Extraossäres Ameloblastom
Ein 86-jähriger Patient wurde mit Mundschleimhautveränderung distal des letzten Zahnes 33, dem Alveolarkamm aufliegend (Abbildung 1), nach Überweisung durch seinen Hauszahnarzt vorstellig.
Allgemeinanamnestisch gab der Patient neben multiplen kardiovaskulären Erkrankungen die Resektion eines malignen Melanoms am Rücken zwei Jahre zuvor an.
In der klinischen Untersuchung zeigte sich eine – bei ansonsten unauffälliger Mundschleimhaut – etwa ein mal ein Zentimeter große, leicht rötlich-gräuliche, nicht druckschmerzhafte, derbe Weichgewebsvermehrung ohne Ulzeration mit einzelnen faltigen Einziehungen an der Oberfläche.
Der in unmittelbarer Nachbarschaft stehende Zahn 33 war avital und zweitgradig gelockert. Sensibilitätsstörungen im Ausbreitungsgebiet des Nervus alveolaris inferior bestanden nicht.
Korrespondierend zum klinischen Befund lag in der Panoramaschichtaufnahme eine glatte, partiell sklerotisch abgegrenzte, wannenförmige Osteolyse crestal in regio 34 vor (Abbildung 2).
In einer bereits zur Erstvorstellung vorliegenden Histologie war die Diagnose eines Ameloblastoms gestellt worden.
In einem operativen Eingriff wurden der nicht erhaltungswürdige Zahn 33 extrahiert und das Ameloblastom unter Glättung der Knochenkanten exzidiert.
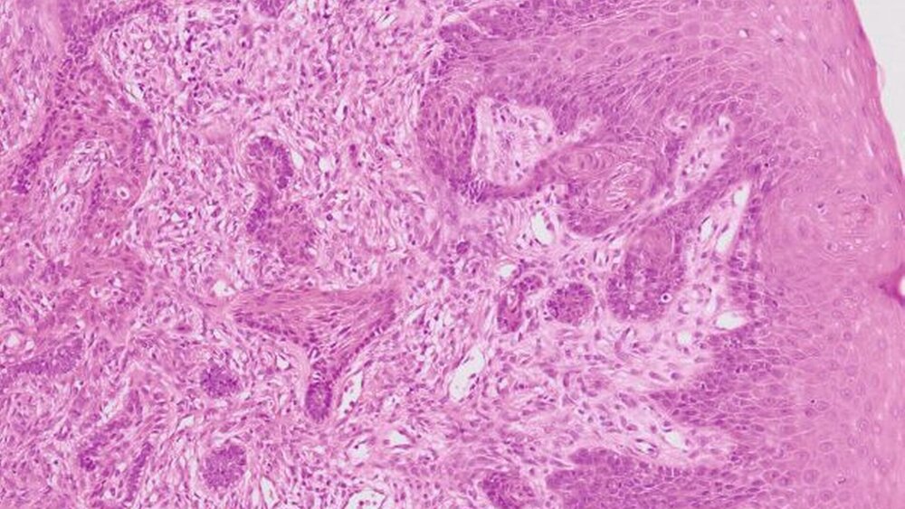
In der histopathologischen Aufbereitung zeigte sich ein teils trabekulär, teils solide wachsender Tumor mit Ausbildung polygonaler, unregelmäßig verzweigter konfluierender Zellnester, die mit breiter Invasionsfront an den basal gelegenen Knochen heranreichten und diesen oberflächlich erodierten, aber nicht infiltrierten (Abbildungen 3 und 4). Gegenüber der Schleimhaut entstand der Eindruck als fusionierten die neoplastischen Proliferate mit dem Oberflächenepithel der Gingiva beziehungsweise schienen von diesem auszugehen.
Diskussion
Das Ameloblastom ist ein langsam wachsender, lokal invasiver, odontogener Tumor, den die WHO unter anderem aufgrund des unterschiedlichen klinischen und prognostischen Verhaltens in das solide oder multizystische, das desmoplastische, das unizystische und das, wie in diesem Fall vorliegende, periphere Ameloblastom unterteilt [Barnes et al., 2005: Reichart et al., 2004].
Für das periphere Ameloblastom werden in der Literatur zahlreiche Synonyme gebraucht wie zum Beispiel das extraossäre, das Weichgewebsameloblastom oder auch das gingivale Ameloblastom. In der Gruppe der Ameloblastome, die insgesamt zu den häufigsten odontogenen Tumoren gehören, stellt das periphere Ameloblastom mit nur etwa zwei Prozent den kleinsten Anteil unter den Ameloblastomen und ist, für sich gesehen, eine relativ seltene Tumorentität [Reichart and Philipsen, 2004].
Der Erkrankungsgipfel liegt zwischen der fünften bis siebenten Lebensdekade mit Präferenz für das männliche Geschlecht [Reichart and Philipsen, 2004].
Aufgrund des klinischen Erscheinungsbildes wird das periphere Ameloblastom bis zur definitiven histologischen Untersuchung häufig als Epulis oder als peripheres odontogenes Fibrom fehlinterpretiert. Eine eindeutige Diagnose lässt sich nur durch die histologische Untersuchung stellen. Typisch sind ein follikuläres und ein plexiformes Wachstumsmuster mit konfluierenden Zellnestern odontogenen Gewebes mit meist palisadenförmiger Abgrenzung gegenüber dem Bindegewebe. In der mikroskopischen Ansicht erweckt der Tumor den Anschein, als ginge er vom Epithel aus. Eine Knochenarrosion kann auftreten, bei einer ossären Infiltration kann der Tumor nicht mehr als peripheres Ameloblastom gewertet werden.
Im Gegensatz zum soliden/multizystischen Ameloblastom, das infiltrativ wächst, wird beim peripheren Ameloblastom therapeutisch die lokale Exzision empfohlen, ohne dass größere Anteile des Knochens mit entfernt werden müssten. Maligne periphere Ameloblastome beschränken sich in der Literatur auf nur einzelne Fallberichte [Reichart and Philipsen, 2004]. Bei einer zu den anderen Ameloblastomvarianten vergleichsweise niedrigen Rezidivrate von 16 bis 19 Prozent ist die postoperative Nachsorge dennoch obligat.
Der vorliegende Fall verdeutlicht die Wichtigkeit, unklare Befunde histologisch abzuklären. Erst mit dem Wissen der richtigen Diagnose ist eine adäquate Therapie möglich.
Dr. Maximilian KrügerDr. Dr. Peer KämmererPD Dr. Dr. Christian WalterKlinik und Poliklinik für Mund-, Kiefer- und Gesichtschirurgie – Plastische OperationenUniversitätsmedizin der Johannes Gutenberg-Universität MainzAugustusplatz 255131 Mainzwalter@mkg.klinik.uni-mainz.de
Literatur
Barnes L, Eveson JW, Reichart P, Sidransky D (2005): World Health Organization Classification of Tumours. Pathology and Genetics of Head and Neck Tumours. ed. Lyon: IARC Press.
Reichart P, Philipsen HP (2004): Odontogenic Tumors and Allied Lesions. ed. London: Quintessence.




