Submandibuläre extramedulläre Manifestation einer akuten myeloischen Leukämie\r
Kasuistik
Bei einem 66-jährigen Patienten war innerhalb kurzer Zeit eine ausgeprägte submandibuläre Schwellung rechts aufgetreten. Der Patient wurde unter der Verdachtsdiagnose einer zervikalen Logeninfektion zugewiesen. Da eine eindeutige dentogene Ursache nicht aufgefunden wurde, war differentialdiagnostisch eine Sialadenitis oder auch eine akute Lymphadenitis erwogen worden.
Bei der Aufnahme bestand eine Schwellung mit mäßiger Druckdolenz rechts submandibulär, allerdings fand sich keine Rötung des Ostiums des Wharton´schen Ganges, und auch das Speicheldrüsensekret war klar. Anamnestische Hinweise auf einen zeitlichen Bezug der Beschwerden und Schwellung zur Nahrungsaufnahme im Sinne einer Occlusionssymptomatik bestanden nicht. Hinweise auf eine dentogene Ursache ergaben sich klinisch und radiologisch nicht (Abb. 1). Sonographisch (Abb. 2) fanden sich submandibulär deutlich vergrößerte intraglanduläre und weitere zervikale Lymphknoten teilweise mit aufgehobener Binnenstruktur. Die umgebende Drüse erschien homogen, nicht vergrößert und ohne Hinweise auf Gangektasien oder eine Fibrosierung.
Auffällig war das Aufnahmelabor des Patienten, denn im Blutbild zeigte sich eine deutliche Anämie, und es fehlte eine erwartbare entzündungsbedingte Leukozytose.
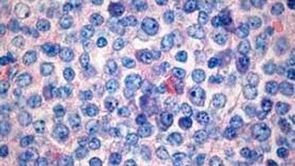
Im Zusammenhang mit dem Lymphknotenbefund ergab sich daher der Anfangsverdacht auf eine hämatologische Systemerkrankung, zumal eine unmittelbar begonnene antibiotische Behandlung keinerlei Einfluss auf den Krankheitsverlauf hatte. In der nachfolgenden Lymphknotenbiopsie zeigten sich dann vorwiegend promyelozytär differenzierte, unreifzellige leukämische Infiltrate (Abb. 3) und damit eine extramedulläre Manifestation myeloischer Vorläuferzellen. Der Patient wurde zur systemischen Diagnostik und Therapie an die Hämatologische Klinik der Universität weitergeleitet. Im Zusammenhang wurde zunächst ein myeloproliferatives Syndrom in einer bereits akzelerierten Phase erwogen. Im weiteren Verlauf ergab sich schließlich die Diagnose einer akuten myeloischen Leukämie, in deren Folge der Patient 20 Monate nach Therapiebeginn verstarb.
Diskussion
Leukämien („Blutkrebs”) sind durch eine massive, autonome Proliferation von Vorläuferzellen der Hämato- beziehungsweise Leukopoese gekennzeichnet, die beim Gesunden ausschließlich im blutbildenden Knochenmark zu finden sind [Feuring- Buske et al., 2002]. Die Expansion eines malignen Zellklons führt zur generalisierten Ausbreitung zunächst im blutbildenden Knochenmark und schließlich zur Ausschwemmung in die Blutbahn oder, wie im vorliegenden Fall, zur Infiltration extramedullärer Strukturen (hier Lymphknoten). Virchow hat für die ausgeprägte Leukozytose dieser Patienten den Begriff Leukämie = „weißes Blut” geprägt.
Die Überschwemmung des gesamten blutbildenden Systems mit unausgereiften Vorläuferzellen führt zu einer Verdrängung der regulären Hämato-, Thrombo- und Leukopoese. Im vorliegenden Fall war der Patient zunächst nur durch seine Anämie auffällig geworden, noch im Laufe der Heilungsphase der submandibulären Lymphknotenexstirpation kam es aber zusätzlich zu einer Leukopenie. Bemerkenswert ist, dass der Patient keine der typischen enoralen Leitsymptome [Cooper et al., 2000; Hou et al., 1997] einer Leukämie (Ulzerationen und Nekrosen als Zeichen der Immundepression, Hyperplasien der Gingiva als Ausdruck leukämischer Infiltrate, thrombozytäre Blutungsneigung als Zeichen der Myelodepression) aufwies. Insofern war eine primäre Interpretation des Krankheitsbildes als „Infektionsgeschehen” durchaus naheliegend.
Wie bereits in mehrere Kasuistiken dieser Serie beschrieben, waren eine fehlende „adäquate” Ursache, der ausbleibende Therapieerfolg trotz vermeintlich adäquater Maßnahmen und hier zusätzlich eine durch das Krankheitsgeschehen nicht erklärbare Anämie ausschlaggebend für den Verdacht auf ein neoplastisches Geschehen.
PD Dr. Dr. Martin KunkelKlinik für Mund-, Kiefer- und GesichtschirurgieJohannes Gutenberg-UniversitätAugustusplatz 255131 Mainz
Prof. Dr. Dr. Torsten E. Reichert<Klinik und Poliklinik für Mund-,Kiefer- und GesichtschirurgieKlinikum der Universität RegensburgFranz-Josef-Strauß-Allee 1193053 Regensburg




