Dermoidzyste bei einem Neugeborenen
Im Juni 2021 wurde der damals 27 Tage alte Junge, der von der Kinderklinik des Universitätsklinikums Erlangen überwiesen wurde, erstmalig in unserer Hochschulambulanz vorstellig. Nebendiagnostisch wies der sonst gesunde Patient eine Beckenniere auf.
Auf dem Nasenrücken des Säuglings war eine circa 7 mm große, rundlich-zystische und gelblich schimmernde Formation auffällig. Die Formation war prall-elastisch tastbar und nicht verschieblich. Diese Raumforderung sei bereits bei der Geburt auffällig gewesen, zu diesem Zeitpunkt allerdings als „markante Nase“ oder Pickel unbeachtet gelassen worden (Abbildung 1).
Im Verlauf zeigte sich die Läsion deutlich größenprogredient (Abbildungen 2 und 3), weshalb bereits in der Kinderklinik mehrere sonografische Untersuchungen durchgeführt wurden. Hier konnte eine klar abgegrenzte zystische Raumforderung dargestellt werden, wodurch ein Anhalt auf Malignität oder ein Verdacht auf eine Meningomucozele ausgeschlossen werden konnte. Aufgrund der raschen Größenzunahme, der Gefahr der Ruptur und der Dignitätssicherung entschlossen wir uns zur zeitnahen operativen Entfernung der Raumforderung.
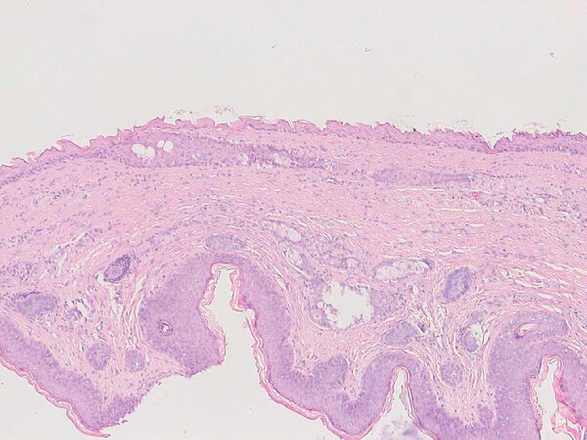
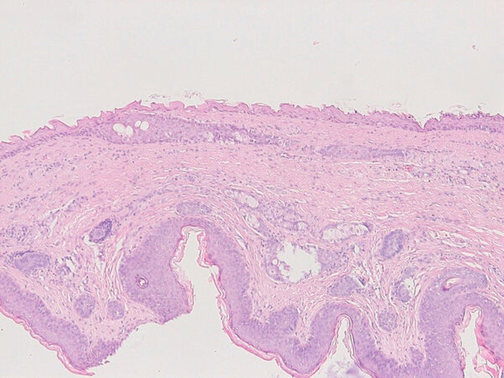
Zwei Wochen nach der Erstvorstellung erfolgte die komplikationslose Resektion in Intubationsnarkose (Abbildung 4). Im histologischen Bild sieht man eine vollständig entfernte Dermoidzyste (Abbildung 5). Bei der Nahtentfernung in Sedierung eine Woche nach der operativen Intervention wurde zeitgleich zum sicheren Ausschluss einer Meningomucozele und weiterer Pathologien eine Magnetresonanztomografie durchgeführt. Hierbei waren keine Residuen der Dermoidzyste sowie keine Fistelung nach intrakraniell auffällig. In den klinischen Nachkontrollen zeigten sich regelhafte und reizlose Wundverhältnisse (Abbildung 6).
Diskussion
Die Dermoidzyste ist ein benigner embryonaler Tumor ektodermaler Herkunft. Sie zählt zu den angeborenen kraniofazialen Raumforderungen der Mittellinie, die mit einer Inzidenz von 1:20.000 bis 1:40.000 eher zu den seltenen Entitäten zählen. Die Dermoidzyste ist mit 61 Prozent die häufigste kraniofaziale Raumforderung der Mittellinie [Moses et al., 2015].
Dermoidzysten bestehen seit Geburt und zeigen sich klinisch als subkutane Zysten. Meist manifestieren sie sich im Mittel zwischen dem 14. und dem 34. Lebensmonat [Zapata und Kearns, 2006]. Die Lokalisationen können vielfältig sein: So treten Dermoidzysten neben der Haut im Bereich der Nasenwurzel, in der Orbita, im ventralen Halsbereich auch im Mundboden, im Ovar oder im zentralen Nervensystem auf. Sie können im frontonasalen Bereich je nach Lage in vier Gruppen eingeteilt werden [Ni et al., 2020] (Tabelle 1).
In der Regel sind Dermoidzysten asymptomatisch, können allerdings bei Ruptur je nach Lokalisation Entzündungen wie Zellulitiden, Osteomyelitiden oder Meningitiden induzieren. Zudem ist eine maligne Transformation möglich [Ni et al., 2020].
Entwicklungsgeschichtlich entstehen Dermoidzysten aus Gewebe, das während der Embryonalentwickung versprengt wird. Deshalb können Dermoidzysten vielerlei Gewebsanteile aller Keimblätter enthalten, wie beispielsweise Hautanhangsgebilde, Zähne, Haare und Knochen. Sie besitzen zudem eine derbe Kapsel, die mit teigiger Masse gefüllt ist. Eine genetische Prädisposition und ein Zusammenhang mit kraniofazialen Fehlbildungen werden derzeit diskutiert [Van Wyhe et al., 2016; Rodrigues et al., 2017; Cajozzo et al., 2019].
Die Therapie der Wahl stellt die vollständige Exzision dar. Hierbei muss immer berücksichtigt werden, dass Verbindungen zu tieferliegenden Strukturen bestehen können, weshalb eine bildgebende Diagnostik wie sonografische oder magnetresonanztomografische Untersuchungen im Voraus obligat sind [Zerris et al., 2002; Ni et al., 2020].
Differenzialdiagnosen angeborener kraniofazialer Raumforderungen der Mittellinie sind in Tabelle 2 dargestellt [Van Wyhe et al., 2016].
Fazit für die Praxis
Raumforderungen im Bereich der frontonasalen Basis können bei Patienten im Kleinkind-, im Jugend- wie auch im frühen Erwachsenenalter auftreten. Neben Enzephalozelen können sich dahinter auch Dermoidzysten oder Gliome verbergen, dies sollte durch eine weiterführende Diagnostik (Sonografie, MRT) abgeklärt werden. Im Rahmen von zahnärztlichen Behandlungen und Kontrollen empfiehlt es sich, beim Vorliegen solcher Befunde die Patienten frühzeitig fachärztlich anzubinden.














