Einpfeilerbrücke mit freier Auflage
Für kleine Brücken im Seitenzahngebiet sind zwei die Kaukraft aufnehmende Pfeiler erforderlich, wogegen die Abzugskräfte jedoch schwach sind, so dass eine einzige Zementierung ausreicht, damit die Brücke nicht abfällt. Diese Modellguss-ähnliche Auflage kann in einem Inlay oder in einer Füllung liegen – jedenfalls immer vollständig in Fremdmaterial.
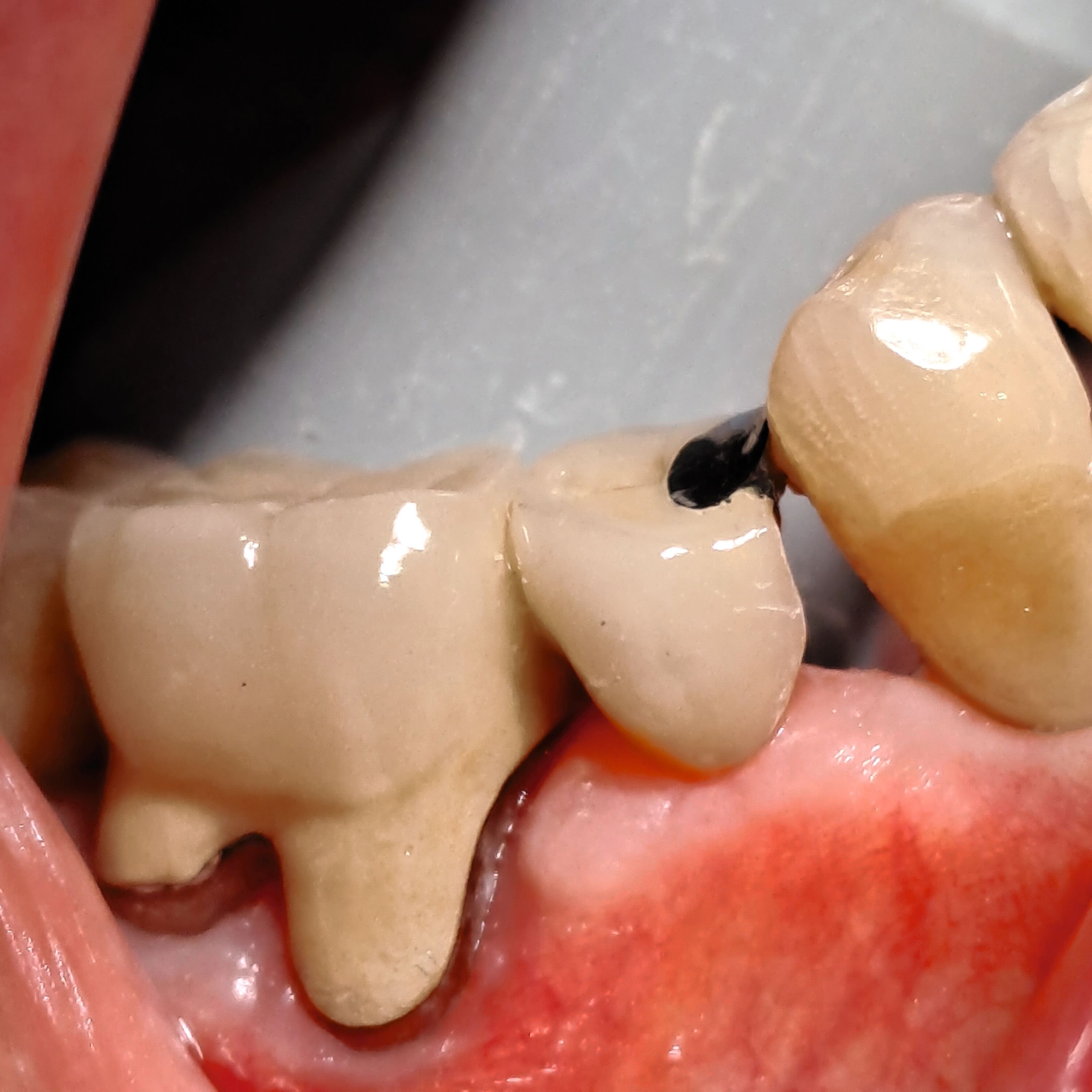
Die fertige Minibrücke besteht aus:
dem zementierten Anker (Krone oder Inlay), gegebenenfalls verblendet,
dem Brückenglied, in der Regel verblendet, und
der freien, metallischen Auflage auf dem Zahn jenseits der Lücke.
Die Minibrücke dient manchmal vorwiegend der horizontalen Abstützung. Kronen als Anker können distal oder mesial der Lücke sein; meine Anker-Inlays lagen bisher alle distal. Ich empfehle die Beschränkung auf Prämolaren-große Lücken, wenn der Anker ein Inlay ist.
Das Kariesrisiko bei einer Minibrücke ist vergleichsweise gering, denn bei einer Dezementierung löst sich die Brücke, woraufhin der Patient direkt zur Behandlung kommt. Die größte Sicherheit bietet die Krone, danach das dreiflächige Inlay, gefolgt vom zweiflächigen Inlay. Bei einer Krone als Anker ist mir keine Dezementierung bekannt.
Seit 1996 übersehe ich 21 Fälle. Einen Abfall werte ich im Folgenden nur dann als Misserfolg, wenn die Brücke wegen Friktionsverlust nicht wieder eingliederbar ist. Aufgegliedert nach den Ankern ergeben sich (Stand April 2023) folgende Zeiten:
sechs Kronen in situ nach durchschnittlich 7,6 Jahren (4, 11, 9, 4, 13 und 5 Jahre)
zwei Kronen mit Failure: ein Verlust wegen PAR des Auflagenzahns nach einem Jahr, eine Fraktur der hemisezierten Wurzel des Ankerzahns nach neun Jahren
fünf dreiflächige Inlays in situ nach durchschnittlich 10,6 Jahren (5, 8, 8, 15 und 17 Jahre)
ein dreiflächiges Inlay mit Failure nach vier Jahren aufgrund einer Sekundärkaries
fünf zweiflächige Inlays in situ nach durchschnittlich 13,6 Jahren (7, 7, 5, 27 und 22 Jahre)
zwei zweiflächige Inlays mit Failure: eines nach circa fünf Jahren (unklar, Abfall) sowie nach 22 Jahren (Sekundärkaries)
In den Abbildungen werden drei Fallbeispiele vorgestellt, bei denen alle Brücken noch in situ sind:

Einpfeilerbrücken gelten bei den gesetzlichen Kassen als „nicht anerkannte Versorgungsform“ und werden somit nicht bezuschusst. Patienten sollten deshalb ausführlich aufgeklärt werden, sowohl medizinisch als auch wirtschaftlich. Die Auflage könnte zum Beispiel analog als zweiflächiges Inlay berechnet werden.
Zusammenfassung
Die vorgestellte Seitenzahn-Einpfeilerbrücke mit freier Auflage als zweite Abstützung hat – basierend auf eigenen klinischen Erfahrungen – eine Prognose von circa fünf bis 20 Jahren und kann eine substanzschonende und wenig invasive Alternative zu konventionellen Brücken und Implantaten darstellen.










