Hybridrestauration: Kastenelevation plus indirekte CAD/CAM-Versorgung
Eine 44-jährige Patientin stellte sich mit einer frakturierten Teilkrone am endodontisch behandelten Zahn 26 in der Poliklinik für Zahnerhaltungskunde vor. Die Patientin hat Allergien gegen Nickel und Wollwachs und nimmt bei Bedarf Analgetika ein.
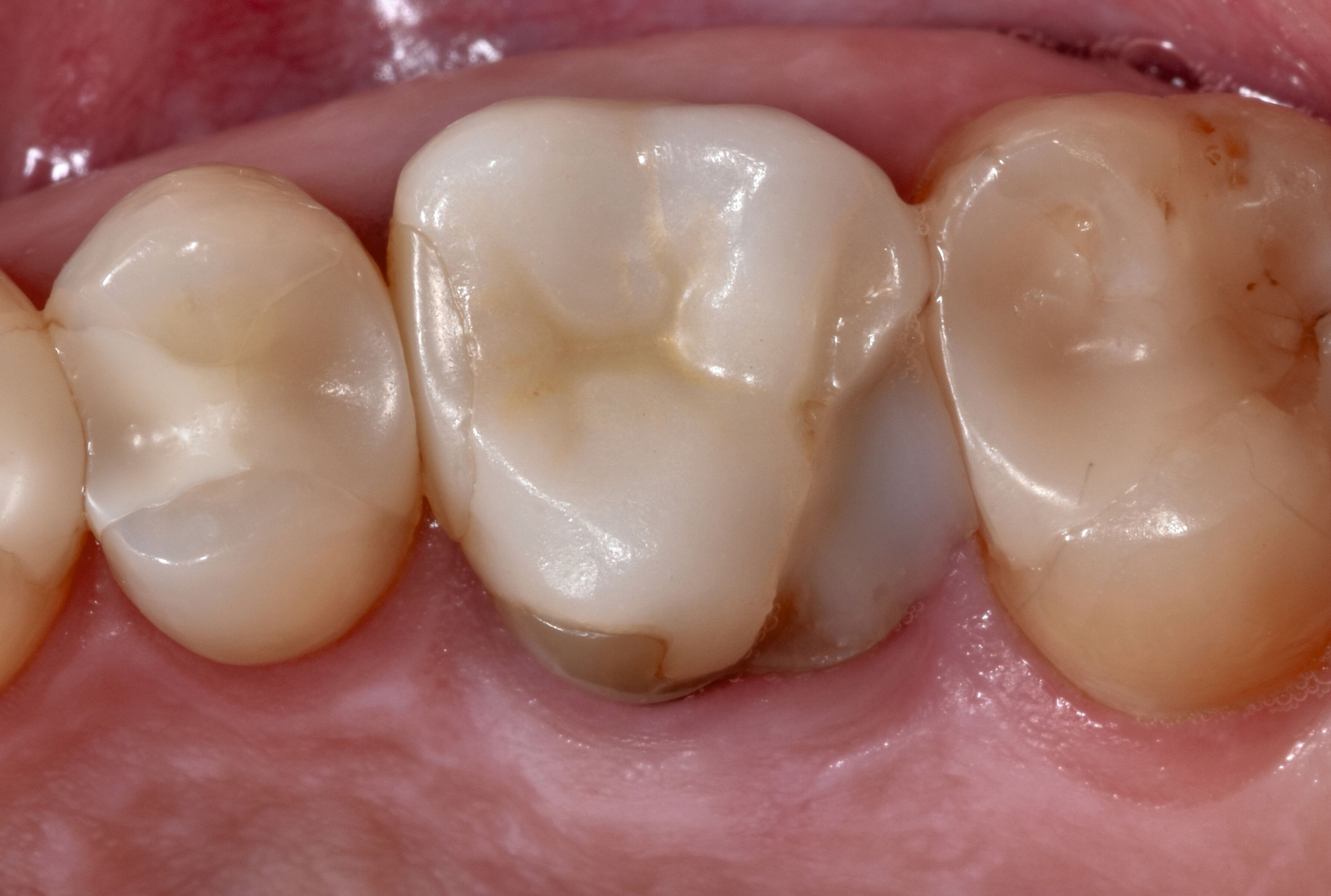
Zahn 26 ist vor etwa 20 Jahren endodontisch behandelt und anschließend postendontisch mit einer indirekten keramischen Restauration versorgt worden. Bei der klinischen und der röntgenologischen Diagnostik fällt distal an Zahn 26 eine bis in den subgingivalen Bereich reichende Sekundärkaries auf. Die Wurzelkanalfüllung erscheint homogen und randständig, es besteht kein Hinweis auf eine periapikale Osteolyse. Weiterhin besteht kein Anhalt auf eine parodontale Erkrankung. Bis zur definitiven restaurativen Therapie wird das freiliegende Dentin mit einer Schicht Flow-Komposit abgedeckt (Abbildung 1).
Zur definitiven Versorgung des subgingivalen Defekts im distalen Bereich des Zahnes 26 wird der Patientin eine Kastenelevation mit Komposit und anschließend eine restaurative Versorgung mit einer CAD/CAM-gefertigten Teilkrone aus Lithium-Disilikat-Glaskeramik vorgeschlagen.
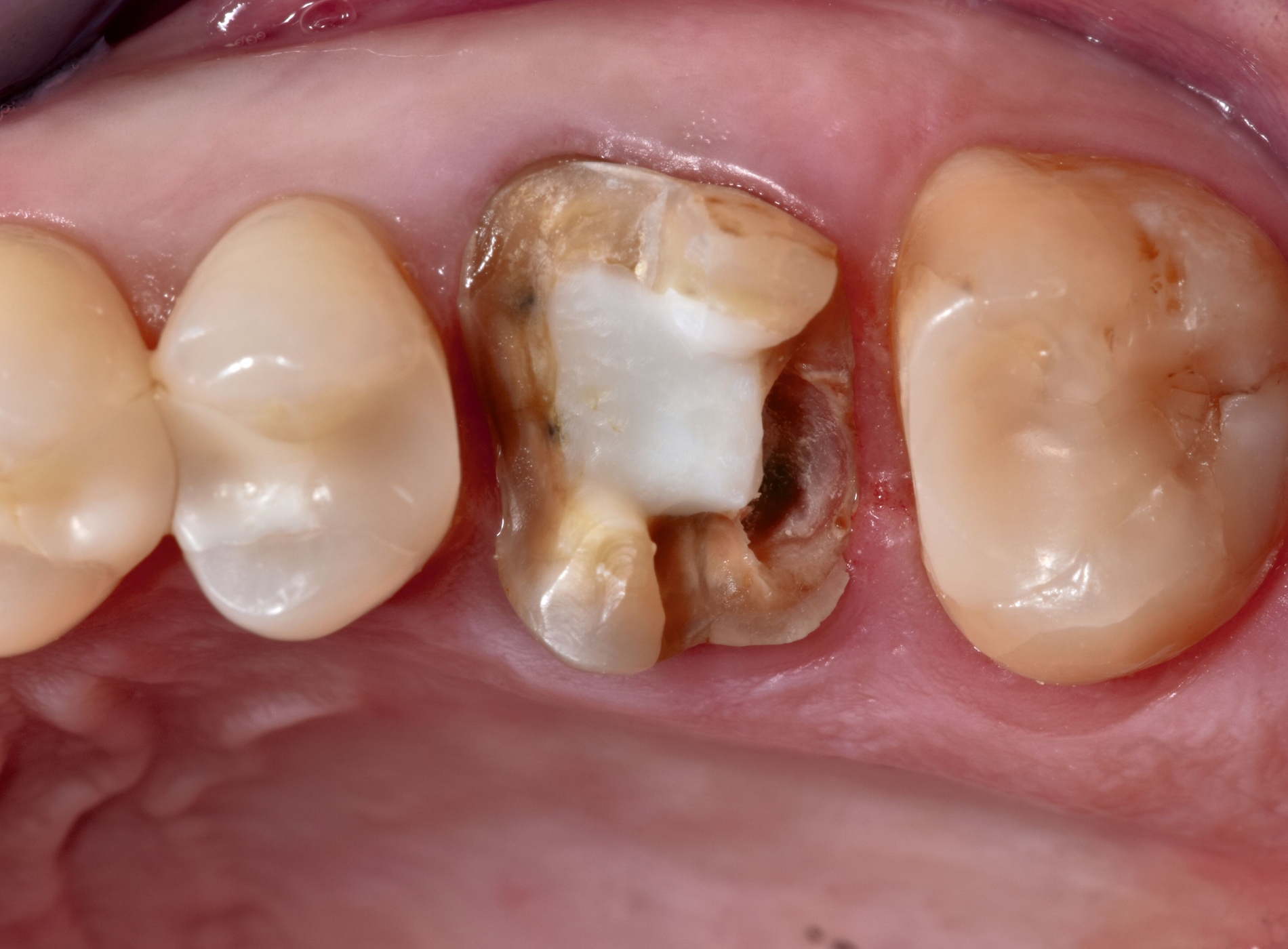
Zu Beginn werden die frakturierte Teilkrone und das provisorisch aufgebrachte Flow-Komposit entfernt, der kariöse Defekt dargestellt und die Wurzelkaries exkaviert. Mit einem speziellen 10-Methacryloyloxidecyl-Dihydrogenphosphat(MDP)-haltigen Cleaner wird das mit Speichel kontaminierte Wurzeldentin gereinigt und für die Adhäsivtechnik vorbereitet (siehe Materialliste). Im hier gezeigten Fall kann trotz des subgingivalen Defekts zirkulär eine spezielle Ringbandmatrize angelegt werden, die zusätzlich mit einem Keil abgedichtet wird.
Nach Anwendung eines Universaladhäsivs und Lichtpolymerisation wird die Kastenelevation mithilfe der „Schneepflug-Technik“ eingebracht: Zunächst wird mit einer zahnärztlichen Sonde eine kleine Menge Flow-Komposit auf die Kavität aufgebracht, aber keine Lichthärtung vorgenommen. In das weiche, ungehärtete Flow-Komposit wird visköses Restaurations-Komposit einmodelliert und die approximale Stufe im distalen Bereich des Zahnes auf ein supragingivales Niveau angehoben.
Der Effekt durch die Vermischung der beiden Kompositmaterialien in ungehärtetem Zustand besteht in der Optimierung der marginalen Adaptation und der Verbesserung der Randqualität am subgingivalen Bereich. Nach Abnahme der Matrize erfolgt eine erneute Lichtpolymerisation und die Ausarbeitung der subgingivalen Restaurationsränder mithilfe eines sichelförmigen Skalpells (Nr. 12), von Finierdiamanten und gegebenenfalls von oszillierenden diamantierten Shape-Feilen (Abbildung 2).

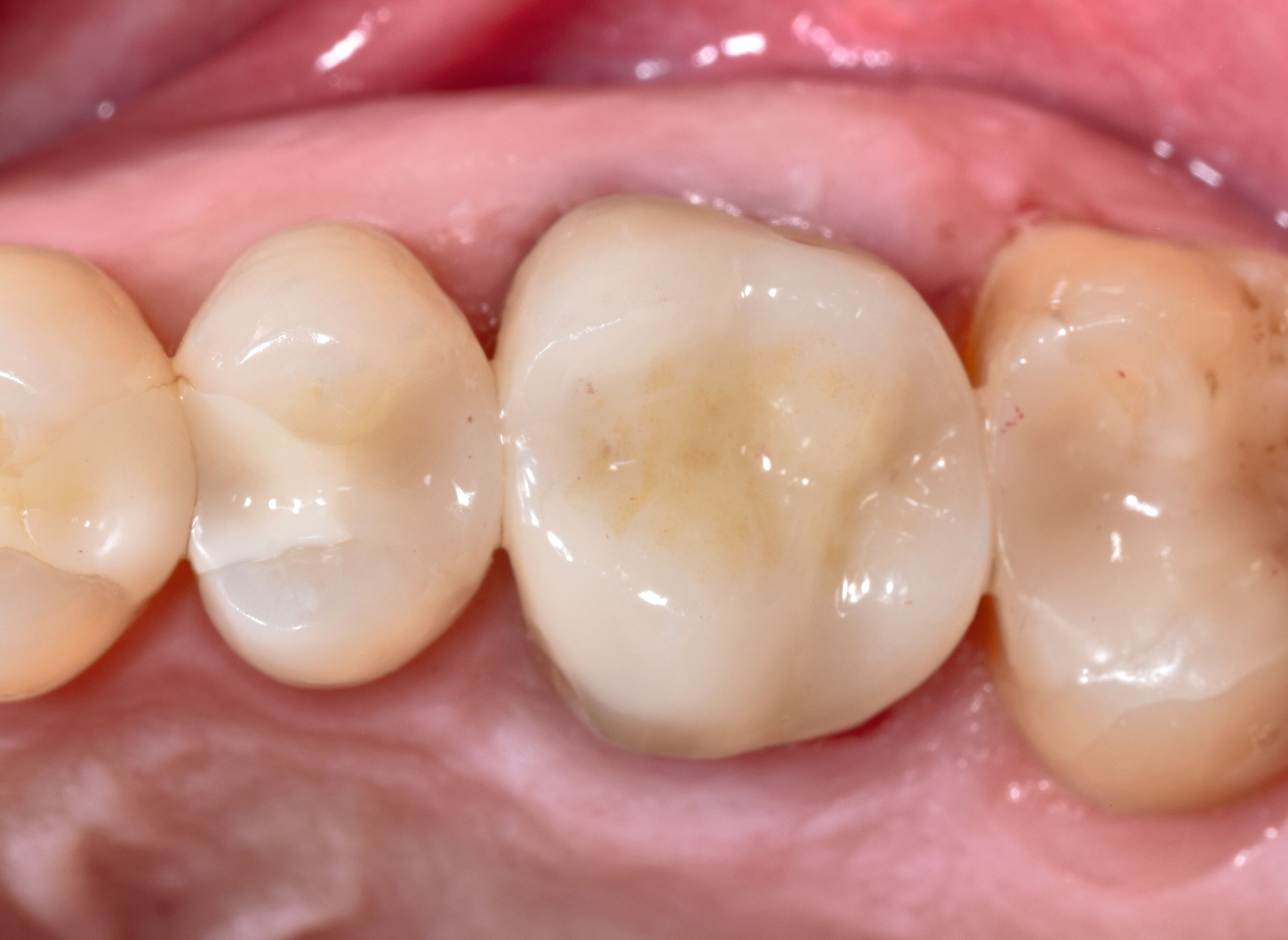
Im weiteren Restaurationsverlauf erfolgen zunächst eine Nachpräparation und das Finieren des Zahnes 26, anschließend die optische Abformung für die Herstellung einer Teilkrone aus Lithium-Disilikat-Glaskeramik (siehe Materialliste). Nach Anprobe der indirekten CAD/CAM-Restauration wird die Restauration gereinigt und für 20 s mit Flusssäure angeätzt, mit einem speziellen MDP-haltigen Primer bestrichen und in einem Lichtschutzgefäß gelagert. Nach Trockenlegung und Reinigung wird der Zahn 26 angeätzt, ein Adhäsiv aufgetragen, die Deckrestauration mit Befestigungskomposit bestrichen und adhäsiv befestigt (Abbildung 3, Materialliste).
Je nach Befestigungsmaterial kann vor der Lichtpolymerisation ein Glycerin-Gel auf den Zementspalt aufgetragen werden. Nach Lichthärtung von allen Seiten werden die Überschüsse entfernt, die Okklusion wird eingeschliffen und die Restauration abschließend poliert. Es finden zudem eine Anpassung von Interdentalraumbürsten sowie eine Mundhygieneinstruktion statt. Darüber hinaus wird die Patientin über notwendige regelmäßige Kontrollen im Sinne der präventiven Erhaltungstherapie aufgeklärt.
Bei der Kontrolle nach sechs Monaten zeigen sich an Zahn 26 entzündungsfreie Verhältnisse und kein Anhalt auf Lockerung oder erhöhte Sondierungstiefen. Die Patientin verwendet täglich eine Interdentalraumbürste als Hilfsmittel zur häuslichen Mundhygiene. Zur Kontrolle wird ein Zahnfilm angefertigt. Röntgenografisch zeigt sich im distalen Bereich des Zahnes 26 die Kastenelevation aus Komposit mit stufenlosem Übergang zur indirekten keramischen Deckrestauration (Abbildung 4).

Synopse
Kompositrestaurationen unterhalb der Schmelz-Zement-Grenze zeigen generell eine höhere Misserfolgsrate als Kompositrestaurationen mit schmelzbegrenzten Rändern [Kuper et al., 2012], was unter anderem den technischen Schwierigkeiten wie Trockenlegung, Blutungskontrolle und erschwerter Lichtpolymerisation im subgingivalen Bereich geschuldet sein dürfte.
Zur Versorgung lokalisierter, tief subgingival reichender Defekte werden in der Literatur verschiedene zweiphasige Ansätze beschrieben, entweder mithilfe von Kompositmaterialien alleine oder mit unterschiedlichen Materialgruppen im Sinne von Hybridrestaurationen. In Bezug auf die hier gezeigte Hybridrestauration zeigen In-vivo- und In-vitro-Studien, dass keine erhöhten Randspaltbildungen am Interface zur Kastenelevation auftreten [Bresser et al., 2019; Frankenberger et al., 2012; Roggendorf et al., 2012].
Kastenelevationen können in tiefen approximalen Kästen das Risiko für Frakturen an der keramischen Deckrestauration senken, und eine Überkupplung von Höckern im Sinne eines Onlays erhöht die Bruchfestigkeit der Restauration [Bresser et al., 2020]. Ein systematisches Review aus dem Jahr 2023 konnte insgesamt 38 Publikationen (systematische Reviews, In-vitro- und In-vivo-Studien) zur Kastenelevation identifizieren [Eggmann et al., 2023]. Es zeigte sich, dass Kastenelevationen aus Komposit, die das suprakrestale Bindegewebsattachment nicht verletzen, mit der parodontalen Gesundheit vereinbar sind, wenn glatte und irritationsfreie Restaurationsränder vorliegen [Muscholl et al., 2022; Samartzi et al., 2022].
Voraussetzung für das subgingivale Einbringen von iatrogenen Restaurationsrändern ist allerdings die individuelle Beurteilung des parodontalen Zustands und des dento-gingivalen Komplexes an der Stelle des Defekts zum Beispiel durch bone sounding. Das Ausmaß der biologischen Breite variiert individuell stark in Abhängigkeit von der Lokalisation des Zahnes in der Mundhöhle, der betroffenen Zahnfläche, dem Vorhandensein einer Restauration und parodontalen Erkrankungen [Schmidt et al., 2013].
Therapieentscheidungen für oder gegen eine Kastenelevation sollten daher fallbezogen und individuell abgewogen werden. Die derzeitigen Erkenntnisse und zahlreichen klinischen Fallberichte deuten darauf hin, dass die Kastenelevation ein biomechanisch vorteilhafter und praktikabler Ansatz für die Restauration von Zähnen mit lokalisierten subgingivalen Defekten ist und eine mögliche Alternative zur chirurgischen Kronenverlängerung darstellt. Allerdings ist die Evidenzlage aufgrund der verfügbaren Literatur bislang nicht stark genug und weitere, insbesondere randomisierte klinische Studien sind notwendig.
Literaturliste
Bresser RA, Gerdolle D, van den Heijkant IA, Sluiter-Pouwels LMA, Cune MS, Gresnigt MMM (2019). Up to 12 years clinical evaluation of 197 partial indirect restorations with deep margin elevation in the posterior region. J Dent 91(103227.
Bresser RA, van de Geer L, Gerdolle D, Schepke U, Cune MS, Gresnigt MMM (2020). Influence of Deep Margin Elevation and preparation design on the fracture strength of indirectly restored molars. J Mech Behav Biomed Mater 110(103950.
Eggmann F, Ayub JM, Conejo J, Blatz MB (2023). Deep margin elevation-Present status and future directions. J Esthet Restor Dent 35(1):26-47.
Frankenberger R, Hehn J, Hajto J, Kramer N, Naumann M, Koch A et al. (2012). Effect of proximal box elevation with resin composite on marginal quality of ceramic inlays in vitro. Clin Oral Investig.
Kuper NK, Opdam NJ, Bronkhorst EM, Huysmans MC (2012). The influence of approximal restoration extension on the development of secondary caries. J Dent 40(3):241-247.
Muscholl C, Zamorska N, Schoilew K, Sekundo C, Meller C, Busch C et al. (2022). Retrospective Clinical Evaluation of Subgingival Composite Resin Restorations with Deep-Margin Elevation. J Adhes Dent 24(335-344.
Roggendorf MJ, Kramer N, Dippold C, Vosen VE, Naumann M, Jablonski-Momeni A et al. (2012). Effect of proximal box elevation with resin composite on marginal quality of resin composite inlays in vitro. J Dent.
Samartzi TK, Papalexopoulos D, Ntovas P, Rahiotis C, Blatz MB (2022). Deep Margin Elevation: A Literature Review. Dent J (Basel) 10(3).
Schmidt JC, Sahrmann P, Weiger R, Schmidlin PR, Walter C (2013). Biologic width dimensions--a systematic review. J Clin Periodontol 40(5):493-504.





















