Diagnostik, Dokumentation und Nachsorge
Die Prävalenz des dentalen Traumas wird in nahezu allen Altersgruppen unabhängig von der Region weltweit mit circa 25 bis 30 Prozent als hoch angegeben [Bastone et al. 2000; Glendor 2008; Glendor 2009]. Die Inzidenz bis zum Alter von etwa 35 Jahren wird auf bis zu 20 Prozent geschätzt. In Deutschland wird über ähnliche Häufigkeiten mit einer Prävalenz von sechs bis 38 Prozent im Kindes- und Jugendalter berichtet. Die durch Verletzungen der Zähne bedingten jährlichen Krankheits- und Folgekosten liegen in Deutschland schätzungsweise bei 200 bis 550 Millionen Euro, wobei die Unfallzahlen mit Zahnverletzungen stetig steigen. Im Jahr 2020 hat die International Association of Dental Traumatology (IADT) zum vierten Mal (nach 2001, 2007 und 2012) die Trauma Guidelines aktualisiert [Bourguignon et al., 2020; Day et al., 2020; Fouad et al., 2020; Levin et al., 2020]. 2021 hat die European Society of Endodontology (ESE) ein Position Statement zum endodontischen Management nach Zahntrauma veröffentlicht [Krastl et al. 2021]. Die erste DGZMK-Leitlinie „Therapie des dentalen Traumas bleibender Zähne“ wurde 2015 publiziert. Diese S2k-Leitlinie konnte 2022 nach den Regularien der Arbeitsgemeinschaft der Wissenschaftlichen Medizinischen Fachgesellschaften (AWMF) unter Beteiligung zahlreicher Fachgesellschaften und Institutionen grundlegend aktualisiert und ergänzt werden [AWMF, 2022].
Was gibt es Neues?
Mit der Aktualisierung der Leitlinie wurden zahlreiche Änderungen und Ergänzungen vorgenommen:
Spezifizierung der Nomenklatur der Dislokationsverletzungen in Anlehnung an die internationale Terminologie
Gewichtung der fotografischen Dokumentation
Darstellung von Risikofaktoren und Empfehlungen zur Prävention von Zahnunfällen
Aktualisierte Vorgehensweise bei der Erstversorgung von Kronenfrakturen mit Pulpabeteiligung
Revitalisierung als regenerative Therapiemöglichkeit bei Pulpaverlust an Zähnen mit nicht abgeschlossenem Wurzelwachstum
Spezifische Empfehlungen zur Primärversorgung sowie langfristigen Restauration von Kronen-Wurzel-Frakturen
Erläuterungen zur Schienung nach Dislokationsverletzungen und Alveolarfortsatzfraktur inklusive Tabelle mit Schienungsdauern
Differenziertes Vorgehen bei der Versorgung von Intrusionsverletzungen in Abhängigkeit vom Wurzelwachstum
Vereinfachung der Empfehlung zur Bewertung der Prognose nach Avulsionsverletzungen
Klinisches Hilfsmittel zur quantitativen Abschätzung der erwarteten vertikalen Infraposition von Zähnen bei Ankylose
Ausführliche Darstellung der Therapieoptionen bei posttraumatischer Ankylose und Zahnverlust
Aktualisiertes Glossar zu Heilungsvorgängen und Heilungsstörungen
Klassifikation
Als Zahntrauma (dentales Trauma) wird die akute mechanische Verletzung von Zähnen und deren benachbarten Strukturen bezeichnet. Nach der aktuellen IADT-Klassifikation erfolgt die Einteilung dentaler Traumata in Frakturen („tooth fractures“) und Luxationsverletzungen („luxations“ beziehungsweise „luxation injuries“) [Bourguignon et al., 2020]. Im deutschen Sprachraum und auch in der vorliegenden Leitlinie wird anstelle der Luxation gemäß IADT aktuell der Begriff Dislokation verwendet, entsprechend dem Terminus „displacement“. Tabelle 1 fasst die Klassifikation der Zahnverletzungen zusammen.
Empfehlungen zur klinischen Diagnostik
Die klinische Untersuchung umfasst vergleichende Anamnese, Inspektion, Palpation, Perkussion, Sensibilitätstest und Okklusionsprüfung.
Vergleichende Anamnese: Die Schilderung des Unfallhergangs liefert wichtige Hinweise darauf, welche Verletzungsart überhaupt infrage kommt (Abbildung 1). Widersprechen die klinischen Befunde der Anamnese, sollten bildgebende Verfahren (Foto, Röntgen) aus forensischen Gründen verstärkt zum Einsatz kommen. Fehlen offenbar Zähne oder Zahnfragmente sollte nach deren Verbleib gefragt werden, da ein Reattachment oder eine Replantation die Versorgung erleichtern kann.
Intraorale Inspektion: Nach horizontaler Lagerung, entsprechender Ausleuchtung, vorsichtigem Absaugen von Speichel und Blut und gegebenenfalls einer initialen Anästhesie erfolgt die Inspektion der gesamten Mundhöhle (von innen nach außen) mit anschließender Einschätzung der Ausdehnung des Verletzungsareals. Der daraus folgende Bereich für die detaillierte Befundung sollte so gewählt werden, dass der erste vermeintlich unverletzte Zahn beidseits des Areals mit erfasst wird. Um auch weniger auffällige Verletzungen nicht zu übersehen, empfiehlt es sich, ein und denselben Aspekt (zum Beispiel Zahnhartsubstanz) bei allen zu untersuchenden Zähnen in einem Durchgang zu evaluieren und auch gleich zu notieren. Folgende Aspekte werden bei der intraoralen Inspektion erfasst:
Hygienezustand (chronisch mangelhafte oder akut ausgesetzte Mundhygiene, floride Karies, Zahnstein, Parodontitis)
Zahnhartsubstanz: Infraktionen, Schmelz- und Schmelz-Dentin-Frakturen, Kronen-Wurzel-Frakturen, vorbestehende Restaurationen, vorbestehende oder frische Verfärbungen, fehlende Zähne mit korrespondierenden leeren Alveolen oder teilweise leeren Alveolen mit Wurzelresten, beschädigte Prothesen
Pulpa: traumatische Eröffnung, bläuliche Verfärbung pulpanaher Frakturflächen bei Zirkulationsstörung
Zahnstellung/Dislokation (typische Verletzungsbilder bei Lockerung, Extrusion, lateraler Dislokation, Fraktur des bezahnten Alveolarfortsatzes, Intrusion)
Knochen: exponiert/frakturiert
Gingiva: Sulcusblutung, Ruptur von Papillen, vertikale Risse, Quetschung und Dysadaptation sind Hinweisgeber auf bestimmte dentoalveoläre Verletzungen. Perforierende Lippenverletzungen können Fremdkörper, insbesondere Zahnfragmente beinhalten.
Not- und Vorbehandlungen
Extraorale Inspektion: Sie umfasst die Inspektion des Weichgewebes (Haut, Lippen) sowie des Hartgewebes (Knochen). Bei der Inspektion des Weichgewebes ist auf perforierende Verletzungen etwa durch Fremdkörper oder Zahnfragmente, Riss-, Quetsch-, Platz-, Schürfwunden sowie anderweitige Verletzungen zu achten. Die Inspektion des Hartgewebes sollte das Augenmerk richten auf Dislokationen/Deformationen, tastbare Stufen sowie abnorme Beweglichkeit (eventuelle Krepitation). Besondere klinische Bedeutung haben die Prüfung der Kieferöffnung/Unterkieferbeweglichkeit sowie das Vorliegen einer Okklusionsstörung, die oftmals einen Hinweis auf ein Frakturgeschehen gibt.
Die Palpation dient der Erfassung der Mobilität und Auslenkbarkeit eines Zahns in eine bestimmte Richtung sowie der Beweglichkeit mehrerer Zähne in einem Block. Ein koronal auffällig auslenkbarer Zahn kann eine Wurzelfraktur signalisieren.
Perkussion: BeiPerkussionsempfindlichkeit, etwa bei einer Konkussion, müssen Bezirke im parodontalen Ligament vorliegen, in denen der Gewebsdruck erhöht ist – mit einem leichteren Ansprechen der Pressorezeptoren, was ein Mindestmaß an intakten Sharpey’schen Fasern erfordert. Je mehr Fasern rupturiert sind, desto geringer ist somit die Perkussionsempfindlichkeit. Ein dumpfer Schall liegt bei einer Lockerung vor, indem das Blutkoagel als Polster wirkt. Hoher, metallischer Schall weist auf eine Verklemmung der Wurzel im Knochen hin, zum Beispiel nach Intrusion oder lateraler Dislokation (Abbildung 2).
Der Sensibilitätstest dient im Rahmen der Erstuntersuchung nur der groben Orientierung als Ausgangspunkt für Verlaufskontrollen. Es kommen primär Eisspray oder CO2-Schnee zum Einsatz.
Die Okklusionsprüfung stellteine einfacheUntersuchungstechnik mit hohem diagnostischem Wert dar, erlaubt sie doch neben der Feststellung einer eingeschränkten Mundöffnung das sofortige Erkennen einer Störung der Okklusion, die wiederum auf eine Dislokation von Zähnen oder ein Frakturgeschehen zurückgeführt werden kann. Der Aufbiss-Schmerz ist diagnostisch hinweisend auf eine Kronen-Wurzel-Fraktur, Konkussion oder Lockerung.
Häufige Befundkonstellationen
Traumatische Lockerungen resultieren aus Sturz oder Zusammenstoß. Neben der typischen Sulcusblutung ist der Zahn fühlbar gelockert und zumeist auch geringgradig extrudiert. Die Gingiva kann im Aufprallbereich gequetscht sein. Oft haben schon die Lippen den Schlag abgefangen mit entsprechender Schwellung als Folge. Perkussionsempfindlichkeit und negativer Sensibilitätstest sind mögliche Begleitsymptome.
Extrusionstraumata betreffen gerne Zähne vor Ende des Wurzelwachstums. Sie können mit großen Blutkoageln behaftet sein, die eine unstillbare Blutung vortäuschen. In Wahrheit lockert der weit aus der Alveole ragende und durch Lippen- und Zungendruck bewegte Zahn laufend das Blutkoagel und verhindert dadurch die Hämostase. Nach Reposition und Schienung findet sich ein Bild, das der traumatischen Lockerung entspricht. Die Sensibilität ist negativ und es ist keine Perkussionsempfindlichkeit feststellbar.
Eine Laterale Dislokation ist immer Folge einer Einwirkung, die den Zahn mitsamt bukkaler Knochenlamelle zu dislozieren vermag, zum Beispiel Faustschlag, Ellbogencheck, Radsturz oder Skateboard-Unfall. Der Zahn ist zumeist nach oral verlagert und behindert die Okklusion. Die vestibuläre Gingiva kann vom Zahn gelöst sein, die orale ist gequetscht. Oftmals sind eine oder beide Papillen rupturiert. Der Zahn ist immobil, nicht perkussionsempfindlich und desensibel. „Begleitende“ Kronen- oder Wurzelfrakturen verdeutlichen das Bild eines schwer beschädigten Zahnes.
Die häufigsten Gründe für eine traumatische Intrusion sind Unfälle auf Wasserrutschen oder mit dem Fahrrad. Hierbei wird der Zahn axial in den Alveolarknochen getrieben, bis er steckenbleibt. Häufig geht das mit einer Kronenfraktur einher. Der Zahn ist deutlich verkürzt, was durch die Kronenfraktur verschleiert sein kann (Abbildung 2). Der Alveolarknochen ist aufgetrieben, die Papillen sind rupturiert, die Gingiva zeigt eventuell einen vertikalen Entlastungsriss und ist besonders palatinal dysadaptiert. Der Zahn ist immobil, desensibel und nicht perkussionsempfindlich, der Schall ist hoch und metallisch wie bei einer Ankylose.
Frakturen des bezahnten Alveolarfortsatzes ergeben sich aus massiven Krafteinwirkungen wie bei Verkehrsunfällen oder Stürzen mit dem Mountainbike. Zwei oder mehrere Zähne sind mitsamt Zahnbett en bloc disloziert. Wegen der Fraktur auch der Interdentalsepten und der palatinalen Alveolenwand ist der Block jedoch individuell verkeilt oder in toto locker. Vertikale Gingivarisse markieren die Ausdehnung des Blocks, eine Okklusionsstörung ist meist obligat.
Empfehlungen zur radiologischen Diagnostik
Bei Verdacht auf das Vorliegen eines dentalen Traumas spielt die Anamneseerhebung zur Abschätzung der Schwere des vermuteten Traumas eine zentrale Rolle für die Festlegung der weiteren Diagnostik. So wird ein Hochgeschwindigkeits-Sturz vom Rennrad eher eine weiterführende Diagnostik mit zusätzlichen zwei- oder dreidimensionalen Aufnahmen von Kiefer- und Schädelknochen verlangen, während ein Sturz im häuslichen Umfeld meist mit einer intraoralen Zahnfilmaufnahme ausreichend diagnostiziert werden kann.
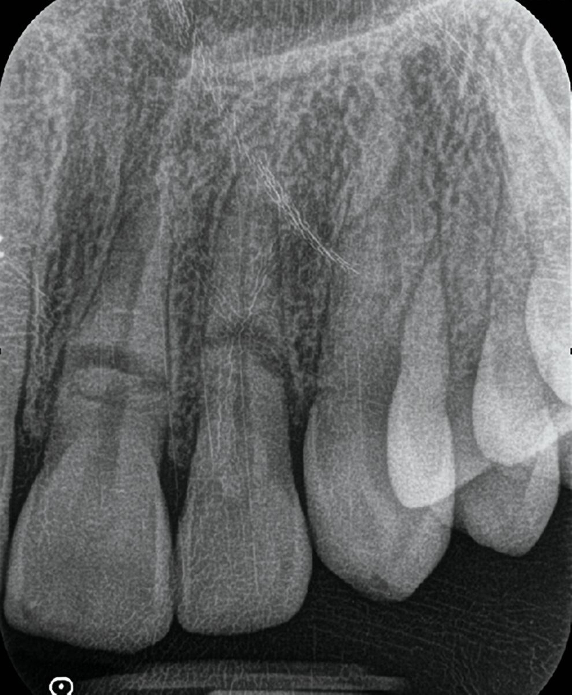
In den meisten Fällen ist die intraorale Zahnfilmaufnahme das diagnostische Mittel der ersten Wahl, da sie eine ausgezeichnete Darstellung von Verletzungen der Zahnkrone, Zahnwurzel sowie begleitenden Knochen- und Parodontalstrukturen bei hoher Auflösung ermöglicht (Abbildung 3). Bei Gefahr der Aspiration von Zahnteilen, etwa durch das Einbringen des Zahnfilmhalters, stellt in praxi die Durchführung eines OPGs als Übersichtsaufnahme eine gute Alternative dar, die den traumatisierten Patienten weniger belastet und zusätzlich einen guten Überblick über die Dislokation von Zähnen oder Zahnfragmenten erlaubt.
Je nach klinischem Befund und je nach Fragestellung können folgende Verfahren zur Anwendung kommen:
Intraorale Aufnahme (Einzelzahnaufnahme, Zahnfilm)
Zahn-/Wurzelfrakturen
Dislokation von Zähnen oder Zahnfragmenten
Integrität der Knochen- und Parodontalstrukturen (zum Beispiel Veränderung von Form und Verlauf des Parodontalspalts)
Stadium der Wurzelentwicklung, Größe des Pulpenkavums
Externe und interne Resorptionen, apikale Aufhellungen (apikale Parodontitis, laterale Parodontitis)
Okklusalaufnahme (Aufbissaufnahme)
Zahn-/Wurzelfrakturen
Dislokation von Zähnen oder Zahnfragmenten
Größeres Volumen bei tiefen Verletzungen zum Ausschluss von Fremdkörpern im Weichgewebe
Panoramaschichtaufnahme (PSA, OPG)
Kiefer-/Gelenkfrakturen
Dislokation von Zähnen oder Zahnfragmenten (Empfehlung 4)
Im Einzelfall können zusätzlich dreidimensionale Röntgenverfahren zur Anwendung kommen, wenn therapeutisch relevante Informationen aufgrund von Anamnese oder Befund dringend benötigt werden (Abbildung 4). Allerdings muss bei Kindern diese Entscheidung kritisch abgewogen werden, da deren Gewebe deutlich empfindlicher auf die Wirkungen ionisierender Strahlung reagieren. Kinder unter zehn Jahren haben eine dreifach höhere Wahrscheinlichkeit für strahleninduzierte stochastische Effekte als 30-Jährige [Horner et al., 2004].

Im Unterschied zum DVT (Digitale Volumentomografie) erlaubt das CT (Computertomografie) neben der beiden Verfahren gemeinsamen Darstellung von Kiefer-/Gelenkfrakturen und dislozierten Zähnen oder Zahnfragmenten zusätzlich die Detektion und Lokalisation von Fremdkörpern im Weichgewebe sowie die weiterführende Diagnostik bei Verdacht auf das Vorliegen von Schädel-Hirn-Verletzungen. Bei vorliegender Indikation sollte das DVT dem Standard-CT aufgrundder niedrigeren Strahlenbelastung vorgezogen werden (Empfehlung 5).
Empfehlungen zur Dokumentation
Trotz des Zeitmangels im Behandlungsalltag und der fachlichen Herausforderungen durch komplexe Verletzungsmuster ist es entscheidend, sowohl klinische als auch radiologische Befunde systematisch zu erheben und mit großer Sorgfalt zu dokumentieren. Gerade die Informationen vom Unfalltag sind von großem Wert für die Folgebehandler, um die optimale Behandlungsstrategie zu wählen und die Prognose einzelner Zähne zu bewerten. Zu einem späteren Zeitpunkt können viele Parameter oft nicht mehr nachvollzogen werden.
Befundbogen
Da eine lückenlose Dokumentation die Grundlage für jede weitere Therapie bildet, stellen die Deutsche Gesellschaft für Zahn-, Mund- und Kieferheilkunde (DGZMK) und die Deutsche Gesellschaft für Endodontologie und zahnärztliche Traumatologie (DGET) ein einheitliches Erfassungsformular online zur Verfügung, das zudem als Leitfaden für die Anamnese und Untersuchung dient (Abbildung 5).
Neben den Daten der betroffenen Person und der Vorstellungszeit ist die allgemeine Unfalldokumentation inklusive einer Einordnung in den versicherungsrechtlichen Kontext (Freizeitunfall, Arbeitsunfall etc.) von Bedeutung. Hier soll festgestellt werden, wann und wo sich der Unfall ereignete. Die Beschreibung des Unfallhergangs ermöglicht zudem Rückschlüsse auf die Richtung und Stärke der Krafteinwirkung auf die Zähne beziehungsweise das Gesicht. Auch die Zeitspanne vom Unfall bis zur Vorstellung kann für die Therapieentscheidung von großer Bedeutung sein, beispielsweise bei Avulsionen oder Pulpaexpositionen. Das initiale Gespräch mit den Betroffenen bietet zudem die Möglichkeit, ihre Erinnerungsfähigkeit und allgemeine Orientierung zu beurteilen.
Eine Verletzung im Kopfbereich birgt grundsätzlich die Gefahr eines Schädel-Hirn-Traumas, das es zu erkennen gilt. Auf ein Schädel-Hirn-Trauma 1. Grades („Gehirnerschütterung“) weisen Symptome wie Bewusstlosigkeit, Amnesie und Begleiterscheinungen wie Übelkeit oder Kopfschmerzen hin. Da bei entsprechenden Symptomen eine neurologische Abklärung erfolgen muss, werden diese Punkte im Zuge der Unfallanamnese abgefragt. Darüber hinaus sollte auch der Anschein einer Alkoholisierung dokumentiert und der Tetanusschutz überprüft werden, der nicht nur bei tiefen und/oder verschmutzten Wunden, sondern auch bei sauberen geringfügigen Wunden empfohlen wird [RKI, 2023].
Zur Dokumentation dentaler Verletzungen steht ein Zahnschema zur Verfügung. Frakturverläufe können dort unter Berücksichtigung der beteiligten Gewebe (Schmelz, Dentin, Pulpa) eingezeichnet werden. Die Tabelle im Befundbogen bietet zudem die Möglichkeit, Dislokationsverletzungen zu dokumentieren, wobei hier die Art der Dislokation und gegebenenfalls das Ausmaß und die Richtung der Dislokation eine entscheidende Rolle spielen. Sowohl Frakturverläufe als auch Dislokationen lassen sich somit auch nach der Restauration beziehungsweise Repositionierung noch zweifelsfrei nachvollziehen. Außerdem sollten in der Tabelle Informationen bezüglich der Sensibilität, Schmerzen bei Perkussion, des Lockerungsgrades hinterlegt werden. Auf der Rückseite des Erfassungsbogens sollte man im Falle avulsierter Zähne angeben, wie lange diese initial trocken gelagert waren und in welcher Form sie transportiert wurden (Medium und Dauer). Diese Informationen sind nach der Replantation für die weitere Planung und Einschätzung der Prognose essenziell. Im Anschluss an die Avulsionsanamnese gibt es die Möglichkeit, spezielle radiologische Befunde festzuhalten. Entsprechend der Untersuchungsreihenfolge werden zuletzt noch weitere Befunde überprüft im Hinblick auf Hartgewebsschäden (Alveolarknochen), funktionelle Einschränkungen (Kiefergelenk) und Weichgewebsverletzungen (Mukosa, Lippen, Gesichtshaut).
Abschließend bietet das Formular Raum, um initiale Behandlungsmaßnahmen zu dokumentieren und Angaben zu den verwendeten Medikamenten, Werkstoffen und sonstigen Hilfsmitteln zu machen. Auch Hinweise für die Weiterbehandlung oder Anweisungen für den Patienten können hier notiert werden. Um alle Informationen für die Weiterbehandlung zur Verfügung zu stellen, bietet es sich an, ihm den „Befundbogen Zahntrauma“ als Kopie mitzugeben oder abfotografieren zu lassen.
Fotodokumentation
Zur Dokumentation wird auch die Erstellung klinischer Fotos im Rahmen der Erstversorgung vor Therapiebeginn empfohlen. Gerade bei Dislokationsverletzungen geben Fotos oft wichtige Hinweise auf die Art und den Schweregrad der Zahnverlagerung, was maßgeblichen Einfluss darauf hat, ob eine endodontische Behandlung initiiert werden muss. Diese Information ist nach der Repositionierung des Zahnes nicht mehr vorhanden und kann auch auf dem Röntgenbild oftmals nicht genau beurteilt werden. Im optimalen Fall werden vor der Erstversorgung auf dem Behandlungsstuhl hochwertige Dentalaufnahmen von labialer und inzisaler Richtung aufgenommen. Gleichwohl können auch selbst erstellte Fotos oder Selfies wertvolle Informationen liefern. Neben der forensischen Dokumentation ist es durch Bildmaterial vom Unfalltag auch möglich, Zahnverfärbungen oder die Heilung von Weichgewebswunden nachzuvollziehen (Abbildung 6). Im Zuge der Nachkontrollen erleichtern fotografische Aufnahmen zudem die Feststellung von Infrapositionen bei Ankylosen oder die spontane Eruption bei Intrusionsverletzungen.
Die Fotodokumentation stellt eine hilfreiche Technik dar, da sie eine Ergänzung der Befunde erlaubt und die Klassifikation der Art des Traumas erleichtern kann. Sie sollte vor allem aus forensischen Gründen (Haftungs-Gesichtspunkte) eingesetzt werden und von labial und von inzisal am Unfalltag vor der weiteren Therapie erfolgen (Empfehlung 6).
Nachsorge
Die Nachsorge nach Abschluss der Primärtherapie dient der Früherkennung potenzieller Komplikationen. Art und Schweregrad möglicher Spätfolgen nach einem Zahntrauma sind eng mit dem Ausmaß der pulpalen Schädigung, dem Umfang der parodontalen Verletzung und der einsetzenden Infektion des Wurzelkanalsystems verknüpft [Trope, 2002; Weiger und Krastl, 2019].
Je schwerer die Verletzung, desto größer sind die Risiken und desto wichtiger sind engmaschige Kontrollen im ersten Jahr nach dem Unfall. Bewährt hat sich ein einfaches Nachsorge-Schema, bei dem im ersten Jahr die Abstände zwischen den Untersuchungen verdoppelt werden.
Die radiologischen Kontrollen können vom klinischen Konzept abweichen. Allerdings sollten bei Vorliegen von schweren Zahnverletzungen, wie etwa Dislokationsverletzungen wurzelunreifer Zähne, enge radiologische Kontrollintervalle gewählt werden, um das Auftreten von infektionsbedingten Resorptionen früh genug zu erkennen. Die radiologischen Kontrollen der verunfallten Zähne können in Abhängigkeit von der klinischen Situation und der individuellen Risikobewertung von den angegebenen Intervallen zur klinischen Kontrolle abweichen. Bei schweren Dislokationsverletzungen (Avulsion/Intrusion) sollten im Rahmen der genannten Nachsorgeintervalle Röntgenkontrollen erfolgen. Ab dem zweiten Jahr sollten jährliche Nachkontrollen zumindest in den ersten 5 Jahren durchgeführt werden. (Empfehlung 7).
Schlussfolgerung
Die korrekte Diagnosestellung mit gezielter Anamneseerhebung und Dokumentation des Traumas sind entscheidend für die effektive Behandlung und Nachsorge des Patienten. Eine frühzeitige und angemessene Therapie kann dabei helfen, die langfristigen Auswirkungen des Traumas zu minimieren und eine optimale Genesung zu fördern. Es ist daher wichtig, dass Zahnärzte sich mit den Empfehlungen der Leitlinie des Dentalen Traumas vertraut machen und diese in ihre Praxis integrieren, um bestmögliche Ergebnisse für ihre Patienten zu erzielen.
Literaturliste
Bastone EB, Freer TJ, McNamara JR (2000) Epidemiology of dental trauma: a review of the literature. Aust Dent J 45(1): 2-9.
Glendor U (2008) Epidemiology of traumatic dental injuries--a 12 year review of the literature. Dent Traumatol 24(6): 603-611.
Glendor U (2009) Aetiology and risk factors related to traumatic dental injuries--a review of the literature. Dent Traumatol 25(1): 19-31.
Bourguignon C, Cohenca N, Lauridsen E, Flores MT, O'Connell AC, Day PF, Tsilingaridis G, Abbott PV, Fouad AF, Hicks L, Andreasen JO, Cehreli ZC, Harlamb S, Kahler B, Oginni A, Semper M, Levin L (2020) International Association of Dental Traumatology guidelines for the management of traumatic dental injuries: 1. Fractures and luxations. Dent Traumatol 36(4): 314-330.
Day PF, Flores MT, O'Connell AC, Abbott PV, Tsilingaridis G, Fouad AF, Cohenca N, Lauridsen E, Bourguignon C, Hicks L, Andreasen JO, Cehreli ZC, Harlamb S, Kahler B, Oginni A, Semper M, Levin L (2020) International Association of Dental Traumatology guidelines for the management of traumatic dental injuries: 3. Injuries in the primary dentition. Dent Traumatol 36(4): 343-359.
Fouad AF, Abbott PV, Tsilingaridis G, Cohenca N, Lauridsen E, Bourguignon C, O'Connell A, Flores MT, Day PF, Hicks L, Andreasen JO, Cehreli ZC, Harlamb S, Kahler B, Oginni A, Semper M, Levin L (2020) International Association of Dental Traumatology guidelines for the management of traumatic dental injuries: 2. Avulsion of permanent teeth. Dent Traumatol 36(4): 331-342.
Levin L, Day PF, Hicks L, O'Connell A, Fouad AF, Bourguignon C, Abbott PV (2020) International Association of Dental Traumatology guidelines for the management of traumatic dental injuries: General introduction. Dent Traumatol 36(4): 309-313.
Krastl G, Weiger R, Filippi A, Van Waes H, Ebeleseder K, Ree M, Connert T, Widbiller M, Tjaderhane L, Dummer PMH, Galler K. (2021) European society of endodontology position statement: Endodontic management of traumatized permanent teeth. Int Endod J. 54(9):1473-1481.
AWMF (2022) Therapie des dentalen Traumas bleibender Zähne. S2k-Leitlinie. www.dgzmk.de/documents/10165/1373255/LL_083-004_S2k_Dentales_Trauma_lang_2022.pdf/8626163e-2810-46bd-8575-dd08da188507
Horner K, Rushton V, Tsiklakis K et al. (2004) In: Communities OfOPotE, ed. European Guidelines on Radiation Protection in Dental Radiology. The Safe Use of Radiographs in Dental Practice. Luxembourg: Office for Official Publications of the European Communities.
Robert Koch-Institut (RKI), Ratgeber Tetanus, www.rki.de/DE/Content/Infekt/EpidBull/Merkblaetter/Ratgeber_Tetanus.html, Zugrifff am 23.01.2023.
Trope M (2002) Root resorption due to dental trauma. Endodontic Topics 1(1): 79-100.
Weiger R, Krastl G (2019) Endodontische Spätfolgen nach Zahntrauma: Update 2019. Die Quintessenz 80(9): 1012-1019.
















