Verzögert progredientes Orbitahämatom als behandlungsbedürftiger Notfall
Eine 48-jährige Frau wurde nach einem Sturzereignis durch den Rettungsdienst in die chirurgische Notaufnahme der Universitätsmedizin Mainz eingeliefert. Fremdanamnestisch ließ sich ein Inlineskate-Unfall mit Aufprall auf den Hinterkopf eruieren. Zum Zeitpunkt der Untersuchung litt die Patientin unter einer retro- sowie anterograden Amnesie zum Unfallereignis, zusätzlich gab sie Übelkeit, Erbrechen, Schwindel sowie einen beidseitigen Tinnitus an.
Die klinische Inspektion des Neurokraniums zeigte eine okzipitale Platzwunde von etwa 3 cm mit einem Kalottenklopfschmerz in derselben Region. Im Bereich des Viszerokraniums zeigten sich keine tastbaren Knochenstufen oder Sensibilitätsstörungen. Eine Rhinoliquorrhoe könnte bei bestehender Epistaxis ausgeschlossen werden. Die Pupillen stellten sich in der Initialuntersuchung der Patientin isokor und sowohl direkt als auch indirekt lichtreagibel dar. Eine Visusminderung oder eine Bulbusmotilitätsstörung bestanden ebenfalls nicht.
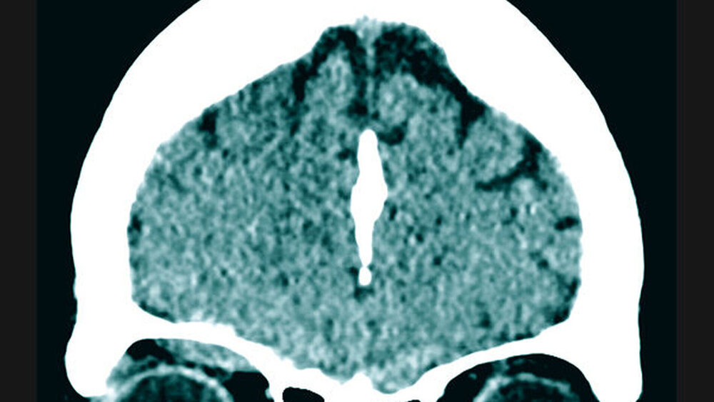
Zur weiteren Diagnostik erfolgte die Anfertigung einer Computertomografie des Schädels. Hier zeigte sich neben einem rechtsseitig temporalen Epiduralhämatom und einer Felsenbeinfraktur ein subperiostal gelegenes Orbitahämatom ohne Zeichen einer Optikuskompression (Abbildung 1). Eine Mitbeurteilung durch die ophthalmologischen Kollegen der Universitätsmedizin ergab keinen akuten Interventionsbedarf.
In der Zusammenschau der Befunde wurde sich in enger Absprache zwischen der Patientin, dem behandelnden Neurochirurgen und dem zuständigen Mund-, Kiefer- und Gesichtschirurgen zunächst für ein konservatives Therapieregime mit engmaschiger Überwachung der Glasgow-Koma-Skala, stündlichen Visuskontrollen und einer erneuten Verlaufscomputertomografie entschieden. Die Re-Computertomografie nach vier Stunden zeigte einen stabilen Befund sowohl des Epiduralhämatoms als auch des Orbitahämatoms, so dass auch nach erneuter Bildgebung und weiterhin fehlender klinischer Symptomatik der Patientin keine Indikation zu einer chirurgischen Intervention notwendig war.
Fazit für die Praxis
Einblutungen im Bereich der Orbita können durch ein Trauma, iatrogen oder durch systemische Erkrankungen hervorgerufen werden.
Orbitahämatome können akut oder mit einer Latenzzeit von mehreren Tagen nach einem Trauma auftreten.
Die Kompression des orbitalen Kompartiments ist ein bedrohliches Krankheitsbild, das unbehandelt zur Erblindung des Patienten führen kann.
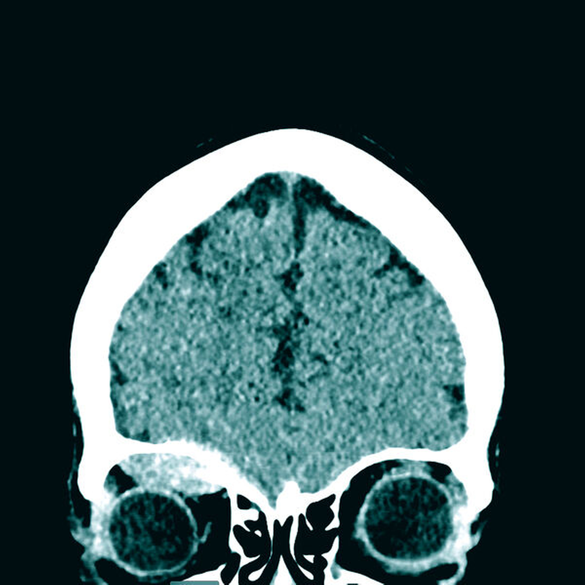
Im Laufe des Folgetages berichtete die Patientin über ein progredientes Druckgefühl im Bereich der rechten Orbita. Eine erneute Inspektion zeigte einen Exophthalmus (Abbildung 2) sowie eine Motilitätsstörung des rechten Auges beim Blick nach oben. Eine erneute Computertomografie zeigte ein in der Größe deutlich zunehmendes Hämatom im Bereich des rechten Orbitadachs mit einer Verdrängung des Musculus rectus superior nach kaudal (Abbildung 3). Nun bestand die notfallmäßige Indikation zur chirurgischen Intervention mittels chirurgischer Dekompression.
Nach ausführlicher Aufklärung der Patientin wurde der Eingriff kurze Zeit später notfallmäßig durchgeführt. Hierbei erfolgte der Zugang zur Orbita transpalpebral im Oberlid im Bereich der natürlichen Lidfalte (Abbildung 4). Nach vorsichtiger stumpfer Präparation auf den Orbitarand konnte das Hämatom nach weiterer subperiostaler Präparation im Bereich des Orbitadachs entlastet werden (Abbildung 5). Bereits unmittelbar nach der initialen Entlastung zeigte sich eine Regredienz des Exophthalmus. Zur Sicherstellung der Dekompression wurde eine Silikondrainage eingeführt und fixiert (Abbildung 6).
Die klinischen Symptome waren bereits wenige Stunden nach der Operation regredient. Eine postoperative Bildgebung bestätigte den Rückgang des Hämatoms. Am dritten postoperativen Tag konnte die Silikondrainage entfernt und die Patientin bei Symptomfreiheit und Rückgang des Epiduralhämatoms entlassen werden.
Diskussion
Knöcherne und weichgewebliche Verletzungen der Orbita treten häufig bei Mittelgesichtstraumata, selbst bei nur geringer Krafteinwirkung, auf [Goedecke et al., 2019]. Die dünne Knochenstruktur im Bereich des Orbitabodens zeigt eine hohe Anfälligkeit für Frakturen, infolge derer es zu Einblutungen oder Einklemmungen kommen kann. Etwa 25 Prozent aller Patienten mit einer Orbitafraktur zeigen Zeichen von visuellen Einschränkungen. Schon geringe intraorbitale Volumenzunahmen können zu einer Erhöhung des intraorbitalen Drucks führen. Dies kann zu einer Kompression des Nervus opticus mit einer dauerhaften Visuseinschränkung oder gar Visusverlust führen [Kämmerer und Saka, 2019]. So wird in der Literatur angegeben, dass es bei 0,3 bis 4 Prozent aller Gesichtsverletzungen zu einem retrobulbären Hämatom kommt, das in bis zu 0,14 Prozent der Fälle zu einer permanenten Erblindung führt [Fattahi et al., 2014].
Neben traumatisch bedingten Verletzungen, zu denen auch iatrogene Verletzungsmuster beispielsweise nach Kieferhöhleneingriffen zählen [Goshtasby et al., 2010], können auch nicht-traumatische Ursachen wie Tumore, medikamentöse Therapien oder systemische Erkrankungen wie Störungen des hämorrhagischen Systems eine Einblutung im Bereich der Orbita hervorrufen [Van de Voorde et al., 2019]. Gerade ältere Patienten mit einem erhöhten Sturzrisiko und häufig begleitender Antikoagulation weisen ein höheres Risiko für periorbitale Blutungskomplikationen auf.
Zu den spezifischen Symptomen eines intraorbitalen Hämatoms zählen ein (oft schmerzhafter) Exophthalmus, herabgesetzte Reflexe und eine Visuseinschränkung mit möglicher Progredienz im Verlauf. Unspezifische, aber ebenfalls typische Symptome sind Schmerzen, Chemosis mit oder ohne konjunktivale Beteiligung sowie ein Monokelhämatom.
Eine initiale klinische Diagnose wird im akuten Stadium durch eine radiologische Bildgebung mittels Computertomografie erleichtert [Seigel et al., 1982]. Kleinere Hämatome ohne klinische Symptomatik können zunächst konservativ therapiert werden. Dies beinhaltet neben engmaschigen Visuskontrollen die medikamentöse Therapie mittels Steroiden, Antibiotika und bei Bedarf osmotisch wirksamer Medikamente.
Progrediente Verläufe oder größere Hämatome bedürfen als akute Notfallsituation mit der Gefahr einer möglichen Erblindung in der Regel einer zusätzlichen chirurgischen Dekompression. Eine frühzeitige Dekompression der Orbita korreliert dabei mit einem besseren klinischen Outcome der Patienten [Gocer et al., 1996; Kämmerer und Saka, 2019]. Der Zugang kann hierbei je nach Lokalisation des Hämatoms offen transkonjunktival, offen transpalpebral, endonasal oder in seltenen Fällen durch Feinnadelaspiration erfolgen [Hislop et al., 1996]. Ein offener Zugang ermöglicht hierbei neben der Ausräumung des Hämatoms ebenfalls die Inspektion der Orbita mit der Darstellung und Beseitigung einer möglichen Blutungsquelle sowie die Eröffnung weiterer Kompartimente zur Entlastung des intraorbitalen Drucks.
Hämatome im Bereich der Orbita können nach einem Trauma sofort oder mit Verzögerung von einigen Tagen auftreten. Das Krankheitsbild mit der akuten Gefahr der Erblindung bedarf daher einer raschen Diagnose und angemessener rechtzeitiger Therapie, da die beste Prognose bei einer Intervention in den ersten zwei Stunden nach Auftreten des Hämatoms zu erwarten ist [Soare et al., 2015; Kämmerer und Saka, 2019].
Dr. Philipp Matheis
Klinik und Poliklinik für Mund-, Kiefer- und Gesichtschirurgie, Plastische Operationen
Universitätsmedizin Mainz, Augustusplatz 2, 55116 Mainz
philipp.matheis@unimedizin-mainz.de
Univ.-Prof. Dr. Dr. Peer W. Kämmerer, MA, FEBOMFS
Leitender Oberarzt und stellvertretender Klinikdirektor Klinik und Poliklinik für Mund-, Kiefer- und Gesichtschirurgie, Plastische Operationen
Universitätsmedizin Mainz, Augustusplatz 2, 55131 Mainz
Literaturliste
Fattahi, T., K. Brewer, A. Retana and M. Ogledzki (2014). „Incidence of retrobulbar hemorrhage in the emergency department.“ J Oral Maxillofac Surg 72: 2500-2502.
Gocer, A. I., F. Ildan, S. Haciyakupoglu, M. Tuna, H. Bagdatoglu, S. Polat, E. Cetinalp and K. Aksoy (1996). „The effect of immediate decompression on the optic nerve in retrobulbar hematoma.“ Neurosurg Rev 19(3): 169-173.
Goedecke, M., D. G. E. Thiem, D. Schneider, B. Frerich and P. W. Kämmerer (2019). „Through the ages-Aetiological changes in maxillofacial trauma.“ Dent Traumatol 35(2): 115-120.
Goshtasby, P., R. Miremadi and R. Warwar (2010). „Retrobulbar hematoma after third molar extraction: case report and review.“ J Oral Maxillofac Surg 68(2): 461-464.
Hislop, W. S., G. N. Dutton and P. S. Douglas (1996). „Treatment of retrobulbar haemorrhage in accident and emergency departments.“ Br J Oral Maxillofac Surg 34(4): 289-292.
Kämmerer, P. W. and B. Saka (2019). „Der besondere Fall mit CME: Kompartmentsyndrom der Orbita – Retrobulbärhämatom nach Trauma.“ Zahnärztliche Mitteilungen 109(20): 74-76.
Seigel, R. S., A. G. Williams, J. W. Hutchison, J. R. Wolter, T. J. Carlow and D. E. Rogers (1982). „Subperiosteal hematomas of the orbit: angiographic and computed tomographic diagnosis.“ Radiology 143(3): 711-714.
Soare, S., J. M. Foletti, A. Gallucci, C. Collet, L. Guyot and C. Chossegros (2015). „Update on orbital decompression as emergency treatment of traumatic blindness.“ J Craniomaxillofac Surg 43(7): 1000-1003.
Van de Voorde, N., P. M. Parizel and S. Dekeyzer (2019). „Subperiosteal Orbital Hematoma: Imaging Findings of a Rare Complication of Sickle Cell Disease: Subperiosteal orbital hematoma is a rare entity mainly seen in pediatric patients with sickle cell disease and occurs secondary to local vascular disturbances following facial bone infarction.“ J Belg Soc Radiol 103(1): 40.










