Die pathologische Veränderung von TP53 wird autosomal dominant vererbt [Tak et al., 2019], beziehungsweise tritt bei bis zu 20 Prozent der Patienten als Neumutation auf [Tak et al., 2019; Schneider et al., 1993; Mai et al., 2016; Gonzalez, Buzin et al., 2009] und führt zu einem Lebenszeitrisiko eines malignen Tumors von fast 100 Prozent [Young et al., 2018].
Obwohl das Li-Fraumeni-Syndrom früher als seltene Erkrankung eingestuft wurde, zeigen neuere Untersuchungen, dass TP53-Keimbahnmutationen eine Häufigkeit von 1:5.000 bis 1:20.000 haben und sich wohl erst mit vermehrter Testung die tatsächliche Prävalenz des Li-Fraumeni-Syndroms herausstellen wird [Schneider et al., 1993; Lalloo et al., 2003; Gonzalez, Noltner et al., 2009].
Bei mehr als der Hälfte der Frauen mit Li-Fraumeni-Syndrom wird bis zu ihrem 31. Lebensjahr mindestens ein Tumor diagnostiziert und circa 50 Prozent der Männer haben mit 46 Jahren mindestens einen Tumor [Mai et al., 2016; Young et al., 2018]. Dieser Altersunterschied liegt vor allem an früh einsetzendem Brustkrebs bei Frauen, auch insgesamt haben Frauen dadurch ein höheres Tumorrisiko als Männer [Mai et al., 2016]. Bei Kindern sind die häufigsten Diagnosen Hirntumore, Osteosarkome, Weichteilsarkome und Nebennierenrindenkarzinome [Mai et al., 2016].
Die diagnostischen Kriterien des Li-Fraumeni-Syndroms sind:
- Sarkom vor dem 45. Lebensjahr 
- Verwandter ersten Grades mit einer Tumorerkrankung vor dem 45. Lebensjahr 
- ein weiterer Verwandter zweiten/dritten Grades mit einem Sarkom in jeglichem Lebensalter, bzeziehungsweise einer anderen Tumorerkrankung vor dem 45. Lebensjahr [Mai et al., 2016; Li et al., 1988]. 
Weitere, weniger strenge Kriterien für ein „Li-Fraumeni-like“ Syndrom (LFL) sind Kindheitstumoren, Hirntumoren und Nebennierenrindentumoren sowie das Alter der Verwandten bei Tumordiagnose <60 Jahre [Mai et al., 2016; Birch et al., 1994; Eeles, 1995]. Die Behandlung der Malignome richtet sich nach den für die einzelne Tumorentität spezifischen onkologischen Richtlinien – mit Ausnahme von Mammakarzinomen, hier wird eine Mastektomie statt einer brusterhaltenden Therapie zur Reduktion des Risikos für Zweittumore und zur Vermeidung von Bestrahlung empfohlen [Schneider et al., 1993]. Auch eine prophylaktische Mastektomie bei pathogener TP53-Variante kann diskutiert werden [Schneider et al., 1993]. Da bei unserer Patientin zum Zeitpunkt des Mammakarzinoms die Diagnose des Li-Fraumeni-Syndroms noch nicht gestellt war, wurde zunächst leitliniengerecht brusterhaltend und adjuvant behandelt.
Als allgemeine Empfehlung für Patienten mit Keimbahnmutation TP53 gilt das Vermeiden bekannter Karzinogene wie Sonneneinstrahlung, Nikotin- oder Alkoholkonsum; auch diagnostische oder therapeutische Bestrahlungen sollen möglichst vermieden werden [Schneider et al., 1993].
Leiomyosarkom: Insgesamt ist die Prognose schlecht
Das Leiomyosarkom ist ein seltener bösartiger Weichgewebstumor, der vor allem intraabdominal/retroperitoneal, kutan, subkutan oder vaskulär vorkommt [Tilkorn et al., 2008]. Das venöse Leiomyosarkom stellt circa zwei Prozent aller Leiomyosarkome und hat seinen Ursprung vor allem in der Vena cava inferior, den Venae pulmonalis, der Vena femoralis, Vena saphena magna oder Vena jugularis [Yamamoto et al., 2018; Dzsinich et al., 1992; Yang et al., 2011].
Insgesamt ist die Prognose eines Leiomyosarkoms schlecht, wobei eine Chemotherapie und/oder eine Bestrahlung adjuvant durchgeführt werden kann, die Wirksamkeit aber fraglich ist [Yamamoto et al., 2018]. Nur die komplette Resektion des Tumors ist für das Langzeitüberleben ausschlaggebend [Yamamoto et al., 2018; Rasool et al., 2017].
In der Orbita sind Leiomyosarkome selten und können primär oder als Metastase oder Folge einer Bestrahlung auftreten [Rasool et al., 2017].
Als Behandlungsziel gilt es, der Patientin trotz Enukleation der Orbita eine hohe Lebensqualität zu ermöglichen. Neben der physischen Anpassung an den veränderten Visus ist daher auch eine individuelle Epithesenversorgung zur psychosozialen Rehabilitation der Patientin entscheidend. Ein frühzeitiges Einbinden eines Epithetikers ist somit auch zur Planung der nächsten Behandlungsschritte wichtig.
Fazit für die Praxis
Fazit für die Praxis
- Das Li-Fraumeni-Syndrom beschreibt eine Häufung maligner Weichgewebssarkome, Brustkrebs und anderen Neoplasien durch eine Mutation des Tumor Supressor Gens TP53. 
- Bei jungen Patienten mit entsprechenden Tumorentitäten sollte an Tumorprädispositionssyndrome gedacht werden und eine entsprechende Diagnostik zum Ausschluss erfolgen. 
- Leiomyosarkome sind seltene bösartige Weichgewebstumoren, die vor allem intraabdominal/retroperitoneal, kutan, subkutan oder vaskulär vorkommen und in toto reseziert werden sollten. 
- Wie bei der prothetischen Rehabilitation des Kausystems sind auch bei der epithetischen Versorgung von Gesichtsdefekten eine interdisziplinäre Zusammenarbeit und ein „backward-planing“ zur opitmalen Implantatpositionierung entscheidend. 
Dr. med. Ulrike Speth, Klinik für Mund-, Kiefer- und Gesichtschirurgie,
Dr. med. Simon Burg, Klinik für Mund-, Kiefer- und Gesichtschirurgie,
Dr. med. Daniela König, Klinik für Mund-, Kiefer- und Gesichtschirurgie,
Univ.-Prof. Dr. med. Ulrich Schüller, Institut für Neuropathologie,
Prof. Dr. med. Dr. med. dent. Martin Gosau,
Universitätsklinikum Hamburg-Eppendorf,
Martinistraße 52, 20246 Hamburg
###more### ###title### Literaturliste ###title### ###more###
Literaturliste
Birch, J. M., A. L. Hartley, K. J. Tricker, J. Prosser, A. Condie, A. M. Kelsey, M. Harris, P. H. Jones, A.
Binchy, D. Crowther, and et al. 1994. 'Prevalence and diversity of constitutional mutations in the p53 gene among 21 Li-Fraumeni families', Cancer Res, 54: 1298-304.
Dzsinich, C., P. Gloviczki, J. A. van Heerden, D. M. Nagorney, P. C. Pairolero, C. M. Johnson, J. W.
Hallett, Jr., T. C. Bower, and K. J. Cherry, Jr. 1992. 'Primary venous leiomyosarcoma: a rare but lethal disease', J Vasc Surg, 15: 595-603.
Eeles, R. A. 1995. 'Germline mutations in the TP53 gene', Cancer Surv, 25: 101-24.
Gonzalez, K. D., C. H. Buzin, K. A. Noltner, D. Gu, W. Li, D. Malkin, and S. S. Sommer. 2009. 'High frequency of de novo mutations in Li-Fraumeni syndrome', J Med Genet, 46: 689-93.
Gonzalez, K. D., K. A. Noltner, C. H. Buzin, D. Gu, C. Y. Wen-Fong, V. Q. Nguyen, J. H. Han, K. Lowstuter, J. Longmate, S. S. Sommer, and J. N. Weitzel. 2009. 'Beyond Li Fraumeni Syndrome: clinical characteristics of families with p53 germline mutations', J Clin Oncol, 27: 1250-6.
Lalloo, F., J. Varley, D. Ellis, A. Moran, L. O'Dair, P. Pharoah, and D. G. Evans. 2003. 'Prediction of pathogenic mutations in patients with early-onset breast cancer by family history', Lancet, 361: 1101-2.
Li, F. P., and J. F. Fraumeni, Jr. 1969. 'Soft-tissue sarcomas, breast cancer, and other neoplasms. A familial syndrome?', Ann Intern Med, 71: 747-52.
Li, F. P., J. F. Fraumeni, Jr., J. J. Mulvihill, W. A. Blattner, M. G. Dreyfus, M. A. Tucker, and R. W. Miller. 1988. 'A cancer family syndrome in twenty-four kindreds', Cancer Res, 48: 5358-62.
Mai, P. L., A. F. Best, J. A. Peters, R. M. DeCastro, P. P. Khincha, J. T. Loud, R. C. Bremer, P. S. Rosenberg, and S. A. Savage. 2016. 'Risks of first and subsequent cancers among TP53 mutation carriers in the National Cancer Institute Li-Fraumeni syndrome cohort', Cancer, 122: 3673-81.
Malkin, D., F. P. Li, L. C. Strong, J. F. Fraumeni, Jr., C. E. Nelson, D. H. Kim, J. Kassel, M. A. Gryka, F. Z. Bischoff, M. A. Tainsky, and et al. 1990. 'Germ line p53 mutations in a familial syndrome of breast cancer, sarcomas, and other neoplasms', Science, 250: 1233-8.
Rasool, N., D. R. Lefebvre, M. A. Latina, I. F. Dunn, S. Santagata, S. K. Freitag, and D. M. Cestari. 2017. 'Orbital leiomyosarcoma metastasis presenting prior to diagnosis of the primary tumor', Digit J Ophthalmol, 23: 22-26.
Schneider, K., K. Zelley, K. E. Nichols, and J. Garber. 1993. 'Li-Fraumeni Syndrome.' in M. P. Adam, H. H. Ardinger, R. A. Pagon, S. E. Wallace, L. J. H. Bean, K. Stephens and A. Amemiya (eds.), GeneReviews((R)) (University of Washington, Seattle
University of Washington, Seattle. GeneReviews is a registered trademark of the University of Washington, Seattle. All rights reserved.: Seattle (WA)).
Srivastava, S., Z. Q. Zou, K. Pirollo, W. Blattner, and E. H. Chang. 1990. 'Germ-line transmission of a mutated p53 gene in a cancer-prone family with Li-Fraumeni syndrome', Nature, 348: 747-9.
Tak, C. R., E. Biltaji, W. Kohlmann, L. Maese, P. Hainaut, A. Villani, D. Malkin, C. M. T. Sherwin, D. I. Brixner, and J. D. Schiffman. 2019. 'Cost-effectiveness of early cancer surveillance for patients with Li-Fraumeni syndrome', Pediatr Blood Cancer: e27629.
Tilkorn, D. J., M. Lehnhardt, J. Hauser, A. Daigeler, D. Hebebrand, T. Mentzel, H. U. Steinau, and C. Kuhnen. 2008. 'Intravascular leiomyosarcoma of the brachiocephalic region -- report of an unusual tumour localisation: case report and review of the literature', World J Surg Oncol, 6: 113.
Yamamoto, A., W. Nakata, G. Yamamichi, G. Tsujimura, Y. Tsujimoto, M. Nin, H. Miwa, and M. Tsujihata. 2018. 'A Rare Case of Vascular Leiomyosarcoma Originating from a Branch Vessel of the External Iliac Vein', Case Rep Med, 2018: 5160591.
Yang, S. H., J. C. Chien, C. L. Chen, and W. P. Chan. 2011. 'Leiomyosarcoma of ovarian vein compression as a cause of hydronephrosis', Eur J Gynaecol Oncol, 32: 336-8.
Young, J. L., A. Pantaleao, L. Zaspel, J. Bayer, J. A. Peters, P. P. Khincha, R. C. Bremer, J. T. Loud, M. H. Greene, M. I. Achatz, S. A. Savage, and A. Werner-Lin. 2018. 'Couples coping with screening burden and diagnostic uncertainty in Li-Fraumeni syndrome: Connection versus independence', J Psychosoc Oncol: 1-16.









