Die relativ sichere Diagnose MIH
Ein grundsätzliches Problem besteht darin, dass die MIH erst Jahre nach dem Zeitpunkt der Schädigung eintritt, damit also einer aktuellen Anamnese beziehungsweise der Verknüpfung zu unmittelbar zuvor statt gefundenen Ereignissen nicht zugänglich ist [Weerheijm et al., 2001; Lygidakis et al., 2010]. Andererseits ist die MIH in ihrer Definition immer noch als so neu einzustufen, dass noch nicht jeder Zahnarzt damit konfrontiert wurde. Da sie prinzipiell umso häufiger aufzutreten scheint, je größer der Kariesrückgang der Bevölkerung ist, gibt es inzwischen bei vielen Kollegen die Motivation, sich auf diesem Gebiet weiterzubilden.
In einer großen Zahl der Fälle waren die jungen Patienten bis zum Durchbruch der ersten bleibenden Zähne beschwerdefrei und hinsichtlich der Zahnbildung unauffällig (Abbildung 1). Gegebenenfalls haben sie eine Karieserfahrung oder (meist erst spät(er) entdeckte) Hypomineralisationen im Milchgebiss (Abbildung 2). Bei den Patienten (und deren Eltern) entsteht dann eine große Unsicherheit, weil der Durchbruch der Zähne fast regelhaft von Schwierigkeiten und Beschwerden begleitet wird. Oft machen sich die Eltern Vorwürfe, sie hätten nicht ausreichend auf die Gesundheit ihrer Kinder geachtet.
Da die MIH ein paar Ähnlichkeiten mit der Amelogenesis imperfecta aufweist, wird sie oft mit dieser verwechselt. Doch dieser Verdacht führt auf die falsche Fährte und ist häufig ein Grund für ein „Zuviel“ an Sorge, denn die Amelogenesis imperfecta würde alle Zähne der bleibenden Dentition betreffen, ganz im Gegensatz zur MIH. Der Behandlungsumfang im Vergleich zur MIH wäre damit um ein Vielfaches größer.
Darüber hinaus würde die tatsächliche Diagnose „Amelogenesis imperfecta“ auch bedeuten, dass in fast 100 Prozent der Fälle eine erbliche Komponente beteiligt sein müsste, und dementsprechend mindestens ein Elternteil entweder Träger des geschädigten Gens (= selbst betroffen) oder aber Überträger des geschädigten Gens (= klinisch nicht sichtbar betroffen) sein müsste. Für fast alle Eltern ist die Vorstellung, sie könnten eine Erkrankung auf ihr Kind / ihre Kinder übertragen (haben), nur sehr schwer zu ertragen. Dies ist aber bisher für die MIH nicht nachgewiesen. Deshalb ist große Umsicht im Aufklärungsgespräch mit Patient und Eltern angebracht, um keine falschen Ängste und/oder Selbstvorwürfe zu schüren.
###more### ###title### Klinischer Befund ###title### ###more###
Klinischer Befund
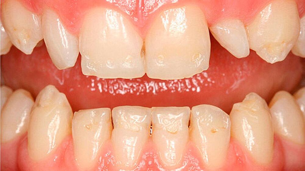
Betroffen sind bei der MIH grundsätzlich ein oder mehrere Sechsjahrmolaren [Weerheijm et al., 2001] (Abbildungen 3 und 4). Die bleibenden Frontzähne können ebenfalls betroffen sein [Weerheijm et al., 2001] (Abbildung 5).
Bei der Art des Strukturdefekts handelt es sich um eine Hypomineralisation, das heißt, die Oberfläche des Defekts ist initial grundsätzlich nicht eingebrochen und Zahnhartsubstanzverluste treten erst bei Durchbruch der Zähne in die Mundhöhle auf. Die Farbe der Hypomineralisationen kann von milchig-weiß über gelb-orange bis hin zu dunkelbraunen Defekten reichen. Die Ausdehnung der Defekte auf den Sechsjahrmolaren ist in der Regel sehr ungleichmäßig, auf den Frontzähnen oft etwas gleichmäßiger (Abbildungen 3 bis 5).
Sofern die Frontzähne betroffen sind, handelt es sich dabei meist um die Inzisivi. Aufgrund des Zeitraums der Mineralisation und der darin eingetretenen Störung können aber auch die Spitzen der bleibenden Eckzähne betroffen sein (Abbildung 6). Zusätzlich können Hypomineralisationen schon im Milchgebiss vorliegen, dann in der Regel an den zweiten Milchmolaren (Abbildung 2) [Elfrink et al., 2012] und gegebenenfalls auch an den Milcheckzähnen.
###more### ###title### Diagnose ###title### ###more###
Diagnose
Die Diagnose der MIH setzt sich aus zwei Bestandteilen zusammen:
Die für die MIH definierten Index-Zähne müssen betroffen sein (Sechsjahrmolaren und möglicherweise bleibende Frontzähne).
Andere Strukturanomalien können sicher ausgeschlossen werden.
Differenzialdiagnose(n)
a) Amelogenesis imperfecta: Bei den verschiedenen Formen der Amelogenesis imperfecta sind in fast allen Fällen beide Dentitionen betroffen. Das heißt, ein ähnlicher Befund wie der, mit dem sich der Patient im Wechselgebiss vorstellt, hätte schon im Milchgebiss vorliegen sollen [Crawford et al., 2007]. Dies ist oft schon der entscheidende Faktor, um eine Amelogenesis imperfecta so eindeutig wie möglich von der MIH zu unterscheiden.
Weiterhin tritt die Amelogenesis imperfecta im Gegensatz zur MIH mit sehr unterschiedlichen Formen auf, die häufigsten sind hierbei [in Anlehnung an Crawford et al., 2007]
die hypoplastische Form mit meist rillen- oder grübchenförmigem Schmelz, oft keine Approximalkontakte, die Zähne erscheinen verkleinert,
die hypomaturierte Form mit weicherem Schmelz als üblich, posteruptiv kommt es häufig und schnell zu Schmelzabplatzungen (Verwechslungsgefahr mit MIH), alle Zähne sind betroffen, meist generelle Zahnverfärbungen gelblich-orange bis bräunlich
die hypocalcifizierte Form mit so gering mineralisiertem Schmelz, dass dieser schon in der Durchbruchsphase verloren geht.
Die hypoplastische Form der Amelogenesis imperfecta ist die am häufigsten anzutreffende Form [Crawford et al., 2007], wohingegen die hypomaturierte und die hypo-calcifizierte Form seltener als die MIH auf-treten. Auch dies sind Kriterien, die für die Diagnosestellung der MIH wichtig sind.
Äußerst selten nur tritt eine lokale Form der Amelogenesis imperfecta auf. Hier liegt eine spezielle Mutation eines Gens zugrunde [Zhang et al., 2015]. Dass diese Erkrankung nur extrem selten auftritt, ist ebenfalls ein wichtiges Kriterium für die Diagnosestellung bei MIH, da diese inzwischen sogar verhältnismäßig häufig vorkommt.
###more### ###title### Differenzialdiagnose(n) ###title### ###more###
Differenzialdiagnose(n)
b) Dentalfluorose:
Wie bei der MIH treten die Beschwerden / tritt das veränderte Erscheinungsbild normalerweise erst in der bleibenden Dentition auf, das heißt in der ersten Wechselgebissphase mit Durchbruch der Sechsjahrmolaren und der bleibenden Frontzähne [Denbesten Li, 2011]. Schwere Formen der Dentalfluorose können ähnlich wie eine Amelogenesis imperfecta erscheinen, fast alle Formen der Dentalfluorose können zunächst mit einer MIH verwechselt werden – begründet im Zeitpunkt der Diagnostik sowie in teils ähnlichen Opazitäten.
Für die Differenzialdiagnostik ist wichtig, die Anzahl der betroffenen Zähne sowie das Aussehen der Opazitäten einzubeziehen. In Europa sind die schwereren Formen der Dentalfluorose eher selten anzutreffen [Denbesten Li, 2011], so dass in der Regel die Differenzierung zwischen den leichten und milden Formen der Dentalfluorose und der MIH vorgenommen werden muss.
Für die Fluorose an den Frontzähnen gilt, dass ...
die Opazitäten von verstärkten Perikymatien über wolkenähnliche Strukturen hin bis zu kleineren, flächigeren Defekten reichen.
die Farbe der Opazität sehr häufig milchig-weiß ist, seltener sind bräunliche Verfärbungen anzutreffen (oft auch erst später, bedingt durch externe Farbeinlagerungen (Abbildung 7)).
es, je schwerer die Fluorose ausgeprägt ist, desto eher zu einem Einbruch beziehungsweise zu einer fehlenden Ausbildung der Zahnoberfläche kommen kann („mottling“ und „pitting“).
Für die Fluorose an den Seitenzähnen (insbesondere Sechsjahrmolaren) gilt, dass ...
diese häufig weniger betroffen sind als die Frontzähne.
das Verteilungsmuster der homologen Zähne sehr ähnlich ist, im Gegensatz zur MIH.
ein Einbruch der Schmelzoberfläche eher selten ist.
Den entscheidenden Hinweis auf eine Dentalfluorose – im Gegensatz zur MIH – liefert in der Regel die Fluoridanamnese [Crawford et al., 2007]. Schwierigkeiten in der Diagnostik während der ersten Wechselgebiss-phase macht meistens, dass bei vielen MIH-Frontzähnen zusätzlich zu der sehr flächigen Opazität auf den Frontzähnen wolken- oder streifenförmige Opazitäten auftreten, die wiederum der Dentalfluorose sehr ähneln. Ob dies aber ein typisches Charakteristikum der MIH ist oder aber ob beide Erkrankungen simultan auf der Schmelzoberfläche vorkommen, kann zum gegenwärtigen Zeitpunkt noch nicht bestimmt werden.
###more### ###title### Differenzialdiagnose(n) ###title### ###more###
Differenzialdiagnose(n)
c) Schädigung durch Unfall
Ein Trauma im Milchgebiss kann prinzipiell zu einer Verletzung der nachfolgenden Zähne führen, wobei die Art der Verletzung von Opazitäten ohne Formveränderung bis hin zu einer vollständig veränderten Morphologie des Zahnes oder auch zu der Zerstörung eines bestehenden Zahnkeimes führen kann (Abbildung 8). Für die Frontzähne ist dieser Mechanismus erklärbar, für die bei der MIH hauptsächlich betroffenen Sechsjahrmolaren aufgrund der fehlenden Vorgänger natürlich nicht, weshalb diese Differenzialdiagnose in der Regel nicht in Betracht kommt.
d) Schädigung durch andere Einflüsse
Grundsätzlich können verschiedene Formen erworbener Strukturanomalien der MIH sehr ähnlich sehen, jedoch erscheint das Verteilungsmuster meist weniger zufällig als bei der MIH. Die Ursachen für erworbene Struktur- anomalien können denen, die für die MIH diskutiert werden, sehr ähnlich sein (fiebrige Infekte, Sauerstoffmangel, Antibiotikagabe und andere). Die Anamnese ist oft ähnlich schwer in Retrospektive zu erheben, doch aufgrund des gleichmäßigeren Verteilungsmusters kann in der Regel zwischen erworbener Strukturanomalie und MIH unterschieden werden (Abbildung 9).
###more### ###title### Zusätzliche Hinweise ###title### ###more###
Zusätzliche Hinweise
Seit einiger Zeit wird diskutiert, dass Hypomineralisationen im Milchgebiss ein Indikator für eine spätere MIH sein könnten [Elfrink et al., 2012]. Dies wird mit dem nicht allzu weit auseinander liegenden Beginn der Mineralisation des zweiten Milchmolaren sowie des Sechsjahrmolaren begründet. An dieser Stelle ist aber auffällig, dass der Mineralisationszeitpunkt und -zeitraum des Milcheckzahns näher an dem des zweiten Milchmolaren liegt als an dem des Sechsjahrmolaren – Milcheckzähne aber bisher nicht als Prädiktor für eine MIH im bleibenden Gebiss genannt wurden.
Man könnte vermuten, dass die Wahrscheinlichkeit für eine MIH im bleibenden Gebiss steigt, je mehr zweite Milchmolaren betroffen sind. Diese Vermutung ließ sich bisher aber nicht bestätigen. Ebenso erscheint es naheliegend, dass der Schweregrad der Hypomineralisation im Milchgebiss einen Hinweis auf den zu erwartenden Schweregrad der MIH im bleibenden Gebiss geben könnte. Aber auch das ist bisher nicht nachzuweisen – eher das Gegenteil ist bisher belegt:
Die Wahrscheinlichkeit für eine MIH im bleibenden Gebiss ist geringfügig erhöht, wenn der Schweregrad im Milchgebiss „nur“ mild ist [Elfrink et al., 2012]. Dies wird damit erklärt, dass der Zeitpunkt der Schädigung dann hätte eingetreten sein müssen, als der Milchmolar schon nicht mehr so anfällig für Störungen in der Mineralisation war, der Sechsjahrmolar dagegen sich gleichzeitig in einer sehr störungsanfälligen Phase befand. Inwiefern dies aber tatsächlich als Erklärungsmodell dem tatsächlichen Vorgang nahekommt, bleibt abzuwarten.
Die Ursache der MIH ist weiterhin nicht geklärt. In die Liste möglicher Ursachen wurden inzwischen beinahe unzählige Faktoren einbezogen. Wird dieses Phänomen einmal allein von statistischer Seite betrachtet, ist nicht einmal auszuschließen, dass in alle bisherigen Berechnungen der tatsächlich auslösende Faktor nicht einbezogen wurde.
###more### ###title### Erläuterungen ###title### ###more###
Erläuterungen
Die hier dargestellten möglichen Fallstricke in der Diagnostik sowie die Möglichkeiten, diese zu umgehen, erheben nicht den Anspruch, unter allen Umständen vollständig zu sein. Die häufigsten, sehr ähnlichen Erkrankungen der Zähne sind hier aufgeführt und sollten für den Praxisalltag völlig ausreichend sein. Sofern diese nicht ausreichen, ist gegebenenfalls zusätzlich der Rat eines Spezialisten einzuholen.
Besonders hervorzuheben ist erneut, dass es sehr wichtig ist, den Familien im Aufklärungs-/Beratungsgespräch darzulegen, dass die Ursache der MIH immer noch ungeklärt ist. Deshalb sind alle Vorwürfe oder Vorstellungen, diese sei entweder eine Folge schlechter Pflege/Mundhygiene oder müsse gar ein genetisches Problem innerhalb der Familie sein, zunächst ad acta zu legen.
Fazit
Die Molaren-Inzisiven-Hypomineralisation kann bei Berücksichtigung der häufigsten Differenzialdiagnosen relativ sicher erkannt werden. Wichtig ist, diese durch Anamnese und klinischen Befund auszuschließen. Für die Diagnose der MIH selbst sind Röntgenbilder in der Regel nicht oder kaum hilfreich. Die notwendige Aufklärung der betroffenen Patienten sowie der Familien ist nicht zu unterschätzen, da die MIH zum Beispiel im Bereich der meisten Krankenkassen immer noch nicht als eigenständige Krankheitsentität anerkannt wurde.
Ebenso sind die bisher für die Patienten zugänglichen Informationen sehr spärlich (und leider oft auch eher übertrieben furchteinflößend). Eine gute Beratung führt meist zu einer guten Kooperation mit den betroffenen Patienten und deren Familien.
Dr. Stefanie Feierabendstefanie.a.feierabend@gmail.com




