Lückenschluss: Innovative Lösungen für die Sofortversorgung
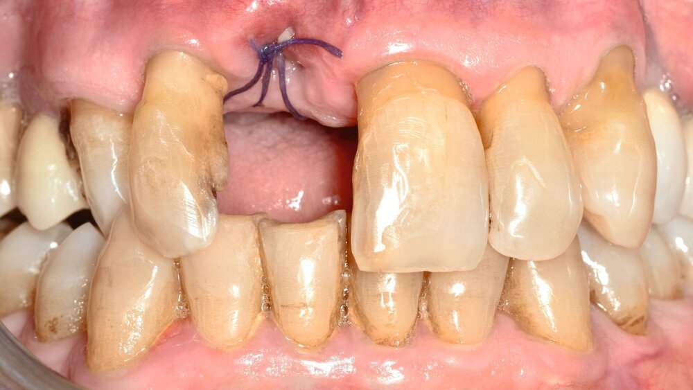
Der 85-jährige Patient stellte sich auf Überweisung von Kollegen der Klinik und Poliklinik für Mund-, Kiefer- und Gesichtschirurgie in der Poliklinik für Zahnerhaltungskunde vor. Der Zahn 11 war, da nicht erhaltungsfähig, einige Tage zuvor extrahiert worden. Der Patient wünschte bis zur Implantation in regio 011 eine festsitzende semipermanente Versorgung. Er hat eine koronare Herzerkrankung, Herzrhythmusstörungen, einen implantierten Defibrillator und ist mit den Medikamenten Plavix und Aspirin antikoaguliert. Der Originalzahn 11 wurde dem Patienten nach Extraktion von den chirurgischen Kollegen ausgehändigt, er brachte ihn zur Sitzung mit (Abbildung 1).
Bei einer Umarbeitung des Originalzahns 11 zum Pontic wird zunächst die Länge bis zur Kieferkammauflage ausgemessen und markiert, dann die übrige Wurzel abgetrennt und die Pulpakammer ausgehöhlt (Abbildung 2). Anschließend wird der Originalzahn angeätzt, abgespült und mit Luft getrocknet; Primer und Adhäsiv werden aufgetragen. Zur Ausformung des Pontics wird Restaurationskomposit auf den Originalzahn unter Beachtung einer eiförmigen Gestaltung der Basalfläche aufgebracht, das Pontic ausgearbeitet und in einem Lichtschutzgefäß gelagert.
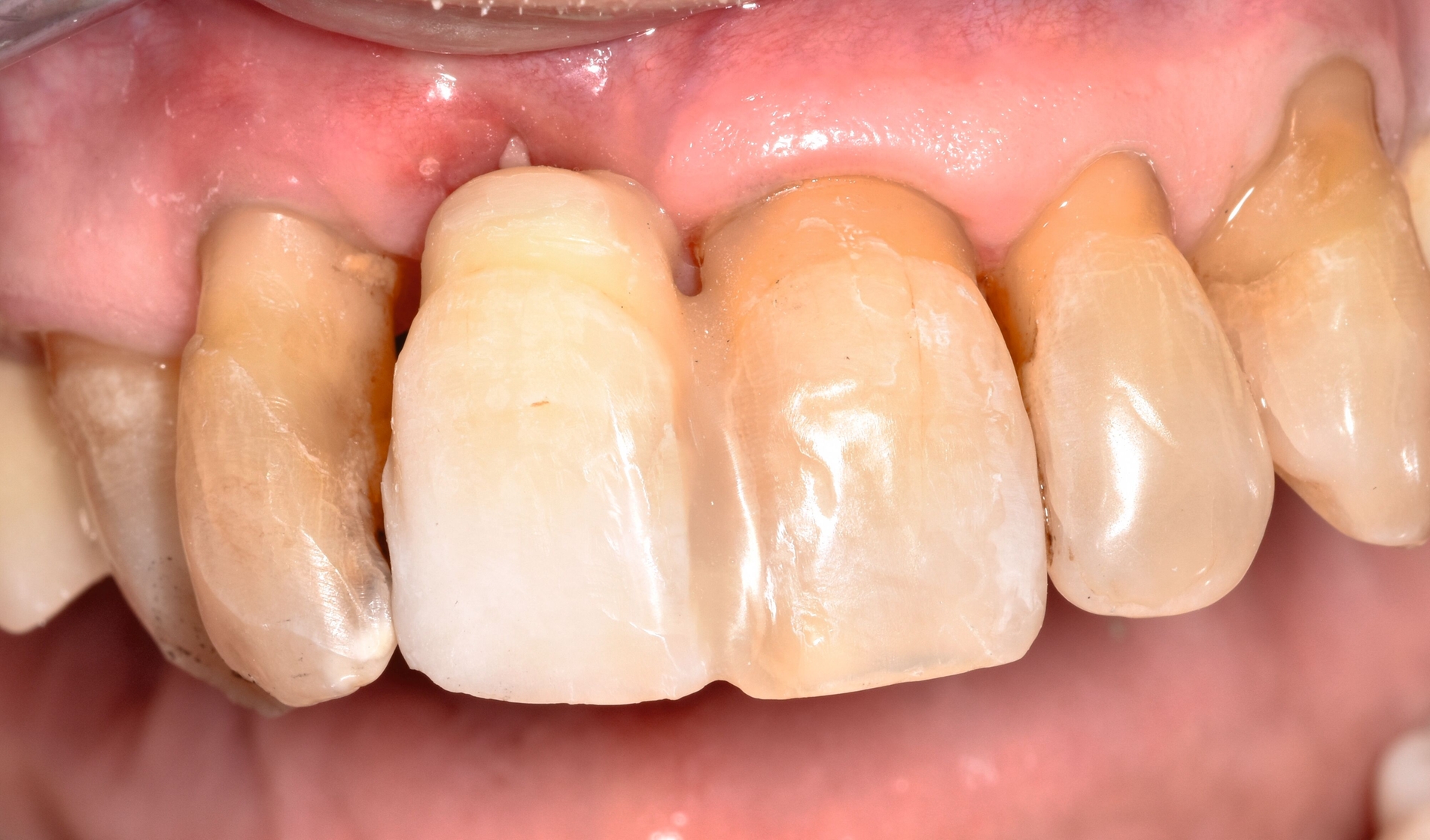
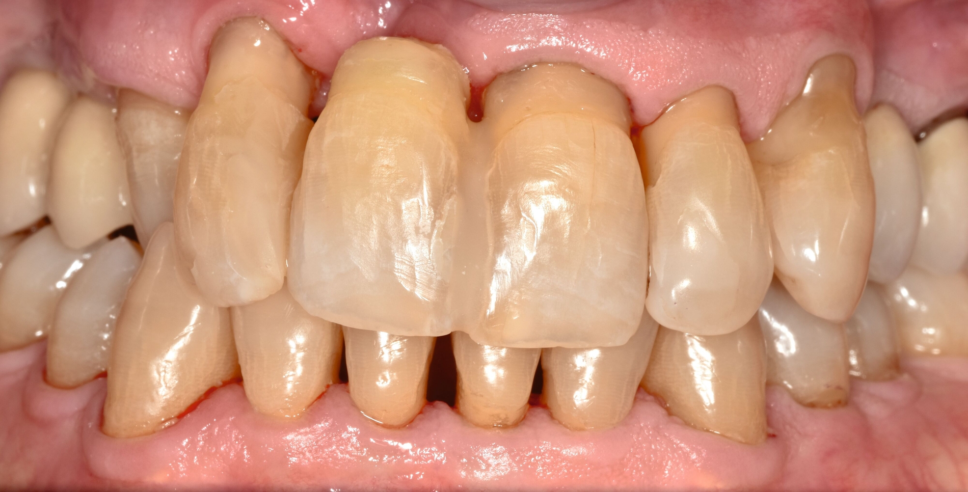
Aufgrund der Okklusionsverhältnisse im Frontzahnbereich ist palatinal am Pfeilerzahn 21 im inzisalen Drittel eine Rillenpräparation (circa 2 mm tief und 2,5 mm breit) angezeigt (Abbildung 3). Auch das Pontic sollte daher vor dem Einkleben mit einer Rille zur Einlage des FRC-Strangs versehen werden. Zur Bestimmung der Länge des benötigten FRC-Strangs wird die Distanz der FRC-Brücke in Regio 21–011 ausgemessen. Anschließend sollten die Schritte der Adhäsivtechnik am Pfeilerzahn 21 wiederholt werden.
Bei der Befestigung des Originalzahns empfiehlt es sich, diesen zunächst mit einer kleinen Menge Flowkomposit interdental am Pfeilerzahn in seiner korrekten Position zu befestigen, bevor der FRC-Strang palatinal aufgelegt wird. Nach erfolgter Befestigung des Pontics mit Flowkomposit wird palatinal auf den Pfeilerzahn und das Pontic eine kleine Menge Flowkomposit aufgetragen, in das der FRC-Strang platziert und vorsichtig angedrückt wird. Beim Einbringen des FRC-Strangs empfiehlt es sich, diesen schrittweise anzudrücken und an jeder Stelle initial für circa drei Sekunden „anzuhärten“. Ist die korrekte Platzierung des Strangs erreicht, so kann dieser mit der Polymerisationslampe vollständig gehärtet und mit Restaurationskomposit überschichtet werden. Nach Ausarbeitung und Politur erfolgen die Anpassung von Interdentalraumbürstchen sowie die Instruktion des Patienten (Abbildung 3).

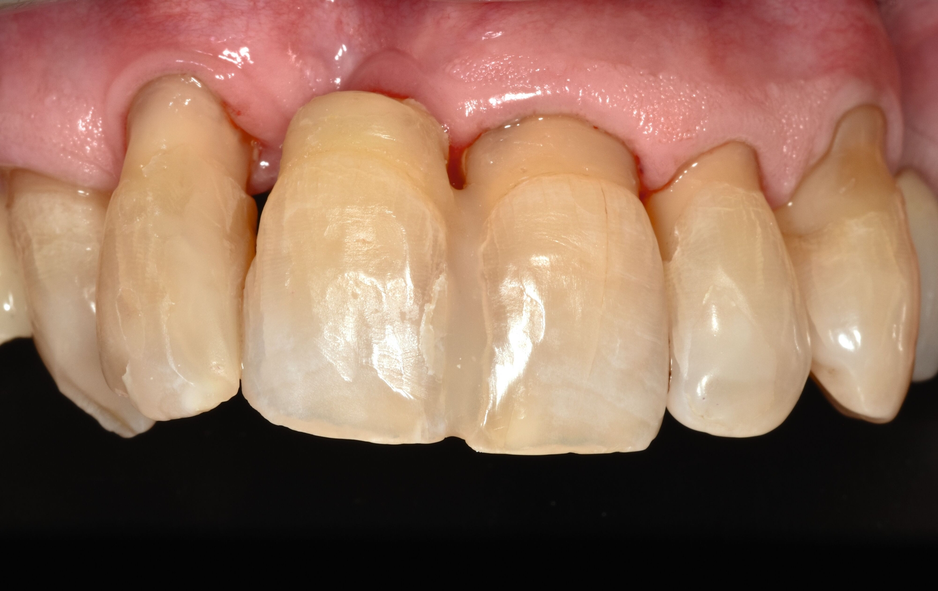
Bei der Kontrolle nach einem Jahr zeigt sich eine vollständige Heilung nach Extraktion und eine intakte einflügelige FRC-Brücke mit einem farblich übereinstimmenden Ponticzahn 011. Es bestehen entzündungsfreie Verhältnisse und kein Anhalt auf Lockerung oder erhöhte Sondierungstiefen am Pfeilerzahn (Abbildung 4).
Synopse
Faserverstärkte Kompositbrücken sind eine minimalinvasive und gleichzeitig frugale Therapieoption [Staehle, 2019] mit Materialien, die seit längerer Zeit in technischen Bereichen wie Schiffsbau, Luftfahrt, Fahrzeugbau und bei der Erzeugung von Windenergie eingesetzt werden [Freilich, 2001; Proctor, 1976]. Bereits Anfang der 1960er-Jahre wurden FRCs in der Zahntechnik verwendet, um Prothesenbasen zu verstärken [Smith, 1962]. Aus werkstoffkundlicher Sicht besteht der Nachteil der FRC-Materialien nach wie vor im zeitlich limitierten chemischen Verbund zwischen Fasern und der methacrylatbasierten Kompositmatrix. Mit Blick auf den Einzelzahnersatz durch eine ein- oder zweiflügelige FRC-Brücke kann gemäß eines Konsensusworkshops aus dem Jahr 2016 von einer mittleren Überlebenszeit der FRC-Brücke von circa sechs Jahren ausgegangen werden [Vallittu et al., 2017].
Im Spektrum der Möglichkeiten zum Lückenschluss sind die FRC-Brücken somit als semipermanente Versorgung zu betrachten [Frese, 2020; Wolff et al., 2018]. Sie weisen jedoch Stärken auf, die den Einsatz dieser Versorgungsart in gewissen Fällen vorteilhaft machen und rechtfertigen. Besonders hervorzuheben ist hier das „Dynamic Treatment Concept“, das ein defensives Vorgehen und den maximalen Schutz der Zahnhartsubstanz vor allem bei Kindern und jungen Erwachsenen beinhaltet, sofern es die okklusalen Verhältnisse zulassen [Vallittu et al., 2017]. Aber auch bei geriatrischen Patienten kann in zeitlich limitierten Situationen und bei reduzierter Belastbarkeit des Patienten eine festsitzende Sofortlösung realisiert werden.
Literaturliste
Freilich MAe (2001): Fiberreinforced composites in clinical dentistry. Quintessence Publishing Co. Chicago.
Frese C (2020): Glasfaserverstärkte Restaurationen. Zahnärztl Mitt 110(88):48–56.
Proctor BA (1976): Composite Material I: Fibre Reinforced Composite Materials An Introductory Review. Pilkington Research and Development Laboratories, Lathom, Ormskirk, Lancashire:63–75.
Smith DC (1962): Recent developments and prospects in dental polymers J Prosthet Dent 12(1066–1078.
Staehle HJ (2019): Lowtech Dentistry – Bewährte und neue frugale Interventionen in der Zahnmedizin. Zahnärztl Mitt 109(10):1081–1096.
Vallittu PK, Shinya A, Baraba A, Kerr I, Keulemans F, Kreulen C et al. (2017): Fiber-reinforced composites in fixed prosthodontics-Quo vadis? Dent Mater 33(8):877–879.
Wolff D, Wohlrab T, Saure D, Krisam J, Frese C (2018): Fiber-reinforced composite fixed dental prostheses: A 4-year prospective clinical trial evaluating survival, quality, and effects on surrounding periodontal tissues. J Prosthet Dent 119(1):47–52.


















