Glasionomere holen auf
Während der vergangenen Jahrzehnte haben sich die Konzepte der restaurativen Behandlung geändert: Heute konzentriert sich die moderne Zahnheilkunde auf die minimale Entfernung von Zahnsubstanz und die Anwendung adhäsiver Materialien. Perfekt angepasst an diese Anforderungen sind Restaurationsmaterialien wie Komposite und Glasionomerzemente, die kontinuierlich an Bedeutung gewonnen haben [Davidson, 2009; Lohbauer, 2010; McLean Wilson, 1977].
Wie behaupten sich beide Materialgruppen im Vergleich?
Vor diesem Hintergrund ist es von Bedeutung, wie sich beide Materialgruppen im Vergleich behaupten. In der vorliegenden randomisierten, prospektiven klinischen Studie wurde daher ein hochvisköses Glasionomer-basiertes Restaurationssystem (Equia, GC) mit einem mikrogefüllten Hybridkomposit (Gradia Direct, GC) verglichen.
Seit ihrer Einführung in den 1970er-Jahren [Wilson Kent, 1971] erfuhren besonders die Glasionomere über die Jahre hinweg zahlreiche Modifikationen. Auch wenn sie eine geringere Frakturresistenz und eine höhere okklusale Verschleißrate im Vergleich zu anderen Restaurationsmaterialien (beispielsweise Kompositen) aufweisen, zeigen Glasionomere Vorteile wie die Adhäsion trotz feuchtem Milieu, weitere antikariogene Eigenschaften, die auf die Fluoridfreisetzung zurückzuführen sind, eine thermische Kompatibilität zu Zahnschmelz und nicht zuletzt eine gute Biokompatibilität [Ilie et al., 2012].
Des Weiteren erreichen moderne hochvisköse Glasionomere durch optimierte Polysäuren und unterschiedliche Partikelgrößen bessere physikalische Eigenschaften im Vergleich zu traditionellen Glasionomerzementen (GIZ). Adhäsive Materialien aus der Komposit- und Glasionomertechnologie wurden in einem Restaurationskonzept kombiniert, das als Equia (GC) geläufig ist.
Bestehend aus einer hochviskösen konventionellen Glasionomerkomponente (Equia Fil, auch bekannt als Fuji IX GP Extra) und einem nanogefüllten Schutzlack (Equia Coat, auch bekannt als G-Coat Plus), eignet sich das System gemäß den Herstellerempfehlungen für Restaurationen der Klasse I, für unbelastete Restaurationen der Klasse II und für kaudruckbelastete Restaurationen der Klasse II (sofern der Isthmus weniger als die Hälfte des Interkuspidalraumes beträgt). Das Coating wirkt als Schutzlack glasurähnlich und verbessert darüber hinaus die ästhetischen und die physikalischen Eigenschaften [Bonifacio et al., 2012; Diem et al., 2014].
Die Untersuchung
Für die vorliegende Studie [Gurgan, Kutuk, Ergin, Oztas Cakir, 2014] (bewilligt durch den Ethik-Ausschuss der Hacettepe Universität, Ankara/Türkei) wurden Patienten rekrutiert, die sich für eine zahnärztliche Routine-Untersuchung an der Hacettepe Universität, zahnärztliche Fakultät, Abteilung für Restaurative Zahnmedizin, vorgestellt hatten.
Insgesamt wurden bei 59 Patienten mit einem Durchschnittsalter von 24 Jahren 140 posteriore Läsionen in Ober- und Unterkiefermolaren und in Prämolaren (80 Klasse-I- und 60 Klasse-II-Läsionen) mit dem GIZ- basierten Restaurationsmaterial (Equia; 40 Klasse-I- und 30 Klasse-II-Restaurationen) oder mit einem Seitenzahnkomposit (Gradia Direct Posterior; 40 Klasse-I- und 30 Klasse-II-Restaurationen) in Kombination mit einem selbstätzenden Adhäsiv (G-Bond, GC) durch zwei geübte Anwender unter Beachtung der Herstelleranweisungen versorgt.
Zwei unabhängige Experten bewerteten die Restaurationen zu Beginn der Studie und jeweils nach einem, nach zwei, nach drei und nach vier Jahren gemäß den modifizierten US-Public-Health-Service-Kriterien (USPHS) und mithilfe von PVS-Abdrücken (Polyvinylsiloxan) und Negativ-Repliken qualitativ unter dem Rasterelektronenmikroskop (REM).
Die statistischen Analysen wurden mit dem McNemar-Test, dem Chi-Quadrat-Test nach Pearson und dem Cochrans-Q-Test (p 0.05) erhoben. Nach vier Jahren wurden insgesamt 126 Restaurationen (76 Klasse-I- und 50 Klasse-II-Restaurationen) bei 52 Patienten evaluiert. 14 der ursprünglichen Versorgungen (vier Klasse-I- und zehn Klasse-II-Restaurationen) konnten aufgrund eines Umzugs der betreffenden sieben Patienten nicht beurteilt werden (Recall-Rate: 88,1 Prozent).
Die Resultate
Die Resultate zeigten, dass die Erfolgsraten für Equia-Versorgungen der Klasse I, für Gradia-Direct-Posterior-Versorgungen der Klasse I und für Klasse-II-Versorgungen mit Gradia Direct Posterior bei 100 Prozent lagen, während die Erfolgsrate für Equia bei Klasse-II-Restaurationen 92,7 Prozent betrug (einzig eine Klasse-II-Restauration musste als Folge einer Randfraktur nach drei und eine weitere nach vier Jahren ausgetauscht werden). Allerdings wurden signifikante Unterschiede in der marginalen Adaptation und in der Verfärbung nach vier Jahren im Vergleich zur Ausgangssituation sowohl für Klasse-I- wie auch für Klasse-II-Restaurationen für beide Restaurationsmaterialien (p 0.05) gefunden.
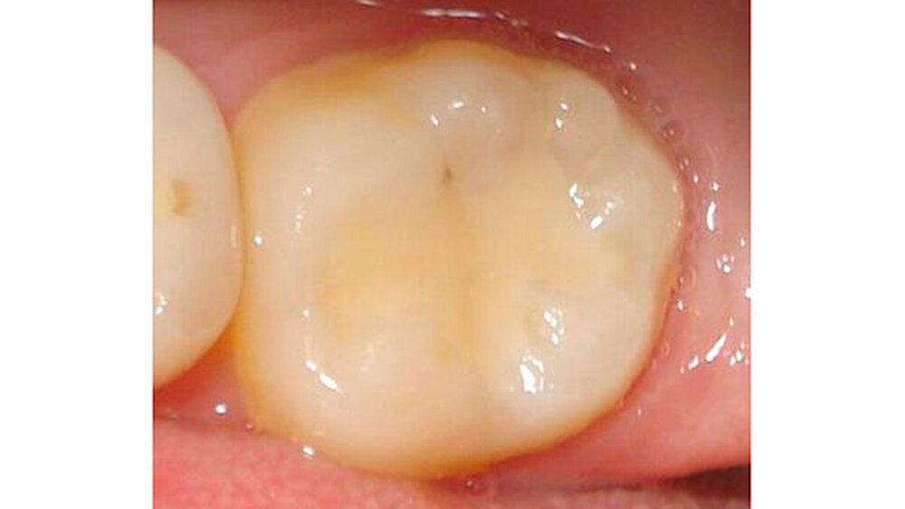
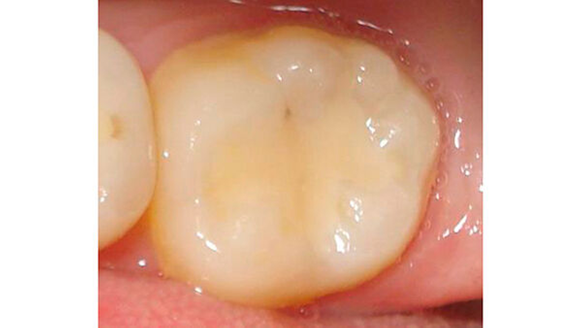
Keine der Restaurationen zeigte Anzeichen für eine Verschlechterung bezüglich anatomischer Form, Farbübereinstimmung, Sekundärkaries, postoperativer Sensibilität, Oberflächenstruktur und Haftung gegenüber anderen Restaurationsmaterialien (p 0.05). Die rasterelektronenmikroskopischen Auswertungen stimmten mit den klinischen Befunden überein (Abbildungen 1 bis 4).
Diskussion
Wie diese Ergebnisse darlegen, zeigte der Einsatz beider Materialien - Equia und Komposit - eine vergleichbare und klinisch erfolgreiche Leistungsfähigkeit für Seitenzahnrestaurationen nach vier Jahren. Ferner deutet die Fünf-Jahres-Einschätzung für die gleiche Studie darauf hin, dass die Ergebnisse nicht schlechter als die hier präsentierten ausfallen werden *[Gurgan, Kutuk, Firat, Cakir Oztas, 2014]. Dies bestätigt die Resultate früherer Untersuchungen, eingeschlossen eine Studie von Diem et al., die Fuji IX GP Extra (Equia Fil) mit und ohne Applikation des nanogefüllten Kompositlacks G-Coat Plus (Equia Coat) im Vergleich mit einem mikrofeinen Hybridkomposit untersuchten [Diem et al., 2014].
Nach Ende des dreijährigen Untersuchungszeitraums zogen die Autoren den Schluss, dass der Auftrag des Coatings eine geringere Abrasion der okklusalen Kavitäten bewirkte. Darüber hinaus bleibt abzuwarten, wie Equia in einer derzeit noch laufenden Studie von Klinke et al. über einen Untersuchungszeitraum von fünf Jahren abschneiden wird. In einer Zwischenbilanz nach 24 Monaten präsentierten die Wissenschaftler Ergebnisse, die die vorliegenden Daten ebenfalls bestätigen *[Klinke et al., 2013].
Zusätzlich zu den Ergebnissen der aktuellen Forschungsarbeit bieten kürzlich veröffentlichte Untersuchungsergebnisse eine neue Perspektive auf die Leistungsfähigkeit von hochviskösen Glasionomerzementen.
Die Resultate eines empirischen Studien-Reviews empfehlen, den Einsatz von Glasionomerzementen in der modernen Zahnheilkunde neu zu bewerten, weil unbedarft-indirekte Vergleiche der klinischen Eigenschaften von hochviskösen Glasionomerzementen mit anderen Restaurationsmaterialien – wie beispielsweise Amalgam – auf unkontrollierten klinischen Longitudinalstudien basieren und die Argumente für die gebräuchlichen negativen klinischen Empfehlungen verstärkt haben könnten [Mickenautsch Yengopal, 2013].
Ein neues Licht auch auf Amalgam
Dies wirft nicht nur neues Licht auf die Glasionomerzemente, sondern auch auf Amalgam, dessen Verwendung sich in den Industrienationen während der vergangenen Jahrzehnte ohnehin verringert hat – teilweise auch aufgrund der schwindenden Patientenakzeptanz. Auf Amalgam wurde insbesondere in Europa während der 1990er-Jahre mehr und mehr verzichtet. Beispielsweise steht die Minamata-Konvention für Quecksilber für eine schrittweise Reduzierung („Phase-down“) des Dentalamalgams ein [United Nations Environment Programme, 2013]. Das unterstreicht die Bedeutung weiterer Forschung und Entwicklung der adhäsiven Materialien wie Komposite und Glasionomere.
Fazit
Natürlich bieten Glasionomere noch Möglichkeiten zur Verbesserung – mehrere Ansätze, deren mechanische Eigenschaften zu optimieren, sind im Gange. Mit Blick auf innovative Restaurationskonzepte und die vorhandenen Daten (moderne Glasionomere betreffend) können Glasionomer-basierte Materialien in den bekannten Indikationsbereichen jedoch als adäquate Lösungen angesehen werden – zahnfarben, amalgamfrei, wirtschaftlich und minimal-invasiv.
Prof. Sevil Gurgan, DDS, PhD, Zeynep Bilge Kutuk, DDS Associate Professor Esra Ergin, DDS, PhDSema Seval Oztas, DDS Prof. Filiz Yalcin Cakir, DDS, PhD
Hacettepe University, Departement of Restorative Dentistry,
Sihhiye, Ankara, 06100, Turkey
sgurgan@hacettepe.edu.tr






