Kindliche Epidermoidzyste an der Glabella
Ein einjähriges Mädchen erschien mit seinen besorgten Eltern in der allgemeinen Sprechstunde der MKG-Chirurgie Rostock. Die Mutter berichtete von einer tastbaren, aber bei Inspektion nicht sichtbaren Raumforderung im Bereich der Glabella. In den vergangenen Monaten sei es zu einer dezenten Progredienz gekommen, weshalb eine Abklärung und eine chirurgische Entfernung gewünscht wurden.
Klinisch zeigte sich eine circa 0,5 cm x 0,6 cm große, nicht verschiebliche und nicht druckdolente Raumforderung im Bereich der medianen Glabella.
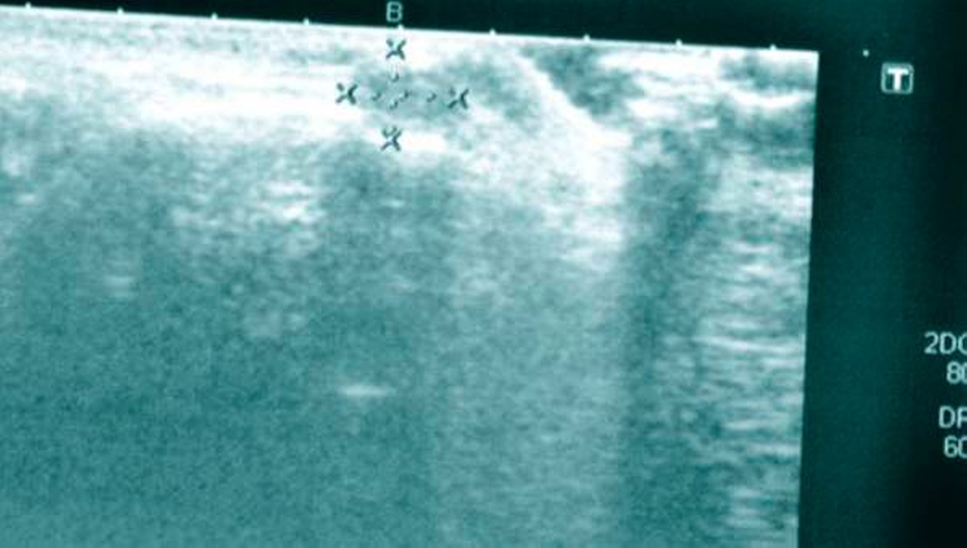
Sonografisch konnte ein mit einer Kapsel umgebener, nicht infiltrierend wachsender, inhomogener Tumor mit dorsalem Schallschatten nachgewiesen werden (Abbildung 1). Gemeinsam mit den Eltern wurde entschieden, eine MRT-Untersuchung in Intubationsnarkose durchzuführen und anschließend – bei Bedarf in derselben Narkose – die anscheinend benigne Raumforderung zu entfernen.
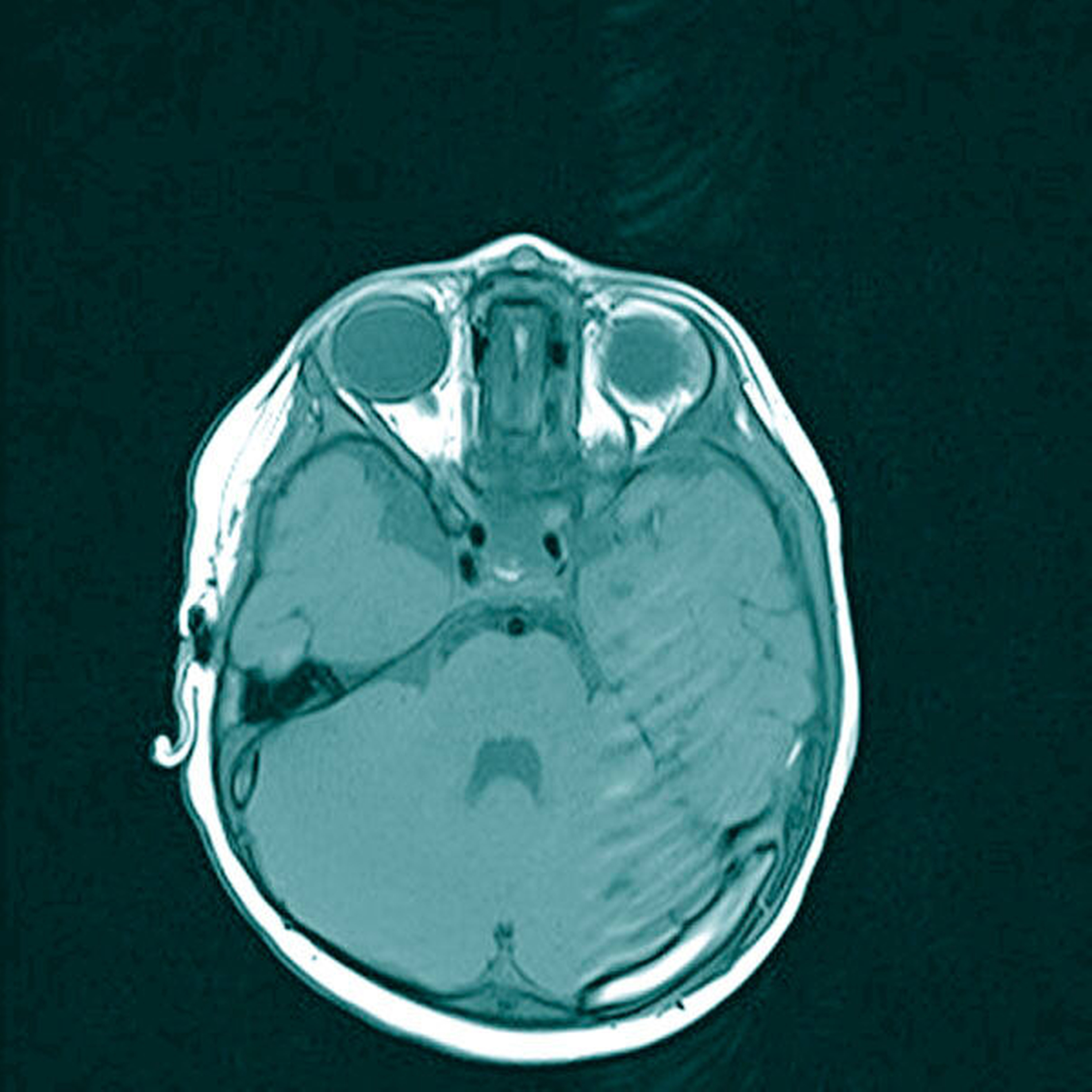
Im MRT bestätigte sich das Vorliegen einer umschrieben-bekapselten, rundlichen Formation median an der Glabella. Der Tumor war inhomogen hypointens in der T1- und hyperintens in der T2-Wichtung (Abbildungen 2 und 3). Des Weiteren stellte sich eine leicht imprimierte Tabula externa der angrenzenden Kalotte ohne Nachweis einer intrakraniellen Ausdehnung dar (Abbildung 4). Somit erhärtete sich der Verdacht auf Vorliegen einer Epidermoid- beziehungsweise einer Dermoidzyste und nach Rücksprache mit den Eltern erfolgte die chirurgische Entfernung.
Hierbei wurde über einen minimalen, horizontal über der Glabella gelegten Schnitt die Freilegung und In-toto-Entfernung einer gelblich-kugeligen Formation durchgeführt (Abbildungen 5 und 6).
Die histopathologische Aufbereitung erbrachte den Nachweis einer Epidermoidzyste ohne floride Entzündungszeichen. Nach einer kurzen Überwachungsphase wurde die kleine Patientin in die postoperative ambulante Nachsorge entlassen. Die weitere Wundheilung war komplikationslos (Abbildung 7).
Diskussion
Zysten der Weichteile werden im Allgemeinen an ihrem klinischen Aussehen, an ihrer Lokalisation und an ihren Symptomen erkannt. Ihr Ursprung kann traumatisch oder entwicklungsbedingt sein. Sie erscheinen normalerweise als schmerzlose Schwellung mit Ausdehnung in die angrenzenden Weichteile. Die Konsistenz der Läsion wird zuerst durch Palpation untersucht, während für weitere Informationen – wie im vorliegenden Fall – ein Ultraschall sinnvoll ist. Abschließend kann ein CT oder MRI einen detaillierteren Blick auf die Läsionsränder erlauben.
Bei der Epidermoidzyste (Synonyme: „echtes“ Atherom, epidermale Zyste) handelt es sich um einen von mehrschichtigem und epidermal verhornendem Plattenepithel ausgekleideten benignen Weichteiltumor, der sich meist in der Dermis befindet, ohne dass ein Ausführungsgang zu detektieren ist. Ätiologisch wird von einer Verschleppung von Epidermiszellen in die tieferen Hautschichten ausgegangen. Die Zysten sind mit laminiert-keratinösem Material gefüllt, das von abgeschilferten Plattenepithelzellen und Hornlamellen ausgeht. Klinisch handelt es sich – wie im beschriebenen Fall – um meist an Größe zunehmende, rundliche Raumforderungen mit der Hauptlokalisation im Gesicht und am Rücken. Sonderformen der Epidermoidzyste sind sekundäre Formen bei Acne conglobata, traumatische Epidermoidzysten bei Verlagerung von Epidermis in die Dermis sowie multiple Epidermoidzysten bei Vorliegen eines Gardner-Syndroms. Das Gardner-Syndrom hat als Ursache eine autosomal-dominant vererbliche Mutation des Adenomatous-Polyposis-Coli-Proteins und beinhaltet neben den Epidermoidzysten weitere benigne Knochen- und Weichgewebstumore, eine Hyperdontie sowie Kolon- und Magenpolypen. Da es sich um eine obligate Präkanzerose für Darmkrebs handelt, besteht die Therapie aus einer präventiven Kolektomie.
Differenzialdiagnostisch kommen vielfältige Weichgewebszysten infrage. Beispielhaft ist hier die Trichilemmalzyste („falsches“ Atherom, Talgretentionszyste) zu nennen, bei der der Ausführungsgang einer oder mehrerer Talgdrüsen verstopft ist, weswegen der sezernierte Talg langsam akkumuliert. Histologisch können Epidermoidzysten und Trichilemmalzysten unterschieden werden, da bei Epidermoidzysten keratohyaline Granulae in den Zystenwänden vorkommen. Weiterhin zeigen rund ein Drittel aller Trichilemmalzysten eine fokale Ossifikation, die bei Epidermoidzysten nur sehr selten beobachtet wird [Goto et al., 2014].
Eine weitere mögliche Entität ist die Dermoidzyste, eine angeborene Fehlbildung, die – wie im beschriebenen Fall – vor allem in der Mittellinie vorkommt. Hier liegen potenziell weitere kombinierte Fehlbildungen sowie intrakranielle Ausbreitungen vor, weshalb bei unklaren Tumoren in der Mittellinie eine 3-D-Bildgebung (CT oder MRT) empfohlen wird [Sorenson et al., 2013]. Die definitive Diagnose wird histologisch getroffen, wobei Dermoidzysten gewöhnlicherweise neben der plattenepithelialen Auskleidung adnexale Strukturen wie Haarfollikel und verschiedene Drüsen aufweisen. Da im beschriebenen Fall die Lage in der Mittellinie sowie die dezente Impression der Kalotte auch für eine Dermoidzyste hätten sprechen können, erbrachte hier erst die histologische Untersuchung das abschließende Ergebnis. Außerdem kommen, neben bösartigen Erkrankungen, auch Lipome [Kämmerer und Frerich, 2017] oder – bei Inflammation – Abszesse infrage.
Die Therapie der Wahl ist – bei ästhetischen Einschränkungen, Inflammation oder wie im vorliegenden Fall auf Wunsch der Eltern/Patienten – die chirurgische Entfernung, wobei eine komplette Exstirpation notwendig ist, um Rezidive zu vermeiden [Datema et al., 2013]. Sollte eine besonders große beziehungsweise eine infizierte Epidermoidzyste vorliegen, so kann vor der endgültigen Exzision eine Inzision und Drainage des Zysteninhalts sinnvoll sein. In der Literatur wird von der sehr seltenen Entwicklung von Plattenepithelkarzinomen, Basalzellkarzinomen und Melanomen aus Epidermoidzysten berichtet [Malone et al., 1999; Welch, 1958], weshalb alle derartigen Tumore nach der Exzision histologisch untersucht werden sollten.
Fazit für die Praxis
Zystische Weichgewebsläsionen der Kopf- und Halsregion bei Kindern bieten verschiedene Grade an Ausmaß und Herausforderung.
Die meisten dieser Zysten sind klein und leicht zu behandeln.
Im Allgemeinen ist bei jungen Patienten mit Weichgewebsläsionen eine chirurgische Behandlung unter Vollnarkose nicht nur für die ausgedehnten Läsionen, sondern auch für solche mit geringerer Größe indiziert.
Bei sehr kleinen Kindern wird sogar bei wenigen kleinen Weichgewebszysten eine Vollnarkose angewendet, um eine künftige Traumatisierung zu vermeiden.
PD Dr. Dr. Peer W. Kämmerer, MA, FEBOMFS
PD Dr. Dr. Bassam Saka
Klinik und Poliklinik für Mund-, Kiefer- und Gesichtschirurgie der Universitätsmedizin Rostock
Schillingallee 35. 18057 Rostock
peer.kaemmerer@med.uni-rostock.de












