Pleomorphes Adenom der Retromolarregion
Kasuistik
Bei einer 87-jährigen Patientin bestand ein schmerzloser Tumor der rechten Retromolarregion. Die Patientin konnte nicht angeben, wann sie diesen Befund zum ersten Mal bemerkt hatte. Eine auswärtige Biopsie war zu der Diagnose eines kanalikulären Adenoms gekommen. Klinisch handelte es sich um einen derben, knapp über einen Zentimeter durchmessenden Tumor, der gegenüber dem Unterkieferknochen verschieblich war und dem straffen retromolaren Bindegewebe aufsaß (Abb. 1). Sensibilitätsstörungen oder Funktionsbehinderung bestanden nicht. Der Befund wurde in toto exzidiert. Es handelte sich um einen von einer Kapsel begrenzten, leicht höckrigen Tumor (Abb. 2), der im Anschnitt eine inhomogene Oberfläche, partiell mit Einblutungen bot (Abb. 3). Die Läsion hatte keine lobuläre Struktur, und es fand sich keine Hilusstruktur.
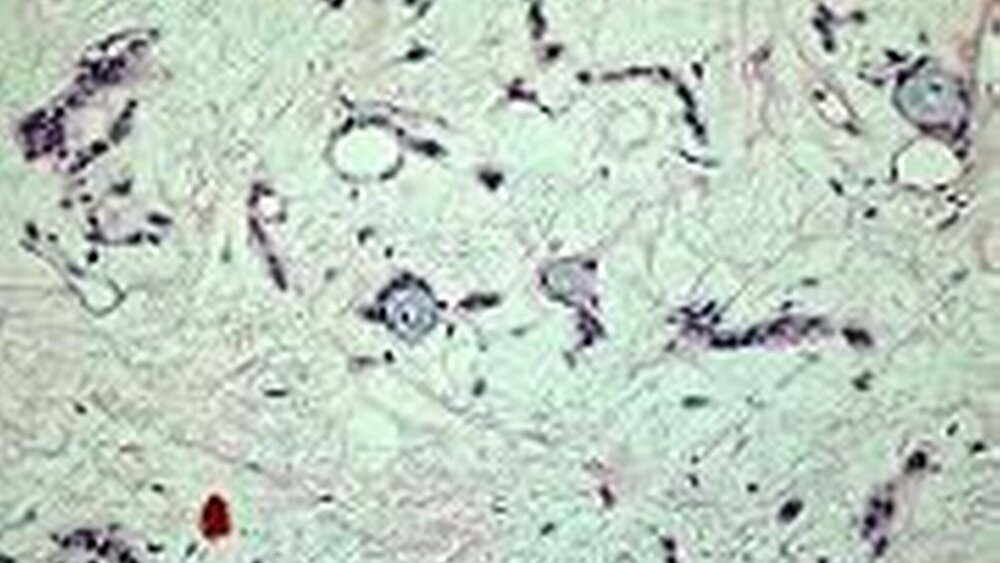
Histologisch ergab sich die abschließende Diagnose eines pleomorphen Adenoms der kleinen Speicheldrüsen. Die Abbildungen 4 a bis c zeigen die histomorphologische Heterogenität eines typischen pleomorphen Adenoms. Drüsenähnliche, tubulär strukturierte Bereiche (Abb. 4a) wechseln mit zellreichen Arealen (Abb. 4b). Daneben finden sich zellarme, stromareiche Bezirke mit vereinzelten drüsenähnlichen Schleim bildenden Zellnestern (Abb. 4c). Die histologischen Bilder entstammen sämtlich dem gleichen Präparat.
Diskussion
Das pleomorphe Adenom ist mit rund 50 Prozent aller Neubildungen der mit Abstand häufigste Speicheldrüsentumor. Es handelt sich überwiegend um eine Erkrankung des fortgeschrittenen Lebensalters, die bevorzugt die Gl. Parotis betrifft [Machtens, 2000].
Tumoren der kleinen Speicheldrüsen sind demgegenüber sehr viel seltener und finden sich vor allem am Gaumen, den Lippen und im Bereich der Wangenschleimhaut. Innerhalb dieser Gruppe sind retromolare Speicheldrüsentumoren Raritäten, weniger als ein Prozent der Speicheldrüsen-Neoplasien betreffen diese Lokalisation [Neville et al., 2002].
Die klinische Bedeutung der Neubildungen kleiner Speicheldrüsen liegt in dem ausgesprochen hohen Anteil maligner Tumoren, der bis über 75 Prozent reichen kann [Jansisyanout et al., 2002; Lopes et al., 1999]. Speziell für die Speicheldrüsentumoren der Retromolarregion wird in der Literatur über einen Anteil von bis 90 Prozent maligner Tumoren berichtet [Neville et al., 2002]. Vor diesem Hintergrund ist die chirurgische Entfernung solcher Tumoren auch im fortgeschrittenen Alter und bei klinischer Symptomfreiheit dringend geboten.
Die Problematik einer Diagnose auf der Basis einer nicht repräsentativen Biopsie wird durch die Vordiagnose eines kanalikulären Adenoms deutlich. Offensichtlich war hier zuvor ein Tumoranteil befundet worden, der scheinbar homogen (monomorph) aus tubulären Strukturen aufgebaut schien. Das typische Erscheinungsbild eines solchen kanalikulären (monomorphen) Adenoms entspricht der in Abbildung 4 a dargestellten Morphologie. Erst die Betrachtung des gesamten Tumors führte zur abschließenden Diagnose eines pleomorphen Adenoms.
Für die zahnärztliche Praxis soll dieser Fall auf die Problematik der Diagnostik von Tumoren der kleinen Speicheldrüsen hinweisen. Gefahr besteht vor allem durch die Verwechslung kleiner, klinisch als Speicheldrüsen- Retentionszyste oder als Schleimspeichelgranulom imponierender Läsionen, die vor allem in der Lippe aber auch der Wange häufig vermutet werden.
PD Dr. Dr. Martin KunkelProf. Dr. Dr. Torsten E. ReichertKlinik für Mund-, Kiefer- und GesichtschirurgieJohannes-Gutenberg-UniversitätAugustusplatz 2, 55131 Mainz




