Fremdkörper als Zufallsbefund im Sinus maxillaris
Anamnestisch berichtete der Patient neben einem nasalen Flüssigkeitsausfluss während des Schluckakts über ein seit Längerem bestehendes Druckgefühl im Bereich der rechten Kieferhöhle. Die weitere Anamnese war unauffällig. Klinisch wurde eine ausgeprägte oroantrale Fistel mit putridem Ausfluss regio 026 diagnostiziert. Die rechte Kieferhöhle zeigte sich perkussionsempfindlich.
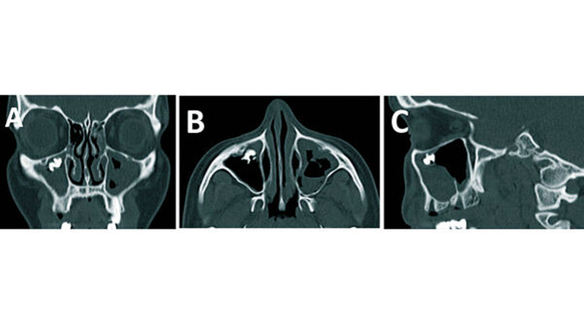
Das angefertigte Orthopantomogramm (OPT) stellte den aktuellen Zahnstatus mit dem Nebenbefund einer röntgendichten Verschattung im Sinne eines Fremdkörpers unterhalb des rechten Kieferhöhlendachs dar (Abbildung 1). Es folgte die Anfertigung eines NNH-CT zur genauen Lokalisierung des Fremdkörpers (Abbildung 2) für die anschließende OP-Planung.
Behandlung
In Intubationsnarkose konnte der Fremdkörper aus dem rechten Sinus maxillaris über einen osteoplastischen offenen Zugang vestibulär regio 014 bis 015 geborgen werden (Abbildung 3). Die Mund-Antrum-Verbindung regio 026 wurde mittels eines Rehrmannlappens verschlossen. Gleichzeitig erfolgte die Entnahme von Proben aus bei den Kieferhöhlen. Die Abbildung 4 zeigt den kunststoffartigen Fremdkörper im Sinne von Füllungsmaterial. Die postoperative Röntgenkontrolle dokumentiert die Entfernung des Fremdkörpers (Abbildung 5) in toto.
Ein anschließendes Gespräch mit dem Patienten konnte nicht klären, wie das Füllungsmaterial in die Kieferhöhle gelangt ist. Histologisch ergab sich entzündungsbedingt eine beidseitig polypöse, ödematöse Kieferhöhlenschleimhaut. Am dritten postoperativen Tag entließen wir den Patienten bei sanatio per primam intentionem in die ambulante Nachsorge.
Diskussion
Funde von Fremdkörpern im Sinus maxillaris sind äußerst selten und können aufgrund von Traumata oder versehentlich während eines zahnärztlichen oder chirurgischen Eingriffs in die Kieferhöhle disloziert worden sein [Sugiura et al., 2016]. Zumeist handelt es sich dabei um in die Kieferhöhle luxierte Wurzelreste oder Zähne [Kumar et al., 2015]. Am häufigsten wird diese Komplikation in Verbindung mit der palatinalen Wurzel des ersten Molaren sowie mit den maxillären Weisheitszähnen beschrieben [Ferguson, 2014].
Weitere Fremdkörper können frakturierte Bohraufsätze, Wurzel- und Zahnfüllungsmaterial, Nadeln, Zahnimplantate, aber auch Abformmaterial sein [Deniz et al., 2016; Sugiura et al., 2016]. All diese Komplikationsmöglichkeiten wurden vom Patienten im Vorfeld negiert.
Die aus einem in den Sinus maxillaris dislozierten Fremdkörper resultierenden Symptome sind vielseitig und können von seiner asymptomatischen Verweilung über das Auftreten von Fieber, Gesichts- und Kopfschmerzen, einseitiger nasaler Obstruktion bis hin zu putridem Ausfluss aus der Nase reichen [Deniz et al., 2016].
In unserem Fall zeigte sich der röntgenopake Fremdkörper im OPT als Zufallsbefund. Zur genauen Lokalisation ist jedoch eine zwei- bis dreidimensionale radiologische Darstellung notwendig [Ferguson, 2014]. Bei der zweidimensionalen Darstellung bietet sich zum OPT ein Fernröntgenseitenbild und bei der dreidimensionalen ein DVT, NNH-CT sowie im Fall von nicht ferromagnetischen Fremdkörpern auch ein MRT an.
Zu bedenken gilt jedoch, dass es bei einem inkognito in die Kieferhöhle gelangten ferromagnetischen Fremdkörper während der Durchführung eines MRT zu starken Schmerzen bis hin zu ausgeprägten Verletzungen kommen kann [Voss et al., 2015].
Da der Patient uns bezüglich der Ursache des Fremdkörpers keinerlei Angaben machen konnte, vermuten wir, dass jener über eine aus einer früheren Zahnentfernung resultierende alveolo-antrale Fistel unbewusst in die rechte Kieferhöhle gelangt ist und durch die aus der lokalen Entzündung resultierende hypertrophe Kieferhöhlenmukosa anschließend in Richtung Kieferhöhlendach gedrängt wurde.
Fazit für die Praxis
Fremdkörper können durch Traumata oder versehentlich während eines zahnärztlichen oder chirurgischen Eingriffs in die Kieferhöhle gelangen.
Zumeist handelt es sich dabei um in die Kieferhöhle luxierte Wurzelreste oder Zähne. Aber auch frakturierte Bohraufsätze, Wurzel- und Zahnfüllungsmaterial, Nadeln, Zahnimplantate sowie Abformmaterial sind mögliche Ursachen.
Die hervorgerufenen Symptome können vielseitig sein und reichen von asymptomatisch bis hin zu ausgeprägten Beschwerden mit einseitiger nasaler Obstruktion und putridem Ausfluss.
Zur genauen Lokalisation ist eine zwei- bis dreidimensionale radiologische Darstellung notwendig.
Da Fremdkörper zu Irritationen der Kieferhöhlenmukosa führen können, wird deren Entfernung auch bei Symptomlosigkeit propagiert.
Die Bergung ist mittels transnasaler Endoskopie sowie mit transoralem osteoplastischem offenem Zugang im Bereich der äußeren Kieferhöhlenwand möglich.
Da Fremdkörper zu Irritationen der Kieferhöhlenmukosa bis hin zu einer chronischen Sinusitis führen können, wird deren Entfernung auch bei Symptomlosigkeit propagiert [Mehra and Murad, 2004; Deniz et al., 2016; Sugiura et al., 2016]. Je nach Größe und Lage des Fremdkörpers stehen zur Bergung unterschiedliche Verfahren zur Verfügung: transnasal mittels Endoskopie durch das Ostium naturale oder durch ein neu angelegtes Kieferhöhlenfenster zum Nasengang sowie transoral durch die operative Anlage eines temporären Kieferhöhlenfensters im Bereich der äußeren Kieferhöhlenwand im Sinne eines osteoplastischen offenen Zugangs [Deniz et al., 2016; Sugiura et al., 2016].
Aufgrund der Größe des Fremdkörpers haben wir uns für den transoralen Zugang im Bereich der lateralen Kieferhöhlenwand entschieden.
Felix Paulßen von Beck,
Sarah Schmidt,
Dr. Dr. Konstantsa Milioti,
Dr. Dr. hc. Andreas Hammacher
Klinik für Mund-, Kiefer- und Gesichtschirurgie
Plastische und ästhetische Operationen
Malteser Krankenhaus, St. Josefshospital Uerdingen
Kurfürstenstr. 69, 47829 Krefeld-Uerdingen
Felix.Paulssen@malteser.org
Literaturliste
Deniz Y, Zengin AZ, Karli R. An unusual foreign body in the maxillary sinus: Dental impression material. Niger J Clin Pract. 2016; 19(2): 298-300.
Ferguson M. Rhinosinusitis in oral medicine and dentistry. Aust Dent J. 2014; 59(3): 289-295.
Kumar N, Bhutani H, Jain P, Verma A, Tomar S, Chaterjee S, Garg A, Awana R. Accidental Entry of Foreign Body in Maxillary Sinus-A Case Report. Open J. Stomatol. 2015; 5: 1–5.
Mehra P, Murad H. Maxillary sinus disease of odontogenic origin. Otolaryngol Clin North Am. 2004; 37(2): 347-364.
Sugiura T, Yamamoto K, Nakashima C, Murakami K, Matsusue Y, Horita S, Sakagami G, Kirita T. Chronic Maxillary Sinusitis Caused by Denture Lining Material. Open Dent J. 2016; 10: 261-267.
Voss JO, Raguse JD, Hoffmeister B, Adolphs N. Magnetic resonance imaging induced acute midfacial pain - incidental finding of a dislocated dental bur. Eur J Oral Implantol. 2015; 8(2): 183-187.









