Neue Werkstoffe und Verfahren für die CAD/CAM-Restauration
Neben den bewährten Silikat- und Oxidkeramiken für die konservierende und prothetische Restauration positioniert sich neuerdings die Hybridkeramik (Vita Enamic) mit einer dualen Keramik-Polymerstruktur. Der Keramikanteil besteht zu 86 Prozent aus einem gitterähnlichen, dreidimensionalen Keramiknetzwerk aus Feldspatkeramik. In die offene Keramikstruktur werden werkseitig 14 Prozent Polymere unter Druck infundiert und thermisch gehärtet, wobei sie mit der Keramik einen adhäsiven, interpenetrierenden Verbund bilden. Mit einem Elastizitätsmodul von 30 GigaPascal (GPa) besitzt das Material jene Elastizität, die zwischen Schmelz und Dentin angesiedelt ist. Die Biegebruchfestigkeit des Hybridwerkstoffs liegt bei 144 MegaPascal (MPa). Deshalb kann die „elastische Keramik“ hohe Kaukräfte kompensieren, ohne Frakturen auszulösen (Abbildungen 1 und 2).
Auf der 20. Jahrestagung der DGCZ (Deutsche Gesellschaft für Computergestützte Zahnheilkunde) stellte Prof. Werner Mörmann, Zürich, hierzu Ergebnisse aus Abrasions-tests vor. Die Hybridkeramik wies nach 1,2 Millionen Kausimulations-Zyklen einen „physiologischen“ Substanzverlust auf der Restauration (46 µm) sowie eine geringe Attritionswirkung auf dem Zahnschmelz des Antagonisten (27 µm) auf. Bei „Two-Body Wear“-Kausimulationen wurden auf Proben aus exzidiertem Molaren-Zahnschmelz 42 µm und auf dem Zahnschmelz des Antagonisten-Höckers 54 µm als Abtrag festgestellt. Bei Hybridkeramik- und Nanokomposit-Proben betrug die Attrition 48 µm und auf dem Antagonistenschmelz 25 bis 30 µm (Vita Enamic, Lava Ultimate). Aufgrund der höheren Härte zeigen Silikatkeramiken im Kaukontakt geringere Abrasionswerte (Feldspat 24 µm, Lithiumdisilikat 33 µm). Dafür ist der Abtrag auf dem Antagonisten-Höcker höher (Feldspat 38 µm, Lithiumdisilikat 62 µm). Kausimulationen in Zürich zeigten auch, dass Proben aus semitransparentem, hochglanzpoliertem Zirkoniumdioxid (ZrO2) keine Abrasion auf der Restaurationsober-fläche sowie einen nur geringen Abtrag am Antagonisten erfuhren (25 µm).
Das subtraktiv schleifbare, keramikdotierte Nanokomposit (Paradigm, 3M Espe) wurde von Prof. Dennis J. Fasbinder, Universität of Michigan, Ann Arbor/USA, untersucht. Dieses Produkt enthält neben Silikatfüller (Korngröße 20 NanoMeter, nm) auch Zirkonoxid-Feinstpartikel (4 bis 11 nm) in einer Polymermatrix. Nanokomposit (vom Hersteller auch „Nano-Keramik“ genannt) ist nicht HF-ätzbar, Retentionsflächen müssen sandgestrahlt und adhäsiv befestigt werden. In-vitro-Ergebnisse bei Belastung bis zum Bruch belegen, dass der Bruch bei Nanokeramik im Vergleich zu Silikatkeramik zeitverzögert eintritt.
Eine zehnjährige In-vivo-Studie, die auch Feldspat-Inlays enthielt (Vita Mark II), zeigte keine Unterschiede in der klinischen Performance. Postoperative Sensibilisierungen wurden nicht beobachtet. Als Indikationen für Nanokeramik (Abbildungen 3 bis 5) empfehlen sich laut Fasbinder Inlays, Onlays, Endo- Inlays und Endo-Kronen mit zirkulärer Hohlkehl-Fassung der Restzahnsubstanz (circumferential ferrule design). Adhäsiv befestigte Lava-Ultimate-Nanokeramik-Inlays und -Kronen wurden mit Silikatkeramik-Restaurationen (Empress CAD) verglichen. Beide Systeme waren nach einem Jahr Beobachtung klinisch unauffällig. Bei In-vitro-Ver- suchen zeigte sich, dass Lava Ultimate unter hoher Belastung mehr Stress ohne Fraktur absorbieren kann als Silikat- und Lithiumdisilikatkeramik. Dies qualifiziert die Nanokeramik laut Fasbinder auch für implantatgetragene Kronen.
Licht ins Dunkel der Verblendfrakturen
Für Kronen und Brücken, besonders im kaulasttragenden Seitenzahngebiet, hat sich ZrO2als Gerüstkeramik bewährt. Mehrgliedrige Brücken wiesen nach zehnjähriger Beobachtung kaum Gerüstfrakturen auf. Dadurch hat sich ZrO2zu einem akzeptierten Werkstoff für festsitzenden Zahnersatz entwickelt. Entscheidend für die Werkstoffqualität ist, dass die in der ZrO2-Keramik verwendeten Stoffe einen hohen Reinheitsgrad bei homogener Kornverteilung (Ab-bildungen 6 und 7) aufweisen, die Blocks mehrdimensional verpresst sind und auf den vorgesehenen CAD/CAM-Systemen verarbeitet werden [Rosentritt et al., 2012], da Parameter wie Vorschub, Drehgeschwindigkeit und Sinterschrumpfung von jeder Maschine anders umgesetzt werden. Deshalb ist für Beschaffung und Verarbeitung das Prinzip „im System bleiben“ eine sichere Voraussetzung für eine kontinuierliche Fertigungsqualität.
In klinischen Studien fällt auf, dass die manuell geschichteten Verblendungen auf den ZrO2-Gerüsten teilweise zu Abplatzungen neigen, zumindest eingetreten in der Frühphase des klinischen Einsatzes von ZrO2. Der Bruch kann als kohäsives Versagen innerhalb der Verblendkeramik (Chipping), als adhäsives Versagen durch Lösen der Verblendkeramik vom Gerüst oder als Mischform beider Versagensmöglichkeiten auftreten [Göstemeyer et al., 2010; Larsson et al., 2010]. Klinisch resultieren Verblendfrakturen daher mit und ohne Exposi- tion des Gerüstmaterials [Al-Amleh et al., 2010]. Grund für die multikausalen Verblendfrakturen waren in der Frühphase des ZrO2-Einsatzes ein nicht angepasstes Gerüstdesign sowie diewenig abgestimmte Wärmeausdehnung (WAK) zwischen Gerüst- und Verblendwerkstoff. Ferner hatten sehr dünne Wandstärken dazu geführt, dass die Verblendschichten zwei Millimeter und mehr mit wechselnden, Zugspannung auslösenden Schichtstärken aufgetragen wurden. Zwischenzeitlich wurde erkannt, dass eine Präparation des Kronenstumpfs mit runden Übergängen, mit einem reduzierten Höcker-Fossa-Winkel am Kronenstumpf und mit abgestützten Kronenrändern (Abbildung 8), eine höckerunterstützende Gerüstgestaltung (Abbildung 9), der Verzicht auf mesiale und distale Okklusions- kontakte und vertikal extendierte Verbinder bei Brücken das Chipping-Risiko wesentlich reduzieren. Wichtig erscheint in diesem Zusammenhang auch, dass das okklusale Funktionskonzept den Bedingungen der Keramik angepasst und eine suffiziente Front-Eckzahn-Führung etabliert wird, um Schleifkontakte bei exzentrischen Unterkieferbewegungen zu vermeiden. Risiko- minimierend im Laborbereich wirkt auch, dass Gerüstkorrekturen nur auf kleine Flächen beschränkt bleiben, für die Gerüstbearbeitung nur hochtourig arbeitende Feinstkorndiamanten (wie Acurata, MDS) in der Laborturbine unter Wasserkühlung zum Einsatz kommen, Verblendschichtstärken auf maximal 1,5 mm beschränkt bleiben sowie eine Verlängerung der Abkühlungsphase nach jedem Sinterbrand zur Vermeidung von Strukturspannungen eingehalten wird. Die Brenntemperatur sollte der Anzahl der ZrO2-Restaurationen im Sinterofen angepasst werden.
Verblendschäden auf VMK und ZrO
Bei der Analyse der klinischen Daten von Restaurationen auf verblendeten Gerüsten aus ZrO2fällt auf, dass die angegebenen Häufigkeiten von Keramikschäden beziehungsweise Chippings stark schwanken. Prof. Dr. Michael Behr, Poliklinik für Zahnärztliche Prothetik der Universität Regensburg, prüfte zum Thema „Chipping bei Metallkeramik und ZrO2“ die vorhandene Literatur zum Frakturverhalten von keramischen Verblendungen auf Edelmetalllegierungen und Oxidkeramik und berichtete darüber auf dem 12. Keramiksymposium der AG Keramik. Laut Behr lässt sich der landläufige „Generalverdacht“, dass Verblendungen auf ZrO2eher zu Chippings neigen, nicht so einfach nachweisen und führte auch eigene Erfahrungen, die auf 654 drei- und viergliedrigen Brücken und 997 Einzelzahnkronen (aus EM) basieren, ins Feld.
Das Ausmaß der Verblendungsschäden lässt sich in drei Kategorien einordnen:
a) die abgeplatzte Fläche ist oberflächlich und lässt sich auspolieren;
b) der Substanzverlust lässt sich mit Komposit reparieren;
c) aufgrund des Schadens ist eine Erneuerung der Restauration erforderlich [Heintze et al., 2010].
Diese Einteilung in Schadensklassen ist in vielen Studien, die Chippings auf VMK oder ZrO2kontrollierten, nicht vorgenommen worden [Anusavice et al., 2012]. Die Lite- raturdaten zum Frakturverhalten sind laut Behr teilweise widersprüchlich; sie basieren meist auf geringen Fallzahlen, die Beobachtungszeiten sind oft zu kurz, Chipping und Gerüstfrakturen wurden nicht getrennt ausgewiesen oder die Mittelwerte basieren auf weit streuenden Abweichungsdaten [Komine et al., 2010]. Auffallend ist, dass es zur Überlebensrate von metallkeramischen Verblendungen nur wenig klinische Daten gibt. Ferner unterscheiden viele VMK- Studien nicht zwischen EM- und NEM- Gerüsten [Tan et al., 2004]. Zum Beispiel errechneten Autoren aus dem wenig homogenen Datenpool für VMK auf Basis von 127 Fällen innerhalb von vier Jahren eine Schadenshäufigkeit von 33 Prozent, bei ZrO2-Verblendungen schwankte der Wert – basierend auf 596 Fällen – zwischen 23 bis 51 Prozent [Komine et al., 2010].
Für VMK-Brücken im Beobachtungszeitraum von zehn Jahren stellten folgende Autoren an Chippinghäufigkeiten fest:
• Reichen-Graden (1989): 4,5 Prozent• Näpänkangas (2002): 5,9 Prozent• Walton (2003): 5,0 Prozent• Behr (2012): 4,3 Prozent• Sailer (2007, Review 5 Jahre): 2,9 Prozent
Auf Titangerüsten (drei bis sechs Jahre Beobachtung) war die Chippinghäufigkeit weitaus höher:
• Walter (1999): 45,5 Prozent• Böckler (2010): 30,4 Prozent
auf CoCr-Gerüsten innerhalb von drei bis sieben Jahren:
• Elisson (2007): 17,6 Prozent
Bei VMK-Kronen lag die Verblendfrakturrate innerhalb zehn Jahren niedriger:
• Goodacre (2003): 3,0 Prozent• Reitemeier (2006): 1,0 Prozent• Behr (2012): 1,7 Prozent
In einer neueren Untersuchung überprüfte Behr 484 Brücken mit drei Gliedern und 170 Vier-Glieder-Brücken aus EM-Gerüsten, konventionell zementiert (96 Prozent) und adhäsiv befestigt (vier Prozent) – ebenso 997 VMK-Kronen: Nach fünf Jahren lag die Schadensquote für Brücken bei vier Prozent, nach zehn Jahren bei rund sechs Prozent. Behr resümierte, dass spezielle Risikofaktoren für Chippings auf VMK nicht ermittelt werden konnten.
Interessanterweise ereigneten sich Verblendfrakturen am häufigsten in den ersten beiden Jahren in situ. Dies weist laut Behr auf Fehler bei der Herstellung und bei der Eingliederung der Versorgungen hin [Behr et al., 2012]; ein Problem, das VMK- und ZrO2-Restaurationen gemeinsam haben.
Neuere Studien zeigen, dass unter Berücksichtigung modifizierter Verarbeitungs- bedingungen die Verblendfrakturrate ZrO2-getragener Kronen und Brücken niedriger ausfällt. Allerdings scheinen laut Behr der Verarbeitungsspielraum für ZrO2geringer zu sein und dadurch die Fertigung von ZrO2und das Aufbringen der aufbrenn- keramischen Verblendung sensibler und fehleranfälliger zu sein. Die systematische Fehleranalyse in der Literatur wird aber dadurch erschwert, dass klinische Unter- suchungen selten so wichtige Parameter der ZrO2-Anwendung ausweisen wie zum Beispiel Präparationsdesign, Präparationstiefen, Wandstärken, Konnektoren-Gestaltung, Verblenddesign, Schichtstärken, Sintertemperaturführung, Procedere des intra-oralen Einschleifens, Kontaktpunktgestaltung, Befestigungstechnik und mehr.
Auch auf der Industrieseite der Keramik- hersteller besteht noch keine Einigkeit, ob ein Regenerationsbrand („Heilbrand“) nach der zahntechnischen Gerüstbearbeitung zulässig, vorteilhaft oder abzulehnen sei. Dadurch wird der Zahntechnik ein Handlungsspielraum überlassen – sicherlich mit Auswirkungen auf das spätere Endergebnis.
Grenzfläche zwischen ZrO und Verblendung
Die Frage, ob die Oberflächenbehandlung der ZrO2-Gerüste Einfluss auf das Interface Gerüst–Verblendung nimmt, haben die Gewinner des 12. Forschungspreises der AG Keramik untersucht. Das Forscherteam PD Dr.-Ing. Ulrich Lohbauer, Alexandra Grigore, Stefanie Spallek, Prof. Anselm Petschelt, Dr. Benjamin Butz, Prof. Erdmann Spiecker, Institut für Biomaterialien Center for Nanoanalysis and Electron Microscopy der Universität Erlangen-Nürnberg sowie Zahnklinik für Zahnerhaltung und Parodontologie, Werkstoffwissenschaftliches Labor, Universität Erlangen, haben mit der Studie „Mikrostrukturelle Untersuchungen an der Grenzfläche zwischen Zirkonoxid und Verblendkeramik“ eine Antwort gefunden.
Untersucht wurde, ob der Energieeintrag durch Beschleifen, Sandstrahlen sowie Sinterung zu einer Phasenumwandlung in der ZrO2-Keramikstruktur führt. Die Anwesenheit monokliner Phasenanteile wurden bis zu einer Tiefe von 4 µm unterhalb der Oberfläche gefunden. Nach Sandstrahlung waren die Phasenanteile in 11 bis 35 µm Tiefe nachweisbar, nach Diamantschleiferbearbeitung bis 9 µm. Es wurde aber festgestellt, dass der thermische Verblendprozess eine Umkehrung der martensitischen Transformation von der instabilen, monoklinen Phase zur strukturstabilen Tetragonal-Phase bewirkt. Zusammen mit dem Entspannungsbrand wird eine Regeneration des Kristallgefüges erzielt und die zähen Material- eigenschaften werden wiederhergestellt. Bei korrekter Verarbeitung können laut Lohbauer geringere Wandstärken (bis 0,5 mm) und filigrane Verbinderquerschnitte realisiert werden.
Vollzirkon-Restaurationen – eine mögliche Option
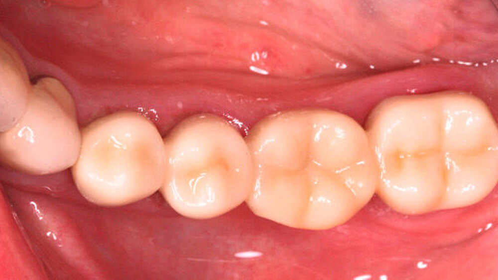
Kronen und Brücken aus semitransparentem „Vollzirkon“ (ZrO2), die vollanatomisch ausgefräst werden und keine Verblendung benötigen, haben trotz einiger Bedenken wegen ihrer potenziellen Abrasivität auf den Antagonisten Eingang in die nieder- gelassene Praxis gefunden. Dass das extrem harte ZrO2auf der Oberfläche des Antagonisten kaum Schaden auslöst, wurde durch mehrere In-vitro-Studien belegt [Clark et al., 2012; Janyavula et al., 2012; Luangruaangrong et al., 2012; Rosentritt et al., 2012; Stawarczyk et al., 2012]. Die Ergebnisse zeigen, dass unverblendetes, monolithisches ZrO2den Schmelz des Antagonisten dann nicht abradiert, wenn die Kronenoberfläche der Restauration von Schleifriefen befreit und professionell poliert wurde [Heintze et al., 2010]. Das Abrasionsverhalten wird also in erster Linie nicht von der Härte, sondern von der Oberflächenvergütung beeinflusst. Der Vorteil, dass für die gerüstfreie ZrO2-Krone kein Raum für die Verblendung geschaffen werden muss, ermöglich laut Dr. Klaus Wiedhahn aus Buchholz auf dem 12. Keramiksymposium eine minimale Präparation für anteriore Wandstärken (0,3 bis 0,5 mm, zum Beispiel Lava Plus/3M Espe). Vollzirkon kennt kein Chipping und ist als Alternative zu Metall für Bruxer und Knirscher seitens der Hersteller freigegeben [Kuretzky et al., 2010; Sorensen et al., 2011]. Der Verzicht auf die Verblendung macht jedoch erforderlich, dass der semi-opake, fluoreszenzlose Werkstoff auf die Farbe der Nachbarzähne getrimmt werden muss. Grundsätzlich wird die Transparenz von ZrO2durch die Porosität des Materials und durch den Anteil an Aluminiumoxid (Al2O3) beeinflusst.
Die Al2O3-Dotierung ist verantwortlich für die Beständigkeit gegen Feuchtigkeit und beeinflusst das klinische Langzeitverhalten, bestimmt aber auch die Opazität des Werkstoffs. Beträgt der Al2O3-Anteil in der ZrO2-Gerüstkeramik 0,5 Prozent (inCoris ZI, Sirona), liegt der Anteil bei 0,005 Prozent in der semi-transparenten Version (inCoris TZI). Die Absenkung des Al2O3-Anteils begünstigt die Lichttransmission. Ob und wie die Al2O3-Reduktion sich längerfristig klinisch auswirkt, dafür liegen noch keine Daten vor. Die Adaptation der definitiven Zahnfarbe erfolgt mit Farblösungen im Tauchverfahren.
Als Vorbereitung der Einfärbung ist laut Wiedhahn ein Vortrocknen der Restauration im Sinterofen – etwa drei Minuten bei 80 ° C und 40 Minuten unter einer Rotlichtlampe – erforderlich. Das Tauchfärben mit kolorierenden Oxiden erfordert etwa zehn bis 20 Minuten, zum Beispiel für die Farben A1, A2, A3. Eine Verlängerung der Tauchzeit verursacht dunklere Farben. Für die Kontrolle der Zahnfarbe, auch an Nachbarzähnen, haben sich digitale Farbmesssysteme bewährt (wie Easyshade, Vita). Wichtig ist, dass beim Einfärben die Farbhelligkeit exakt getroffen wird; sie vermittelt den entscheidenden Farbeindruck. Kleine ästhetische Einschränkungen zählen zum Toleranzbereich, deshalb eignen sich Vollzirkon-Restaurationen zurzeit nur für den weniger einsehbaren Molarenbereich.
Das Färbeliquid dringt bei einigen ZrO2-Keramiken mit nur geringer Tiefe in die Oberfläche ein. Dies ist für das intraorale Einschleifen von Bedeutung, weil durch den Keramikabtrag „Hellstellen“ auftreten können, und unter Umständen das weiß-opake Material sichtbar werden kann. Eine mehrstufige Politur mit feinstkorndiamant-haltigen Polierkörpern und eine Glasur gewährleisten, dass das ZrO2eine glatte, hochglänzende Oberfläche erhält (Abbildungen 10 bis 11). Diese Vergütung ist erforderlich, damit eventuell zurückgebliebene Rauigkeiten keine Abrasion am Antagonisten auslösen können. Vor der Eingliederung hat sich die Reinigung des Kronenlumens von phosphathaltigen Rückständen bewährt (wie mit Ivoclean, Ivoclar). Wiedhahn empfahl, vor der definitiven Befestigung eine Einprobe durchzuführen. Das Produkt „Paradigm“, 3M ESPE, wird nicht in Deutschland vertrieben. Lava Ultimate ist eine vollständige Neuentwicklung dieser Firma. Es besitzt 200 Megapascal Biege- festigkeit und ist der neuen Werkstoffklasse Resin Nano Keramik zuzuordnen. Der verschleißarme Verbundwerkstoff kann auf CAD/CAM-Anlagen (wie Cerec, inLab, Lava Fräseinheiten) verarbeitet werden.
Manfred Kern, Schriftführung AG KeramikFritz-Philippi-Str. 765195 Wiesbadeninfo@ag-keramik.de




