Reparaturen in der mobilen Zahnmedizin
Unter dem Stichwort „Restaurationsunterhalt“ versteht man neben Reparaturmaßnahmen auch das Anfinieren von Rändern und das Nachpolieren von Restaurationsoberflächen. Präventive Interventionen wie zum Beispiel die Touchierung mit Silberdiaminfluorid oder die Verschreibung von hochfluoridierter Zahnpasta (5.000 ppm F-) können ebenfalls entscheidend dazu beitragen, das Überleben bestehender Restaurationen zu verlängern.
Klinischer Fall
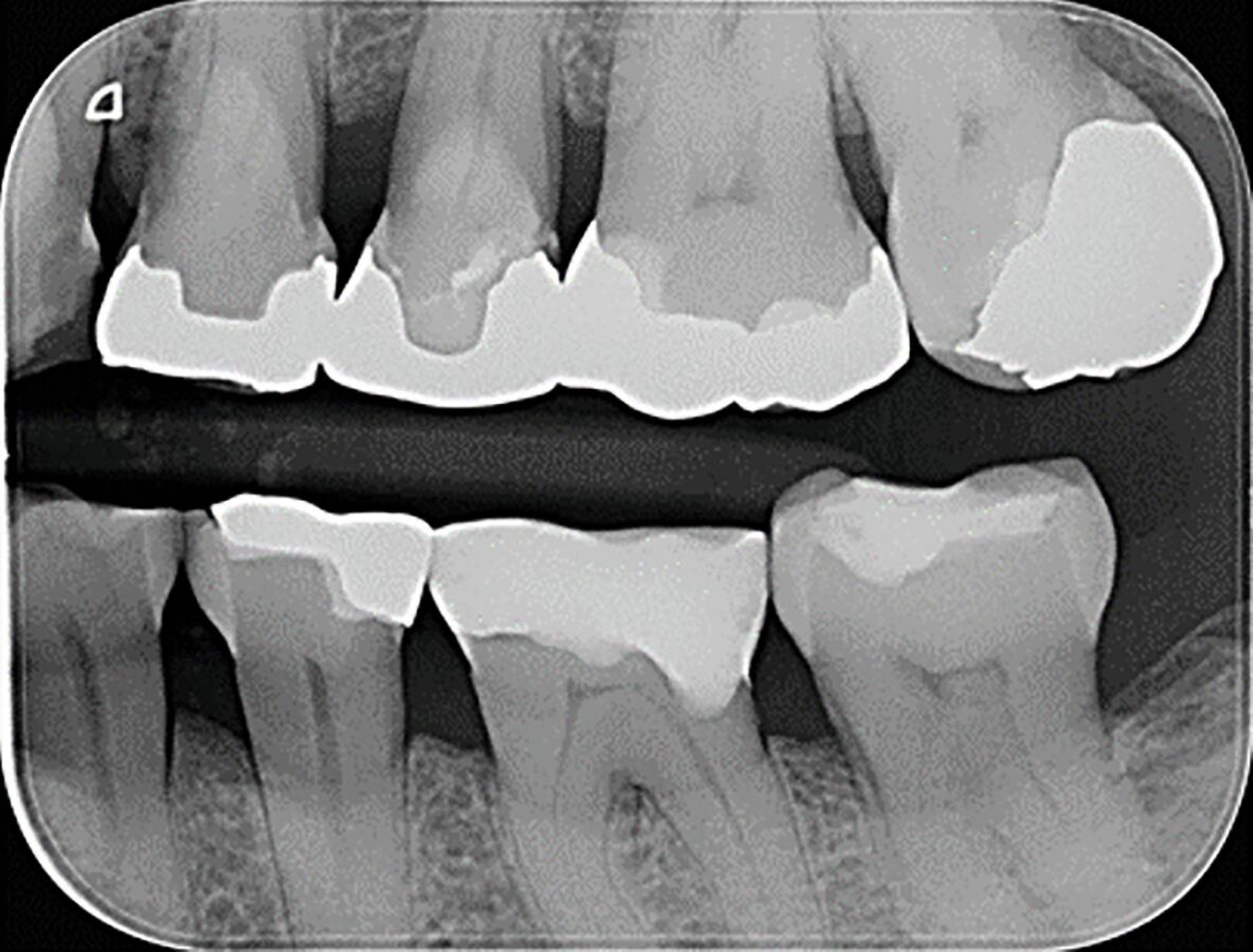
Aufgrund einer erwartungsgemäß erschwerten fotografischen Dokumentation bei der zahnärztlichen Behandlung in der mobilen Zahnmedizin wird die klinische Falldokumentation an einer Seniorin vorgenommen, deren Therapiefähigkeit und Eigenverantwortlichkeit nicht eingeschränkt war. Die 76-jährige Patientin stellt sich zur routinemäßigen Kontrolle in der Poliklinik für Zahnerhaltungskunde vor. Die allgemeine Anamnese ergab Zustand nach Meningeom, eine Quecksilber- und eine Birkenpollenallergie und einen erhöhten Blutdruck, der mit Lercanidipin eingestellt war. Am circa 20 Jahre alten Gussmetall-Inlay an Zahn 24 wurde dabei ein sondierbarer Randspalt festgestellt (Abbildungen 2a und 2b).
Nach Reinigung der Zähne und Bestimmung der Zahnfarbe wurde Kofferdam zur absoluten Trockenlegung angelegt. Mit rotierenden Instrumenten wurde ein Teil des Gussmetall-Inlays im sondierbaren Bereich entfernt und die Karies exkaviert (Abbildungen 2c und 2d). Anschließend wurden alle zu reparierenden Oberflächen (Gussmetall, Dentin und Schmelz) mit reinem Aluminiumoxid, Partikelgröße 50 µm (Rondoflex®/KaVo), unter Verwendung von Wasser abgestrahlt und danach gründlich mit Wasser abgespült (Abbildungen 2e und 2f). Die selektive Schmelzätzung erfolgte mit 37,5-prozentiger Phosphorsäure (Email Preparator®/Ultradent) für 30 Sekunden (Abbildung 2g). Nach Abspülen der Phosphorsäure mit Wasser wurde ein Universaladhäsiv (Clearfil Universal Bond Quick® / Kuraray Noritake) aufgetragen (Abbildung 2h, Glanz soll erhalten bleiben, Verdunstung einige Sekunden abwarten) und dann lichtpolymerisiert.
Im Anschluss wurde die Reparaturrestauration mit Komposit (Ceram X Spectra®/Dentsply Sirona) eingebracht (Abbildung 2i). Im Sinne des Restaurationsunterhalts wurden bei der Politur die Restaurationsränder der Gussmetall-Inlays an den Zähnen 24 und 25 finiert und zusammen mit der Kompositrestauration hochglanzpoliert (Abbildungen 2j und 2k).
Besonderheiten in der mobilen Zahnmedizin
Grundsätzlich sind alle zahnärztlichen Therapieoptionen bei pflegebedürftigen, geriatrischen Patienten genauso anzuwenden wie bei gesunden Erwachsenen. In der mobilen Zahnmedizin existieren allerdings folgende Besonderheiten, die den Reparaturvorgang maßgeblich beeinflussen können:
Faktor Zeit, kurze Behandlungsintervalle
Dysphagie, gegebenenfalls mit Würgereiz und unkontrolliertem Schlucken
Tremor
Erschwerte Trockenhaltung
Ungünstige Sicht bei aufrechter Lagerung und gebeugter Arbeitshaltung
Reduzierte Materialauswahl
Anhand der in Abbildung 1 dargestellten Standardarbeitsabläufe bei der Reparatur unterschiedlicher Werkstoffoberflächen mit Komposit müssen für die mobile Zahnmedizin geeignete Materialien und in der aufsuchenden Betreuung einsetzbare technische Hilfsmittel definiert werden. Nur in sehr seltenen Fällen ist ein Wasser-Pulverstrahlgerät bei der aufsuchenden Betreuung verfügbar. Es sollte daher eine mikroretentive Oberfläche mit Alternativen wie Soflex-Scheiben, Finierstreifen oder Diamanten geschaffen werden. Hinsichtlich der Adhäsivtechnik werden die seit geraumer Zeit verfügbaren Universaladhäsive bereits von vielen Praxen verwendet und bieten bei der Reparatur aufgrund ihrer vielseitigen Anwendbarkeit im self-etch-, selective-etch- und total-etch-Modus deutliche Vorteile gegenüber Adhäsiven der früheren Generationen [Kanzow et al., 2019; Rosa et al., 2015]. Möglicherweise könnte die zusätzliche Verwendung eines Silans zur Erhöhung der Haftkraft auch beim Universaladhäsiv im klinischen Standardvorgehen vorteilhaft sein [Stape et al., 2022], für das Reparatur-Protokoll in der mobilen Zahnmedizin wird dies zunächst jedoch nicht berücksichtigt.
Bei der Adhäsivtechnik in der mobilen Zahnmedizin kann es sinnvoll sein, das Total-etching aufgrund des zusätzlich reinigenden Effekts der Phosphorsäure auf zahlreichen Werkstoffoberflächen zu bevorzugen. Hauptgrund hierfür ist, dass eine adäquate Trockenlegung in der Regel nur erschwert erfolgen kann und mit Kontaminationen durch Speichel und Blut im Behandlungsvorgang gerechnet werden muss. Als mögliche Materialien für eine intraorale Reparatur werden modifizierte Glasionomerzemente, Komposite, Bulk-Fill-Komposite, Flow Komposite (bei Klasse V) sowie dualhärtende Komposite genutzt. Für die dualhärtenden Komposite ist allerdings darauf hinzuweisen, dass herstellerabhängig überprüft werden sollte, ob diese mit einem self-etch-Adhäsiv kombinierbar sind. Gegebenenfalls sollte bei dualhärtenden Kompositen das jeweilige vom Hersteller empfohlene Adhäsivsystem verwendet werden, um Einbußen in der Haftkraft zu vermeiden.
Synopse
Das Behandlungsspektrum in der aufsuchenden zahnmedizinischen Betreuung ist hinsichtlich der konservierenden Maßnahmen stark von der vorhandenen technischen und materiellen Ausstattung sowie der einzugehenden Behandlungsverantwortung der Zahnärztin / des Zahnarztes abhängig [Nitschke, 2023]. Im Generellen gilt, dass – aufgrund der je patientenindividuellen Situation – eine einheitliche Vorgehensweise bei Reparaturen derzeit in der aufsuchenden Betreuung nicht realisierbar ist. Vielmehr müssen die unterschiedlichsten Faktoren wie örtliche Gegebenheit, die Belastbarkeit des Patienten, der subjektive und der objektive Behandlungsbedarf, die vorhandenen Materialien und die intraorale Beschaffenheiten der zu reparierenden Oberflächen beachtet werden. Das hier vorgestellte Protokoll für die mobile Zahnmedizin ist eine Näherung an die in der Literatur derzeit verfügbaren und teilweise von Herstellern empfohlenen Prozeduren [Frese und Schick, 2019].
Danksagung: Großer Dank geht an Dr. Ina Dahnke , Dr. Natalia Giedrys, Dr. Inga Holstermann, Dr. Anke Jellbauer, Dr. Ulrike Jost, Dr. Wolfram Jost, Dr. Michael Nölle, Dr. Hansmartin Spatzier, Dr. Peggy Stölzel, Dr. Heike Wickop (in alphabetischer Reihenfolge), ohne die dieser Beitrag nicht möglich gewesen wäre.
Literaturliste
Frese C, Schick S (2019). Arbeitsabläufe bei der Reparatur mit Kompositmaterialien. Zahnmedizin up2date 13(435–446.
Kanzow P, Baxter S, Rizk M, Wassmann T, Wiegand A (2019). Effectiveness of a universal adhesive for repair bonding to composite and amalgam. J Oral Sci 61(2):343–350.
Nitschke I, Wefers, K-P.; Jockusch, J. (2023). Mobile Zahnmedizin – Die aufsuchende Betreuung Berlin: Quintessence Publishing.






















