Endodontische Aspekte
Die Pulpa als gut innerviertes und durchblutetes Bindegewebe im Inneren des Zahnes hat viele wichtige Funktionen. Dazu gehören die sensible Wahrnehmung von Reizen, die Abwehr eindringender Mikroorganismen und die Bildung von Dentin, was gerade für das Wachstum der Zahnwurzeln bedeutsam ist. Somit kommt der Erhaltung der Pulpavitalität bei Zahnunfällen eine sehr große Bedeutung zu, insbesondere bei jungen Patienten mit unreifen Zahnwurzeln.
Fortbildungsreihe zur neuen S2k-Leitlinie „Therapie des dentalen Traumas bleibender Zähne“
Als interdisziplinäres Fach ist die zahnärztliche Traumatologie auf ein fundiertes Wissen in verschiedenen Disziplinen der Zahnmedizin angewiesen. Gerade in komplexen Fällen müssen Entscheidungen auch außerhalb der eigenen therapeutischen Komfortzone getroffen werden. Daher ist es für viele Behandler sehr hilfreich, wenn sie auf aktuelle evidenzbasierte Therapieempfehlungen zurückgreifen können. Die im Oktober 2022 publizierte S2k-Leitlinie „Therapie des dentalen Traumas bleibender Zähne“ wurde unter Beteiligung zahlreicher Fachgesellschaften grundlegend aktualisiert und ergänzt. In fünf Fortbildungsbeiträgen werden die verschiedenen Aspekte der zahnärztlichen Therapie vorgestellt:
Teil 1: Dentales Trauma: Diagnostik, Dokumentation und Nachsorge (zm 9/2023)
Teil 2: Dentales Trauma: Endodontische Aspekte (zm 10/2023)
Teil 3: Dentales Trauma: Restaurative Aspekte (zm 10/2023)
Teil 4: Dentales Trauma: Chirurgische Aspekte (zm 11/2023)
Teil 5: Dentales Trauma: Kieferorthopädische Aspekte (zm 11/2023)
Bei Unfällen kann es zu Zahnfrakturen kommen, wodurch die Pulpa freigelegt wird. Neben einer mechanischen Schädigung können die Bakterien des Mundraums in die Pulpa eindringen und diese infizieren. Selbst wenn die Pulpa noch von einer dünnen Dentinschicht bedeckt ist, besteht die Gefahr, dass Bakterien die weiten Tubuli durchqueren und zu lokalen Entzündungsreaktionen führen. Darüber hinaus bewirken Dislokationsverletzungen eine Minderdurchblutung der Pulpa, was die Chancen der Vitalerhaltung reduziert. Bei ungünstigen oder starken Krafteinwirkungen kann das Gefäß-Nervenbündel am Apex gestaucht werden oder gar abreißen, was die Nekrose der Pulpa nach sich ziehen kann.
Um die Chancen zur Vitalerhaltung bei Zahnunfällen zu optimieren, ist daher entscheidend, bereits bei der Erstversorgung die Weichen richtig zu stellen. Die Grundlage der folgenden Ausführungen zur Initialtherapie bilden die Handlungsempfehlungen der S2k-Leitlinie „Therapie des dentalen Traumas bleibender Zähne“ [AWMF, 2022].
Frakturverletzungen
Schmelzinfraktion und Schmelzfraktur
Als Folge einer koronalen Krafteinwirkung können Risse im Zahnschmelz (Infraktion) oder auf den Zahnschmelz beschränkte Frakturen auftreten. Da es sich dabei überwiegend um oberflächliche Schäden mit Abstand zur Schmelz-Dentin-Grenze handelt, ist das Risiko für die Zahnpulpa vergleichsweise gering. Bei Schmelzinfraktionen und Schmelzfrakturen sind im Regelfall keine speziellen Therapiemaßnahmen der Pulpa erforderlich.
Restaurative Sofortmaßnahmen sind demzufolge – insofern ästhetisch vertretbar – nicht notwendig. Eine schonende Schliffkorrektur der vorhandenen Frakturflächen ist in der Regel ausreichend und adhäsive Restaurationen können zu einem späteren Zeitpunkt vorgenommen werden. Bei stark ausgeprägten Schmelzschäden kann durch Versiegelung mit einem Adhäsivsystem versucht werden, die Ausbreitung von Bakterien entlang von Mikrorissen in Richtung Pulpa sowie ästhetisch ungünstige Verfärbungen zu verhindern [Love, 1996]. Trotz der geringen Gefahr für die Zahnpulpa sollte deren Sensibilität in jährlichen Kontrolluntersuchungen überprüft werden, da Risse und Frakturen eine Eintrittspforte für Bakterien sein können.
Kronenfraktur ohne Pulpabeteiligung
Ist nicht nur der Zahnschmelz, sondern auch das Dentin von der Fraktur betroffen, besteht die Gefahr einer Infektion der Pulpa. Das freiliegende tubuläre Dentin stellt kein Hindernis für Bakterien aus der Mundhöhle dar, so dass diese ohne weiteres bis zur Pulpa vordringen können.
Bei ausreichendem Abstand zur Zahnpulpa kann die Dentinwunde mit einem Adhäsivsystem versiegelt werden [Costa et al., 2003]. Ist die Restdentinstärke jedoch gering (< 0,5 mm). Dann ist eine indirekte Überkappung mit biokompatiblen Materialien wie Kalziumhydroxid-haltigen Präparaten oder hydraulischen Kalziumsilikatzementen ratsam [Costa et al., 2003]. Anschließend sollte eine bakteriendichte Abdeckung der Frakturfläche oder die definitive Restauration erfolgen, um die Pulpa vor weiteren Einflüssen zu schützen.
Kronenfraktur mit Pulpabeteiligung
Bei tiefen Kronenfrakturen besteht vor allem bei jungen Patienten ein hohes Risiko, dass das Pulpenkavum eröffnet und die Pulpa freigelegt wird. Neben der direkten Konfrontation mit oralen Bakterien kommt es häufig zu einer lokalen mechanischen Schädigung mit einem möglichen Verlust von Pulpagewebsanteilen. In diesem Fall ist es das vorrangige Ziel, die Vitalität der betroffenen Pulpa zu erhalten. Bei Schmelzinfraktionen und Schmelzfrakturen sind im Regelfall keine speziellen Therapiemaßnahmen der Pulpa erforderlich.
Die biologischen Voraussetzungen für vitalerhaltende Maßnahmen sind günstig, da die Pulpa in der Regel keine Vorschädigung aufweist, etwa durch Karies. Allerdings können begleitende Dislokationsverletzungen die Durchblutung der Pulpa einschränken und die Chancen der Vitalerhaltung verringern [Bissinger et al., 2021]. Insbesondere bei Zähnen mit nicht abgeschlossenem Wurzelwachstum ist es von großer Bedeutung, die Pulpa ganz oder teilweise vital zu erhalten, um einen Abschluss der Wurzelentwicklung und damit eine bessere Stabilität des Zahnes zu erreichen [Krastl et al., 2021].
Bei der Festlegung der partiellen Pulpotomie als bevorzugte Maßnahme zur Vitalerhaltung ist zu berücksichtigen, dass die Erfolgswahrscheinlichkeit der Pulpotomie unabhängig vom Ausmaß der Freilegung und dem Stadium des Wurzelwachstums bei über 90 Prozent liegt [Krastl et al., 2021; Bimstein und Rotstein, 2016; Cvek, 1978]. Diese Prognose bleibt auch durch eine zeitliche Verzögerung von mehreren Tagen nahezu unbeeinflusst. Bei der direkten Überkappung hingegen kann die Pulpa nur in 43 bis 90 Prozent der Fälle vital erhalten werden [Krastl et al., 2021a]. Die Amputation betroffener Pulpaareale bei der (partiellen) Pulpotomie stellt sicher, dass nur gesundes und regenerationsfähiges Gewebe erhalten bleibt.
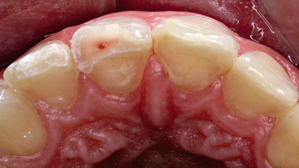
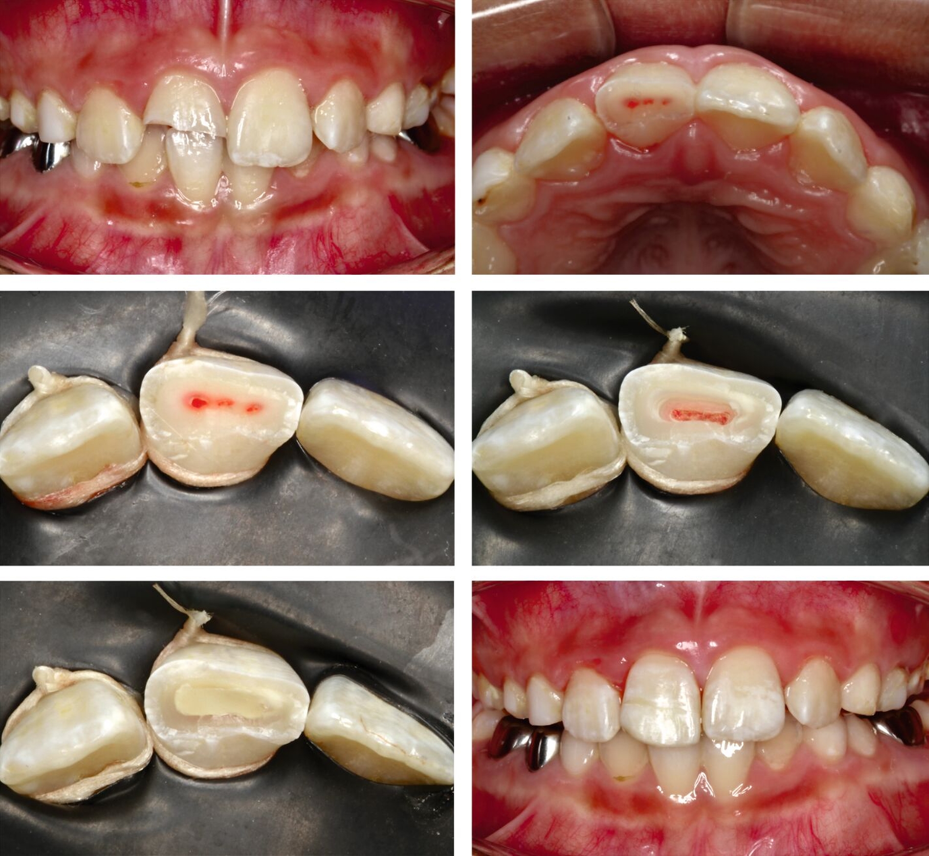
Bei der partiellen Pulpotomie wird zunächst die Kronenpulpa im Bereich der Expositionsstelle um circa 2 mm reduziert [Krastl et al., 2021; Bourguignon et al., 2020]. Dies erfolgt in Lokalanästhesie in einem aseptischen Arbeitsfeld mit einem schnell rotierenden Diamantschleifkörper unter Wasserkühlung (Abbildung 1). Kommt es intraoperativ zu einer anhaltenden Blutung von mehr als fünf Minuten, muss von einem lokal entzündeten Gewebe ausgegangen werden und eine vollständige Pulpotomie, das heißt die Entfernung der gesamten Kronenpulpa, kann in Erwägung gezogen werden.
Abschließend wird sowohl bei der direkten Überkappung als auch bei der (partiellen) Pulpotomie die Pulpawunde mit einem pulpaverträglichen, bioaktiven Material (zum Beispiel hydraulischer Kalziumsilikatzement oder Kalziumhydroxid) abgedeckt und dieses einschließlich der freiliegenden Dentinoberfläche bakteriendicht versiegelt [Widbiller und Galler, 2018].
Gelingt die Vitalerhaltung der Pulpa nicht, sind selbstverständlich weiterführende endodontische Maßnahmen einzuleiten.
Kronen-Wurzel-Fraktur
Ist neben der Zahnkrone auch die Zahnwurzel beteiligt, spricht man von einer Kronen-Wurzel-Fraktur. In diesem Fall verläuft die Bruchlinie durch Schmelz, Dentin, Zement und möglicherweise die Zahnpulpa. Das koronale Fragment ist häufig gelockert, aber durch den parodontalen Faserapparat fixiert. Dann ist zunächst die Erhaltungsfähigkeit des Zahnes nach Entfernung des koronalen Fragments zu beurteilen und die geeignete Therapieoption zu wählen: direkte Restauration, Wiederbefestigung des Fragments oder Restauration nach chirurgischer oder kieferorthopädischer Extrusion.
Die Vitalerhaltung der Pulpa ist in dieser Situation vor allem bei Zähnen mit nicht abgeschlossenem Wurzelwachstum wünschenswert. Die bereits beschriebenen Verfahren können jedoch nur im Fall einer direkten Restauration beziehungsweise Fragmentwiederbefestigung oder bei kieferorthopädischer Extrusion angewendet werden. Muss der Zahn chirurgisch extrudiert werden oder ist ein Wurzelstift zur Verankerung einer Restauration notwendig, ist eine Vitalerhaltung nicht möglich.
Wurzelfraktur
Bei Wurzelfrakturen spielt die Lage des Frakturspalts für die Prognose des Zahns eine entscheidende Rolle. Somit wird die Therapie wesentlich dadurch bestimmt, ob eine Kommunikation zwischen Frakturspalt und Mundhöhle besteht.
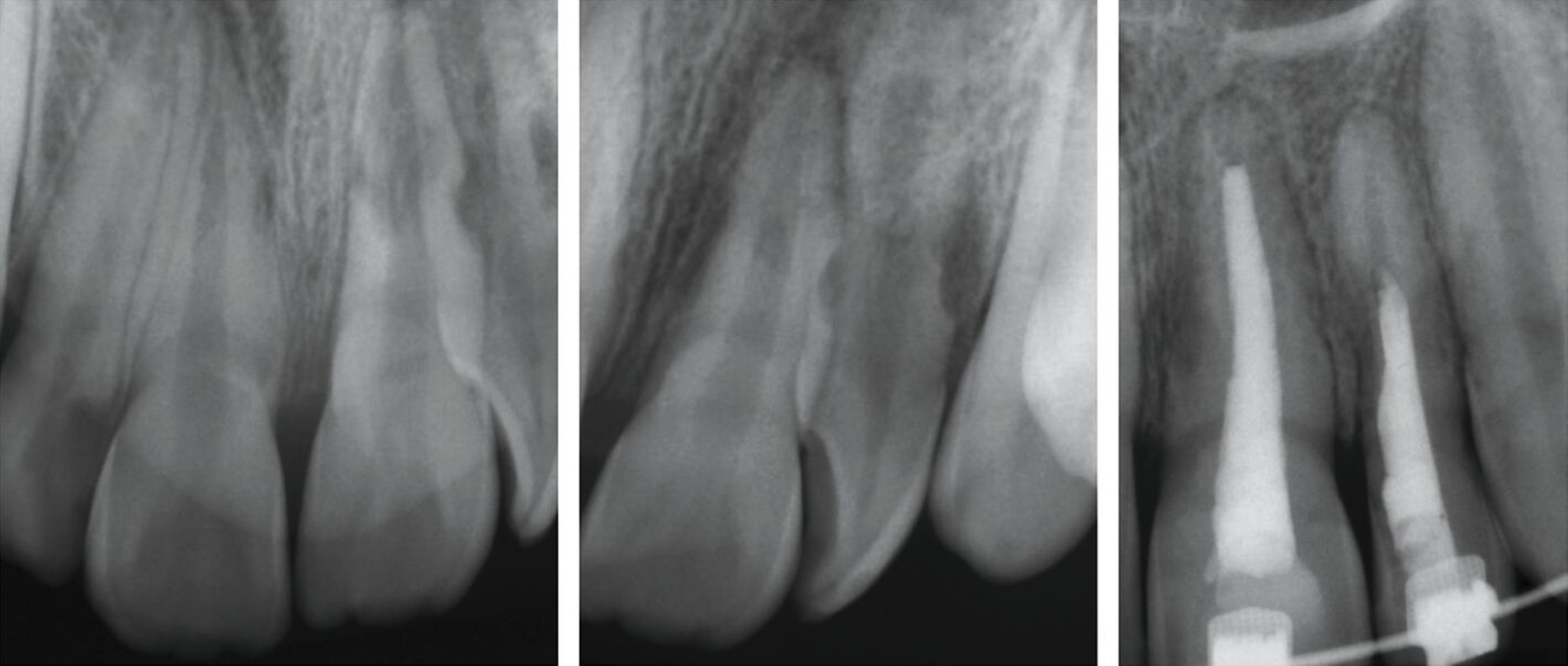
Intraalveoläre Wurzelfraktur: Frakturen der Zahnwurzel nach einem Trauma verlaufen in der Regel schräg zur Zahnachse. Liegt der Frakturspalt intraalveolär, wie es bei Frakturen im apikalen oder im mittleren Wurzeldrittel meist der Fall ist, ist eine Verbindung zur Mundhöhle unwahrscheinlich (Abbildung 2). Das koronale Fragment sollte entsprechend erhalten werden, die Prognose ist gut [Abbott, 2019]. Dislozierte Fragmente werden zunächst repositioniert. Die weitere Therapie besteht in der Schienung des koronalen Fragments und zielt auf die pulpale Regeneration ab, wobei es im Idealfall zur Ausheilung durch Ablagerung von osteoidem Hartgewebe im Frakturbereich kommt [Andreasen und Hjorting-Hansen, 1967]. Die Schienungsdauer ist variabel und beträgt mindestens vier Wochen, bei Dislokation und erhöhter Beweglichkeit des Fragments bis zu zwölf Wochen [Bourguignon et al., 2020]. Bei vitaler Pulpa schließt sich die engmaschige Kontrolle an.
Bei sehr ausgeprägter Dislokation sowie bei Pulpanekrose ist eine Wurzelkanalbehandlung indiziert, die sich jedoch auf den koronalen Anteil beschränkt. Anzeichen für eine Nekrose sind eine fehlende Reaktion auf den Sensibilitätstest, laterale Läsionen im Bereich des Frakturspalts, eine zunehmende Diastase, eine anhaltende Lockerung des Fragments und ein deutlicher Perkussionsschmerz [Hülsmann, 1999].
Wurzelfraktur mit Kommunikation des Bruchspalts zur Mundhöhle: Bei weiter zervikal liegenden Frakturen wird zunächst geprüft, ob der Bruchspalt über die gingivale Tasche mit der Mundhöhle kommuniziert. Dazu wird eine sorgfältige zirkuläre Sondierung des Zahnes nach Wiederherstellung des gingivalen Attachments durchgeführt. Wird dabei eine Verbindung festgestellt, so ist die Entfernung des koronalen Fragments angezeigt. Bei erhaltungswürdigem Wurzelanteil wird die Wurzelkanalbehandlung durchgeführt. Um die weitere Versorgung des Zahnes zu ermöglichen kann sich eine chirurgische oder eine kieferorthopädische Extrusion anschließen.
Bei einer Längsfraktur des Zahnes ist der Bruchspalt in der Regel mit der Mundhöhle verbunden, weshalb in diesem Fall die Extraktion indiziert ist.
Dislokationsverletzungen
Bei dislozierten Zähnen ist eine Wurzelkanalbehandlung nicht primär indiziert, wenn der Pulpaschaden gering ist und eine Vitalerhaltung realistisch erscheint oder eine spontane Revaskularisation der geschädigten Pulpa wahrscheinlich ist. Andererseits ist eine frühzeitige Wurzelkanalbehandlung von entscheidender Bedeutung, wenn ein hohes Risiko für die Entwicklung einer infektionsbedingten externen Wurzelresorption besteht [Krastl et al., 2021]. Begleitende Kronenfrakturen reduzieren bei allen Dislokationen die endodontische Prognose.
Konkussion und Lockerung
Bei einer Konkussion ist anzunehmen, dass die pulpale Durchblutung nur geringgradig gestört wurde beziehungsweise ist, was sich auch durch den positiven Sensibilitätstest zeigt. Ebenso stellt die nur minimale Dislokation bei der Lockerung keine starke Bedrohung der Pulpavitalität dar. Eine initial negative Sensibilität kann binnen Monaten wiederhergestellt sein. Darüber hinaus ist zu beachten, dass bei einer Revaskularisation der Pulpa häufig eine Obliteration des Wurzelkanals auftritt und die Pulpa somit dauerhaft ihre Sensibilität verliert, ohne devital zu sein.
Laterale Dislokation
Nach lateraler Dislokation eines Zahnes mit geschlossenem Apex ist davon auszugehen, dass die Pulpa apikal durchtrennt worden ist und somit auch nach Reposition des Zahnes für längere Zeit ohne Durchblutung bleibt, so dass diese von Bakterien besiedelt werden kann [Pozzi und Arx, 2008]. Bei unvollständiger Reposition bleibt primär eine periapikale Aufhellung bestehen, deren Heilung durch knöchernen Umbau schwer gegen die Aufhellung bei einer Pulpainfektion abgrenzbar ist. Die Indikation zur endodontischen Behandlung kann daher nach lateraler Dislokation (≥ 2 mm) großzügig gestellt werden. Bei längerem Zuwarten sollten engmaschige Kontrollen eine Pulpanekrose oder eine externe Wurzelresorption ausschließen. Spätestens bei Auftreten dieser Komplikationen sollte die entsprechende endodontische Therapie eingeleitet werden.
Extrusion
Bei der Extrusion folgt der Zahn auf seinem Dislokationsweg den anatomischen Vorgaben der Alveole. Der daraus folgende Zementschaden ist gering, so dass eine externe Wurzelresorption als Reaktion auf eine Pulpanekrose zumeist ausbleibt.
Da der Zahn exakt reponierbar ist, ist bei jugendlichen Zähnen eine Heilung durch Revaskularisation wahrscheinlicher als nach lateraler Dislokation. Dies gilt insbesondere für Zähne, die sich zum Zeitpunkt des Traumas in festsitzender KFO-Behandlung befunden haben (Abbildung 3). Die speziellen mechanischen Verhältnisse können eine Extrusion gleich mehrerer benachbarter Zähne bewirken, wobei in solchen Fällen Komplikationen ausbleiben können, was sich durch eine verstärkte Mundhygiene während der KFO und eine vorbestehende Erweiterung des Foramen apikale durch eine KFO-bedingte Wurzelresorption erklären lässt.
Bei ausgeprägten Extrusionen sollte bei Zähnen mit abgeschlossenem Wurzelwachstum beziehungsweise weitgehend geschlossenem Foramen apikale in Anlehnung zur Empfehlung für laterale Dislokationen eine Wurzelkanalbehandlung eingeleitet werden.
Intrusion
Intrudierte Zähne zeigen in einem hohen Prozentsatz eine infizierte Pulpanekrose (60 Prozent bei offenem Apex, 100 Prozent bei geschlossenem Apex), die mit einer aggressiven infektionsbedingten Wurzelresorption einhergeht (Abbildung 4). Der daraus folgenden Notwendigkeit zur endodontischen Behandlung sollte unter allen anderen Überlegungen Priorität eingeräumt werden. Intrudierte Zähne mit abgeschlossenem Wurzelwachstum sollen daher grundsätzlich bei der Erstversorgung in die anatomisch korrekte Position reponiert und dort geschient werden. Die nekrotische Pulpa sollte so früh wie möglich entfernt werden.
Bei Zähnen mit nicht abgeschlossenem Wurzelwachstum und bei geringfügiger Dislokation kann mit der Trepanation zugewartet werden. Engmaschige Nachkontrollen sollten eine Pulpanekrose oder eine externe Wurzelresorption ausschließen.
Avulsion
Bei einer Avulsion kommt es zum kompletten Herauslösen eines Zahnes aus seiner Alveole. Sie stellt eine der prognostisch ungünstigsten Verletzungen der Zähne dar, sofern keine zellphysiologische Lagerung des Zahnes erfolgt. Schnelles und richtiges Handeln am Unfallort kann die Prognose des Zahnes erheblich verbessern [Andreasen et al., 1995, 1995a, 1995b, 1995c; Lauridsen et al., 2020; Fouad et al., 2020].
Als Sofortmaßnahme sollte ein avulsierter Zahn replantiert oder zellphysiologisch gelagert (bevorzugt: Zahnrettungsbox; alternativ: H-Milch oder physiologische Kochsalzlösung) werden und der Patient schnellstmöglich zahnärztlich versorgt werden. Eine Trockenlagerung muss so kurz wie möglich gehalten werden, um einer Schädigung der desmodontalen Zellen vorzubeugen, die für die physiologische Einheilung des Zahnes von großer Bedeutung sind.
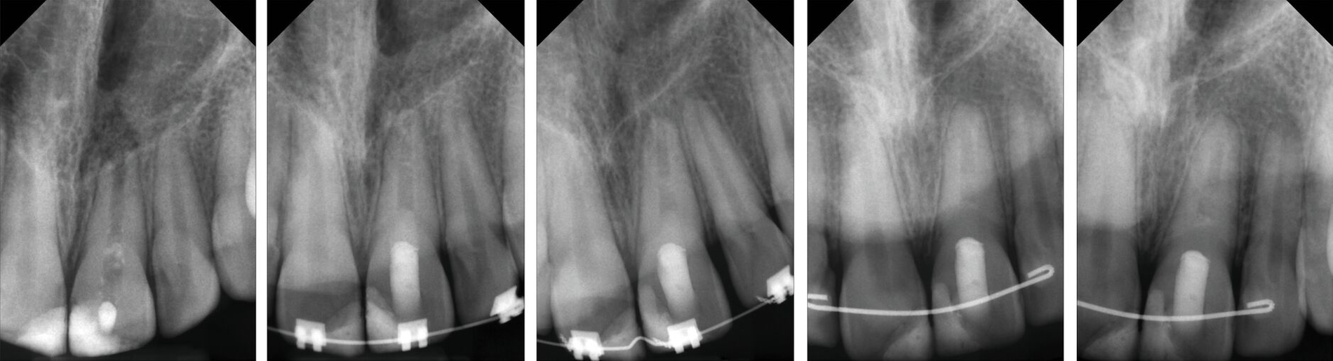
Eine Replantation sollte möglichst rasch erfolgen. Bei sichtbarer Verschmutzung sollte die Wurzeloberfläche schonend gespült werden ohne sie dabei mechanisch zu verletzen (Abbildung 5). Dies kann mit zellphysiologischem Medium der Zahnrettungsbox oder physiologischer Kochsalzlösung erfolgen. Nach der Replantation sollte eine Schienung an beiden Nachbarzähnen für ein bis drei Wochen erfolgen. Bei der Schienenentfernung kann in Abhängigkeit vom klinischen Lockerungsgrad des replantierten Zahnes zunächst nur eine Verbindung zum Nachbarzahn gelöst werden und die Fixation zum zweiten Nachbarzahn um einige Tage verlängert werden.
Nach der Avulsion eines Zahnes ist die Blutversorgung der Pulpa unweigerlich unterbrochen und eine Nekrose insbesondere bei Zähnen mit abgeschlossenem Wurzelwachstum sehr wahrscheinlich. Nach der Replantation des Zahnes besteht demnach das Risiko, dass sich die Pulpa durch ins Wundgebiet verschleppte Bakterien infiziert. Bei Zähnen mit nicht abgeschlossenem Wurzelwachstum ist der erneute Anschluss an die Blutversorgung (Revaskularisation) grundsätzlich möglich und wird mit bis zu 30 Prozent angegeben [Andreasen et al., 1995a; Amaro et al., 2021]. Daher ist die Therapie bei Zähnen mit geschlossenem und mit offenem Apex aus endodontischer Sicht unterschiedlich.
Nach Abschluss dieser Akutmaßnahmen folgt die weitere Behandlung des replantierten Zahnes, die sich an zwei wesentlichen Fragen orientiert:
Handelt es sich um einen Zahn mit geschlossenem oder mit offenem Apex?
Wie ist die Prognose des replantierten Zahnes aufgrund des Zustands der desmodontalen Zellen zu bewerten (Trockenlagerungszeit, Lagerungsmedium, etc.)?
Zähne mit geschlossenem Apex: Da bei Zähnen mit geschlossenem Apex unabhängig vom Lagerungszustand von einer Pulpanekrose ausgegangen werden muss, ist die zeitnahe endodontische Behandlung indiziert.
Unterschreitet die Trockenlagerungszeit 60 Minuten, ist eine Vitalerhaltung der desmodontalen Zellen möglich und steht zunächst im Vordergrund. Eine endodontische Behandlung sollte nach Replantation und vor Schienenentfernung eingeleitet werden. Nach der Trepanation und der Wurzelkanalaufbereitung erfolgt eine temporäre Einlage durch ein Mischpräparat bestehend aus Triamcinolonacetonid und Demeclocyclin oder Kalziumhydroxid. Die Wurzelkanalfüllung kann nach drei Monaten beziehungsweise nach Ausschluss von resorptiven Veränderungen an der Zahnwurzel vorgenommen werden.
Für den Fall einer extraoralen Trockenlagerungszeit des avulsierten Zahnes von mehr als 60 Minuten ist von devitalen Zellen auf der Wurzeloberfläche auszugehen. In diesem Fall kann der Zahn vor der Replantation extraoral trepaniert und mit einer medikamentösen Einlage versorgt werden oder, wie oben beschrieben, sieben bis zehn Tage nach dem Trauma vor der Schienenentfernung. Von der Entwicklung einer knöchernen Ersatzresorption und Ankylosierung der Zahnwurzel ist in diesem Fall auszugehen.
Zähne mit offenem Apex und kurzer Trockenlagerungszeit: Bei replantierten avulsierten Zähnen mit offenem Apex sollte die Einschätzung der Prognose der Desmodontalzellen in derselben Weise wie bei Zähnen mit geschlossenem Apex erfolgen. Entscheidend ist dabei die Lagerung und im ungünstigsten Fall die Dauer der Trockenlagerungszeit des avulsierten Zahnes. Die endodontische Therapie unterscheidet sich jedoch aufgrund der Möglichkeit einer spontanen Revaskularisation und Gewebseinsprossung über den noch offenen Apex bei adäquater extraoraler Lagerung. Daher sollte bei avulsierten Zähnen mit offenem Apex keine unmittelbare Wurzelkanalbehandlung erfolgen, wenn die Trockenlagerungszeit 60 Minuten unterschreitet.
Dennoch kann es notwendig werden, auch bei Zähnen mit offenem Apex endodontische Maßnahmen einzuleiten. Ausschlaggebend ist dabei jedoch nicht die ausbleibende Reaktion auf den Sensibilitätstest, sondern die Entwicklung von Entzündungs- oder Resorptionsprozessen. Es sollte daher ein engmaschiger Recall durchgeführt und bei pathologischen Befunden eine Apexifikation eingeleitet, ein apikaler Verschluss mit hydraulischem Kalziumsilikatzement (Abbildung 5) oder eine Revitalisierung durchgeführt werden [Mente et al., 2013; Mente et al., 2009; Galler et al., 2016; Cvek, 1992].
Zähne mit offenem Apex und langer Trockenlagerungszeit: Bei Zähnen mit offenem Apex und einer Trockenlagerungszeit von mehr als 60 Minuten sollte analog zu Zähnen mit geschlossenem Apex die endodontische Behandlung zeitnah eingeleitet werden, da von einer Nekrose der Pulpa und einer starken Schädigung des Desmodonts ausgegangen werden muss.
Die endodontische Behandlung kann hier ebenfalls vor der Replantation extraoral erfolgen oder kurz vor der Schienenentfernung. Die Verwendung von bioresorbierbaren Materialien wie Kalziumhydroxid zum dauerhaften Verbleib im Wurzelkanal kann empfohlen werden, da in diesen Fällen die Wahrscheinlichkeit einer knöchernen Ersatzresorption mit Ankylosierung als sehr hoch einzustufen ist [Andersson et al., 2012]. Mit einer definitiven Wurzelkanalbehandlung kann analog zu Zähnen mit geschlossenem Apex bei günstigem Verlauf nach Abschluss des Wurzelwachstums und nach Ausschluss von resorptiven Veränderungen an der Zahnwurzel begonnen werden.
Endodontische Optionen bei Verlust der Zahnpulpa
Liegt eine Pulpanekrose vor oder wird diese später festgestellt, richtet sich die Art der Behandlung nach dem Stand des Wurzelwachstums.
Abgeschlossenes Wurzelwachstum
Bei abgeschlossenem oder weitgehend abgeschlossenem Wurzelwachstum sollte eine konventionelle Wurzelkanalbehandlung und -füllung durchgeführt werden.
Nicht abgeschlossenes Wurzelwachstum
Es existieren drei Behandlungsoptionen deren jeweilige Vor- und Nachteile gegeneinander abgewogen werden sollten.
Apikaler Verschluss durch Langzeiteinlage mit Kalziumhydroxid (Apexifikation): Bei Zähnen mit offenem Apex führen Langzeiteinlagen mit Kalziumhydroxid zur Induktion einer apikalen Hartgewebsbarriere, die günstigere Bedingungen für die Applikation einer konventionellen Wurzelkanalfüllung schafft. Hierzu sind raumfüllende Einlagen mit Kalziumhydroxid über mehrere Monate notwendig, wobei das Material in regelmäßigen Intervallen gewechselt wird (Abbildung 6).
Die Behandlung ist vergleichsweise einfach, kann über die gesetzliche Krankenkasse abgerechnet werden und weist eine hohe Erfolgswahrscheinlichkeit in Bezug auf eine periapikale Heilung auf. Problematisch ist allerdings die deutlich erhöhte Gefahr für zervikale Wurzelfrakturen, die abhängig vom Stadium der Wurzelentwicklung zwischen 28 Prozent und 77 Prozent liegt [Cvek, 1992]. Dies ist zum einen auf den negativen Einfluss der Langzeiteinlage auf die mechanischen Eigenschaften des Dentins zurückzuführen, zum anderen auf den Zeitraum von sechs bis 18 Monaten, in dem die dünnen Dentinwände im zervikalen Bereich nicht adhäsiv stabilisiert werden können (Abbildung 6).
Apikaler Verschluss mit hydraulischem Kalziumsilikatzement (apikaler Plug): Diese Therapie hat sich in den vergangenen zwei Jahrzehnten in vielen endodontischen Praxen zum Standardverfahren entwickelt. Hierbei wird nach adäquater Desinfektion des Wurzelkanalsystems ein biokompatibler hydraulischer Kalziumsilikatzement (zum Beispiel MTA) in einer Schichtstärke von circa 4 mm in direktem Kontakt mit den periapikalen Geweben eingebracht. Der restliche Wurzelkanal wird vorzugsweise mit Sealer und erwärmter Guttapercha gefüllt. Der anschließende Verschluss mit Komposit sollte tief genug eingebracht werden, um die zervikalen Kanalbereiche adhäsiv zu stabilisieren und einer Fraktur vorzubeugen (Abbildung 7). Die Erfolgsquoten für den apikalen Verschluss mit MTA liegen nach über vier bis acht Jahren bei über 90 Prozent [Mente et al., 2013; Re und Schwartz, 2017]. Der Nachteil des MTA-Plugs besteht in der erschwerten Entfernbarkeit im Fall einer notwendigen Revision. Die Behandlung ist im Vergleich zur Apexifikation mit Kalziumhydroxid aufwendiger und erfordert optische Vergrößerungshilfen für eine optimale Durchführung.
Revitalisierung: Nach gründlicher Desinfektion des Wurzelkanalsystems wird durch mechanische Provokation des apikalen Gewebes eine Blutung in den Kanal induziert, um mesenchymale Stammzellen aus der apikalen Papille in den Wurzelkanal einzuschwemmen, die neues Hart- und Weichgewebe im Wurzelkanal bilden können [Galler et al., 2016]. Das Blutkoagulum wird im zervikalen Wurzelkanalbereich mit einer Kollagenmatrix und anschließend mit einem hydraulischen Kalziumsilikatzement abgedeckt. Die Zugangskavität wird mit Komposit adhäsiv verschlossen. Die Erfolgsquoten nach Revitalisierung hinsichtlich der Ausheilung periapikaler Entzündungen entsprechen denjenigen nach apikalem Verschluss [Torabinejad et al., 2017]. Darüber hinaus ist eine Stärkung der fragilen Wurzelwände durch Fortschritt des Wurzelwachstums möglich (Abbildung 8), aber nicht sicher vorhersagbar [Kahler et al., 2017]. Eine Revitalisierungsbehandlung kann im Vergleich zur Apexifikation mit Kalziumhydroxid als aufwendiger angesehen werden.
<bibliography>
Abbott, P.V. (2019) Diagnosis and management of transverse root fractures. J Endod, 45 (12), S13–S27.
Amaro, R.G., Santos, L.C.M., Lima, T.C. da S., Coste, S.C., Ferreira, D.A.B., Côrtes, M.I. de S., Colosimo, E.A., and Bastos, J.V. (2021) Pulp healing in immature replanted permanent teeth: A competing risk analysis. Dent Traumatol, 37 (3), 447–456.
Andreasen, J.O., and Hjorting-Hansen, E. (1967) Intraalveolar root fractures: radiographic and histologic study of 50 cases. J Oral Surg Am Dent Assoc 1965, 25 (5), 414–26.
Andreasen, J.O., Borum, M.K., Jacobsen, H.L., and Andreasen, F.M. (1995) Replantation of 400 avulsed permanent incisors. 1. Diagnosis of healing complications. Endod Dent Traumatol, 11 (2), 51–58.
Andreasen, J.O., Borum, M.K., Jacobsen, H.L., and Andreasen, F.M. (1995a) Replantation of 400 avulsed permanent incisors. 2. Factors related to pulpal healing. Endod Dent Traumatol, 11 (2), 59–68.
Andreasen, J.O., Borum, M.K., and Andreasen, F.M. (1995b) Replantation of 400 avulsed permanent incisors. 3. Factors related to root growth. Endod Dent Traumatol, 11 (2), 69–75.
Andreasen, J.O., Borum, M.K., Jacobsen, H.L., and Andreasen, F.M. (1995c) Replantation of 400 avulsed permanent incisors. 4. Factors related to periodontal ligament healing. Endod Dent Traumatol, 11 (2), 76–89.
AWMF, 2022: DGMKG und DGZMK (2022) S2k-Leitlinie: “Therapie des dentalen Traumas bleibender Zähne” (AWMF-Registriernummer: 083-004).
Bimstein, E., and Rotstein, I. (2016) Cvek pulpotomy - revisited. Dent Traumatol, 32 (6), 438–442.
Bissinger, R., Müller, D.D., Reymus, M., Khazaei, Y., Hickel, R., Bücher, K., and Kühnisch, J. (2021) Treatment outcomes after uncomplicated and complicated crown fractures in permanent teeth. Clin Oral Invest, 25 (1), 133–143.
Bourguignon, C., Cohenca, N., Lauridsen, E., Flores, M.T., O’Connell, A.C., Day, P.F., Tsilingaridis, G., Abbott, P.V., Fouad, A.F., Hicks, L., Andreasen, J.O., Cehreli, Z.C., Harlamb, S., Kahler, B., Oginni, A., Semper, M., and Levin, L. (2020) International Association of Dental Traumatology guidelines for the management of traumatic dental injuries: 1. Fractures and luxations. Dent Traumatol, 36 (4), 314–330.
Costa, C.A. de S., Giro, E.M.A., Nascimento, A.B.L. do, Teixeira, H.M., and Hebling, J. (2003) Short-term evaluation of the pulpo-dentin complex response to a resin-modified glass-ionomer cement and a bonding agent applied in deep cavities. Dent Mater, 19 (8), 739–746.
Cvek, M. (1978) A clinical report on partial pulpotomy and capping with calcium hydroxide in permanent incisors with complicated crown fracture. J Endod, 4 (8), 232–237.
Cvek, M. (1992) Prognosis of luxated non‐vital maxillary incisors treated with calcium hydroxide and filled with gutta‐percha. A retrospective clinical study. Dent Traumatol, 8 (2), 45–55.
Einwag, J., Bekes, K., and Pieper, K. (eds.) (2022) Kinderzahnheilkunde, Elsevier Health Sciences, Germany.
Fouad, A.F., Abbott, P.V., Tsilingaridis, G., Cohenca, N., Lauridsen, E., Bourguignon, C., O’Connell, A., Flores, M.T., Day, P.F., Hicks, L., Andreasen, J.O., Cehreli, Z.C., Harlamb, S., Kahler, B., Oginni, A., Semper, M., and Levin, L. (2020) International Association of Dental Traumatology guidelines for the management of traumatic dental injuries: 2. Avulsion of permanent teeth. Dent Traumatol, 36 (4), 331–342.
Galler, K.M., Krastl, G., Simon, S., Gorp, G.V., Meschi, N., Vahedi, B., and Lambrechts, P. (2016) European Society of Endodontology position statement: Revitalization procedures. Int Endod J, 49 (8), 717–723.
Hülsmann, M. (1999) Diagnostik und Therapie traumatischer Wurzelquerfrakturen. Endodontie, 8, 141–160.
Kahler, B., Rossi-Fedele, G., Chugal, N., and Lin, L.M. (2017) An Evidence-based Review of the Efficacy of Treatment Approaches for Immature Permanent Teeth with Pulp Necrosis. J Endod, 43 (7), 1052–1057.
Krastl, G., Weiger, R., Filippi, A., Waes, H.V., Ebeleseder, K., Ree, M., Connert, T., Widbiller, M., Tjäderhane, L., Dummer, P.M.H., and Galler, K. (2021) European Society of Endodontology position statement: endodontic management of traumatized permanent teeth. Int Endod J, 54 (9), 1473–1481.
Krastl, G., Weiger, R., Filippi, A., Waes, H.V., Ebeleseder, K., Ree, M., Connert, T., Widbiller, M., Tjäderhane, L., Dummer, P.M.H., and Galler, K. (2021a) Endodontic management of traumatized permanent teeth: a comprehensive review. Int Endod J, 54 (8), 1221–1245.
Lauridsen, E., Andreasen, J.O., Bouaziz, O., and Andersson, L. (2020) Risk of ankylosis of 400 avulsed and replanted human teeth in relation to length of dry storage: A re‐evaluation of a long‐term clinical study. Dent Traumatol, 36 (2), 108–116.
Love, R.M. (1996) Bacterial penetration of the root canal of intact incisor teeth after a simulated traumatic injury. Dent Traumatol, 12 (6), 289–293.
Mente, J., Leo, M., Panagidis, D., Ohle, M., Schneider, S., Bermejo, J.L., and Pfefferle, T. (2013) Treatment outcome of mineral trioxide aggregate in open apex teeth. J Endod, 39 (1), 20–26.
Mente, J., Hage, N., Pfefferle, T., Koch, M.J., Dreyhaupt, J., Staehle, H.J., and Friedman, S. (2009) Mineral Trioxide Aggregate Apical Plugs in Teeth with Open Apical Foramina: A Retrospective Analysis of Treatment Outcome. J Endod, 35 (10), 1354–1358.
Pozzi, E.C.F., and Arx, T.V. (2008) Pulp and periodontal healing of laterally luxated permanent teeth: results after 4 years. Dent Traumatol, 24 (6), 658–662.
Ree, M.H., and Schwartz, R.S. (2017) Long-term Success of Nonvital, Immature Permanent Incisors Treated With a Mineral Trioxide Aggregate Plug and Adhesive Restorations: A Case Series from a Private Endodontic Practice. J Endod, 43 (8), 1370–1377.
Torabinejad, M., Nosrat, A., Verma, P., and Udochukwu, O. (2017) Regenerative Endodontic Treatment or Mineral Trioxide Aggregate Apical Plug in Teeth with Necrotic Pulps and Open Apices: A Systematic Review and Meta-analysis. J Endod, 43 (11), 1806–1820.
Widbiller, M., and Galler, K.M. (2018) Zahnpulpa: Vitalerhaltung bis Regeneration. Zahnmedizin up2date, 12 (01), 23–41.
</bibliography>
















