Vollständige ossäre Regeneration
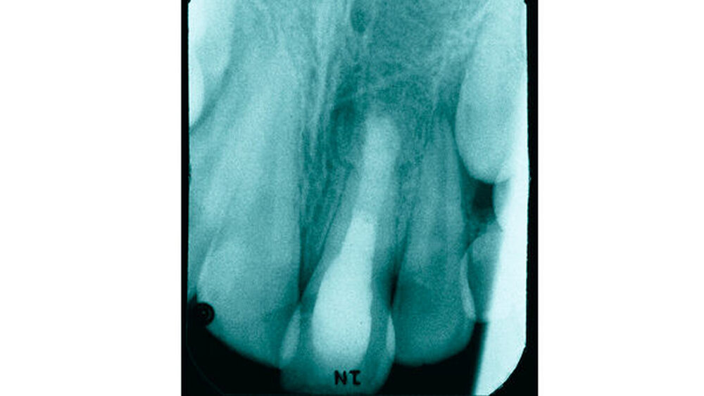
Anamnese: Im vorliegenden Fall war es bei dem zum Unfallzeitpunkt neunjährigen männlichen Patienten bei einem Fahrradsturz zu einem Frontzahntrauma gekommen. Der Junge erlitt bei dem Unfall eine Subluxation am Zahn 21. Weitere Verletzungen waren nicht vorhanden. Da sich der Unfall während eines Urlaubsaufenthalts ereignet hatte, erfolgte die Erstversorgung durch einen Zahnarzt vor Ort. Der gesunde Patient wies zu diesem Zeitpunkt ein altersentsprechendes Wechselgebiss auf. Im Zusammenhang mit der Erstversorgung wurde ein Zahnfilm (Abbildung 1) angefertigt.
Fokussiert auf den betroffenen Zahn 21 zeigte dieser ein nicht abgeschlossenes Wurzelwachstum und ließ eine unfallbedingte Schmelzabsplitterung an der Inzisalkante erkennen. Eine Wurzelfraktur am betroffenen Zahn sowie eine Alveolarknochenfraktur ließen sich auf der angefertigten Aufnahme nicht vermuten.
Da es zu keinen weiteren Beschwerden und zu einem komplikationsfreien Verlauf kam, stellte sich der Patient zu keiner weiteren Kontrolluntersuchung beim Zahnarzt am Heimatort vor. Zwei Jahre später bemerkte der Patient eine dezente Schwellung im Bereich der linken Oberlippe. Unter Schmerzen oder Aufbissempfindlichkeit litt der Patient dabei nicht. In diesem Zustand stellte sich der Patient in der Poliklinik für Zahnerhaltung des Universitätsklinikums Münster erstmals vor. Nach eingehender Anamnese und Befunderhebung wurde eine aktuelle Zahnfilmaufnahme angefertigt (Abbildung 2).
Der Befund
Auf der Zahnfilmaufnahme zeigte der Zahn 21 ein weiterhin nicht abgeschlossenes Wurzelwachstum und eine ausgedehnte apikale Osteolyse. Im Vergleich zur altersentsprechend entwickelten Wurzel des Zahnes 11 erschien die Wurzellänge des traumatisierten Zahnes verkürzt. Auch stellte sich das Lumen des Wurzelkanals im Seitenvergleich vergrößert dar. Nach eingehender Beratung und Aufklärung über die Befunde wurden dem Patienten die Therapiemöglichkeiten und Alternativen ausführlich erläutert. Aufgrund des Alters des Patienten wurde ein möglichst schonendes und atraumatisches Vorgehen angestrebt.
Der Patient stimmte dem Erhaltungsversuch des Zahnes durch die Einleitung einer orthograd durchgeführten Wurzelkanalbehandlung und somit der primär rein konservierenden Therapie zu. Durch wiederholte medikamentöse Einlagen mit einem alkalischen Kalziumhydroxidpräparat sollte eine Apexifikation der Wurzel und eine Ausheilung der apikalen Osteolyse an Zahn 21 erreicht werden. Neben der Möglichkeit eines Misserfolgs der geplanten Therapie wurde der Patient ausdrücklich über die zu erwartende Behandlungsdauer aufgeklärt.
###more### ###title### Die Therapie ###title### ###more###
Die Therapie
Die Trepanation und Darstellung des Wurzelkanallumens gelang problemlos. Neben einer schonenden Instrumentierung der Wurzelkanalwände mit Handinstrumenten wurde die chemische Desinfektion mit einer einprozentigen Natriumhypochlorit-Lösung und – nach Zwischenspülung mit isotoner Kochsalzlösung – mit Chlorhexidinlösung (zwei Prozent) unter Ultraschallaktivierung durchgeführt. Anschließend wurde der Zahn mit einer Kalziumhydroxid-Einlage (Calciumhydroxid pro analysi, Merck, Darmstadt) und die Trepanationsöffnung mit einem bakteriendichten Verschluss (dentinadhäsiv verankerte Kompositfüllung) versorgt.
Auch zehn Monate nach Behandlungsübernahme, in denen in einem Abstand von vier bis sechs Wochen Kalziumhydroxid-Einlagen in den gereinigten Wurzelkanal eingebracht wurden, war der Patient zwar beschwerdefrei, der Wurzelkanal jedoch nicht zu trocknen. Aus diesem Grund wurde eine weitere Zahnfilmaufnahme zur weitergehenden Diagnostik angefertigt (Abbildung 3). Der Zahnfilm ließ im Vergleich zur Voraufnahme bei Behandlungsübernahme eine Reduktion der apikalen Osteolyse und eine Abnahme der Radiotranslumniszenz erkennen. Dies wurde als fortschreitender Heilungsprozess bei ossärer Regeneration bewertet. Über weitere zwölf Monate erfolgte somit in einem vier- bis sechswöchigen Turnus eine schonende Reinigung und Desinfektion nach dem geschilderten Vorgehen und eine wiederholte Kalziumhydroxid-Einlage mit abschließendem bakteriendichtem Verschluss.
Der Eintritt von Flüssigkeit über das apikale Foramen verringerte sich im weiteren Behandlungsverlauf zwar, der Wurzelkanal konnte jedoch auch 22 Monate nach Behandlungsübernahme nicht vollständig getrocknet werden. Eine Apexifikation mit einem vollständigen hartgewebigen Verschluss konnte im vorliegenden Fall nicht erzielt werden.
###more### ###title### Ausheilung der apikalen Osteolyse ###title### ###more###
Ausheilung der apikalen Osteolyse
Das nach 22 Monaten angefertigte Röntgenbild (Abbildung 4) zeigt eine nahezu vollständige Regeneration der bei Behandlungsübernahme bestehenden apikalen Osteolyse. Trabekelstrukturen im vorherigen Lumen lassen eine Ausheilung des Knochendefekts vermuten. Ein Längen- beziehungsweise Dickenwachstum der Wurzel lässt sich nicht erkennen. Ob durch weitere Einlagen von Kalziumhydroxid ein vollständiger apikaler Verschluss erreicht werden kann, erschien nach der bislang schon langen Behandlungszeit fraglich. Aus diesem Grund bot sich der apikale Verschluss mit dem bioaktiven, alkalischen Zement Biodentine an – einem Kalziumsilikatzement von Septodont. Unter dem Operationsmikroskop konnte das Biodentine unter Sicht eingebracht und blasenfrei adaptiert werden.
Das apikale Drittel des Wurzelkanals wurde mit dem Zement verschlossen. Nach der Aushärtung von circa 15 Minuten wurde das verbleibende Wurzelkanallumen mit einem dentinadhäsiv verankerten Komposit gefüllt und die klinische Krone rekonstruiert. Das bis übers Knochenniveau nach apikal reichende Komposit soll hier adhäsiv die durch die geringe Hartsubstanz geschwächte Wurzel zur Frakturvermeidung stabilisieren. Das abschließend angefertigte Röntgenbild (Abbildung 5) zeigte eine randdichte und blasenfreie Obturation des Wurzelkanallumens. Die Aufnahme ist 25 Monate nach Behandlungsübernahme angefertigt worden. Im Vergleich zur Voraufnahme ließ sich eine weitere Ausheilungstendenz und Zunahme der Radioopazität im Bereich der vorherigen apikalen Osteolyse erkennen. Der Patient war über den gesamten Behandlungsablauf beschwerdefrei. Durch eine
Kombination der klassischen Apexifikationsbehandlung mit Kalziumhydroxid-Einlagen – die im vorliegenden Fall nicht zur vollständigen Ausbildung einer Hartgewebsbarriere geführt haben – und dem apikalen Verschluss mit dem alkalischen Zement konnte eine ausgedehnte apikale Osteolyse röntgenologisch nachweislich ossär regenerieren. Die abschließende Rekonstruktion der fehlenden Hartsubstanzen mit adhäsiver Komposittechnik ermöglichte den Zahnerhalt durch konservierende Maßnahmen.
In einer klinischen Nachuntersuchung circa zwölf Monate nach dem Abschluss der Wurzelkanalbehandlung zeigte sich der Zahn klinisch völlig unauffällig, die Perkussions- und Palpationsprobe verlief negativ. Auf eine wünschenswerte röntgenologische Nachuntersuchung wurde – auf Bitten der Eltern – aufgrund des Alters des Patienten aus Strahlenschutzgründen verzichtet.
###more### ###title### Schwierige Ausgangssituation ###title### ###more###
Schwierige Ausgangssituation
Der vorgestellte Behandlungsfall vereinte die schwierige Ausgangssituation einer ausgedehnten apikalen Osteolyse bei einem jugendlichen Zahn mit nicht abgeschlossenem Wurzelwachstum. Klassische Wurzelkanalaufbereitungstechniken mit Präparation eines apikalen Stopps und die Obturation mit Guttapercha waren wegen des weit offenen apikalen Foramens nicht möglich. Die dünnen, fragilen und frakturgefährdeten Dentinwände erschwerten die Ausgangssituation zusätzlich.
Therapie der Wahl für die durchzuführende Apexifikationsbehandlung war in der Vergangenheit die wiederholte Einlage von Kalziumhydroxidpräparaten, um eine apikale Hartgewebsbarriere zu induzieren, die abschließend eine Wurzelkanalfüllung ohne Überpressen von Füllungsmaterial ermöglichte [Frank A L, 1966]. Seit 1999 wurde von Torabinejad et al. die Verwendung eines alkalischen Portlandzements (Mineral Trioxide Aggregate) als artifizielle apikale Barriere für solche Behandlungsfälle empfohlen [Torabinejad M et al., 1999]. Ein wesentlicher Vorteil dieser Behandlungsmethode ist ein zügigerer Behandlungsverlauf mit – in der Regel – wenigen Behandlungssitzungen.
Die Frage der heute vorzuziehenden Behandlungsmethode für solche Behandlungsfälle ist nicht eindeutig zu beantworten. Bewertet man die vorliegenden Studien und Metaanalysen, kann für die Verwendung von Kalziumhydroxid eine Heilungsrate von 95 Prozent bei einer großen klinischen Datenlage und einigen Langzeitergebnissen klinischer Studien festgestellt werden. Bei der Verwendung von Mineral Trioxide Aggregat (modifizierter Portlandzement) bemängeln dieselben Autoren eine geringe Datenlage insbesondere bei Langzeitstudien.
Noch keine eindeutigen Empfehlungen
Die ausgewerteten Studien werden mit einer durchschnittlichen Heilungsrate von 89 Prozent beschrieben. Aus diesem Grund kann man nach Einschätzung von Bakland und Andreasen zum derzeitigen Zeitpunkt noch nicht zur eindeutigen Empfehlung kommen, statt Kalziumhydroxid nun alkalische bioaktive Zemente zu verwenden, da die klinische Datenlage noch zu gering ist. Bis zu einer eindeutigen Empfehlung sind klinische Langzeitstudien durchzuführen [Bakland L K et al., 2012].
Weitere Metaanalysen mit dem Blick auf den klinischen Erfolg und die Ausbildung einer apikalen Barriere im Vergleich der Anwendung von Kalziumhydroxid versus Mineral Trioxide Aggregat kommen zu keinen statistisch signifikanten Unterschieden bei beiden Behandlungsweisen [Chala S et al., 2011; Tate A R, 2012]. Bei der Verwendung von Kalziumhydroxid ist eine Versprödung des Dentins und damit eine erhöhte Frakturgefahr der bei diesen Fällen schon vorgeschädigten und geschwächten Wurzeln bekannt [Cvek M, 1992; Al-Jundi S H, 2004]. Bei dem alkalischen, modifizierten Portlandzement wird dies kontrovers beschrieben. Einige Autoren beobachten ebenfalls eine Schwächung des apikalen Dentins [White J D et al., 2002; Twati W A et al., 2009] andere können dies als Ergebnis ihrer Untersuchungen nicht bestätigen [Hatibovi-Kofman S et al., 2008].
Zum verwendeten Zement liegen bislang ebenfalls wenige klinische Daten vor. Da es sich hier jedoch auch um einen alkalischen, bioaktiven Zement handelt, der in der Lage ist, Kalziumhydroxid freizusetzen, ist nach derzeitiger Einschätzung von einer vergleichbaren Wirkungsweise und Biokompatibilität auszugehen [Laurent P et al., 2008].
###more### ###title### Behandlungsdauer hätte verkürzt werden können ###title### ###more###
Behandlungsdauer hätte verkürzt werden können
Im vorliegenden Fall wurde die Behandlungsmethode der klassischen Apexifikationsbehandlung mit Kalziumhydroxid nach einer Behandlungsdauer von 22 Monaten mit der Anwendung eines alkalischen bioaktiven Zements kombiniert. Retrospektiv betrachtet, hätte die Behandlungsdauer durch einen frühzeitigeren Einsatz des Werkstoffs, vermutlich ohne Einschränkung des erzielten Behandlungserfolgs, verkürzt werden können. Durch den Einsatz von Biodentine in der apikalen Region erhofft sich der Behandler einen stabilisierenden Effekt der geschädigten Wurzelwände. In eigenen, bislang nicht veröffentlichen Untersuchungen konnte hiermit eine Haftkraft am Dentin in der Größenordnung des untersuchten Glasinonomerzements erzielt werden. Die Haftwerte von MTA waren signifikant geringer.
Auf eine Wurzelkanalfüllung mit Guttapercha wurde ebenfalls aus diesen Gründen verzichtet. Durch eine dentinadhäsiv-verankerte Rekonstruktion des koronalen Wurzelanteils und der klinischen Krone erhofft sich der Behandler eine funktionsstabile Wiederherstellung des Zahnes. Eine langfristige, auch radiologische Nachuntersuchung ist im vorliegenden Fall wünschenswert.
OA Dr. Markus Kaup
Universitätsklinikum Münster
Zentrum für Zahn-, Mund- und Kieferheilkunde
Poliklinik für Zahnerhaltung
Albert-Schweitzer-Campus 1, Gebäude W 30
Waldeyerstr. 30
48149 Münster
kaupm@uni-muenster.de




