Innovative Lösungen für multiple Lücken im Frontzahnbereich
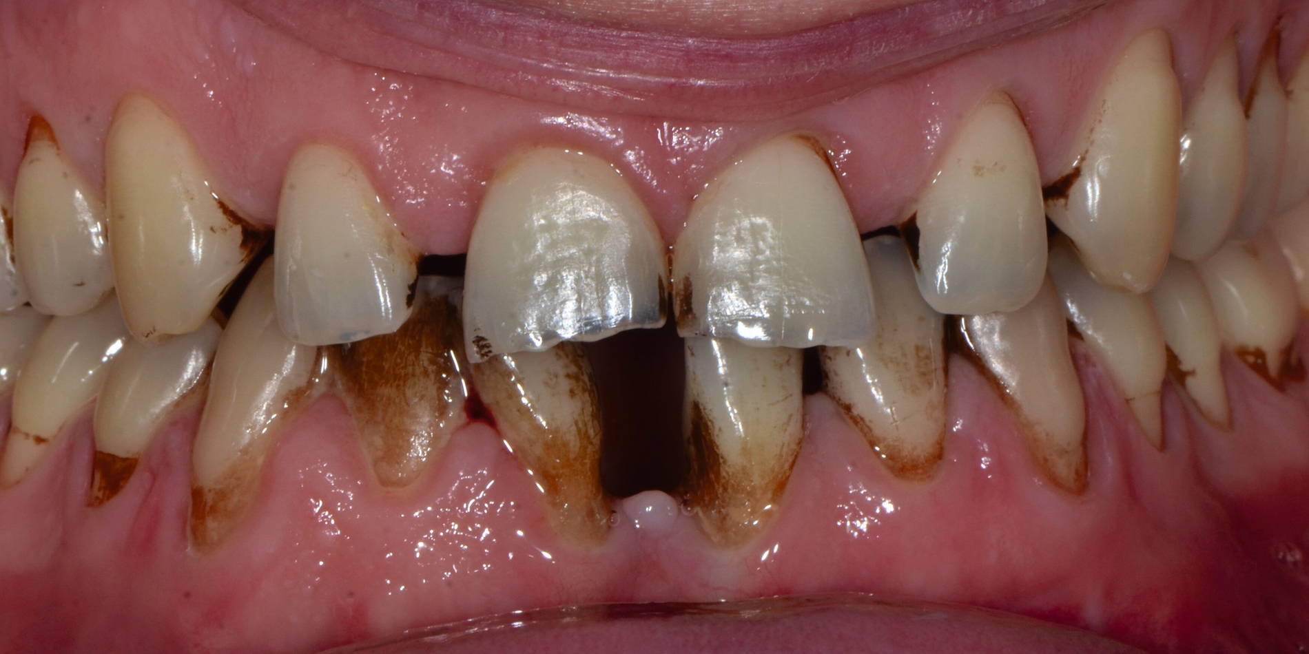
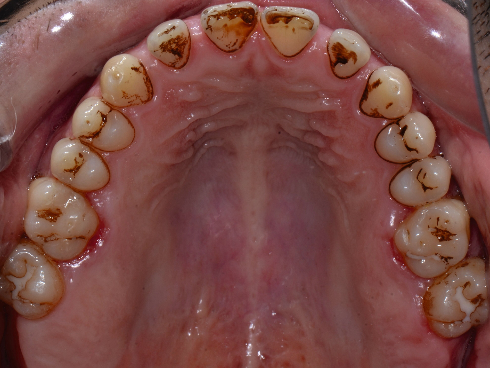
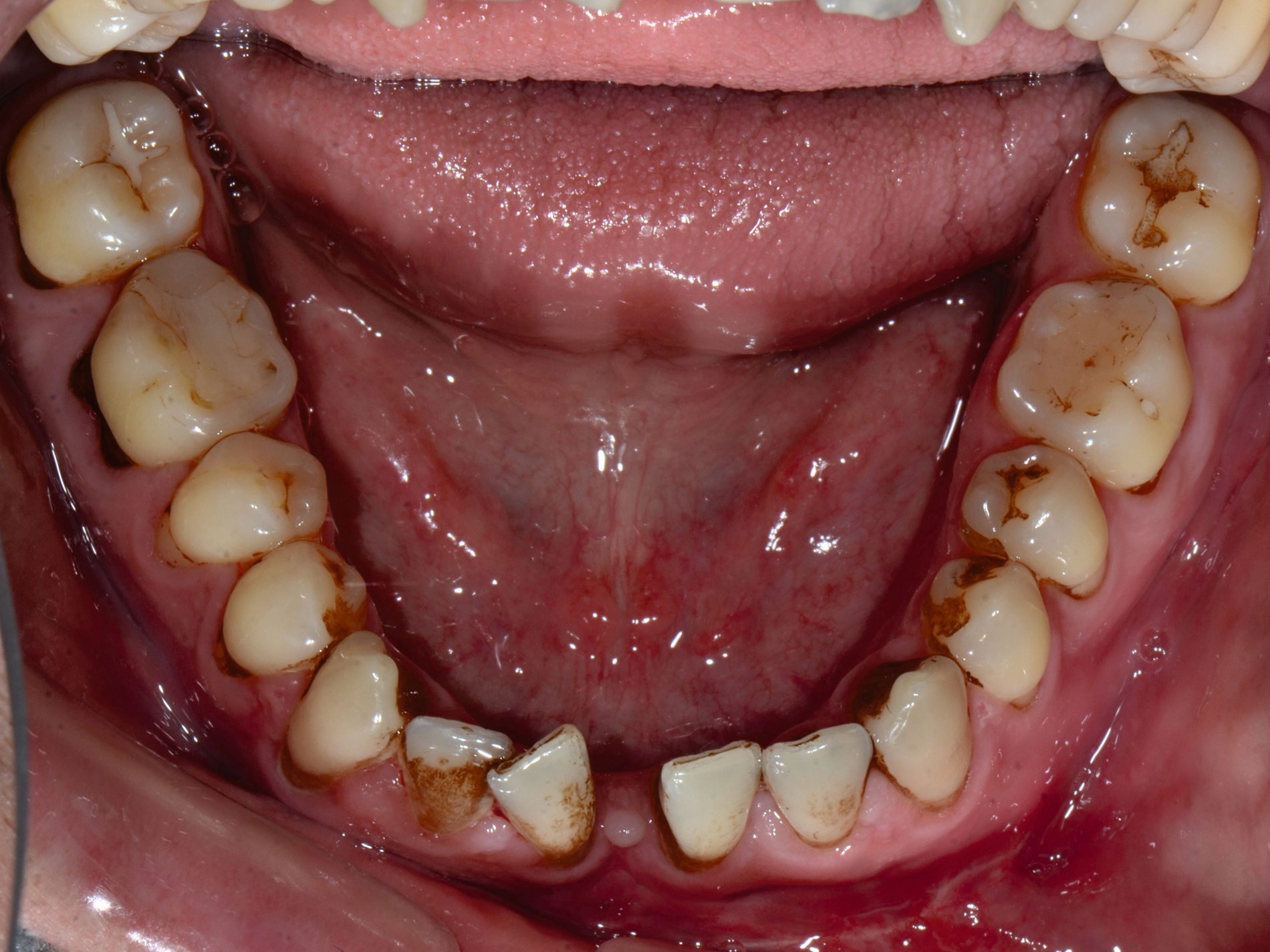
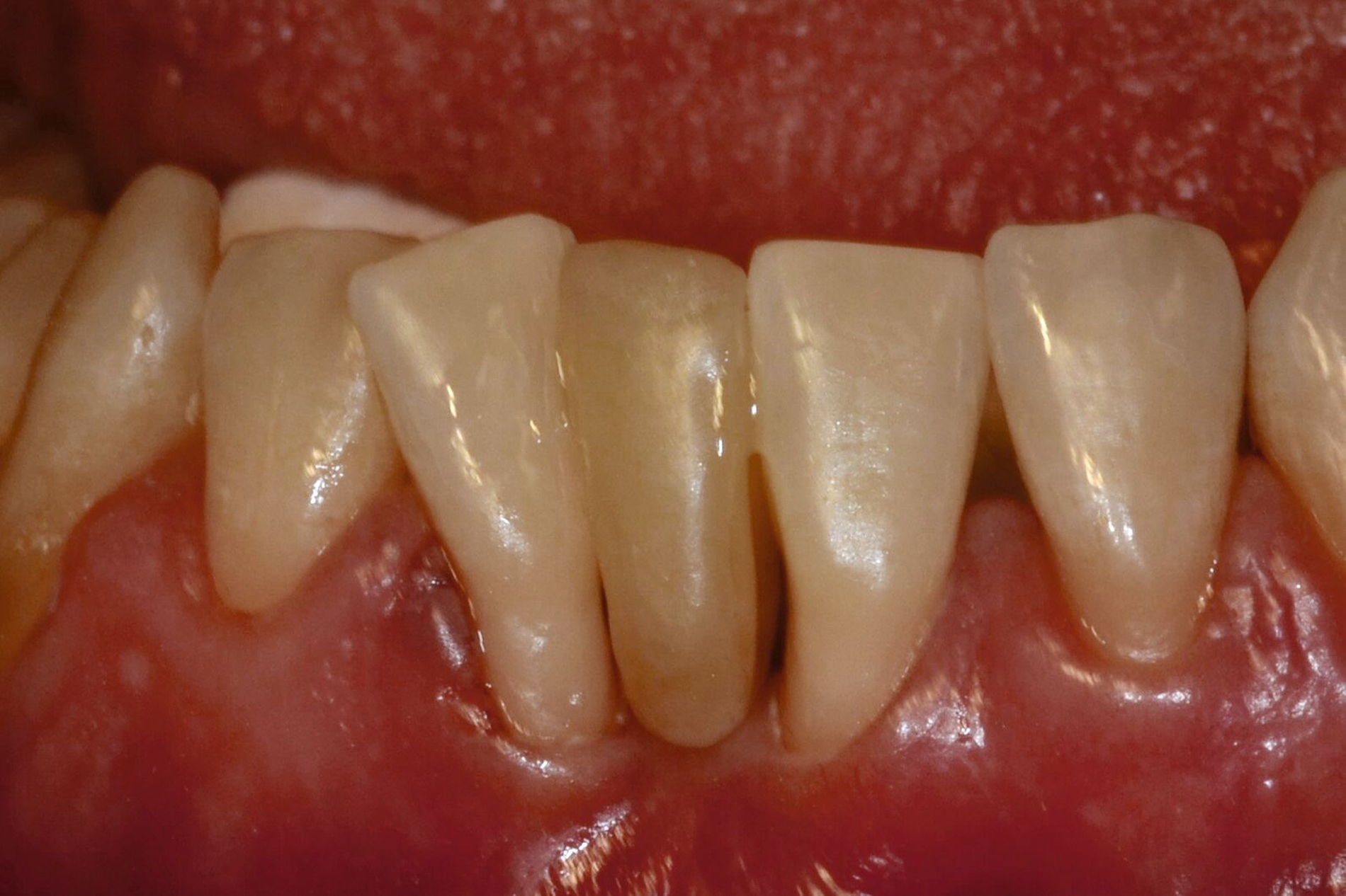
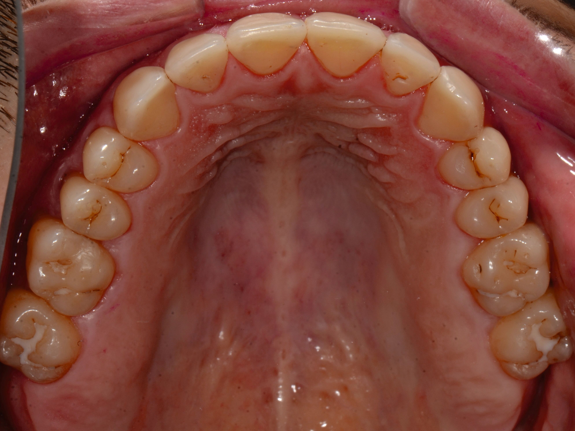
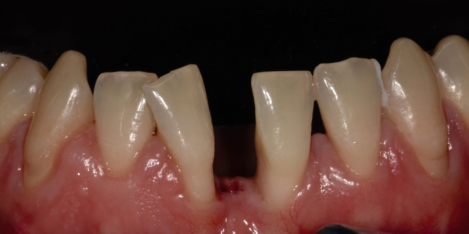
Der 36-jährige Patient stellte sich auf Überweisung der Poliklinik für Kieferorthopädie in der Poliklinik für Zahnerhaltungskunde des Universitätsklinikums Heidelberg vor. Allgemeinanamnestisch lag lediglich eine Allergie gegen Hausstaub sowie Tierhaare vor. Der Patient ist Nichtraucher, konsumiert jedoch täglich eine größere Menge an Tee. Es hatte bereits eine langjährige kieferorthopädisch-chirurgische Therapie mit Gaumennahterweiterung sowie bimaxillärer Umstellungsosteotomie stattgefunden. Allerdings bestanden nach Abschluss der KFO-Therapie Restlücken unterschiedlichen Ausmaßes im Ober- wie im Unterkiefer (Abbildung 1). Diese sollten – wenn möglich – mittels minimalinvasiver Therapieoptionen geschlossen werden.
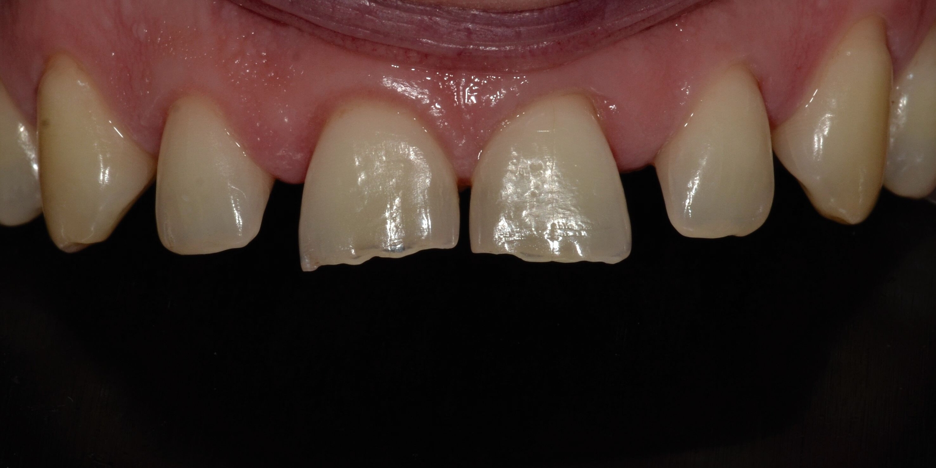
Die Planung zum Lückenschluss wurde zusammen mit dem Patienten in einer gesonderten Sitzung anhand aufgewachster Modelle sowie mithilfe eines Mock-ups besprochen (Abbildung 2). Aufgrund der Lückengröße im Unterkiefer wurde dem Patienten empfohlen, die Lücke mittels eines Komposit-Pontics, das in die Lücke zwischen die Zähne 31 und 41 gesetzt werden soll, zu schließen. Zusätzlich sollten die Zähne 31 und 41 umgeformt werden, um die verbliebene Zahnfehlstellung des Zahnes 41 zu kaschieren.
Ein Lückenschluss zwischen 31 und 41 durch eine Zahnformkorrektur würde hieraus resultierende ästhetische Einbußen bedeuten und wurde daher im Gespräch verworfen. Eine implantatprothetische Versorgung war aufgrund der Lückenkonfiguration zunächst nicht indiziert. Als Alternative wäre eine konventionelle Brückenversorgung möglich, diese kam jedoch aufgrund des hohen Substanzverlusts an den Pfeilerzähnen sowie aufgrund des Risikos einer Devitalisierung und der vorliegenden parodontalen Beeinträchtigung der infrage kommenden Pfeilerzähne nicht in Betracht. Aus parodontalen Gründen wurde auch die Möglichkeit einer ein- oder zweiflügeligen Klebebrücke zunächst verworfen.
Im Oberkiefer: Lückenschluss durch Zahnformkorrektur
Vor Beginn der restaurativen Therapie wurde aufgrund der starken Verfärbungen eine professionelle Zahnreinigung durchgeführt. Die Restlücken im Oberkiefer wurden mittels Zahnformkorrekturen aus Komposit geschlossen. Dazu wurde zunächst das Arbeitsfeld relativ trockengelegt. Das Zahnfleisch wurde mittels Retraktionsfäden verdrängt, um einen idealen Randschluss herstellen zu können. Zur Schaffung einer mikroretentiven Oberfläche wurden die Zahnflächen mit Aluminiumoxid-Pulver (50 µm, Rondoflex) angeraut. Anschließend wurden die Säure-Ätz-Technik sowie die Adhäsivtechnik durchgeführt.
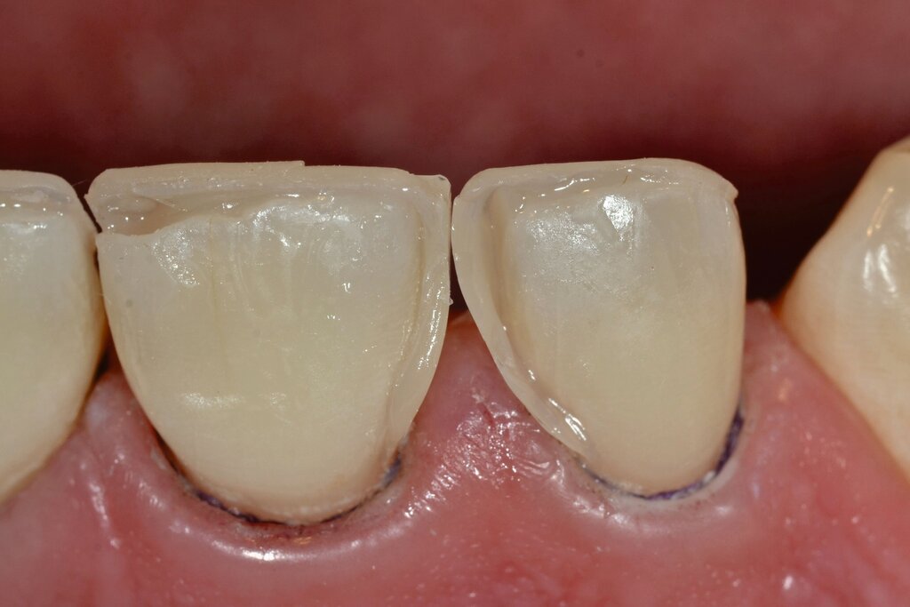
Zum Aufbau der palatinalen Schmelzwände wurde ein vorher am Wax-up-Modell hergestellter Silikonschlüssel verwendet. Dazu wurde das Restaurationskomposit in den Silikonschlüssel hinein geschichtet und anschließend am Zahn adaptiert und lichtpolymerisiert (Abbildungen 3a bis 3c). Zur Approximalraumgestaltung wurde eine vorgeformte durchsichtige Matrize verwendet und eine individuelle Verschalungstechnik angewendet. Dazu wurde die Matrize approximal fixiert, ein flexibles Provisorienmaterial zur apikalen Adaptation und Formgebung in den Interdentalraum appliziert und vor der Lichthärtung mit einem Heidemannspatel in die gewünschte Form gebracht (Abbildungen 3d und 3e). Bei der Schichtung der fazialen Fläche wurde der Zahn aufgrund der starken Abrasionen zunächst mit Restaurationsmaterial in Dentinfarbe überschichtet und mit Malfarben individualisiert (Abbildung 3f), abschließend wurde Schmelzmasse aufgetragen.
Formgebung und Politur erfolgten mittels rotierender Instrumente, Soflex-Scheiben und Polierern. Zudem wurden Interdentalraumbürsten angepasst sowie erneute Mundhygieneinstruktionen erteilt. Darüber hinaus wurde der Patient über notwendige regelmäßige Kontrollen der Restaurationen im Sinne der präventiven Erhaltungstherapie aufgeklärt.
Im Unterkiefer: Lückenschluss durch Komposit-Pontic
In die Lücke zwischen 31 und 41 im Unterkiefer wurde ein laborgefertigtes, individuell geschichtetes Komposit-Pontic (Abbildung 4a) eingeklebt. In diesem Zug wurde die Zahnstellung des Zahnes 41 mithilfe einer Formkorrektur korrigiert. Auch hier wurde zunächst das Arbeitsfeld trockengelegt. Danach wurde das laborgefertigte Pontic im Mund anprobiert und die Position kontrolliert. Um eine gute Reinigungsfähigkeit trotz Verblockung zu gewährleisten, wurden Ligaturen aus Wedjets an den Pfeilerzähnen 31 und 41 gelegt (Abbildung 4b). Anschließend wurden auch hier zur Schaffung einer mikroretentiven Oberfläche sowohl die Zahnflächen als auch das laborgefertigte Pontic mit Aluminiumoxid-Pulver (50 µm, Rondoflex) angeraut. Danach wurden die Säure-Ätz-Technik sowie die Adhäsivtechnik an den Zähnen sowie am Pontic durchgeführt. Am Pontic wurde zusätzlich ein Silan verwendet.
Danach wurde das Pontic mit einem faserverstärkten Kompositstrang (FRC-Strang) eingeklebt. Hierzu wurde das Pontic zur initialen Befestigung und zur Sicherung der Position interdental mit einer geringen Menge fließfähigen Komposits an den Pfeilerzähnen 31 und 41 fixiert (Abbildung 4c). Zur Längenbestimmung des benötigten FRC-Strangs wurde die Lückendistanz in Regio 31–41 mithilfe eines Wedjets ausgemessen (Abbildung 4d). Um den FRC-Strang zu fixieren, wurde oral an den Pfeilerzähnen 31 und 41 sowie am Pontic eine geringe Menge Flow-Komposit aufgetragen, der FRC-Strang positioniert und vorsichtig angedrückt. Die Aushärtung erfolgte parallel dazu und schrittweise an jeder anzudrückenden Stelle für jeweils drei Sekunden, um die Materialien initial zu härten und so die Position zu sichern (Abbildung 4e). Nach korrekter Positionierung wurde der Strang vollständig lichtpolymerisiert.
Zum Schluss wurde der gesamte FRC-Strang mit Restaurationskomposit überschichtet (Abbildung 4f). Nachdem der FRC-Strang erfolgreich eingebracht worden war, erfolgte die faziale Umformung der Pfeilerzähne 31 und 41 zur Form- und Stellungskorrektur. Dabei wurden erneut vorgeformte durchsichtige Kunststoffmatrizen in der individuellen Matrizenverschaltechnik (siehe oben) verwendet. Auch hier wurden zunächst die approximalen Schmelzwände und anschließend die fazialen Zahnflächen aufgebaut (Abbildung 4g). Nach Ausarbeitung und Politur (Abbildung 4h und 4i) erfolgte erneut die Anpassung von Interdentalraumbürstchen sowie eine Mundhygieneinstruktion des Patienten mit Demonstration der Anwendung von Superfloss.
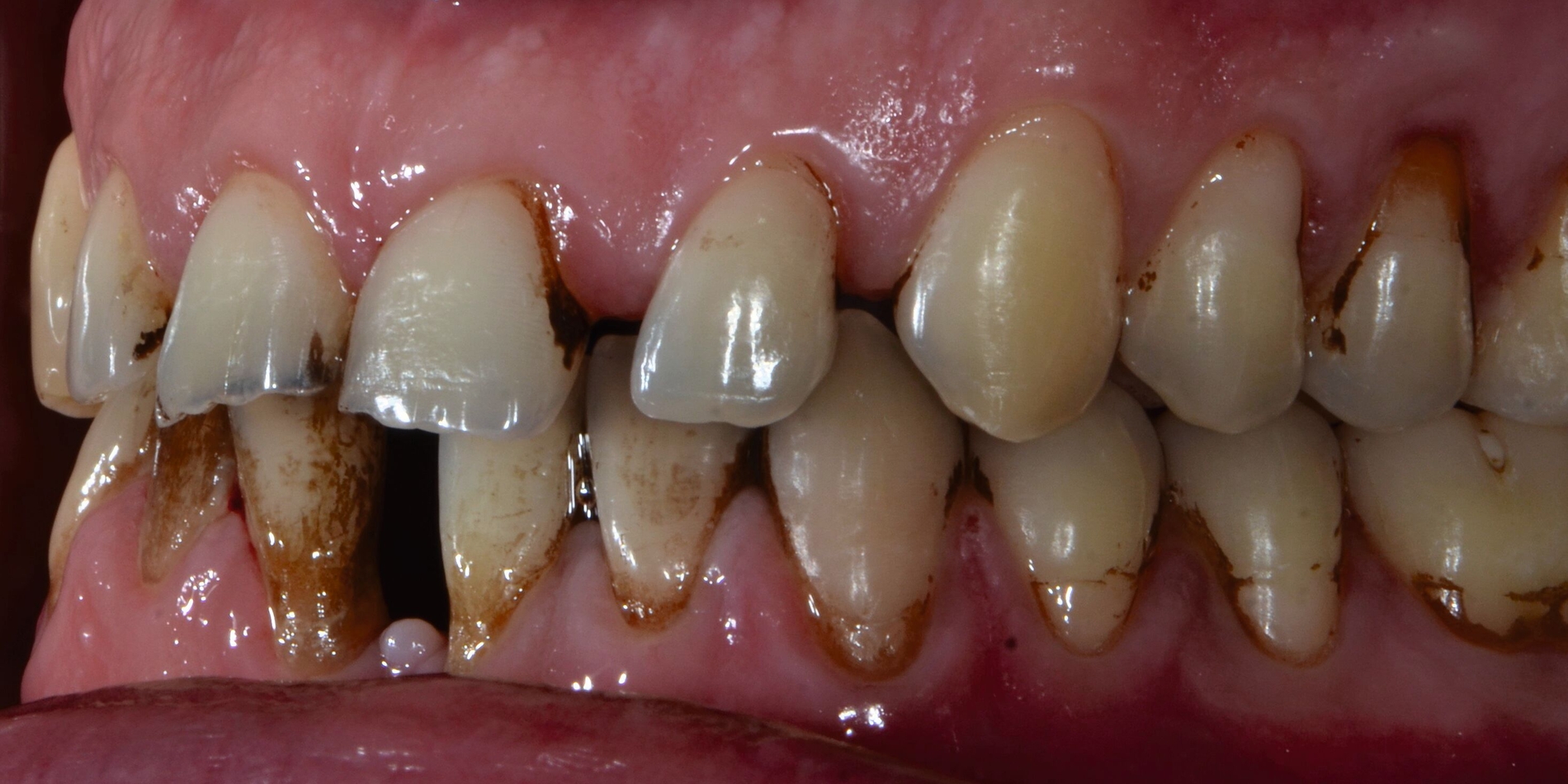
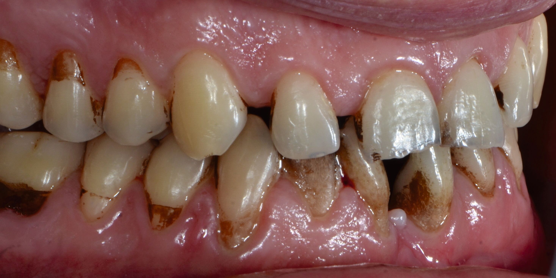
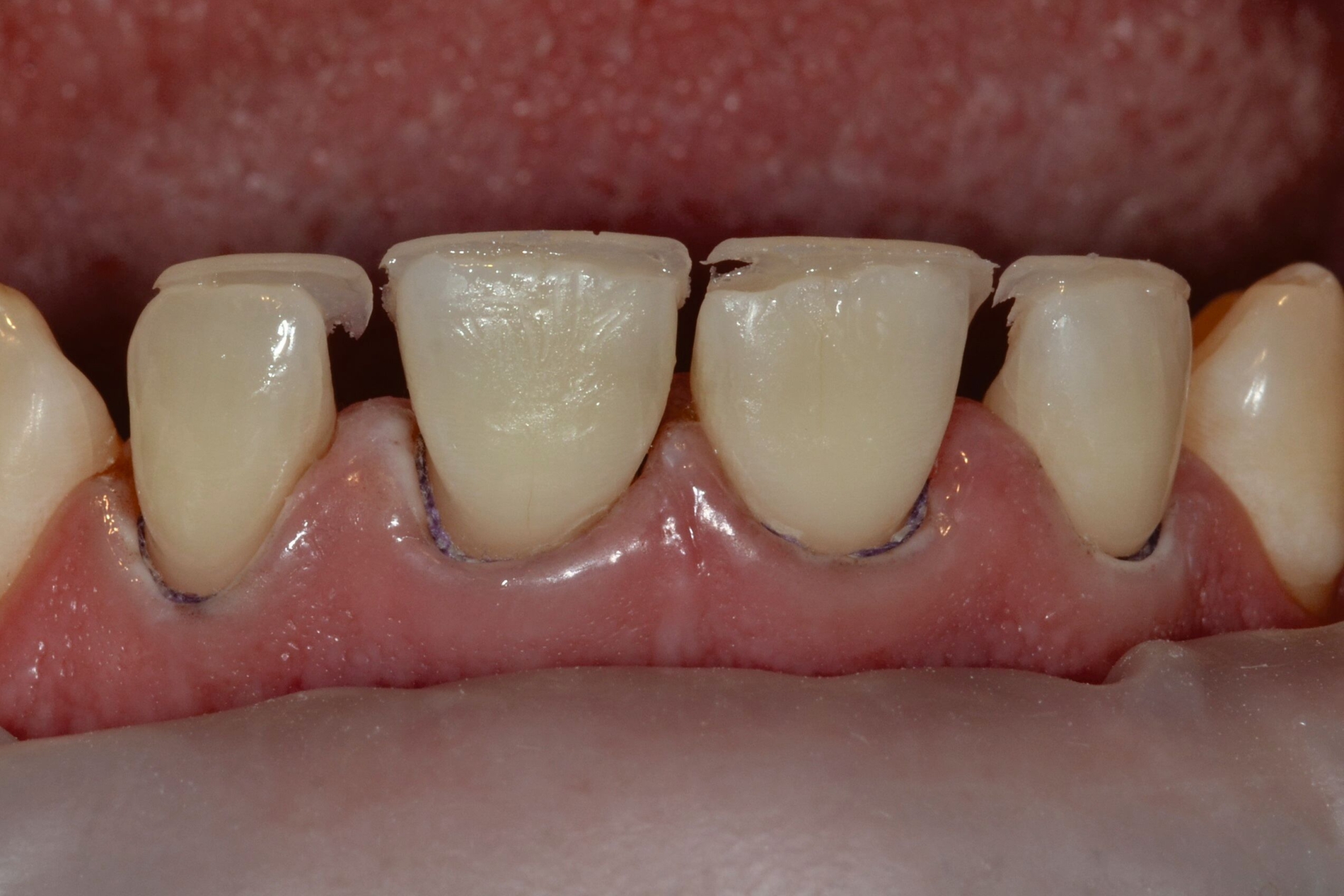
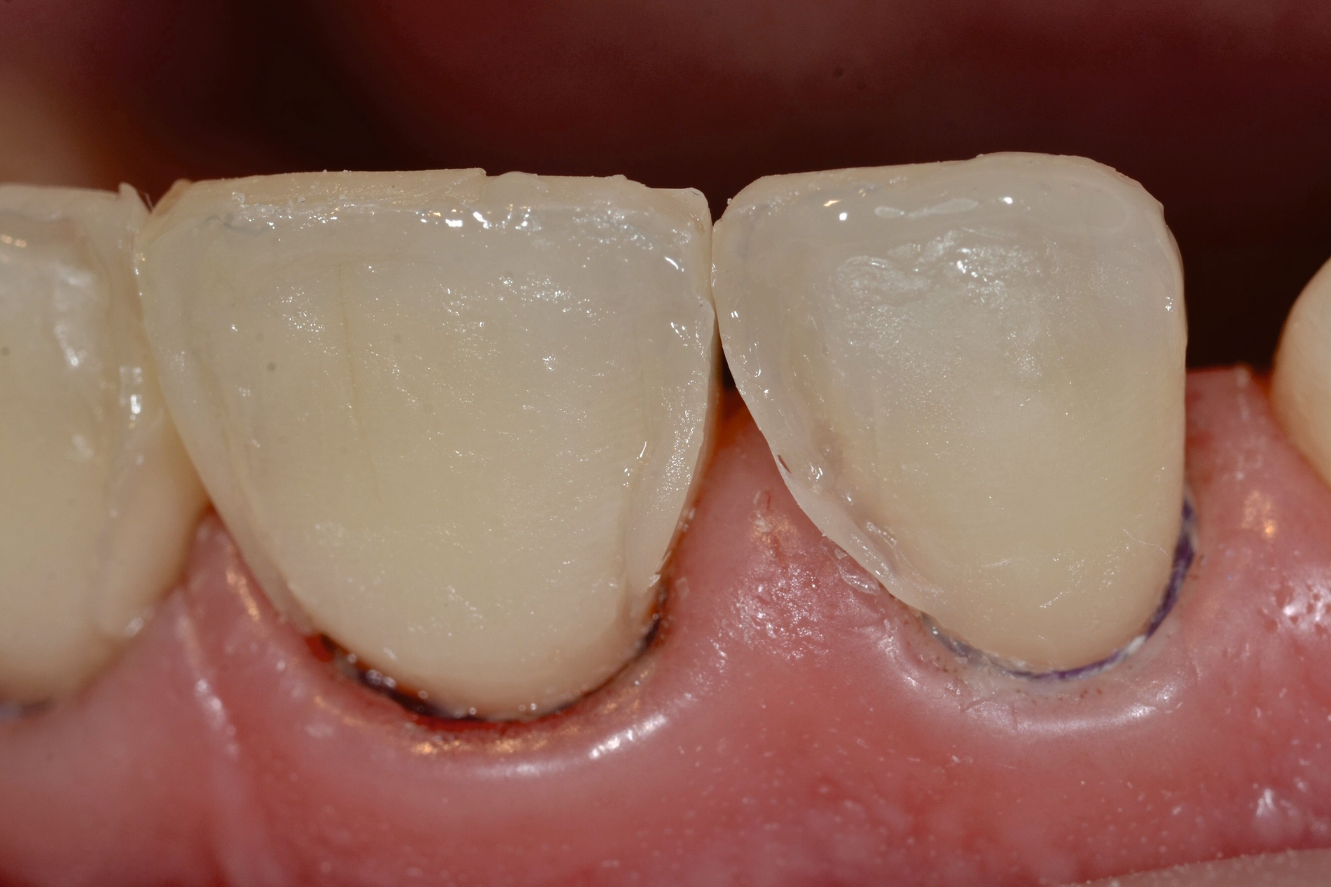
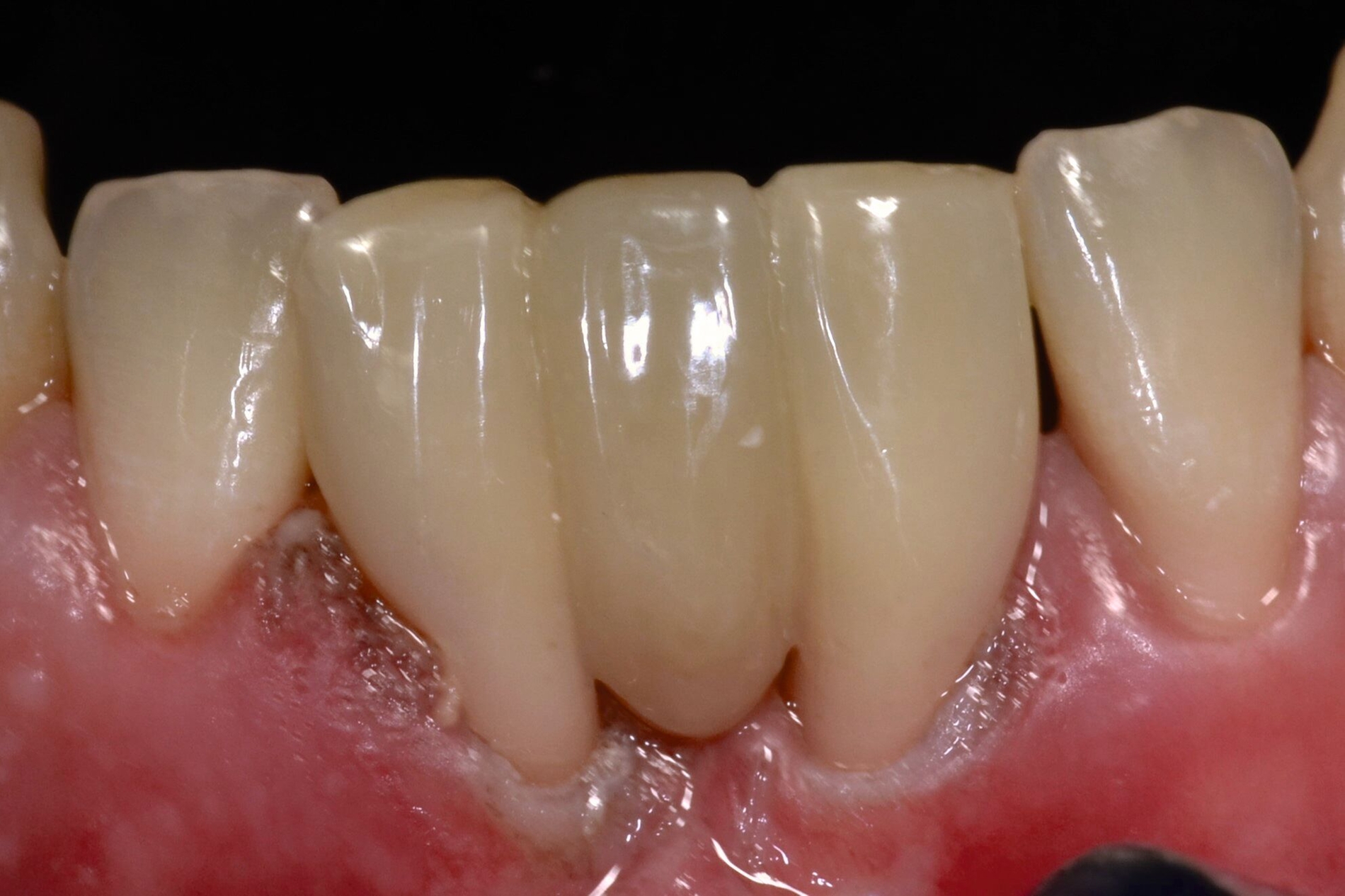
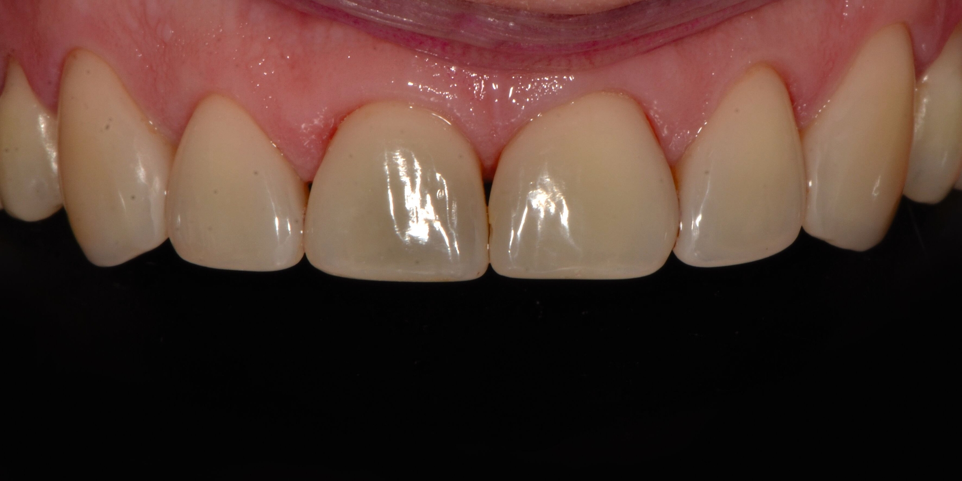
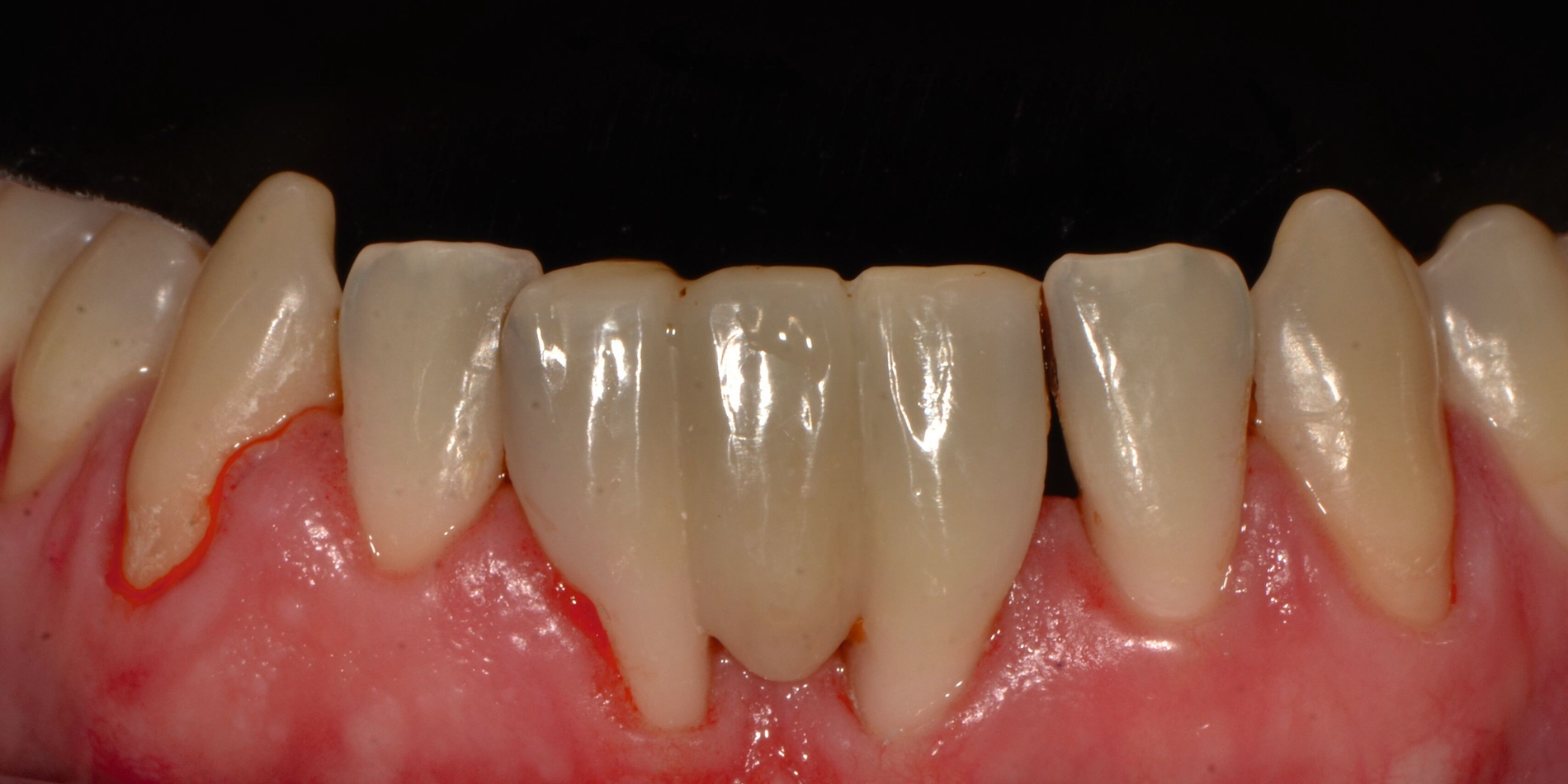
Bei der Kontrolle nach sechs Monaten erschien die klinische Situation stabil, es kam nicht zu Chippingfrakturen oder anderen unerwünschten Ereignissen an den Kompositrestaurationen. Es waren lediglich erneute Tee-Verfärbungen sowohl an den Zähnen als auch an den Restaurationen vorhanden, die sich jedoch durch eine professionelle Zahnreinigung entfernen ließen. Es bestanden entzündungsfreie gingivale und parodontale Verhältnisse sowie keine erhöhten Lockerungen im Vergleich zum Vorbefund (Abbildung 5).

Zur langfristigen Retention seiner kieferorthopädisch-chirurgischen Behandlung erhielt der Patient nach Abschluss der restaurativen Therapie Schienen.
Synopse
Der hier vorgestellte Fall zeigt ein präventionsorientiertes, direkt-restauratives Therapieverfahren mit positiver Nutzen-Schaden-Bewertung (Zähne wurden nicht präpariert, Reparaturfähigkeit gegeben). Aufgrund des elektiven Charakters dieser Versorgung sollte – wann immer möglich – ein minimalinvasiver und präventionsorientierter Ansatz gewählt werden. Die Überlebensraten von direkten Zahnformkorrekturen im Frontzahnbereich sind sehr gut. Daher ist in der S3-Leitlinie zu direkten Kompositrestaurationen an bleibenden Zähnen im Front- und Seitenzahnbereich (AWMF Register-Nr. 083-028) eine starke Empfehlung für Zahnformkorrekturen im Frontzahnbereich mit Komposit ausgesprochen worden. Dies basierte unter anderem auf Daten einer multizentrischen Studie, bei der 667 Restaurationen nachkontrolliert wurden. Dort zeigten sich 10-Jahres-Überlebensraten von 91,7 Prozent und 15-Jahres-Überlebensraten von 77,6 Prozent.
Im Speziellen betrachtet diese Studie außerdem das sogenannte funktionelle Überleben inklusive reparierter Restaurationen, die in situ geblieben sind. Hier zeigen sich 10-Jahres-Überlebensraten von 98,9 Prozent und 15-Jahres-Überlebensraten von 98,5 Prozent. Die häufigsten Komplikationen der Zahnformkorrekturen waren Chippingfrakturen (n = 46), gefolgt von Versagen des adhäsiven Verbunds (n = 11), die in der Regel durch eine Reparaturrestauration behoben werden können [Frese et al., 2020]. Auch hinsichtlich der parodontalen Parameter wurde festgestellt, dass ästhetische Kompositaufbauten die parodontale Gesundheit langfristig nicht beeinträchtigen [Hahn et al., 2020].
Literaturliste
Deutsche Gesellschaft für Zahn-, Mund- und Kieferheilkunde e.V. (DGZMK), Deutsche Gesellschaft für Zahnerhaltung e.V. (DGZ). S3-Leitlinie Direkte Kompositrestaurationen an bleibenden Zähnen im Front- und Seitenzahnbereich. Version 2.0, 26.01.2024. Verfügbar unter: register.awmf.org/de/leitlinien/detail/083-028, Zugriff am 09.10.2024.
Frese, C., Wohlrab, T., Soliman, S., Hahn, B., Büsch, C., Babai, A., Krastl, G., & Wolff, D. (2020). A Multicenter Trial on the Long-term Performance of Direct Composite Buildups in the Anterior Dentition - Survival and Quality Outcome. The journal of adhesive dentistry, 22(6), 573–580. doi.org/10.3290/j.jad.a45514.
Hahn, B., Wohlrab, T., Frese, C., Wolff, D., Krastl, G., Büsch, C., Babai, A., Schlagenhauf, U., & Soliman, S. (2020). A Multicenter Trial on the Long-term Performance of Direct Composite Buildups in the Anterior Dentition – Periodontal Health. The journal of adhesive dentistry, 22(5), 465–474. doi.org/10.3290/j.jad.a45177.










































