NaOCl-Spülunfall mit Knochennekrose
Eine 61-jährige Patientin stellte sich bei ihrem Hauszahnarzt zur Wurzelkanalbehandlung an Zahn 25 vor. Der Zahn wies präoperativ einen Lockerungsgrad II auf. Gegen Ende der Wurzelkanalbehandlung trat eine bläuliche Veränderung an der bukkalen Gingiva mit allmählich zunehmender Schwellung der Wange ohne weitere subjektive Beschwerden auf. Auch eine Sensibilitätsveränderung der Wange lag nicht vor. Die Wurzelkanalbehandlung wurde regulär abgeschlossen und eine mit CAD/CAM-angefertigte, provisorische Krone eingesetzt. Aufgrund der Schwellung und zur Vorbeugung einer Infektion wurden – bei bekannter Penicillinallergie – Clindamycin 300 Milligramm dreimal täglich sowie lokale Kühlung verordnet. Die Patientin wurde während der ersten drei postoperativen Tage regelmäßig kontrolliert.
Die bläulich verfärbte Gingiva wurde im Verlauf weiß und nekrotisch. Die Schwellung sowie das Hämatom der Wange waren regredient. Eine Woche später stellte sich die Frau erneut mit Beschwerden in Regio 25 vor. Klinisch zeigte sich eine Nekrosebildung der Gingiva und des Knochens. Der behandelnde Zahnarzt führte eine Abtragung der nekrotischen Gingiva (circa sechs mal sechs Millimeter) durch, verordnete erneut orale Antibiotika (diesmal Clindamycin 600 Milligramm dreimal täglich) und überwies die Patientin nach vorheriger konsiliarischer Besprechung an unsere Praxis zur chirurgischen Weiterbehandlung.
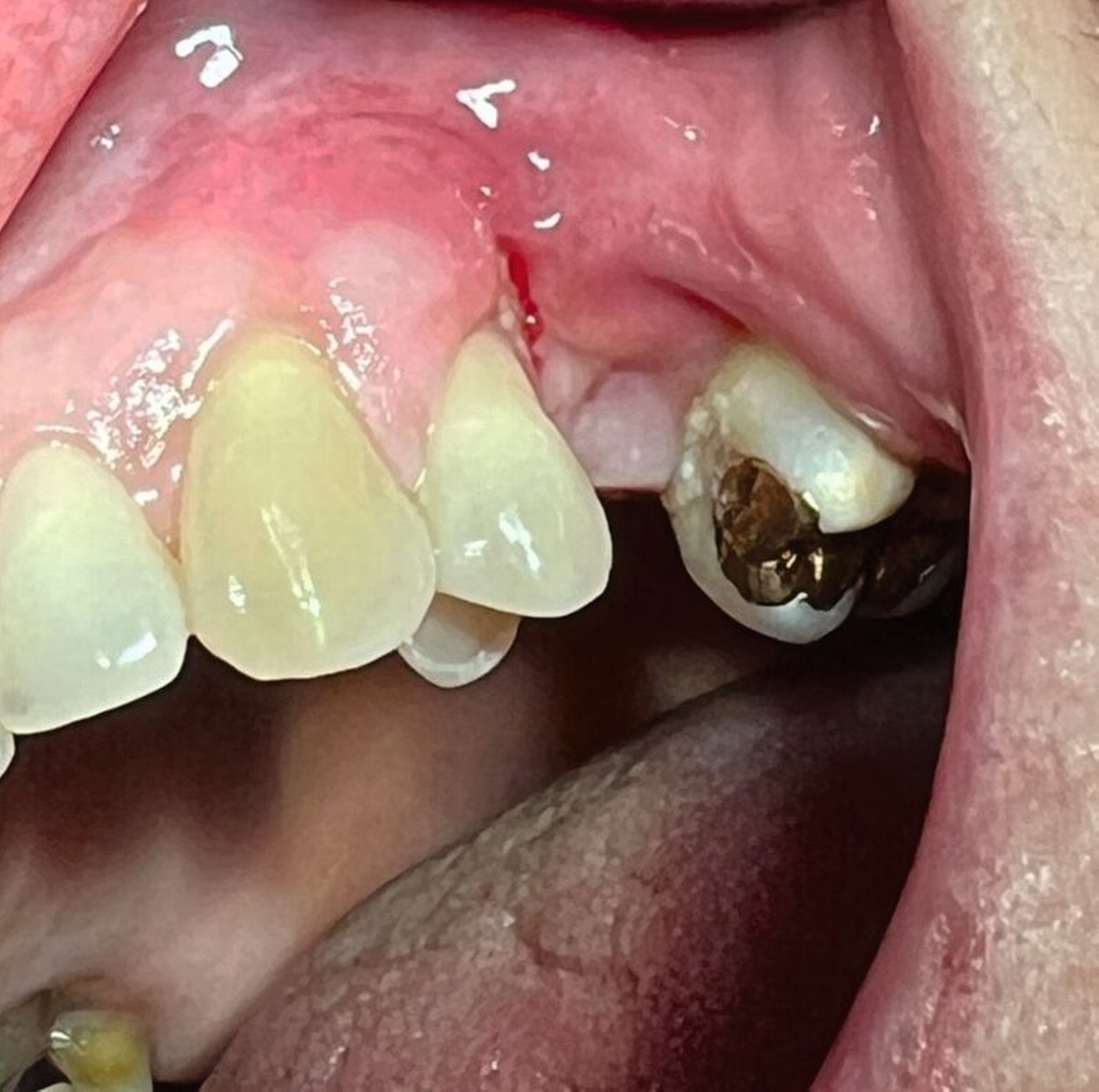
Klinisch zeigte sich derZahn 25 perkussionsempfindlich mit Lockerungsgrad II (der ja bereits vor der Wurzelbehandlung vorhanden war). Der umgebende Knochen war exponiert und nekrotisch, jedoch schmerzfrei (Abbildung 1). Der Vitalitätstest mit Kältespray ergab keine Reaktion an Zahn 24, während die Zähne 26 und 23 vital reagierten. Aufgrund der ausgedehnten Nekrose und der vorhandenen Zahnlockerung entschieden wir uns im Einvernehmen mit der Patientin für die chirurgische Entfernung des Zahnes sowie des nekrotischen Hart- und Weichgewebes. Die Patientin wurde ausführlich über die Risiken des Eingriffs (Schmerzen, Schwellung, Nachblutung, Nervverletzung, mögliche Eröffnung der Kieferhöhle, Schädigung benachbarter Strukturen) aufgeklärt und erhielt einen entsprechenden Aufklärungsbogen.
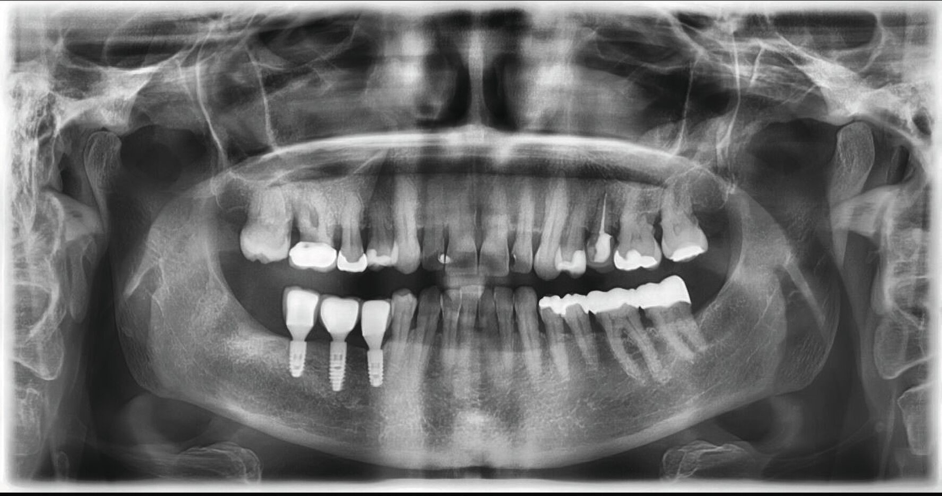
Das präoperative OPG zeigte einen generalisierten horizontalen und an den Zähnen 16 und 26 auch einen vertikalen Knochenabbau, Konkremente insbesondere im zweiten und im dritten Quadranten und in der Unterkieferfront, einen Füllungsverlust an 22, eine regelrechte Wurzelkanalbehandlung an Zahn 25, aber keine weiteren Auffälligkeiten in den umgebenden radiologischen Strukturen (Abbildung 2). Unter antibiotischer Abschirmung wurde der nekrotische Knochen einschließlich des Zahnes 25 bis zum vitalen, durchbluteten Gewebe in Lokalanästhesie abgetragen (Abbildung 3). Der Wundverschluss erfolgte mittels eines Dehnungslappens durch Periostschlitzung (Abbildung 4). Es folgte eine detaillierte Instruktion zur postoperativen Wundschonung. Eine Röntgenkontrolle wurde postoperativ durchgeführt (Abbildung 5).
Eine Woche postoperativ zeigte sich eine leichte Wundheilungsstörung, die weiter konservativ mit antiseptischer Spüllösung behandelt wurde (Abbildung 6). Festgestellt wurde eine verbesserte Reaktion auf den Vitalitätstest an Zahn 24. Drei Wochen nach dem Eingriff war die Wundheilung deutlich fortgeschritten und die Patientin beschwerdefrei (Abbildung 7). Vereinbart wurde eine Wiedervorstellung in sechs Monaten zur Besprechung des Zahnersatzes durch Implantattherapie mit möglicher Augmentation.
Diskussion
Eine Wurzelkanalbehandlung zielt darauf ab, das Wurzelkanalsystem bei von einer fortgeschrittenen Erkrankung betroffenen Zähnen effektiv zu erreichen, zu desinfizieren und eine erneute Infektion zu verhindern [Hargreaves et al., 2010]. Aufgrund der komplexen anatomischen Merkmale des Wurzelkanalsystems reicht die mechanische Reinigung der Kanäle allein nicht aus, um die bakterielle Kontamination bei einer Nekrose ausreichend zu reduzieren. Daher werden zusätzliche chemische Desinfektionsmittel verwendet, um die Wirksamkeit der Behandlung zu erhöhen. Diese können auch die Schmierung der Instrumente und die Auflösung von vitalem und nekrotischem Gewebe unterstützen [Lam TSK et al., 2010].
Natriumhypochlorit (NaOCl) gilt als das am besten geeignete Spülmittel in der Wurzelkanalbehandlung. Dabei werden im Rahmen der endodontischen Behandlung häufig NaOCl-Konzentrationen zwischen 0,5 und 5,25 Prozent verwendet. Obwohl die Konzentration selbst nicht direkt die Ursache für Zwischenfälle ist, erhöhen die chemischen Eigenschaften von NaOCl die Penetrationsfähigkeit der Lösung [Hales et al., 2001; Gamal-Abdel Naser et al., 2024]. Die gewebetoxischen Eigenschaften von Natriumhypochlorit sind auf dessen hohe Alkalinität (pH 10,8 bis 12,9) und Hypertonizität zurückzuführen, die zur Oxidation von Proteinen führen [Pontes et al., 2008]. NaOCl wird aufgrund seiner schnellen oxidierenden Wirkung bevorzugt, die organisches Weichgewebe auflöst und eine gründliche Reinigung sowie Desinfektion des Wurzelkanalsystems ermöglicht.
Diese oxidative Kraft ist jedoch ein zweischneidiges Schwert: Jeder unbeabsichtigte Kontakt der Lösung mit vitalem Gewebe oder eine Extrusion über das apikale Foramen hinaus können zu einer akuten Entzündung, Gewebeauflösung und Nekrose führen. Dieser Zustand wird als Natriumhypochlorit-Unfall bezeichnet [Behrents et al., 2012; Guivarc'h et al., 2017]. Eine Extrusion durch NaOCl ist ein sehr seltener Vorfall und kommt etwa einmal in der zahnärztlichen Laufbahn vor [Salvadori et al., 2022]. Laut eines systematischen Reviews treten NaOCl-Unfälle häufiger bei Frauen und im seitlichen Bereich des Oberkiefers auf [Guivarc'h et al., 2017]. Dies wird mit der geringeren Knochendichte bei Frauen im Vergleich zu Männern und der dünnen kortikalen Knochenstruktur im Bereich der bukkalen Wurzeln der Oberkieferzähne in Verbindung gebracht [Guivarc'h et al., 2017].
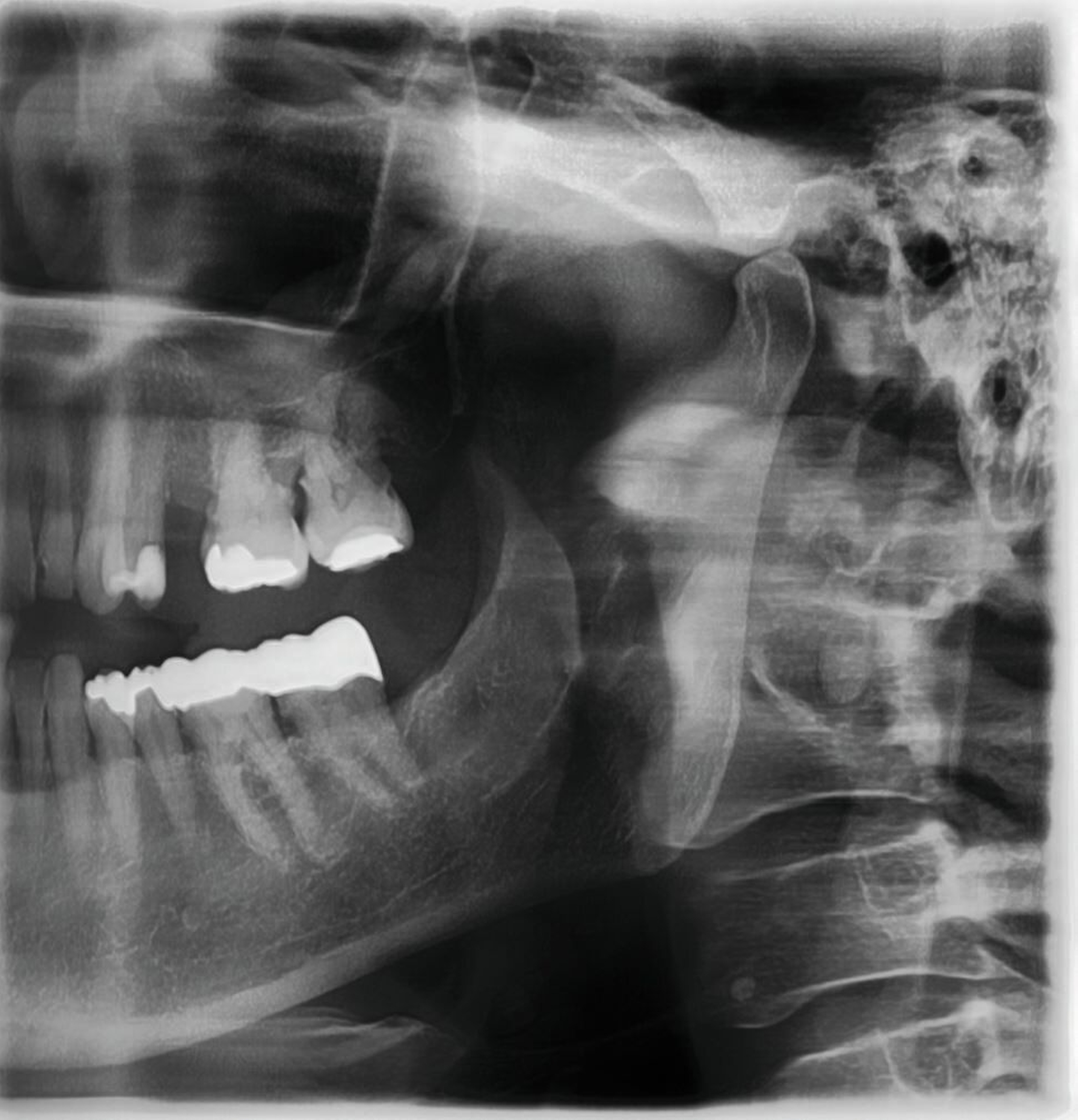
Ein präoperatives DVT wird in manchen Fällen empfohlen, um die Wurzelkonfiguration vorab zu analysieren [Nasiri und Wrbas, 2023]. Jedoch ist dies im klinischen Alltag angesichts der hohen Kosten, der Strahlendosis sowie der Möglichkeit des konventionellen Röntgens und der Verwendung eines Mikroskops verzichtbar. Bei diesem Fall bestand eine fünf Jahre alte DVT-Aufnahme, die im Rahmen der Implantatplanung im Unterkiefer rechts gemacht worden war (Abbildung 9). Diese zeigt eine normale Breite der bukkalen Lamelle ohne Perforation der Wurzelspitze, was der Wichtigkeit einer DVT-Aufnahme vor der Wurzelbehandlung zum Ausschluss der Wahrscheinlichkeit eines NaOCl-Unfalls widerspricht.
Klinische Manifestationen
Die Diagnosestellung eines NaOCl-Unfalls basiert normalerweise auf der klinischen Anamnese. Der Hypochlorit-Unfall ist in der Regel durch eine plötzliche Schwellung und stechende Schmerzen charakterisiert, die entweder sofort oder nach wenigen Minuten auftreten [Salvadori et al., 2022; Ortiz-Alves et al., 2022]. In diesem Fall gab es primär keine Schmerzen und die Schwellung entstand etwas verzögert, weshalb die Wurzelkanalbehandlung regulär weitergeführt und abgeschlossen wurde.
Binnen weniger Stunden kommt es zur Ulzeration der Schleimhaut und abhängig von der Verletzungsintensität möglicherweise zur Exposition des Knochens. Die Nekrose entsteht aufgrund der gewebelösenden Eigenschaften von NaOCl und der Hypertonizität der Lösung, die durch die Oxidation von Proteinen die Verletzung verursacht [Ortiz-Alves et al., 2022; Gamal-AbdelNaser et al., 2024]. In einzelnen Fällen kann es zur Beeinträchtigung sensibler Nerven kommen, insbesondere des Nervus infraorbitalis, was sich durch Taubheitsgefühle oder Parästhesien äußern kann [Ortiz-Alves et al., 2022].
Fazit für die Praxis
Wurzelkanalbehandlungen sind häufig durchgeführte, zahnmedizinische Eingriffe, bei denen seltene, aber schwerwiegende Komplikationen in Form von Nekrosen auftreten können.
Da die Versorgung einer Gewebenekrose meistens durch chirurgische Kollegen erfolgt, ist eine unmittelbare, ausführliche und direkte Kommunikation zwischen dem Zahnarzt und den Oral- beziehungsweise MKG-Chirurgen entscheidend für eine optimale Patientenbehandlung.
Zahnärzte und Zahnärztinnen sollten alle möglichen Vorsichtsmaßnahmen treffen, um Schäden während der Wurzelkanalbehandlung zu minimieren.
Eine strikte, verlängerte postoperative Mundhygiene mit antiseptischer Spülung ist essenziell zur konservativen Behandlung oraler Ulzerationen infolge von NaOCl-Unfällen.
Die psychische Belastung der Patienten muss nach dem Auftreten von Spülunfall berücksichtigt werden, insbesondere dann, wenn Zähne entfernt werden müssen. Dies kann zur Ablehnung zukünftiger Wurzelkanalbehandlungen führen.
Prävention bleibt die beste Behandlung eines Spülunfalls.
Viele Studien zeigen im konventionellen Röntgen keine unmittelbaren radiologischen Veränderungen, aber nach mehreren Wochen kann eine Osteolyse beobachtet werden [Bachmann et al., 2024]. Eine DVT-Aufnahme kann Weichgewebeverletzungen wie beispielsweise Ödeme sichtbar machen, bringt jedoch knöchern keinen signifikanten Vorteil. Außerdem sind die meisten Weichgewebeverletzungen klinisch gut erkennbar [Guivarc’h et al., 2017; Bachmann et al., 2024]. Weitere Komplikationen wie zum Beispiel eine versehentliche Injektion in die Kieferhöhle, in die Augen oder eine chemische Verbrennung der Haut wurden in der Literatur beschrieben. Eine Ausbreitung der Spüllösung in die submandibulären, submentalen oder sublingualen Bereiche kann die Atemwege beeinträchtigen und eine sofortige Hospitalisierung erforderlich machen, um lebensbedrohliche Komplikationen zu verhindern [Kanagasingam und Blum, 2020]. Die häufigste Komplikation ist allerdings die Extrusion in die periapikalen Gewebe [Sajjan et al., 2014].
Prävention
Der NaOCl-Unfall entsteht ausschließlich iatrogen. Es spielen aber verschiedene prädisponierende Faktoren eine Rolle, die schließlich zu einem höheren Risiko beitragen, zum Beispiel die Perforation des Wurzelkanals, ein offener Apex, Wurzelfrakturen, laterale Kanäle oder periradikuläre Läsionen, die eine verringerte Knochendichte verursachen [Rai et al., 2016].
Auch die Anwendung von übermäßigem Druck während der Spülung, das Festhalten der Nadel in einer konstanten Position, das Platzieren der Nadelspitze bis zur Arbeitslänge oder die Verwendung von Nadeln mit kleineren Durchmessern können zur Einbringung des Spülmittels in die periapikalen Gewebe führen [Crincoli et al., 2008]. Um dies zu vermeiden, werden folgende Maßnahmen empfohlen [Raftery, 2023; Gamal-AbdelNaser et al., 2024]:
Verwendung passiver und sanfter Spültechniken mit seitlich belüfteten Nadeln zur Vermeidung der Extrusion von Spüllösung
Die Nadel sollte einen kleinen Durchmesser haben (optimal 30 Gauge) und ein bis zwei Millimeter vor der Arbeitslänge positioniert sein.
Kontinuierliche Bewegung der Nadel während der Spülung, um eine Verstopfung im Kanal zu verhindern
zusätzliche sichere Geräte sind EndoActivator, Ultraschallgeräte und Vibringe
Management und Behandlung
Sollte dennoch ein NaOCl-Unfall auftreten, sind folgende Therapieeinsätze – je nach Intensität – notwendig: Als Sofortmaßnahme wird eine negative Aspiration direkt nach den ersten akuten Schmerzen empfohlen [Nasiri und Wrbas, 2023]. Seitens des Behandlers und des Teams sollten Ruhe bewahrt und Hektik vermieden werden. Die Beruhigung und die Aufklärung des Patienten nach dem unerwarteten Ereignis sind wichtig. Dem Patienten sollte erklärt werden, dass die Schmerzen und die Schwellung vorübergehend sind und durch lokale Maßnahmen gelindert werden können. Eine Infiltrationsanästhesie könnte allerdings den Gewebedruck und dementsprechend den Schmerz erhöhen. Daher sollte eher eine Leitungsanästhesie (im Oberkiefer infraorbital) gewählt werden. Nachdem die Sofortmaßnahmen durchgeführt wurden, sollte die Wurzelkanalbehandlung abgebrochen sowie lokal gekühlt werden [Guivarc’h et al., 2017].
Die Spülung beziehungsweise Verdünnung mit Kochsalzlösung ist in der Literatur umstritten, da sie die primäre Drainage von NaOCl verhindern und den Druck im Gewebe und die Schmerzen erhöhen kann [Kanagasingam und Blum, 2020]. Einige Artikel berichten über eine Verschlechterung der klinischen Situation nach einem zu frühen Verschluss des Zahnes. Das Offenbelassen der Wurzelkanäle ist dementsprechend besser geeignet, um den Abfluss der Spüllösung zu ermöglichen. Zur Infektionsprävention sollte eine orale Antibiose verordnet werden [Behrents et al., 2012]. In etwa einem Drittel der Fälle wurden eine stationäre Behandlung und intravenöse Analgetika, Antibiotika sowie Kortikosteroide zur Entzündungshemmung eingesetzt. Falls notwendig, können eine Inzision und Drainage sowie die Entfernung des nekrotischen Gewebes, gegebenenfalls in Intubationsnarkose, erfolgen [Ahmed et al., 2022; Nasiri und Wrbas, 2023].
Die Behandlung variiert je nach Gewebetrauma zwischen konservativ und chirurgisch. Eine konservative Behandlung durch lokale Kühlung, orale Medikation, lokale Wundpflege und engmaschige Kontrollen führt in vielen Fällen zu einer Besserung der Symptome und zur Heilung der Defekte innerhalb von circa zwei Monaten. Neurologische Defizite können mehrere Monate andauern [Gamal-Abdel Naser et al., 2024]. Bei ausgedehnter Nekrose oder starker Lockerung der Zähne kann eine chirurgische Entfernung des betroffenen Gewebes oder des Zahnes erforderlich sein. Eine Wundschutzplatte kann bei schwieriger primärer Deckung angefertigt und eingesetzt werden [Guivarc’h et al., 2017; Ortiz-Alves et al., 2022]. Selbst bei ausgedehnten Knochennekrosen könnte eine konservative Therapie helfen, indem sich ein Sequester durch allmählich entstandenes unterliegendes Granulationsgewebe vom Kieferknochen trennen lässt. Ein spontaner Ausfall des Sequesters ist im Intervall möglich [Bachmann et al., 2024]. In manchen Fällen wird eine Low-Level-Lasertherapie (LLLT) zur Förderung der Wundheilung angewendet [Yamamoto-Silva et al., 2019]. Derzeit gibt es keine Leitlinien zur Behandlung dieser Komplikation, daher ist eine Kenntnis der aktuellen Literatur empfehlenswert.
Literaturliste
Nasiri K, Wrbas KT. Management of sodium hypochlorite accident in root canal treatment. J Dent Sci. 2023 Apr;18(2):945-946. doi: 10.1016/j.jds.2023.01.022. Epub 2023 Feb 2. PMID: 37021210; PMCID: PMC10068487.
Yamamoto-Silva FP, Silva LR, de Lima KL, Silva MA, Estrela C, de Freitas Silva BS. Low-level laser therapy as adjunctive treatment for a sodium hypochlorite accident: a case report. Gen Dent. 2019 Jul-Aug;67(4):63-66. PMID: 31355767.
Tomson PL. A Guide to Good Endodontic Practice [Internet]. British Endodontic Society (UK) London. 2022. Available online: http://www.britishendodonticsociety.org.uk/
Haapasalo M, Shen Y, Wang Z, et al. Irrigation in endodontics. Br Dent J 2014;216:299-303.
Raftery P. Sodium Hyochlorite guidance. Br Dent J 2023;234:713.
Behrents KT, Speer ML, Noujeim M. Sodium hypochlorite accident with evaluation by cone beam computed tomography. Int Endod J 2012;45:492–8.
Kanagasingam S, Blum IR. Sodium Hypochlorite Extrusion Accidents: Management and Medico-Legal Considerations. Prim Dent J. 2020 Dec;9(4):59-63. doi: 10.1177/2050168420963308. PMID: 33225856.
Hatton J, Walsh S, Wilson A. Management of the sodium hypochlorite accident: a rare but significant complication of root canal treatment. BMJ Case Rep. 2015 Mar 25;2015:bcr2014207480. doi: 10.1136/bcr-2014-207480. PMID: 25809429; PMCID: PMC4386444.
Rai K, Goel M, Mandhotra P, et al. Management of sodium hypochlorite accident: A case report. Br J Med Med Res 2016;18:1-5.
Gamal-AbdelNaser, A., Elnaggar, A., Mekawy, M., Boshra, G., & Ghareeb, N. (2024). Sodium hypochlorite accident—complications, management and potential prevention: a report of three cases. Frontiers Of Oral And Maxillofacial Medicine, 7. doi:10.21037/fomm-23-41
Pontes F, Pontes H, Adachi P, Rodini C, Almeida D, Pinto D Jr.. Gingival and bone necrosis caused by accidental sodium hypochlorite injection instead of anaesthetic solution Int Endod J. 2008;41:267–70
Crincoli V, Scivetti M, Di Bisceglie MB, Pilolli GP, Favia G. Unusual case of adverse reaction in the use of sodium hypochlorite during endodontic treatment: A case report Quintessence Int. 2008;39:E70–3
Hargreaves KM, Berman LH. Cohen's pathways of the pulp expert consult. 10 edn St. Louis, Mo: Mosby, 2010:992 p.
Lam TSK, Wong OF, Tang SYH. A case report of sodium hypochlorite accident. Hong Kong J Emerg Med 2010;17:173–6.
Behrents KT, Speer ML, Noujeim M. Sodium hypochlorite accident with evaluation by cone beam computed tomography. Int Endod J 2012;45:492-8.
Guivarc'h M, Ordioni U, Ahmed HM, et al. Sodium Hypochlorite Accident: A Systematic Review. J Endod 2017;43:16-24.
H.R. Spencer, V. Ike, P.A. Brennan Review: the use of sodium hypochlorite in endodontics – potential complications and their management Br. Dent. J., 202 (2007), pp. 555-559
Hales JJ, Jackson CR, Everett AP et al. Treatment protocol for the management of a sodium hypochlorite accident during endodontic therapy. Gen Dent 2001;49:278–81.
Sajjan, G. S.; Dwarakanath, C. D.1; Nalam, N. V. D.; Singamsetty, Satya Kalyani. Necrosis of gingiva and alveolar bone caused by accidental sodium hypochlorite seepage during endodontic treatment. Journal of Interdisciplinary Dentistry 4(2):p 105-108, May–Aug 2014. | DOI: 10.4103/2229-5194.142952
Ortiz-Alves T, Díaz-Sánchez R, Gutiérrez-Pérez JL, González-Martín M, Serrera-Figallo MA, Torres-Lagares D. Bone necrosis as a complication of sodium hypochlorite extrusion. J Clin Exp Dent. 2022;14(10):e885-9.
Bachmann E, Schäuble C, Striepe S, Klews A, Tödtmann N, Spülunfall im Oberkiefer mit ausgedehnter Kolliquationsnekrose und Zahnverlust, ZM Ausgabe 06/2024: www.zm-online.de/artikel/2024/zm-2024-06/spuelunfall-im-oberkiefer-mit-ausgedehnter-kolliquationsnekrose-und-zahnverlust
Sajjan, G. S.; Dwarakanath, C. D.1; Nalam, N. V. D.; Singamsetty, Satya Kalyani. Necrosis of gingiva and alveolar bone caused by accidental sodium hypochlorite seepage during endodontic treatment. Journal of Interdisciplinary Dentistry 4(2):p 105-108, May–Aug 2014. | DOI: 10.4103/2229-5194.142952
Kanagasingam S, Blum IR. Sodium Hypochlorite Extrusion Accidents: Management and Medico-Legal Considerations. Prim Dent J 2020;9:59-63.
Nasiri K, Wrbas KT. Management of sodium hypochlorite accident in root canal treatment. J Dent Sci 2023;18:945-6
Freedman M, Stassen LF. Commonly used topical oral wound dressing materials in dental and surgical practice--a literature review. J Ir Dent Assoc 2013;59:190-5.
Ahmed S, Yaqub E, Almalik A, et al. Clinical Efficacy of Various Oral Wound Dressing Materials; A Systematic Review. Pharmacophore 2022;13:99-104.
Salvadori, M.; Venturi, G.; Bertoletti, P.; Francinelli, J.; Tonini, R.; Garo, M.L.; Salgarello, S. Sodium Hypochlorite Accident during Canal Treatment: Report of Four Cases Documented According to New Standards. Appl. Sci. 2022, 12, 8525. doi.org/10.3390/app12178525
Perotti S, Bin P, Cecchi R. Hypochlorite accident during wndodontic therapy with nerve damage - A case report. Acta Biomed. 2018 Mar 27;89(1):104-108. doi: 10.23750/abm.v89i1.6067. PMID: 29633752; PMCID: PMC6357615.












