Sarkoidose der Halslymphknoten
Keyvan Sagheb, Elisabeth Goetze, Gonca Dogan, Christian Walter
Eine 64-jährige Patientin wurde zur Abklärung einer unklaren zervikalen Lymphadenopathie vorstellig. Nach Angaben der Patientin bestand die progrediente, rechtsseitig betonte, schmerzlose Schwellung der oberen Halsregion seit knapp zwei Monaten (Abbildung 1) bei fehlender weiterer Symptomatik. Eine ambulante Abklärung sowie eine Therapie mit oralen Antibiotika waren ohne Erfolg bereits eingeleitet worden.
Bei der klinischen Untersuchung präsentierte sich eine nicht druckdolente Lymphknotenschwellung submandibulär. Korrespondierend hierzu waren sowohl in der B-Mode-Sonografie als auch im CT der Kopf-/Halsregion mehrere vergrößerte Lymphknoten nachweisbar (Abbildungen 2 und 3). Die enorale Untersuchung und die radiologische Abklärung mittels Orthopantografie (OPTG) zeigten keinen Hinweis auf eine dentogene oder enorale Ursache der Lymphknotenschwellung (Abbildung 4).
Aufgrund der bis dato negativen laborchemischen Untersuchungsergebnisse und der fehlenden Besserung auf orale Antibiose erfolgte die Exzisionsbiopsie mehrerer Lymphknoten zur weiteren diagnostischen Abklärung.
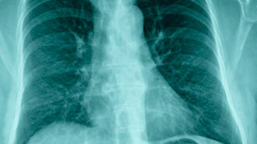
Die histopathologische und weiterführende immunologische Abklärung zur Abgrenzung unter anderem gegenüber einer Tuberkulose erbrachte die Diagnose einer Sarkoidose bei Vorliegen von typischen, nicht verkäsenden, epitheloidzelligen Granulomen. Zur weiteren Abklärung des Erkrankungsstadiums erfolgte eine radiologische Untersuchung der Lunge mittels Röntgen-Thorax und CT, die ohne Nachweis pathologischer Veränderung waren (Abbildung 6).
Die Patientin ist bezüglich der Therapie internistisch angebunden bei bis jetzt fehlendem Hinweis auf einen Krankheitsprogress.
Diskussion
Eine Lymphknotenschwellung im Kopf-/Halsbereich ist ein häufiges Symptom, das diversen differenzialdiagnostischen Erkrankungen zugrunde liegen kann. Die diagnostische Herausforderung besteht darin, neben den häufigen infektiösen und neoplastischen Ursachen auch zwischen den seltenen autoimmunologischen sowie stoffwechselbedingten Erkrankungen zu differenzieren.
Bei der Sarkoidose handelt es sich um eine granulomatöse Systemerkrankung unbekannter Ätiologie. Synonyme sind die Bezeichnungen Morbus Boeck und Morbus Besnier-Boeck-Schaumann.
Die Inzidenz wird mit 1 bis 69/100 000 angegeben, wobei eine leichte Präferenz für das weibliche Geschlecht sowie ein Nord-Süd-Gefälle beschrieben werden. Die Sarkoidose kann in jedem Lebensalter auftreten, hat aber zwischen dem 20. und dem 40. Lebensjahr einen Erkrankungsgipfel [Wessendorf T.E. et al., 2013].
Ätiologisch wird eine genetische Prädisposition diskutiert auf Basis derer sich nach exogener Stimulation durch zum Beispiel anorganische Stäube oder bakterielle Peptide bei dysregulatorischen inflammatorischen Reaktionen nicht verkäsende Granulome bilden, die aus herdförmigen Epitheloidzellansammlungen mit ungeordneten Langhansriesenzellen und peripher gelegenen T-Lymphozyten bestehen.
Prinzipiell können alle Organe befallen sein, die Lunge ist aber in 80 bis 90 Prozent aller Erkrankungsfälle mit am häufigsten betroffen.
Weitere typische Manifestationsorte sind die mediastinalen Lymphknoten, die Haut und die Augen.
Eine seltene, jedoch für die Kopf-Halsregion wichtige Sonderform der Sarkoidose ist das Heerfordt-Syndrom, das durch die Trias Uveitis, Parotitis und Fazialisparese gekennzeichnet ist [Walter C. et al., 2005]. Weitere seltene Manifestationen in der Kopf-/Halsregion sind neben den enoralen Schleimhäuten, der Nasen-Rachenraum sowie die, wie in diesem Fall beschrieben, Halslymphknoten [Walter C. et al., 2005; Braun T. et al., 2010].
Etwa 30 Prozent der Patienten leiden zum Zeitpunkt der Diagnosestellung unter unspezifischen Allgemeinsymptomen, wie Gewichtsverlust, Leistungsknick oder Nachtschweiß. Weitere Symptome sind abhängig vom jeweiligen Organbefall, wie zum Beispiel Belastungsdyspnoe oder Husten bei Lungenaffektion.
Die Diagnose der Sarkoidose stützt sich auf die Zusammenschau von klinischen, laborchemischen, radiologischen und histologischen Befunden [Walter C. et al., 2005; Wessendorf T.E. et al., 2013].
Da es sich bei der Sarkoidose um eine Systemerkrankung handelt, steht die interdisziplinäre Betreuung und Nachsorge der Patienten im Vordergrund. Bei symptomatischen Fällen ist die systemische Kortisongabe Therapie der Wahl. Diese kann in Abhängigkeit vom Schweregrad der Sarkoidose mit weiteren immunsupprimierenden Medikamenten kombiniert werden.
Verlauf und Prognose sind sehr heterogen und korrelieren stark mit dem Erkrankungsstadium des Patienten. Bei häufigen Spontanremissionen ist die Prognose meist als gut einzuschätzen, in ein bis fünf Prozent der Fälle kann die Sarkoidose letal enden, meist durch pulmonales Versagen [Kirsten D. et al., 2013; Wessendorf T.E. et al., 2013].
Dr. Dr. Keyvan SaghebDr. Elisabeth GoetzePD Dr. Dr. Christian WalterKlinik und Poliklinik für Mund-, Kiefer- und Gesichtschirurgie – plastische OperationenUniversitätsmedizin der Johannes Gutenberg-Universität MainzAugustusplatz 255131 Mainzwalter@mkg.klinik.uni-mainz.de
Dr. Gonca DoganInstitut für Pathologie der Unimedizin MainzLangenbeckstr. 155131 Mainz
Info
Tipp für die Praxis
• Unklare Lymphknotenschwellungen im Kopf-/Halsbereich, die nach zwei Wochen keine Rückbildungstendenz zeigen, bedürfen stets einer Abklärung.
• Eine Lymphknotenbiopsie ist bei nicht aussagekräftiger klinischer und laborchemischer Diagnostik indiziert.
• Die Manifestation der Sarkoidose in der Kopf-/Halsregion ist selten, kann aber Speicheldrüsen, Mundschleimhäute und auch Halslymphknoten betreffen.




