Mundgesundheit bis ins hohe Alter – eine (neue) Herausforderung für die Zahnarztpraxis?
Modellrechnungen kommen zu dem Ergebnis, dass bis Mitte der 2030er-Jahre in Deutschland die Zahl der Menschen im Rentenalter (ab 67 Jahren) um etwa vier Millionen auf mindestens 20 Millionen steigen wird. Die Zahl der ab 80-Jährigen wird zwar noch bis Mitte der 2030er-Jahre relativ stabil bleiben und zwischen 5,8 und 6,7 Millionen betragen. Danach wird jedoch die Zahl der Hochbetagten und damit voraussichtlich auch der Pflegebedarf in Deutschland massiv zunehmen. Die Zahl der pflegebedürftigen Menschen in Deutschland wird allein durch die zunehmende Alterung bis 2055 um 37 Prozent steigen. Laut den Ergebnissen der Pflegevorausberechnung des Statistischen Bundesamtes (Destatis) wird deren Zahl von rund 5,0 Millionen Ende 2021 auf etwa 6,8 Millionen im Jahr 2055 ansteigen. Dabei werden bereits für 2035 etwa 5,6 Millionen (+14 %) Pflegebedürftige erwartet.
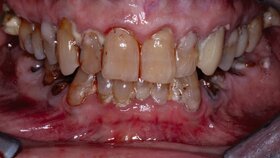
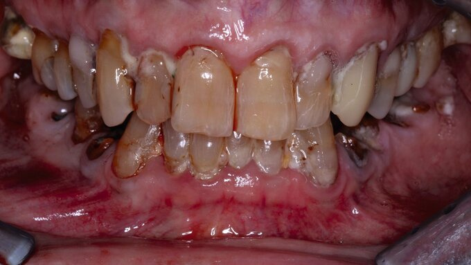
Zudem werden viele ältere Menschen wahrscheinlich mehr eigene Zähne besitzen und möglicherweise höhere Ansprüche bezüglich ihrer Mundgesundheit haben. Damit werden auch die Anforderungen an die Prävention und die therapeutischen Maßnahmen steigen. Auf den ersten Blick scheint es so, dass die zahnärztlichen Maßnahmen bei alten Menschen nicht signifikant von denen bei Jüngeren abweichen – im Detail ergeben sich aber durchaus Unterschiede bezüglich der Behandlungsmöglichkeiten und -maßnahmen: Mit zunehmendem Alter nimmt die Häufigkeit von Krankheiten zu, die zu Mundgesundheitsproblemen führen können. Es ändert sich die Sichtweise bezüglich der Inanspruchnahme zahnmedizinischer Leistungen und die subjektive Wahrnehmung korreliert häufig nicht mehr mit dem objektiven Befund. Außerdem gibt es immer mehr Menschen mit erheblichem Pflegebedarf. In dieser Patientengruppe ist der Karies-Sanierungsgrad wesentlich geringer als bei älteren Seniorinnen und Senioren, die keinen Pflegebedarf haben. Bei der Umsetzung von individuellen Präventionskonzepten ist neben der Etablierung einer altersgerechten Mundhygiene, der Anwendung von Fluoridpräparaten und dem Einsatz unterschiedlicher Biofilm-modifizierender Präparate einer Veränderung der Ernährungsgewohnheiten Aufmerksamkeit zu schenken.
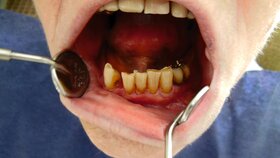
Für die Praxis bedeuten diese Fakten, dass bei Seniorinnen und Senioren ein verstärktes Augenmerk auf Präventivmaßnahmen unter Berücksichtigung der Zunahme freiliegenden Wurzeldentins gerichtet werden muss. Zudem werden vermehrt Austauschrestaurationen erforderlich werden. Da bedingt durch den Abbau des parodontalen Stützgewebes Wurzelkaries-Läsionen zunehmen werden, müssen neue Restaurationskonzepte Eingang in die Praxis finden. Dabei sollte im hohen Alter und bei Patienten mit schlechtem Allgemeinzustand die Erneuerung von Restaurationen mit Augenmaß vorgenommen werden. Vermutlich wird also die Anzahl von Reparaturmaßnahmen zunehmen.
Einer verbesserten Parodontaldiagnostik mit einer Ausweitung der nicht chirurgischen Parodontaltherapie ist bereits mit den neuen Paro-Richtlinien der Weg geebnet worden. Notwendig wird aber auch eine verbesserte Diagnostik und Therapie von nicht-kariösen Zahnhartsubstanzdefekten. Endodontische Maßnahmen werden vermutlich bei Patienten im höheren Lebensalter komplizierter werden und es wird wahrscheinlich eine verstärkte Nachfrage nach Implantaten geben. Gleichzeitig bedeutet dies jedoch auch, dass neben den üblichen Zahnextraktionen vermehrt Implantatentfernungen erforderlich sein werden.
So wie es kindgerechte Praxen gibt, könnte für ältere Senioren und Seniorinnen die Einrichtung altersgerechter Praxen (beispielsweise große Behandlungsräume, eine entsprechende Wartezimmergestaltung) sinnvoll sein. Bei einigen Patienten werden kurze Behandlungszeiten geplant werden müssen und eventuell statt der Lege-artis-Therapie Kompromissbehandlungen durchgeführt werden.
Selbst wenn viele grundlegenden präventiven und invasiven Maßnahmen auch zukünftig in den unterschiedlichen Altersgruppen ähnlich sein werden, so kommen dennoch neue Herausforderungen auf die Zahnarztpraxen zu. Eine Konsequenz dürfte sein, dass den Aspekten der Alterszahnmedizin in der Ausbildung zukünftiger Zahnärztinnen und Zahnärzte mehr Platz als bisher eingeräumt werden muss.
Die Beiträge dieses Fortbildungsteils zur Alterszahnmedizin sollen (auch wenn nicht alle Facetten berücksichtigt werden können) zeigen, was bereits geleistet werden kann, und gleichzeitig Anregung für die weitere Beschäftigung mit diesem Thema in der täglichen Praxis sein.
Ich wünsche Ihnen eine anregende Lektüre.
Ihr Elmar Hellwig










