Reparaturrestauration und Zahnformkorrekturen
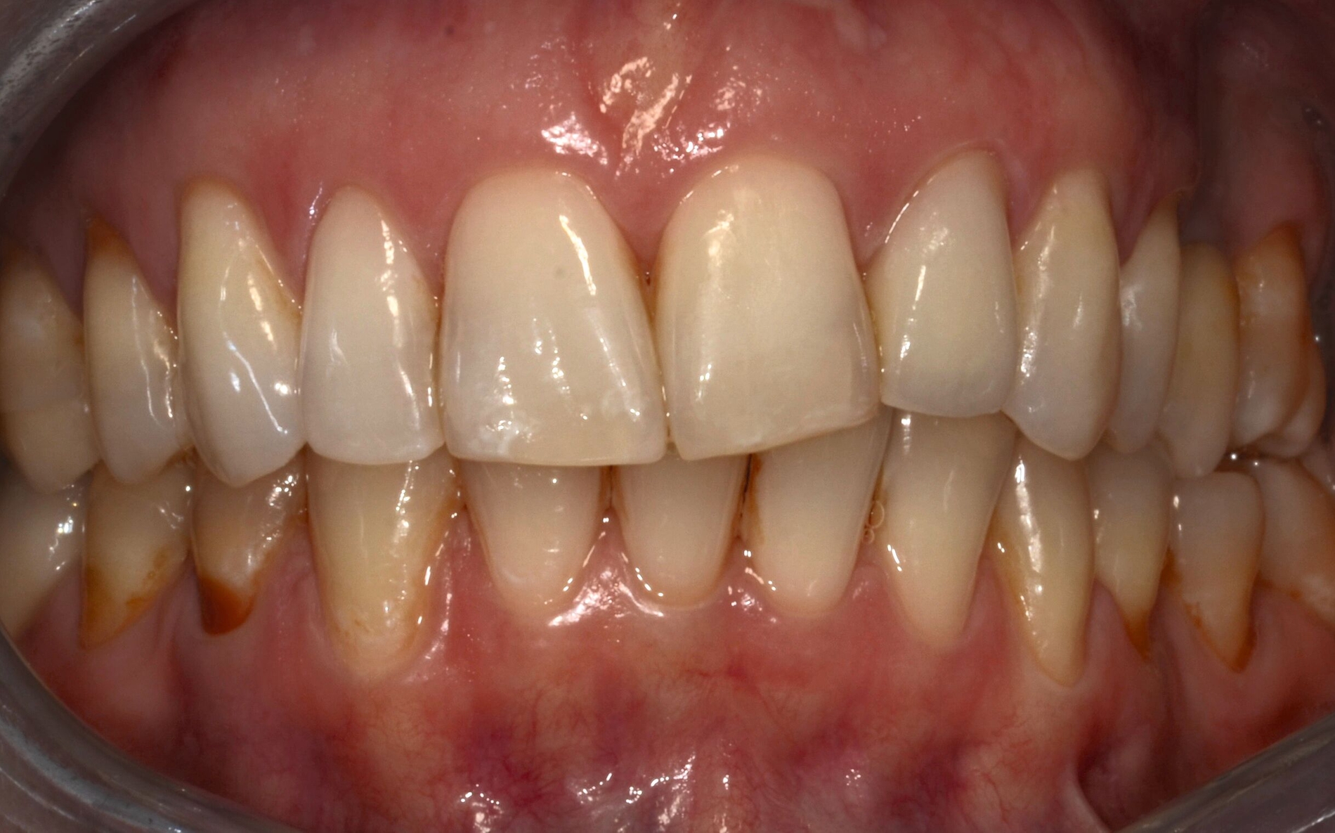
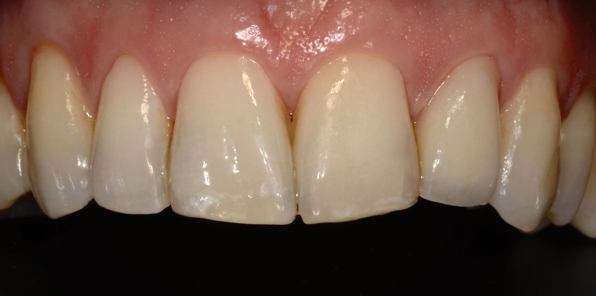
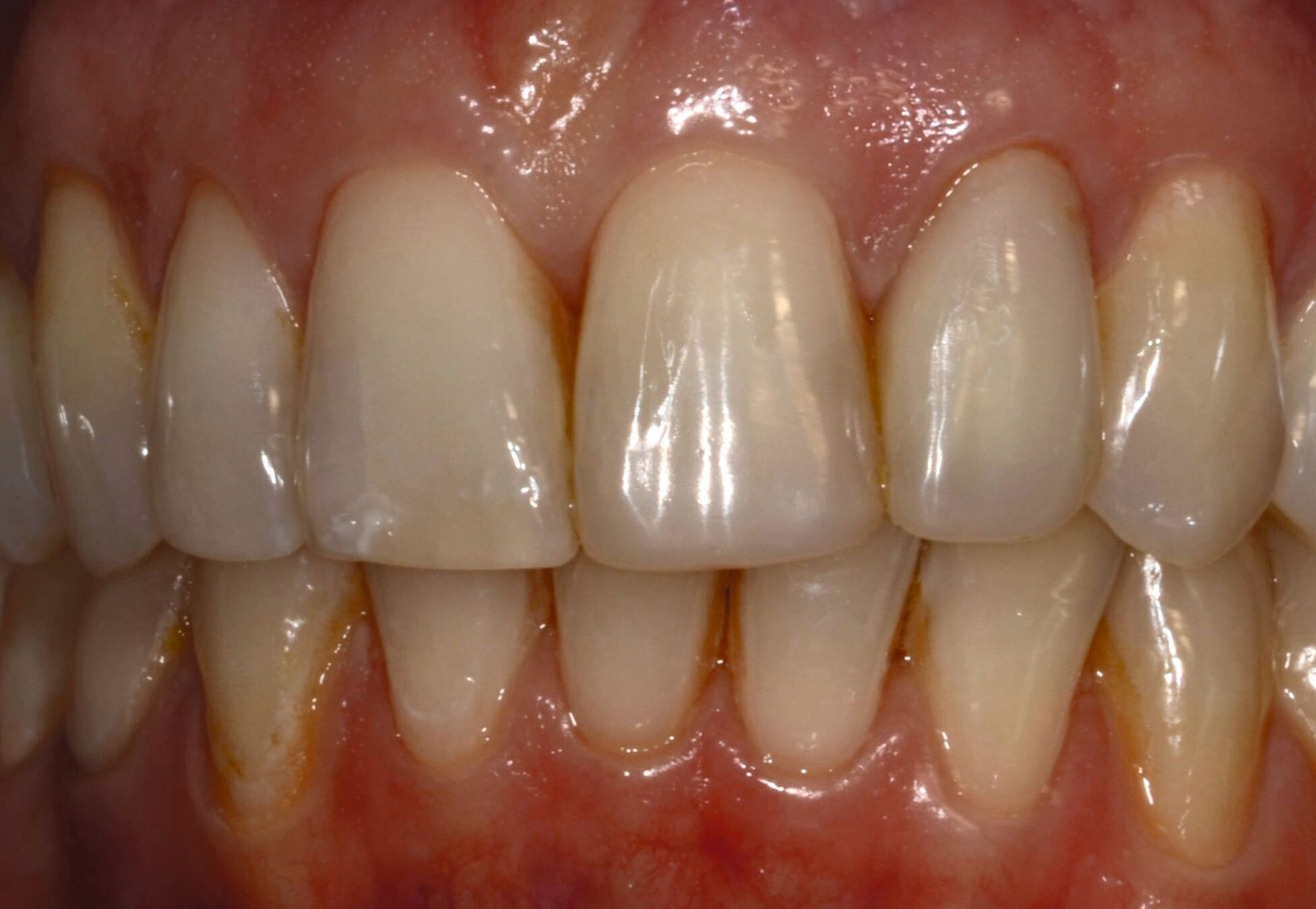
Eine 40-jährige allgemeinanamnestisch unauffällige Patientin stellt sich nach abgeschlossener kieferorthopädischer Therapie mit dem Wunsch vor, die Ästhetik ihrer Frontzähne zu verbessern (Abbildung 1a). Insbesondere stört sie der unharmonische Verlauf der Schneidekanten der Zähne 21 und 22. Der Zahn 21 ist naturgesund und zeigt lediglich Schlifffacetten, der Zahn 22 ist mit einem suffizienten Keramikveneer versorgt (Abbildungen 1b und 1c). Laut Aussage der Patientin erfolgte die Versorgung des Zahnes 22 mit einem Veneer vor circa fünf Jahren.
Der Patientin werden die Therapiemöglichkeiten Reparatur und Formkorrektur mit Komposit, prothetische Neuversorgung oder Belassen der Situation eingehend erläutert. Sie äußert den Wunsch, das suffiziente Veneer an Zahn 22 – sofern möglich – zu belassen und bevorzugt eine additive Zahnformkorrektur im Sinne einer Reparaturrestauration mit Komposit.
Reparatur und Zahnformkorrektur 21 und 22
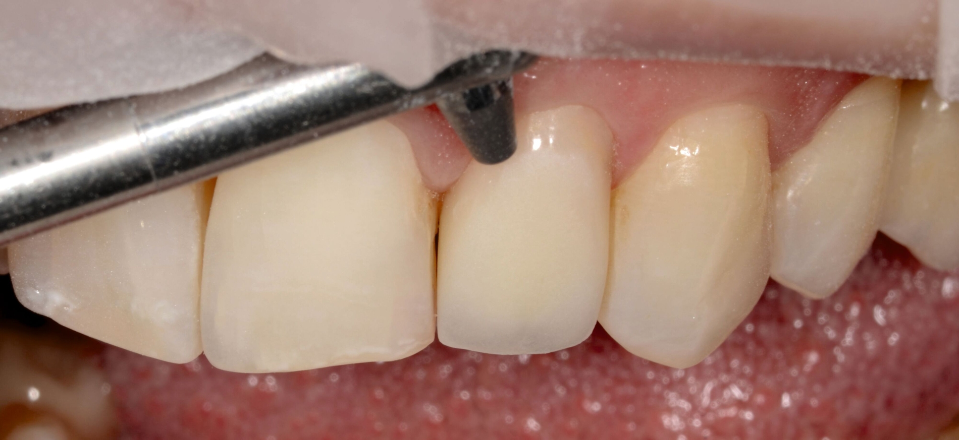
Nach Trockenlegung und Reinigung der Zähne sowie der Bestimmung der Zahnfarbe wird der Glanzbrand des Keramikveneers an Zahn 22 für eine bessere mikromechanische und chemische Haftkraft entfernt. Um Mikrorisse in der Keramikrestauration zu vermeiden, ist die Verwendung möglichst feiner Diamanten empfehlenswert. Anschließend wird die Keramikrestauration an Zahn 22 mit 30 µm silikatisiertem Aluminiumoxidpulver (zum Beispiel CoJet® Pulver, 3M ESPE) ohne Wasser abgestrahlt, das Pulver danach abgespült und der Zahn luftgetrocknet (Abbildung 2a). Zunächst erfolgt die Konditionierung an Zahn 21 mit 37,5 Prozent Phosphorsäure für 30 Sekunden (Abbildung 2b). Auf die Keramikrestauration an Zahn 22 wird anschließend 9,5 Prozent gepufferte Flusssäure (Porcelain Etch, Ultradent) für circa 30 Sekunden aufgetragen (Abbildung 2c).
Falls an einer zu reparierenden Oberfläche sowohl Zahnhartsubstanz als auch Keramik beteiligt sind, sollte zuerst die Phosphorsäureätzung der Zahnhartsubstanz erfolgen und danach das Ätzen der Keramik mit Flusssäure. Grund hierfür sind schwerlösliche CaF2-haltige Präzipitate der Flusssäure, die den Ätzvorgang und die Infiltration der Zahnhartsubstanz durch das Adhäsivsystem behindern können. Nach gründlicher Entfernung der gepufferten Flusssäure mit Wasser (60 s) wird ein Silan als Haftvermittler (zum Beispiel Monobond Plus® / Ivoclar Vivadent) auf die Keramikoberfläche an Zahn 22 mit einer Kontaktzeit von circa einer Minute aufgetragen (Abbildung 2d). Anschließend werden Primer und Adhäsiv verwendet (Abbildung 2e) und lichtpolymerisiert. Beim Adhäsivsystem sollten die entsprechenden Herstellerangaben zu Kontaktzeit, Einmassieren und Verdunstung beachtet werden.
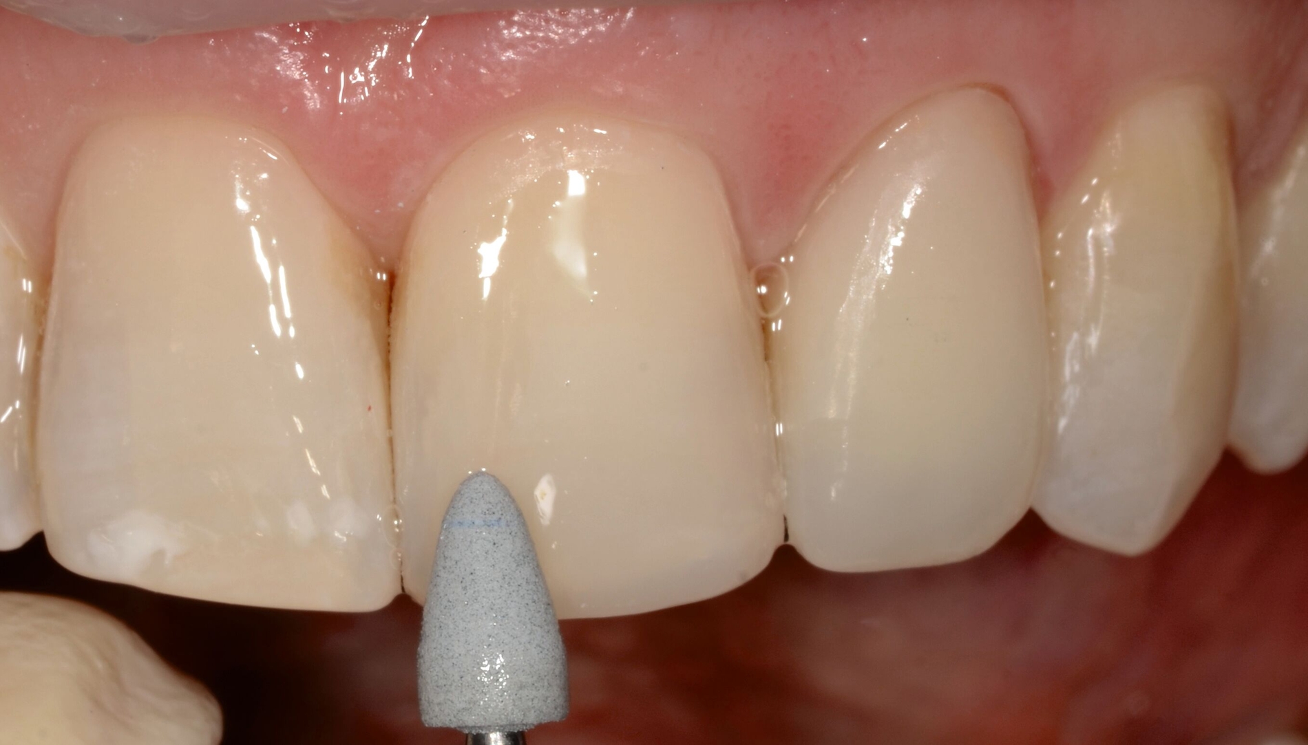
Die Zahnformkorrektur mit Komposit wird anschließend in individueller Mehrschicht- und Mehrfarbentechnik durchgeführt (Abbildung 2f), ausgearbeitet und poliert (Abbildungen 2g und 2h). Zur Optimierung der Mundhygiene bekommt die Patientin passgenaue Interdentalraumbürstchen sowie Mundhygieneinstruktionen und Demonstrationen.
Die Patientin war nach Abschluss der Behandlung zufrieden mit den harmonisierten Schneidekantenlängen. Bei der Nachkontrolle nach einem Jahr zeigen sich die Kompositrestaurationen aus funktioneller, biologischer und ästhetischer Sicht in sehr gutem Zustand. Es kam zu keinen Chippingfrakturen oder unerwünschten Ereignissen. Weiterhin bestehen entzündungsfreie gingivale und parodontale Verhältnisse und keine erhöhten Lockerungen im Vergleich zum Vorbefund (Abbildung 3).

Synopse
Die Reparatur von Restaurationen mit Kompositmaterialien stellt mittlerweile eine etablierte Methode dar, um die Funktion und die Ästhetik bestehender – indirekter oder direkter – Restaurationen im Front- und Seitenzahnbereich zu verbessern und deren Lebensdauer zu verlängern [Casagrande et al., 2017]. Reparaturen sind zahnhartsubstanzschonender als ein Austausch der Versorgung, da die vollständige Entfernung einer teilweise insuffizienten Restauration im Regelfall mit einer Ausweitung der Originalpräparation einhergeht [Frankenberger, 2012]. Da es sich im vorliegenden Fall um einen elektiven Eingriff zur Verbesserung der Frontzahnästhetik handelt, ist ein maximal präventionsorientiertes und minimalinvasives Vorgehen umso mehr angezeigt.
Bei der Anfertigung einer Reparatur mithilfe von Kompositmaterialien liegt häufig nicht nur eine einzige Materialoberfläche vor. Im klinischen Setting sind Zahnhartsubstanzen (Schmelz, Dentin und/oder Wurzeldentin) in Kombination mit der Oberfläche einer gealterten Restauration, sogenannte Mischoberflächen, betroffen [Frese und Schick, 2019]. Voraussetzung für eine erfolgreiche Reparatur mit Komposit sind daher gezielte Vorbehandlungen wie beispielsweise die Schaffung mikromechanischer Retentionenund der Einsatz moderner Haftvermittler (siehe Tabelle zu Arbeitsschritten & Materialien). Nahezu alle in der restaurativen Zahnheilkunde anzutreffenden Oberflächen wie Komposite, Amalgam, Gussmetalle und diverse Arten von Keramiken können nach entsprechenden Vorbehandlungen erfolgreich mit Komposit repariert werden [Loomans und Özcan, 2016].
Eine im Jahr 2022 erschienene systematische Übersichtsarbeit und Metaanalyse hat das Risiko eines unerwünschten Ereignisses (Verlust der Restauration) zwischen reparierten und neu angefertigten Komposit- und Amalgamrestaurationen untersucht und konnte zeigen, dass kein Unterschied im relativen Risiko vorlag. Allerdings wurden letztlich nur drei Studien in diese Metaanalyse einbezogen, was aktuell auf eine niedrige klinische Evidenz hindeutet [Mendes et al., 2022]. Daher wären zahlreiche Forschungsanstrengungen wünschenswert, um diese Evidenzlücke zur Langzeitstabilität reparierter Oberflächen zu füllen [Kanzow et al., 2019] und standardisierte Reparaturprotokolle zu entwickeln.
Literaturliste
Casagrande L, Laske M, Bronkhorst EM, Huysmans MCD, Opdam NJ. 2017. Repair may increase survival of direct posterior restorations–a practice based study. Journal of dentistry. 64:30-36.
Frankenberger R. 2012. Korrektur zahnärztlicher Restaurationen. Zahnärztliche Mitteilungen. 102(22):32-41.
Frese C, Schick S. 2019. Arbeitsabläufe bei Reparaturrestaurationen mit Kompositmaterialien. Zahnmedizin up2date. 13(05):435-446.
Kanzow P, Wiegand A, Schwendicke F, Göstemeyer G. 2019. Same, same, but different? A systematic review of protocols for restoration repair. Journal of dentistry. 86:1-16.
Loomans BA, Özcan M. 2016. Intraoral repair of direct and indirect restorations: Procedures and guidelines. Operative dentistry. 41(S7):S68-S78.
Mendes LT, Pedrotti D, Casagrande L, Lenzi TL. 2022. Risk of failure of repaired versus replaced defective direct restorations in permanent teeth: A systematic review and meta-analysis. Clinical Oral Investigations. 26(7):4917-4927.























