Die Anatomie von Oberkiefer-Molaren
In der Vergangenheit halfen histologische Untersuchungen an Zahnhartgewebeschliffen, die Anfertigung von transparenten Zahnpräparaten mit injizierter Tusche [Vertucci, 1984; Reuver, 2018iD] und vergrößerte Rekonstruktionen aus Wachs, die Vielfalt und Variabilität des Wurzelkanalsystems darzustellen und Ursachen für Misserfolge endodontischer Therapien zu ermitteln [Carabelli, 1844; Black, 1902]. Noch heute findet die Anwendung der Transparenzmethode große Aufmerksamkeit, da sie die anatomische Variabilität von Wurzelkanalsystemen dreidimensional abbilden kann (Abbildung 1).
Alle klassischen destruktiven Verfahren zur Darstellung der Anatomie können aber aus verfahrenstechnischen Gründen erst in vitro Anwendung finden, so dass umfassende Erkenntnisse über die tatsächliche Anatomie des Wurzelkanalsystems erst nach der Extraktion verfügbar werden [Baumann, 1995]. Die ermittelten Daten geben Hinweise auf Häufigkeitsverteilungen zum Vorkommen von Wurzelkanalsystemen und deren Möglichkeiten auf Verzweigungen [Hess, 1917; Vertucci, 1984; Sert & Bayirli, 2004]. Ausgehend von den Daten an extrahierten Zähnen erfolgt am Patienten die Suche nach Wurzelkanälen zumeist heute noch nach dem Wahrscheinlichkeitsprinzip.
Einer In-vitro-Studie von Vertucci [1984] zufolge waren bei 100 untersuchten Oberkiefer-Molaren in lediglich 55 Prozent der Fälle vier Wurzelkanäle nachweisbar. Demgegenüber fand Stropko [1999] unter klinischen Bedingungen und unter Verwendung eines Dentalmikroskops in über 90 Prozent der oberen ersten Molaren vier Wurzelkanäle. Hintergrund sind methodische Mängel in den Studien an extrahierten Zähnen. Obwohl schon lange bekannt ist, dass sich die Form des Wurzelkanalsystems und die Anzahl der Wurzelkanäle im Laufe des Lebens verändern [Schroeder, 1997], findet dies in den meisten anatomischen Studien keine Berücksichtigung. Da in die Studien häufig keine Daten zum Alter der Patienten und zu den Gründen der Extraktion einbezogen wurden, lassen die Angaben zur Häufigkeitsverteilung nach heutigen Erkenntnissen keine Verallgemeinerung mehr zu und erfordern eine Neubeurteilung.
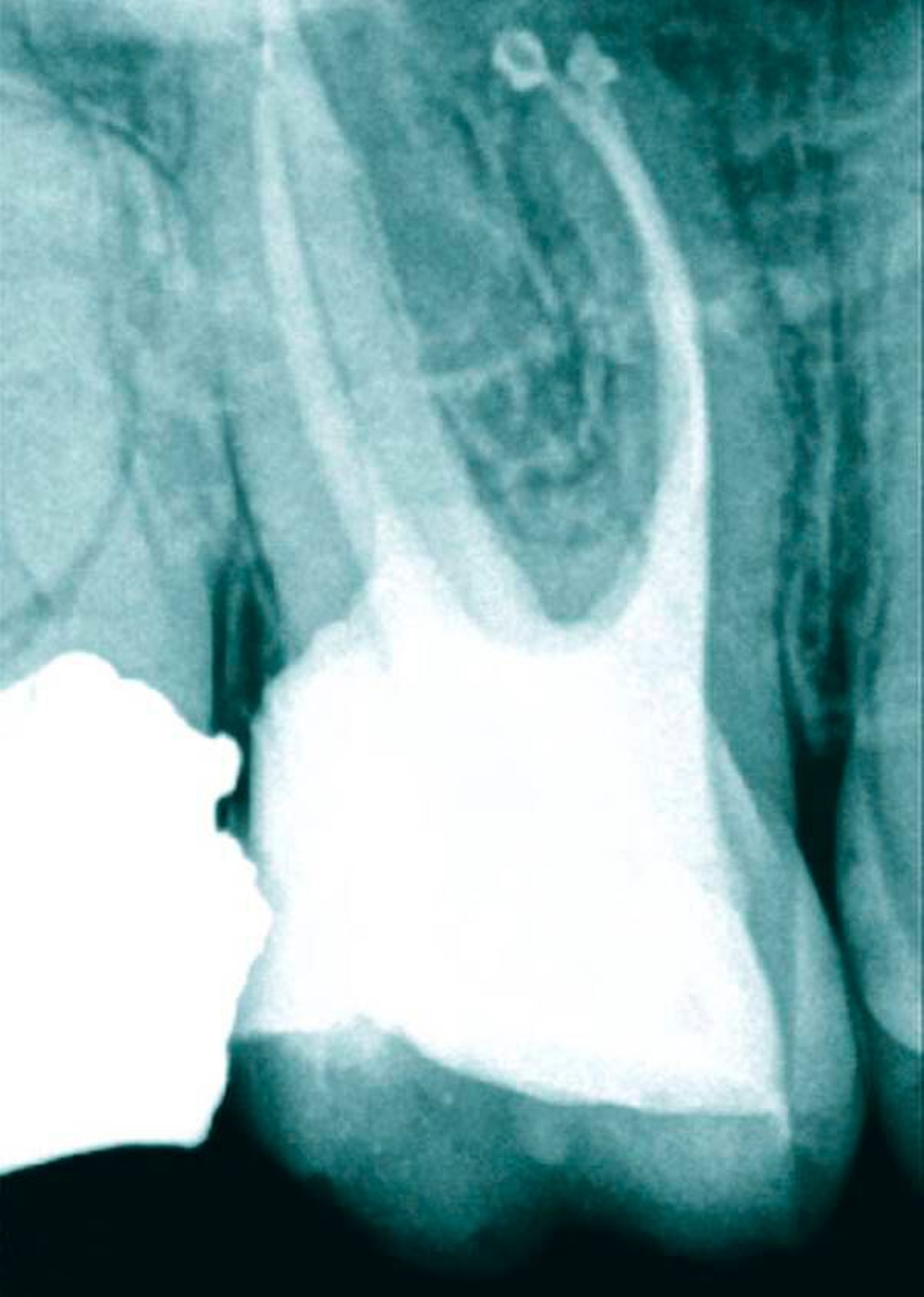
Die aktuelle Forschung kann auf hochauflösende Verfahren zur Ermittlung von Wurzelkanalsystemen zurückgreifen. Die destruktiven Verfahren werden dabei mehr und mehr von nondestruktiven Verfahren (MikroCT, NanoCT, MRT) abgelöst [Parkinson & Sasov, 2008; Paqué et al., 2010] (Abbildungen 2 und 3). Mit der dentalen Digitalen Volumentomografie (DVT) gelingt es erstmals am Patienten, die tatsächliche Form und den Verlauf von Wurzeln in Beziehung zu pathologischen Prozessen darzustellen (Abbildung 4) und aus der Form der Wurzel Rückschlüsse auf die Anzahl und die genaue Lage der Wurzelkanäle zu ziehen [DVT-Leitlinie DGZMK S2, 2009; Patel, 2009; Michetti et al., 2010].



Wurzelkanalbehandlung
Der Erfolg einer Wurzelkanalbehandlung ist von vielen Faktoren abhängig. Die Voraussetzung für eine suffiziente mechanische und chemische Aufbereitung des Wurzelkanalsystems ist die Präparation einer adäquaten endodontischen Zugangskavität unter aseptischen Bedingungen (Abbildungen 5 und 6).
Mit der chemomechanischen Aufbereitung von Wurzelkanalsystemen wird das Ziel verfolgt, Pulpagewebe als mögliches Substrat für pathologische Mikroorganismen vollständig zu entfernen und die Grundlagen für eine wirkungsvolle Desinfektion und Reinigung zu schaffen.
Schließlich werden mit der mechanischen Erweiterung und konischen Ausformung der Wurzelkanäle die Voraussetzungen für einen dichten Verschluss des Wurzelkanalsystems geschaffen, damit eine Rekolonisierung von endodontischen Hohlräumen vermieden werden kann (Abbildung 7) [Klimm, 2003; Hülsmann & Schäfer, 2005]. Im Ergebnis einer vollständigen antimikrobiellen Therapie bilden sich ausgedehnte periapikale Aufhellungen und pathologische Prozesse der Kieferhöhle vollständig zurück und erfordern keinen weiteren chirurgischen Eingriff (Abbildung 8).
Wurzelkanalsystem
Als Wurzelkanalsystem wird ein komplexer endodontischer Hohlraum bezeichnet, der sich im Ergebnis der lebenslangen Dentinbildung durch die Pulpa immer weiter verengt und morphologisch differenziert [Thomas et al., 1993; Schroeder, 1997; Radlanski, 2011]. Mit der histologischen Darstellung des Wurzelkanalsystems wurde deutlich, dass es unmöglich gelingen kann, das gesamte endodontische Hohlraumsystem mechanisch mithilfe von klassischen Wurzelkanalinstrumenten zu erweitern. Vielmehr scheint es darauf anzukommen, den jeweiligen Wurzelkanalquerschnitt vollständig so darzustellen, dass er mit geeigneten mechanischen Hilfsmitteln für eine wirkungsvolle Desinfektion und Reinigung und den nachfolgenden Verschluss vorbereitet werden kann.
Wurzelkanal
Als Wurzelkanal werden grundsätzlich zwei verschiedene Arten endodontischer Hohlräume bezeichnet. Diese sollten aus diagnostischen und therapeutischen Gründen in präoperative und postoperative Wurzelkanäle unterschieden werden.
Häufig ist es erforderlich, sehr breite, ovale oder nierenförmige Wurzelkanalsysteme von der jeweils äußersten Begrenzung mechanisch zu erweitern. Im Ergebnis entstehen zwei postoperative Wurzelkanäle, die eine breitflächige Reinigung und Desinfektion des Wurzelkanalsystems ermöglichen.
Angaben zu einer Mindestgröße von Wurzelkanälen, die eine mikrobielle Infektion und einen pathologischen Prozess ermöglichen, gibt es nicht. Tatsache ist jedoch, dass scheinbar obliterierte Wurzelkanäle immer noch um ein Vielfaches größer sind als pathologische Mikroorganismen (Abbildung 9).

Abweichungen von der Anatomie menschlicher Zähne können infolge einer vorangegangenen endodontischen Therapie oder infolge einer Anomalie auftreten. Anomalien werden in Makrodontie, Mikrodontie, Zahnkeimpaarung (Gemination), Zwillingsbildung (Schizodontie), Zahnverschmelzung (Synodontie, Fusion), Zahnverwachsung, Dens evaginatus und invaginatus unterschieden. Abweichungen in der Wurzelform werden als Wurzelfurchen und Wurzelteilungen beschrieben. Mit der Abweichung in der äußeren Form können auch Abweichungen in der Form und im Verlauf des Wurzelkanalsystems nachgewiesen werden [Schulze, 1987].
Obere Molaren
Während in anatomischen Studien je nach Studiendesign in mehr als 90 Prozent der oberen ersten Molaren vier und mehr Wurzelkanäle nachgewiesen wurden [Kulid & Peters, 1990; Stropko, 1999; Buhrley et al., 2002], gelingt es in den meisten zahnärztlichen Praxen nur mit speziellen Hilfsmitteln, den zweiten Anteil des mesiobukkalen Wurzelkanalsystems systematisch und reproduzierbar darzustellen und mechanisch zu erweitern. Infolgedessen wird von einem seltenen Behandlungsfall ausgegangen, wenn ein vierter Wurzelkanal mechanisch vollständig erweitert wurde. Tatsächlich handelt es sich jedoch um ein Ergebnis unzureichender optischer Vergrößerung und fehlender Ausleuchtung [Buhrley et al., 2002; Schwarze et al., 2002]. Der seltene Fall ist aber vielmehr das Auftreten von weniger oder mehr als vier Wurzelkanälen in einem dreiwurzeligen oberen ersten Molaren [Moral, 1915; Stropko, 1999].
Abweichend von der typischen Wurzelform eines dreiwurzeligen Molaren können auch ein-, zwei-, vier- oder fünfwurzelige Molaren beobachtet werden (Abbildung 2). Weitere akzessorische Wurzelkanäle können – bedingt durch die Produktion von Sekundär- und Tertiärdentin – sowohl in der mesiobukkalen Wurzel als auch in der distobukkalen oder in der palatinalen Wurzel auftreten (Abbildungen 10 und 11). 
Eine besondere Schwierigkeit ist das Auftreten x-förmiger Wurzelkanäle (Typ VI nach Vertucci) in der mesiobukkalen Wurzel oberer erster Molaren [Arnold & Paqué, 2010]. Die Konfluenz der beiden mesiobukkalen Wurzelkanäle MB1 und MB2 im mittleren Wurzeldrittel ist häufig ein Hinweis auf eine erneute Aufteilung im apikalen Wurzeldrittel. Das Erschließen des erneuten Abzweigs gelingt nach einer minimalinvasiven sonoabrasiven Präparation vom MB1 unter Nutzung eines Dentalmikroskops (Abbildungen 12 und 13). Seltener sind diese Aufteilungen an distobukkalen Wurzelkanälen zu beobachten (Abbildung 14).

Im Fall eines einwurzeligen oberen ersten und zweiten Molaren kann ein sogenanntes c-förmiges Wurzelkanalsystem auftreten. Diese – im Ergebnis einer unvollständigen Wurzelteilung entstandenen – Strukturen können von sich von bukkal nach palatinal erstrecken oder von mesial nach distal (Abbildungen 15 und 16).
Das Auffinden des MB2 bei oberen zweiten Molaren kann sich erheblich unterscheiden (Abbildung 3). Insbesondere bei bandförmigen Fusionen der mesiobukkalen und der palatinalen Wurzel bestehen mehrere Möglichkeiten des Wurzelkanalzugangs. So kann man auch in seltenen Fällen den zweiten mesiobukkalen Wurzelkanaleingang im koronalen Wurzeldrittel des palatinalen Wurzelkanals auffinden (Abbildungen 17 und 18, Abbildung 3).
Oft ist es nicht eine einzelne anatomische Problemstellung, die den Erhalt eines Zahnes schwierig gestaltet. Das gleichzeitige Auftreten von Obliterationen, starken Wurzelkanalkrümmungen, Verzweigungen und einer mikrobiellen Infektion erfordert neben Grundlagenwissen eine hohe Aufmerksamkeit und Erfahrung sowie kostenintensive technische Hilfsmittel für einen erfolgreichen Verlauf der Therapie (Abbildungen 19 und 20).

Diskussion
Das Wurzelkanalsystem als Teil des Endodonts ist die kleinste Struktur in der Mundhöhle, die einer mechanischen und chemischen Therapie unterzogen wird. Mit dem Wissen, dass es sich bei Wurzelkanälen lediglich um Dimensionen im Mikrometerbereich handelt, ist der Einsatz optischer Hilfsmittel und zusätzlicher koaxialer Lichtzufuhr aus heutiger Erkenntnis nicht mehr verzichtbar [AAE Position Statement, 2012; Perrin et al., 2014]. Wird das Dentalmikroskop zur Darstellung der Wurzelkanäle genutzt, gelingt das Auffinden mit bereits deutlich größerem Erfolg [Wolcott et al., 2005; Arnold, 2007].
Bleiben Wurzelkanäle oder große Anteile von Wurzelkanälen jedoch unbehandelt, besteht das Risiko persistierender intrakanalärer Infektionen, die symptomatisch oder asymptomatisch verlaufen können. Entscheidend dabei sind die Menge, die Pathogenität und die Virulenz der zurückbelassenen, möglicherweise in einem Biofilm organisierten Mikroorganismen [Ørstavik et al., 2008]. In einer retrospektiven klinischen Studie konnte in einem Beobachtungszeitraum über fünf Jahre an 5.616 oberen Molaren gezeigt werden, dass mit dem Auffinden des zweiten mesiobukkalen Wurzelkanals die Langzeitprognose verbessert werden kann [Wolcott, 2005]. Als Ursache für fortbestehende mikrobielle Infektionen werden Anastomosen zwischen den benachbarten Wurzelkanälen und Seitenkanäle mit separatem Kontakt zum Parodontium angenommen.
Die Auseinandersetzung mit der bisweilen sehr komplexen Anatomie des Wurzelkanalsystems soll den Zahnarzt keineswegs entmutigen – im Gegenteil: Mit mehr Wissen und Erfahrung können auch schwierige Fälle erfolgreicher therapiert werden. Die dreidimensionale Darstellung des Wurzelkanalsystems mithilfe der Computertomografie führt zu einem besseren Verständnis einer komplexen anatomischen Struktur und ermöglicht die Entwicklung neuer minimalinvasiver Behandlungstechniken. Die Indikation zur Anfertigung einer dentalen DVT-Aufnahme ist jeweils individuell zu bestimmen und orientiert sich am Nutzen für den Patienten [Schulze et al., 2013]. Präoperative DVT-Aufnahmen erhöhen die diagnostische Sicherheit und beeinflussen signifikant die Therapieentscheidung [Mota de Almeida et al., 2014]. Das Ermitteln der tatsächlichen Wurzelform und möglicher tiefer Aufzweigungen von Wurzelkanälen kann dann den Erfolg der Therapie positiv beeinflussen, wenn gleichzeitig die Informationen aus der dentalen DVT mit einer optischen Vergrößerung (Lupenbrille 6x oder Dentalmikroskop) am Patienten wieder aufgefunden werden können.
Angaben zur Prävalenz von Wurzelkanälen geben dabei eine Orientierung zur Möglichkeit einer Abweichung von der sogenannten Norm. Die Ermittlung der tatsächlichen Anatomie mit bewährten Methoden der klinischen Diagnostik in Form der intrakoronalen Befundaufnahme und Diagnostik (IKD) [Arnold et al., 2013] und modernen Möglichkeiten, zum Beispiel der dentalen DVT und dem Dentalmikroskop, bieten neue Chancen, natürliche Zähne langfristig zu erhalten.
Dipl.-Stom. Michael Arnold
Praxis für Endodontie und Zahnerhaltung
Königstr. 9, 01097 Dresden
endo.arnold@web.de
Dr. med. dent. Frank Paqué
Zentrum für Zahn-, Mund- und Kieferheilkunde Klinik für Präventivzahnmedizin, Parodontologie und Kariologie
Universität Zürich
und Praxis für Endodontologie
Rennweg 58
CH-8001 Zürich
Danksagung: Für die Herstellung und fotografische Dokumentation der transparenten Präparate der Abbildung 1 gebührt der herzlichste Dank Dr. Holm Reuver aus Neustadt/Weinstraße.
Literatur
1. AAE Special Committee to Develop a Microscope Position Paper. AAE Position Statement. Use of microscopes and other magnification techniques. J Endod 2012;38:1153-1155.
2. Arnold M. Das Dentalmikroskop - Grundlage für bewährte und neue Verfahren bei der Wurzelkanalbehandlung. Endodontie 2007;16:105-114.
3. Arnold M, Paqué F. Management X-förmiger Wurzelkanalkonfigurationen bei ersten Oberkiefermolaren. Endodontie 2010;19:399-409.
4. Arnold M, Friedrichs C, Tulus G, Verch S, Dennhardt H, Sanner F. Intrakoronale und intrakanaläre Diagnostik (IKD). Endodontie 2013;22:9-21.
5. Baumann M. Die räumliche Darstellung des Endodonts. München: Hanser, 1995.
6. Black GV. Descriptive anatomy of the human teeth. 4. ed., S.S. White Dental Manufacturing Co. Philadelphia, 1902.
7. Buhrley LJ, Barrows MJ, BeGole EA, Wenckus CS. Effect of magnification on locating the MB2 canal in maxillary molars. J Endod. 2002;28:324-327.
8. Carabelli G. Systematisches Handbuch der Zahnheilkunde. Wien: Baumüller und Seidel, 1844.
9. Hess W. Zur Anatomie der Wurzelkanaele des menschlichen Gebisses mit Beruecksichtigung der feineren Verzweigungen am Foramen apicale. Schweiz Vierteljrschr Zahnheilk 1917;27:1-53.
10. Hülsmann M, Schäfer E. „Good clinical practice“: Die Wurzelkanalbehandlung. Stellungnahme der DGZ und der DGZMK. Dtsch Zahnärztl Z 2005;60:418-423.
11. Klimm W. Endodontologie: Grundlagen und Praxis. Dt. Zahnärzte-Verl, 2003.
12. Kulild JC, Peters DD. Incidence and configuration of canal systems in the mesiobuccal root of maxillary first and second molars. J Endod 1990;16:311-317.
13. Moral H. Ueber das Vorkommen eines vierten Kanals in oberen Molaren. Österr-Ungar Vjschr Zahnheilk 1915; Heft 3:313-325.
14. Mota de Almeida FJ, Knutsson K, Flygare L. The effect of cone beam CT (CBCT) on therapeutic decision-making in endodontics. Dentomaxillofac Radiol 2014;43:20130137.
15. Michetti J, Maret D, Mallet JP, Diemer F. Validation of cone beam computed tomography as a tool to explore root canal anatomy. J Endod. 2010;36:1187-1190.
16. Ørstavik D, Pitt Ford TR. Apical periodontitis: microbial infection and host responses. In: Ørstavik D.,Pitt Ford TR (eds.)Essential Endodontology: prevention and treatment of apical periodontitis. 2nded., Blackwell Munksgaard, Oxford 2008.
17. Parkinson CR, Sasov A. High-resolution non-destructive 3D interrogation of dentin using X-ray nanotomography. Dent Mater. 2008;24:773-777.
18. Paqué F, Zehnder M, Marending M. Apical fit of initial K-files in maxillary molars assessed by micro-computed tomography. Int Endod J. 2010 Apr;43(4):328-35.
19. Patel S. New dimensions in endodontic imaging: Part 2. Cone beam computed tomography. Int Endod J 2009;42:463-475.
20. Perrin P, Neuhaus KW, Lussi A. The impact of loupes and microscopes on vision in endodontics. Int Endod J 2014;47:425-429.
21. Radlanski RJ. Orale Struktur- und Entwicklungsbiologie. Quintessenz, Berlin 2011.
22. Reuver H. Transparentmachen von Zähnen zur Analyse von Wurzelkanalbehandlungen. In: Hülsmann M, Schäfer E: Probleme in der Endodontie. 2. Auflage, Quintessenz Verlag, Berlin, im Druck
23. Schroeder HE. Pathobiologie oraler Strukturen. 3. Auflage, Karger, Basel, 1997.
24. Schulze C. Anomalien und Missbildungen der menschlichen Zähne. Quintessenz, Berlin, 1987.
25. Schulze R, Ahlers O, Appel T, Bargholz C, Betz W, Beuer F, Braumann B, Deppe H, Edelhoff D, Eickholz P, Haßfeld S, Hirsch C, Hirschfelder U, Jacker-Guhr S, Ritter L, Terheyden H. Dentale Digitale Volumentomographie. S2k-Leitlinie. Verfügbar: www.dgzmk.de/uploads/tx_szdgzmkdocuments/083-005l_S2k_Dentale_Volumentomographie_2013-10.pdf
26. Schwarze T, Baethge C, Stecher T, Geurtsen W. Identification of second canals in the mesiobuccal root of maxillary first and second molars using magnifying loupes or an operating microscope. Aust Endod J 2002;28:57-60.
27. Sert S, Bayirli GS. Evaluation of the root canal configurations of the mandibular and maxillary permanent teeth by gender in the Turkish population. J Endod 2004;30:391-398.
28. Stropko JJ. Canal morphology of maxillary molars: clinical observations of canal configurations. J Endod 1999;25:446-450.
29. Thomas RP, Moule AJ, Bryant R. Root canal morphology of maxillary permanent first molar teeth at various ages. Int Endod J 1993;26:257-267.
30. Vertucci FJ. Root canal anatomy of the human permanent teeth. Oral Surg 1984;58:589-599.
31. Wolcott J, Ishley D, Kennedy W, Johnson S, Minnich S, Meyers J. A 5 yr clinical investigation of second mesiobuccal canals in endodontically treated and retreated maxillary molars. J Endod 2005;31:262-264.


















